Unsupported Browser
The American College of Surgeons website is not compatible with Internet Explorer 11, IE 11. For the best experience please update your browser.
Menu
Become a member and receive career-enhancing benefits

Our top priority is providing value to members. Your Member Services team is here to ensure you maximize your ACS member benefits, participate in College activities, and engage with your ACS colleagues. It's all here.

Become a Member
Become a member and receive career-enhancing benefits

Our top priority is providing value to members. Your Member Services team is here to ensure you maximize your ACS member benefits, participate in College activities, and engage with your ACS colleagues. It's all here.

Become a Member
ACS
ACS Case Reviews

Early Prophylactic Gastrectomy for the Management of Gastric Adenomatous Proximal Polyposis Syndrome (GAPPS)

December 16, 2022

Abstract

Background

Gastric adenomatous proximal polyposis syndrome (GAPPS) is a recently described, rare, autosomal dominant condition characterized by the extensive involvement of the proximal stomach with hundreds of heterogeneous fundic gland polyps with antral and duodenal sparing. GAPPS is caused by a point mutation of the APC gene promoter 1B and is associated with a risk of malignant transformation, distant metastasis, and death. There are no surveillance, screening, or treatment guidelines for managing GAPPS. The few reported cases have been variably managed with endoscopic surveillance or prophylactic gastrectomy. However, there is no consensus on the optimal management approach.

Summary

In this case series, we review the relevant literature on GAPPS and present two siblings who underwent early prophylactic total gastrectomies with good outcomes.

Conclusion

Due to the poor correlation between the endoscopic findings on sampled polyps and the risk of harboring invasive gastric cancer, patients with GAPPS should be strongly considered for early prophylactic total gastrectomies in the absence of prohibitive comorbidities.

Key Words

GAPPS; gastric polyposis; gastrectomy; gastric adenocarcinoma


Introduction

Gastric adenomatous proximal polyposis syndrome (GAPPS) is a recently described, rare, autosomal dominant polyposis syndrome associated with a risk of malignant transformation to adenocarcinoma of the stomach, distant metastasis, and death.1‒3 GAPPS is characterized by extensive involvement of the fundus and body of the stomach with heterogenous fundic gland polyps and sparing of the lesser curvature, antrum, and duodenum. GAPPS is caused by specific point mutations in promoter 1B regions of the APC gene that reduce gastric APC expression and is characterized by incomplete penetrance, as carriers of the genetic mutation express the phenotype to varying degrees.3,4 Previous studies on GAPPS have suggested a wide age and geographic distribution: reported cases have ranged from 22 to 65 years of age at diagnosis and have been identified in parts of North America, Europe, Asia, and Oceania.3,4 The prevalence is unknown. Besides the genetic predisposition, there are no established environmental risk factors for developing GAPPS.

Based on its rarity, there are currently no screening, surveillance, or treatment guidelines for managing GAPPS. In this report, we describe two siblings managed with prophylactic total gastrectomies at our institution and review the relevant literature.

Case Description

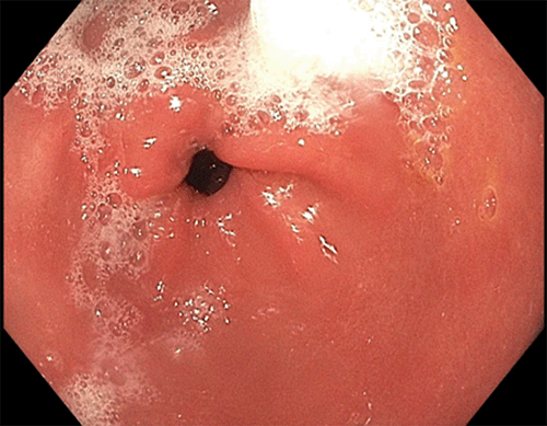
In the first case, the patient, a 37-year-old Caucasian male, presented with a one-year history of intermittent left upper quadrant abdominal pain. His past medical and surgical history was significant for obesity (BMI 39 kg/m2), hypertension, hyperlipidemia, Hashimoto’s thyroiditis, and inguinal hernia repair. He had a history of prolonged NSAID use but no history of smoking or significant alcohol consumption. His symptoms transiently improved with proton pump inhibitors (PPI) and antacids. He had a family history of gastric and colonic polyps in his father and bladder cancer in his paternal aunt. He had no family history of gastric cancer. Based on his symptoms, he was referred to gastroenterology. He underwent an esophagogastroduodenoscopy (EGD) that revealed multiple gastric polyps in the fundus and body of the stomach with antral sparing (Figure 1 and Figure 2), no polyps in the duodenum, and Los Angeles grade A reflux esophagitis. Biopsies were obtained and returned as fundic gland polyps without evidence of dysplasia on pathology. He underwent a colonoscopy that revealed small internal hemorrhoids and diverticula. No polyps were identified. His serum gastrin level was normal. The patient was referred for genetic counseling and testing and was found to have the c.-191T>C mutation in the APC promoter region seen in the setting of GAPPS. The patient had no known history of familial cancer syndrome. He had no evidence of metastatic disease on CT of the abdomen and pelvis.

Figure 1. Gastric Body—Extensive Polyposis With Heterogenous Polyps. Published with Permission

Figure 2. Prepyloric Stomach—Pathognomonic Feature of Antral Sparing. Published with Permission

The patient underwent additional genetic counseling, and his case was discussed at the multidisciplinary tumor board, with a recommendation for a prophylactic total gastrectomy. Through an upper midline laparotomy, he underwent total gastrectomy with Roux-en-Y esophagojejunostomy without immediate complications. The final pathology report showed diffuse gastric polyposis in the fundus and body of the stomach consisting of numerous hyperproliferative aberrant pits, fundic gland polyps, multifocal low-grade dysplasia, and 15 perigastric lymph nodes without histopathologic abnormality. No malignancy was identified.

His postoperative course was complicated by a moderate-sized left parapneumonic effusion managed with tube thoracostomy and, ultimately, a thoracoscopic decortication. His pleural fluid cultures revealed no growth, cytology was negative for cancer cells, and chemistry values were within normal limits. The patient was discharged home following a full recovery on B-12, iron, and calcium supplements with appropriate outpatient follow-up. On his nine-month follow-up appointment, he had lost about 90 lbs. since his index surgery, and his weight was stable (current BMI: 25 kg/m2). He had returned to work, was tolerating an oral diet, and had no significant upper GI symptoms.

In the second case, the patient is a 36-year-old Caucasian female and the biological sister of the index patient discussed above. She was referred for evaluation following the diagnosis of GAPPS in her brother. On initial evaluation, she was asymptomatic. She was obese (BMI 37 kg/m2) and had no prior surgical history. The patient was seen by a genetic counselor for pretest counseling followed by genetic testing. Her genetic testing results indicated that she carried the familial APC pathogenic mutation causative for GAPPS. She underwent an abdominopelvic CT scan, an EGD, and a colonoscopy. The CT scan revealed a non-specific area of thickening in the greater curvature of the stomach and was otherwise negative for pathology. On EGD, she had innumerable 2-4 mm sessile gastric polyps within the gastric fundus and body with antral sparing, Los Angeles grade B esophagitis, and a normal second portion of the duodenum. Biopsies were obtained, and the final pathology was fundic gland polyps without evidence of dysplasia. On colonoscopy, she had a 5 mm hyperplastic polyp excised from the transverse colon and non-bleeding internal hemorrhoids. There was no evidence of polyposis on her colonoscopy.

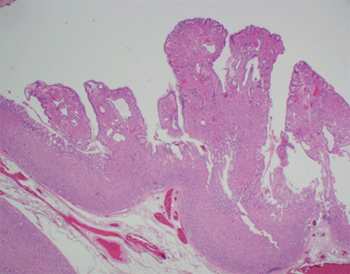
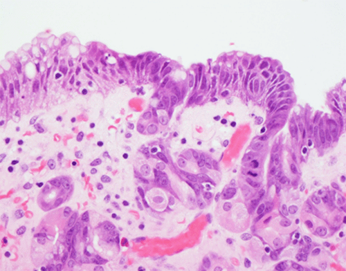
The patient underwent post-test genetic counseling and was also offered a prophylactic total gastrectomy. She underwent surgery in a very similar fashion compared to her brother, and her postoperative course was uneventful. The final pathology report showed diffuse gastric polyposis in the fundus and body consisting of numerous fundic gland polyps and hyperproliferative aberrant pits, multifocal low-grade and high-grade dysplasia, and background of mild chronic gastritis (Figure 3 and Figure 4). No malignancy was identified. On her nine-month postoperative visit, she had lost about 50 lbs. since her surgery. Her weight was stable (current BMI 29 kg/m2). She had also returned to work, was tolerating an oral diet, and was doing well.

Figure 3. Gastric Fundic Mucosa With Numerous Fundic Gland Polyps With Hyperplastic Aberrant Pits at the Luminal Surfaces (H&E, 20x). Published with Permission

Figure 4. Hyperplastic Aberrant Pits (Proliferation of the Foveolar Pits, Resulting in Foveolar Pit Crowding) and Surface Epithelium With High-Grade Dysplasia, Demonstrating Full-Thickness Nuclear Stratification With Loss of Nuclear Polarity (H&E, 600x). Published with Permission

Discussion

GAPPS is a rare novel gastric polyposis syndrome that poses a significant risk of progression to intestinal type-gastric adenocarcinoma.1,2 GAPPS was first described in 2012 and is characterized by an autosomal dominant inheritance pattern with the underlying genetic abnormality being a variant of the APC gene promoter 1B.5 Some of the identified variants of APC promoter 1B are c.-191T>C, c.-192A>C, c.-195A>C, and c.-125delA.5‒8 These variants of the APC promoter 1B are thought to account for existing phenotypic variabilities in GAPPS, in terms of age of onset, penetrance or degree of dysplasia.3 Unlike other gastric polyposis syndromes, GAPPS is characterized by numerous fundic gland polyps with dysplasia in the absence of colonic or duodenal polyposis. Fundic gland polyps (FGPs) exclusively occur in the gastric body and fundus, are typically small (<1 cm), asymptomatic, incidentally discovered endoscopically, and have very low malignant potential.9,10 FGPs mostly occur sporadically. However, they may also be seen in the setting of hypergastrinemia (from Zollinger-Ellison syndrome or long-term therapy with PPIs) or associated with polyposis syndromes like GAPPS, Familial Adenomatous Polyposis (FAP), and MUYTH-associated polyposis (MAP).1,3,10‒13 In their landmark paper, Worthley et al. proposed diagnostic criteria to distinguish GAPPS from other hereditary polyposis syndromes and benign PPI-induced gastric polyposis.1 In addition, the diagnosis of GAPPS can be established by molecular genetic testing.14

Several studies have described an association between GAPPS and the risk of developing gastric adenocarcinoma.1,4 It is believed that the histopathologic progression of GAPPS follows the dysplasia-adenoma-carcinoma sequence. However, its natural history remains unclear, and the exact risk of malignant transformation is unknown. Furthermore, there are no established environmental risk factors for developing GAPPS.

The role of gastric acid homeostasis and the gastric milieu in the development of FGPs in patients with and without a genetic predisposition to gastrointestinal cancers has been evaluated in several studies.10,11,15‒20 Chronic proton pump inhibitor (PPI) use is an established cause of benign gastric polyposis through the induction of glandular dilatation, oxyntic cell hyperplasia, and FGPs.10,11,15,21 It is managed by discontinuing PPI therapy with interval repeat endoscopy.22 While chronic PPI use is associated with the development of FGPs, there is limited evidence to suggest an association between chronic PPI use and the development of GAPPS. Worthley et al. previously described normal levels of serum gastrin in a few patients expressing the GAPPS phenotype, a finding that is atypical in patients subjected to prolonged PPI use.11 Given the limited knowledge of the natural history of GAPPS as it relates to PPI use, an approach of caution that includes the early discontinuation of PPI therapy when clinically feasible and the close surveillance of family members at risk for GAPPS who have a history of chronic PPI use has been recommended.3

Similar to GAPPS, Helicobacter pylori (H. pylori) is a risk factor for the development of gastric adenocarcinoma.23,24 However, the exact relationship between H. pylori infection, GAPPS, and the development of gastric adenocarcinoma is yet to be established. Worthley et al. found a negative correlation between H. pylori infection and the expression of the GAPPS phenotype in susceptible populations.1 In their report, 27 family members with known H. pylori status were evaluated. All family members with the GAPPS phenotype were negative for H. pylori (0 out of 18), while four out of nine family members with the GAPPS phenotype tested positive for H. pylori.11 H. pylori infection has also been found to be protective against the risk of developing FGPs in healthy subjects and those with FAP.16‒19 Another study reported the regression of FGPs in family members of patients with FAP following the acquisition of H. pylori infection.20 Similarly, Nakamura et al. evaluated patients with FAP and found lower rates of H. pylori infection in those with FGPs compared to those without FGPs (13% vs. 67%).18 However, this study also described a positive correlation between H. pylori infection and the degree of atrophic gastritis with the incidence of gastric adenomas.18 Since the role of H. pylori infection in the pathophysiology of GAPPS remains unclear, the clinical management of GAPPS is currently independent of H. pylori status.1,3

Previous reports on GAPPS have suggested a poor correlation between the endoscopic and histopathologic findings on sampled polyps with the risk of harboring invasive gastric cancer. This is likely related to the risk of missing occult sites of malignant transformation and focal progression due to the difficulty in adequately sampling hundreds of large gastric polyps with heterogeneous patterns of dysplasia.1,6 In their reports, Worthley and Repak et al. underlined the high risk of malignant transformation and metastases in patients with GAPPS after describing probands who presented with distant metastases following prolonged periods of “normal” endoscopic surveillance.1,6 Similarly, another report highlighted an early death from metastatic gastric adenocarcinoma in the 32-year-old daughter of an index patient with GAPPS.25 For these reasons, in the absence of prohibitive risk factors, early prophylactic total gastrectomy should be considered over prolonged endoscopic surveillance for all patients with GAPPS who have evidence of FGPs with dysplasia. This treatment approach is strongly recommended in the literature.1,3,4,25 Furthermore, all first-degree and other at-risk relatives of patients with GAPPS should be referred for genetic counseling and testing to determine their individual and familial risk.14

Beyond the risk of malignant transformation in GAPPS, it is unclear if GAPPS is associated with an increased risk of cancer at extra-gastric sites. Previous reports have mentioned a high incidence of colonic polyps in family members of patients with GAPPS.1,26 As shown by Rudloff, colon cancer has been described in almost half of the GAPPS families reported to date (where information on family history was available).3 Of note, the patients discussed in our series had a first-degree relative with a history of colon cancer. It must be noted, however, that colon cancer is not considered a cancer phenotype of GAPPS. Other malignancies such as leukemia, skin cancers, thyroid, brain, prostate, and lung cancers have also been described in patients with GAPPS.3

We have summarized two patients with GAPPS with pathognomonic features of the syndrome on endoscopic, histopathologic, and genetic evaluation. The patients were young, relatively healthy and despite having benign polyps on histology, were anxious about the risk of malignant transformation. They underwent prophylactic total gastrectomies with good postoperative outcomes. Genetic testing was offered to all their first-degree relatives (family of five): the father tested positive, the mother tested negative, and a brother was negative (Figure 5). The father described a remote history of gastric polyposis seen on a prior upper endoscopy but declined further workup or prophylactic surgery. While no guidelines for surveillance exist, following a multidisciplinary discussion, we opted for a six-month follow-up EGD and a one-year abdominopelvic CT scan for our patients.

Figure 5. Pedigree Chart.

Conclusion

In conclusion, GAPPS is a novel, rare, autosomal dominant gastric polyposis syndrome characterized by extensive proximal polyposis of the stomach with sparing of the gastric antrum and duodenum and associated with a risk of malignant transformation. The natural history of GAPPS, as well as the impact of other factors on GAPPS and carcinogenesis, is currently unclear. In addition, there are no screening, surveillance, and treatment guidelines for managing GAPPS. However, we recommend a multidisciplinary approach to the management of this rare syndrome, including genetic counseling. We also favor early prophylactic total gastrectomy over prolonged endoscopic surveillance for young patients and/or those deemed good surgical candidates.

Lessons Learned

GAPPS is associated with a risk of malignant transformation, distant metastases, and death. Due to the poor correlation between the endoscopic findings on sampled gastric polyps and the risk of harboring invasive gastric cancer, patients with GAPPS should be strongly considered for early prophylactic total gastrectomies in the absence of prohibitive comorbidities.

References

  1. Worthley DL, Phillips KD, Wayte N, et al. Gastric adenocarcinoma and proximal polyposis of the stomach (GAPPS): a new autosomal dominant syndrome [published correction appears in Gut. 2012 Sep;61(9):1305]. Gut. 2012;61(5):774-779. doi:10.1136/gutjnl-2011-300348
  2. Yanaru-Fujisawa R, Nakamura S, Moriyama T, et al. Familial fundic gland polyposis with gastric cancer. Gut. 2012;61(7):1103-1104. doi:10.1136/gutjnl-2011-301384
  3. Rudloff U. Gastric adenocarcinoma and proximal polyposis of the stomach: diagnosis and clinical perspectives. Clin Exp Gastroenterol. 2018;11:447-459. Published 2018 Dec 3. doi:10.2147/CEG.S163227
  4. Foretová L, Navrátilová M, Svoboda M, et al. GAPPS - Gastric Adenocarcinoma and Proximal Polyposis of the Stomach Syndrome in 8 Families Tested at Masaryk Memorial Cancer Institute - Prevention and Prophylactic Gastrectomies. GAPPS - syndrom adenokarcinomu žaludku a mnohočetné polypózy žaludku v 8 rodinách testovaných v Masarykově onkologickém ústavu - prevence vč. profylaktické gastrektomie. Klin Onkol. 2019;32(Supplementum2):109-117. doi:10.14735/amko2019S109
  5. Li J, Woods SL, Healey S, et al. Point Mutations in Exon 1B of APC Reveal Gastric Adenocarcinoma and Proximal Polyposis of the Stomach as a Familial Adenomatous Polyposis Variant. Am J Hum Genet. 2016;98(5):830-842. doi:10.1016/j.ajhg.2016.03.001
  6. Repak R, Kohoutova D, Podhola M, et al. The first European family with gastric adenocarcinoma and proximal polyposis of the stomach: case report and review of the literature. Gastrointest Endosc. 2016;84(4):718-725. doi:10.1016/j.gie.2016.06.023
  7. Beer A, Streubel B, Asari R, Dejaco C, Oberhuber G. Gastric adenocarcinoma and proximal polyposis of the stomach (GAPPS) - a rare recently described gastric polyposis syndrome - report of a case. GAPPS – eine seltene, 2012 erstmals beschriebene Magenpolypose – ein Fallbericht. Z Gastroenterol. 2017;55(11):1131-1134. doi:10.1055/s-0043-117182
  8. Mitsui Y, Yokoyama R, Fujimoto S, et al. First report of an Asian family with gastric adenocarcinoma and proximal polyposis of the stomach (GAPPS) revealed with the germline mutation of the APC exon 1B promoter region. Gastric Cancer. 2018;21(6):1058-1063. doi:10.1007/s10120-018-0855-5
  9. Morais DJ, Yamanaka A, Zeitune JM, Andreollo NA. Gastric polyps: a retrospective analysis of 26,000 digestive endoscopies. Arq Gastroenterol. 2007;44(1):14-17. doi:10.1590/s0004-28032007000100004
  10. Burt RW. Gastric fundic gland polyps. Gastroenterology. 2003;125(5):1462-1469. doi:10.1016/j.gastro.2003.07.017
  11. Freeman HJ. Proton pump inhibitors and an emerging epidemic of gastric fundic gland polyposis. World J Gastroenterol. 2008;14(9):1318-1320. doi:10.3748/wjg.14.1318
  12. Lynch HT, Smyrk T, McGinn T, et al. Attenuated familial adenomatous polyposis (AFAP). A phenotypically and genotypically distinctive variant of FAP. Cancer. 1995;76(12):2427-2433. doi:10.1002/1097-0142(19951215)76:12<2427::aid-cncr2820761205>3.0.co;2-b
  13. Vogt S, Jones N, Christian D, et al. Expanded extracolonic tumor spectrum in MUTYH-associated polyposis. Gastroenterology. 2009;137(6):. doi:10.1053/j.gastro.2009.08.052
  14. Yen T, Stanich PP, Axell L, Patel SG. APC-Associated Polyposis Conditions. In: Adam MP, Mirzaa GM, Pagon RA, et al., eds. GeneReviews®. Seattle (WA): University of Washington, Seattle; December 18, 1998.
  15. Jalving M, Koornstra JJ, Wesseling J, Boezen HM, DE Jong S, Kleibeuker JH. Increased risk of fundic gland polyps during long-term proton pump inhibitor therapy. Aliment Pharmacol Ther. 2006;24(9):1341-1348. doi:10.1111/j.1365-2036.2006.03127.x
  16. Huang CZ, Lai RX, Mai L, Zhou HL, Chen HJ, Guo HX. Relative risk factors associated with the development of fundic gland polyps. Eur J Gastroenterol Hepatol. 2014;26(11):1217-1221. doi:10.1097/MEG.0000000000000199
  17. Tran-Duy A, Spaetgens B, Hoes AW, de Wit NJ, Stehouwer CD. Use of Proton Pump Inhibitors and Risks of Fundic Gland Polyps and Gastric Cancer: Systematic Review and Meta-analysis. Clin Gastroenterol Hepatol. 2016;14(12):1706-1719.e5. doi:10.1016/j.cgh.2016.05.018
  18. Nakamura S, Matsumoto T, Kobori Y, Iida M. Impact of Helicobacter pylori infection and mucosal atrophy on gastric lesions in patients with familial adenomatous polyposis. Gut. 2002;51(4):485-489. doi:10.1136/gut.51.4.485
  19. Straub SF, Drage MG, Gonzalez RS. Comparison of dysplastic fundic gland polyps in patients with and without familial adenomatous polyposis. Histopathology. 2018;72(7):1172-1179. doi:10.1111/his.13485
  20. Watanabe N, Seno H, Nakajima T, et al. Regression of fundic gland polyps following acquisition of Helicobacter pylori. Gut. 2002;51(5):742-745. doi:10.1136/gut.51.5.742
  21. Dacha S, Razvi M, Massaad J, Cai Q, Wehbi M. Hypergastrinemia. Gastroenterol Rep (Oxf). 2015;3(3):201-208. doi:10.1093/gastro/gov004
  22. Malfertheiner P, Kandulski A, Venerito M. Proton-pump inhibitors: understanding the complications and risks. Nat Rev Gastroenterol Hepatol. 2017;14(12):697-710. doi:10.1038/nrgastro.2017.117
  23. Atherton JC. The pathogenesis of Helicobacter pylori-induced gastro-duodenal diseases. Annu Rev Pathol. 2006;1:63-96. doi:10.1146/annurev.pathol.1.110304.100125
  24. Kusters JG, van Vliet AH, Kuipers EJ. Pathogenesis of Helicobacter pylori infection. Clin Microbiol Rev. 2006;19(3):449-490. doi:10.1128/CMR.00054-05
  25. Anderson A, Swanson L, Plummer R, Abraham J. Identifying the Gapps in hereditary gastric polyposis syndromes. Am. J. Gastroenterology. 2018;113(Supplement). doi:10.14309/00000434-201810001-02706
  26. McDuffie LA, Sabesan A, Allgäeuer M, et al. β-Catenin activation in fundic gland polyps, gastric cancer and colonic polyps in families afflicted by ‘gastric adenocarcinoma and proximal polyposis of the stomach’ (GAPPS). J Clin Pathol. 2016;69(9):826-833. doi:10.1136/jclinpath-2016-203746

Authors

Salami ACa; Stone JMb; Greenberg RHc; Leighton JCb; Miick Rd; Zavala SRe; Zeitzer KLf; Bakhos CTg,h

Author Affiliations

  1. Division of Thoracic and Foregut Surgery, University of Minnesota, Minneapolis, MN 55455
  2. Department of Surgery, Albert Einstein Healthcare Network, Philadelphia, PA 19141
  3. Division of Medical Oncology, Albert Einstein Healthcare Network, Philadelphia, PA 19141
  4. Department of Pathology and Laboratory Medicine, Albert Einstein Healthcare Network, Philadelphia, PA 19141
  5. South Jersey Gastroenterology, Marlton, NJ 08053
  6. Division of Radiation Oncology, Albert Einstein Healthcare Network, Philadelphia, PA 19141
  7. Department of Thoracic Medicine and Surgery, Temple University Hospital, Philadelphia, PA 19140
  8. Department of Surgical Oncology, Fox Chase Cancer Center, 333 Cottman Avenue, Philadelphia, PA 19111

Corresponding Author

Charles T. Bakhos, MD, MS, FACS
Department of Thoracic Medicine and Surgery
Temple University Hospital
3401 N. Broad Street, C501
Philadelphia, PA 19141
Phone: 215-707-9115
Email: charles.bakhos@tuhs.temple.edu

Department of Surgical Oncology
Fox Chase Cancer Center
333 Cottman Avenue
Philadelphia, PA 19111

Disclosure Statement

The authors have no conflicts of interest to disclose.

Funding/Support

This publication was supported by grant number P30 CA006927 from the National Cancer Institute. Its contents are solely the responsibility of the authors and does not necessarily represent the official views of the National Cancer Institute or the National Institutes of Health

Received: August 24, 2020
Revision received: October 27, 2020
Accepted: November 1, 2020