Unsupported Browser
The American College of Surgeons website is not compatible with Internet Explorer 11, IE 11. For the best experience please update your browser.
Menu
Become a member and receive career-enhancing benefits

Our top priority is providing value to members. Your Member Services team is here to ensure you maximize your ACS member benefits, participate in College activities, and engage with your ACS colleagues. It's all here.

Become a Member
Become a member and receive career-enhancing benefits

Our top priority is providing value to members. Your Member Services team is here to ensure you maximize your ACS member benefits, participate in College activities, and engage with your ACS colleagues. It's all here.

Become a Member
ACS
ACS Case Reviews

Symptomatic Giant Hepatic Artery Aneurysm with Concomitant Arterioportal Fistula

August 1, 2022

Abstract

Background

We present a case of a symptomatic giant hepatic artery aneurysm with associated erosion into the portal venous system creating an arterioportal fistula, which subsequently failed endovascular management, requiring surgical repair with complex vascular reconstruction.

Summary

Visceral artery aneurysm (VAA) is a rare and sometimes emergent vascular problem. The incidence of VAA is 0.1 to 2% in the general population and up to 10% in the elderly population. The most common location of a VAA is the splenic artery, followed by the hepatic artery. The prevalence of hepatic artery aneurysms (HAA) varies from 0.002 to 0.4%. Arterioportal fistulas are also very rare; however, they are more frequently seen given the rising use of endovascular procedures for liver disease. There are only a few reports regarding giant hepatic artery aneurysms and even fewer in combination with arterioportal fistulas.

Conclusion

Giant hepatic artery aneurysms and arterioportal fistulas are extremely rare entities, and even more, their concomitant presentation. Management may be challenging and involve multiple interventions, including complex endovascular and surgical interventions.

Key Words

visceral artery aneurysm; hepatic artery aneurysms; arterioportal fistulas; endovascular; surgery


Case Description

Visceral artery aneurysm (VAA) is an exceedingly rare and sometimes emergent vascular problem. The incidence of VAA is 0.1 to 2% in the general population and up to 10% in the elderly population.13 The most common location of a VAA is the splenic artery, followed by the hepatic artery.2,3 The prevalence of hepatic artery aneurysms (HAA) varies from 0.002 to 0.4%.46 Giant HAA are considered greater than 5 cm. Arterioportal fistulas are also very rare; however, they are more frequently seen given the rising use of endovascular procedures for the liver.7 There are only a few reports regarding giant hepatic artery aneurysms and even fewer in combination with arterioportal fistulas. We present a case of a symptomatic giant hepatic artery aneurysm with associated erosion into the portal venous system creating an arterioportal fistula, which subsequently failed endovascular management, requiring surgical repair with complex vascular reconstruction.

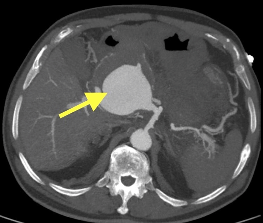
We present a case of a 74-year-old male with no significant past medical history and past surgical history who was initially seen at an outside hospital with abdominal pain and upper gastrointestinal bleeding. A CT of the abdomen and pelvis with contrast reported a giant visceral pseudoaneurysm (>12 cm) of the common hepatic artery a few millimeters after it was taken off from the celiac trunk eroding into the portal vein (PV) (Figure 1). An angiography was done for diagnostic and therapeutic purposes. The angiography showed that the PV had both ante- and retrograde flow. Given the magnitude of the aneurysm, the radiologist at that facility proceeded with coil embolization of the aneurysm but could not control the bleeding. The decision was made to place an endovascular balloon insufflated at the celiac trunk origin to stop the bleeding. He was transferred to our facility for definitive management.

Figure 1. Giant Common Hepatic Artery Aneurysm. Published With Permission

On arrival at our center and after a thorough evaluation of the available imaging records, interventional radiology was consulted for possible sent placement. Still, since the patient had previously failed coiled embolization of the hepatic artery and had an endovascular balloon insufflated at the celiac trunk origin to control the bleeding, he was not considered a candidate for stenting. The patient was taken to the operating room for definitive surgical management of the aneurysm and arterioportal fistula.

After induction of anesthesia, the patient was prepped and draped in the usual sterile fashion. A midline incision from the xiphoid to the pubic tubercle was performed. The falciform ligament and left triangular ligament of the liver were taken down; next, a Cattel–Braasch maneuver was performed to mobilize the colon and the small bowel. The lesser sac was opened using an energy device, and the distal stomach was stapled off because the pancreas was fused to it. Once the pancreas was identified, we traveled along its inferior border, tied off the splenic vein, and identified the superior mesenteric vein (SMV) and portal vein confluence. The anterior wall of the portal vein was almost entirely fused to the aneurysm, and we were unable to create an appropriate retro-pancreatic tunnel. The hepatic artery was ligated, as well as the common bile duct, to gain access and control over the PV. The gastroduodenal artery was identified and preserved. Once proximal and distal control was obtained, an anterior longitudinal cut into the aneurysm sac was made, the anterior wall was removed, and a large burden of clot was evacuated. At this point, we discovered that the anterior wall of the PV was almost entirely compromised. We decided to use a piece of 15 × 20 cm bovine pericardium as a conduit. We tabularized it with 6-0 Prolene stitches in a running fashion. Proximal and distal control was obtained, and the graft was sewed end-to-end in a single layer running fashion to the SMV on the proximal side and the portal vein stump in the same style on the distal side. Once this was completed, we reperfused and ensured we had good graft flow with Doppler. We desufflated the endovascular balloon but encountered bleeding at the celiac origin. Because the pseudoaneurysm created a significant mass effect distorting the patient's abdominal anatomy significantly, we decided to leave the endovascular balloon insufflated at the celiac trunk origin. We opted to pack the abdominal cavity, leave the abdomen open and transfer the patient to the intensive care unit where he could be resuscitated to take him back to the OR for a second look laparotomy and reconnect the gastrointestinal tract when hemodynamically stable. Before exiting the operating room, a cholecystectomy was performed. The patient was transferred to the intensive care unit, where he was resuscitated and remained intubated.

Figure 2. Portal Vein-Graft With Bovine Pericardium. Published With Permission

Seventy-two hours after the index surgery, the patient showed hemodynamic improvement and was taken back to the operating room. The abdomen was reopened, and sponges were removed—there was no gross bleeding. The liver looked viable with minimal signs of ischemia, and there was bile draining from the bile duct. Complete vascular ligation of the celiac trunk was performed, with subsequent removal of the endovascular balloon under direct vision. A Roux-en-Y end-to-side hepaticojejunostomy was created. Next, we performed a side-to-side gastrojejunostomy. The abdominal cavity was irrigated and widely drained. The abdomen was closed primarily.

The patient's transaminases peaked early after surgery. Despite the ischemia time secondary to the portal reconstruction and ligation of the hepatic artery, the liver function recovered to baseline without any major sequel. The transaminases trended down to double-digits twenty days after surgery. The postoperative course was complicated by hospital-acquired pneumonia and respiratory failure requiring tracheostomy. Twenty days after the index operation, the patient was discharged to an acute rehabilitation center.

Discussion

As previously mentioned, HAA is a rare vascular problem with a very low incidence. The majority of HAA are asymptomatic.6,8 They may be found incidentally in imaging studies done for other purposes.9 In patients who present without rupture, symptoms may be vague, such as abdominal pain, or more specific such as obstructive jaundice.4,6,8,10 Some studies have reported HAA rupture rates of 21 to 80% when present.4 The reported mortality after HAA rupture is 21 to 44%.11 Risk factors for rupture include multiple HAA, size, and non-atherosclerotic origin, particularly polyarteritis nodosa.4

HAA is more common in men, and they usually have associated comorbidities such as atherosclerosis, peripheral arterial disease, hypertension, collagen diseases, and vascular dysplasia.1,12,13 The gold standard study for the diagnosis of HAA is angiography.6,1416 CT angiography is also an excellent modality for diagnosis and has the benefits of identifying other VAA if present as well as the presence of arterioportal fistulas.17 Doppler US has also been described for the diagnosis of HAA.14,18 It is a convenient and non-invasive study, and it may be the first choice in patients with renal failure.

Although there are no clear guidelines regarding managing hepatic artery aneurysms, some studies have suggested treating asymptomatic aneurysms larger than 2 cm in patients with a life expectancy of two years and physiologically fit to undergo repair.4 They also consider observation for those less than 2 cm and repair in those who are symptomatic or have risk factors for rupture. The different approaches to aneurysms are surgical, endovascular, and a combination of both. Endovascular treatment of visceral aneurysms has been effective and has lower morbidity and mortality to surgery.3,9 However, other studies demonstrated no difference in operative mortality or renal function decline between endovascular and open repair.11,19,20 The need for re-interventions after the endovascular approach is higher when compared to the open approach for HAA.20 When an excision of the hepatic artery is performed, revascularization could be attempted. However, one case series and other case reports have described HAA resection without revascularization and liver function markers deterioration.2123 It should be noted that in the case presented, the endovascular intervention was non-definitive but likely saved his life because of how large the HAA was and the proximity to the celiac take-off (<1 cm). Had the endovascular balloon occlusion not taken place, he would have likely exsanguinated before ever leaving the hospital.

Even more unusual in this case was that our patient had an arterioportal fistula from the HAA, which preserved liver function and maintained dual directional flow. This constellation of symptoms is very uncommon and is almost absent from the peer-reviewed surgical literature. The increase of interventional procedures done for liver diseases and improved survival after trauma may be seen more frequently.7,2426

HAA can be classified based on its etiology, size involved vessel, and location. Guzman et al.7 classified them into three different types: type 1 is a small peripheral, intrahepatic fistula with minimal physiological consequences; type 2 is larger, more central with enough flow to cause elevated portal pressures; and type 3, or congenital fistula, is usually intrahepatic and diffuse, which may cause severe portal hypertension in infancy. In the case presented, the fistula was type 2; however, our patient did not show any signs of portal hypertension at presentation, perhaps because of the dual directionality of the portal flow.

The most common cause of arterioportal fistulas is trauma, followed by iatrogenic causes, congenital, malignancy, and rupture of VAA.27 Approximately 15% of APFs result from rupture of a splanchnic aneurysm, which eventually erodes into the portal venous system.26,28,29 In the case presented, the origin of the fistula is unclear and likely related to the underlying giant aneurysm.

The most common manifestations of AFP include gastrointestinal bleeding, ascites, heart failure, and diarrhea.27 These patients usually have normal liver function tests, and pathology has conserved lobular architecture.2628 Diagnosis of an HAA is often incidental, found in imaging studies done for other reasons. Angiography is the best study for diagnosis.25 Early enhancing of the portal vein on arterial injection is pathognomonic. Ultrasound may be useful as well, demonstrating arterialization of a dilated portal system with or without hepatofugal flow.25,27 CT scan and MRI will show early filling of the portal system in the arterial phase.24,27 Arterioportal fistulas could be treated through the endovascular approach, surgical approach, or a combination of both approaches. The surgical approach may include ligation of the feeding artery, excision with or without repair, hepatectomy, and in rare cases, liver transplant.30 Endovascular approach most commonly consists of embolization of the feeding vascular branches to the fistula. It may require the embolization of multiple vessels, especially after a liver transplant, where multiple feeding arteries have been described in up to 20 to 25% of the cases.31

Small peripheral and asymptomatic fistulas can be observed without treatment since they may close spontaneously over time.25,32 If the fistula is symptomatic, location is extrahepatic, or signs of portal hypertension are present, then treatment is warranted.7,27,32 Endovascular embolization is considered the preferred approach, given its high success rate and low complication rates.33,34 If an endovascular approach fails to treat the fistula completely, surgery is indicated. That being said, this surgery is often very difficult and is associated with significant blood loss, and is not free of complications. Other complications include liver failure, abscess, portal vein thrombosis, biliary fistula, bile duct stricture, stroke, migration of coils, organ ischemia, and vascular injury.35,36

Conclusion

Giant hepatic artery aneurysms and arterioportal fistulas are extremely rare entities, even more so in their concomitant presentation. Management may be challenging and involve multiple interventions, including complex endovascular and surgical interventions.

Lessons Learned

Giant hepatic artery aneurysms and arterioportal fistulas are extremely rare entities. Management can be challenging and involves complex endovascular and surgical interventions.

References

  1. Pasha SF, Gloviczki P, Stanson AW, Kamath PS. Splanchnic artery aneurysms. Mayo Clin Proc. 2007;82(4):472-479. doi:10.4065/82.4.472
  2. Grego FG, Lepidi S, Ragazzi R, Iurilli V, Stramanà R, Deriu GP. Visceral artery aneurysms: a single center experience. Cardiovasc Surg. 2003;11(1):19-25. doi:10.1016/s0967-2109(02)00121-7
  3. Huang YK, Hsieh HC, Tsai FC, Chang SH, Lu MS, Ko PJ. Visceral artery aneurysm: risk factor analysis and therapeutic opinion. Eur J Vasc Endovasc Surg. 2007;33(3):293-301. doi:10.1016/j.ejvs.2006.09.016
  4. Abbas MA, Fowl RJ, Stone WM, et al. Hepatic artery aneurysm: factors that predict complications. J Vasc Surg. 2003;38(1):41-45. doi:10.1016/s0741-5214(03)00090-9
  5. Palubinskas S, Rasmussen SL. Hepatic artery aneurysm causing gastrointestinal haemorrhage - Case report and literature review. Int J Surg Case Rep. 2017;41:12-16. doi:10.1016/j.ijscr.2017.08.067
  6. Zhang X, Stueck AE, Florman S, Thung SN, Lewis S. Multifocal Intrahepatic Artery Aneurysm with FDG-avid Thrombosis Simulating Metastasis: Report of a Rare Case. J Clin Exp Hepatol. 2016;6(4):321-325. doi:10.1016/j.jceh.2016.08.002
  7. Guzman EA, McCahill LE, Rogers FB. Arterioportal fistulas: introduction of a novel classification with therapeutic implications. J Gastrointest Surg. 2006;10(4):543-550. doi:10.1016/j.gassur.2005.06.022
  8. Cimsit B, Ozden I, Emre AS. A rare intraabdominal tumor: giant hepatic artery aneurysm. J Med Invest. 2006;53(1-2):174-176. doi:10.2152/jmi.53.174
  9. Julianov A, Georgiev Y. Hepatic artery aneurysm causing obstructive jaundice. Quant Imaging Med Surg. 2014;4(4):294-295. doi:10.3978/j.issn.2223-4292.2014.06.02
  10. Erben Y, De Martino RR, Bjarnason H, et al. Operative management of hepatic artery aneurysms. J Vasc Surg. 2015;62(3):610-615. doi:10.1016/j.jvs.2015.03.077
  11. Lu M, Weiss C, Fishman EK, Johnson PT, Verde F. Review of visceral aneurysms and pseudoaneurysms. J Comput Assist Tomogr. 2015;39(1):1-6. doi:10.1097/RCT.0000000000000156
  12. Pfeiffer T, Reiher L, Grabitz K, et al. Reconstruction for renal artery aneurysm: operative techniques and long-term results. J Vasc Surg. 2003;37(2):293-300. doi:10.1067/mva.2003.117
  13. Künzle S, Glenck M, Puippe G, Schadde E, Mayer D, Pfammatter T. Stent-graft repairs of visceral and renal artery aneurysms are effective and result in long-term patency. J Vasc Interv Radiol. 2013;24(7):989-996. doi:10.1016/j.jvir.2013.03.025
  14. Bachar GN, Belenky A, Lubovsky L, Neuman-Levine M. Sonographic diagnosis of a giant aneurysm of the common hepatic artery. J Clin Ultrasound. 2002;30(5):300-302. doi:10.1002/jcu.10077
  15. Bernal AD, Loures P, Calle JC, Cunha B, Córdoba JC. Right hepatic artery aneurysm. Rev Col Bras Cir. 2016;43(5):401-403. doi:10.1590/0100-69912016005006
  16. Ferrara D, Giribono AM, Viviani E, Padricelli A, Santagata A, Del Guercio L. Endovascular management of a large hepatic artery aneurysm. Clin Ter. 2017;168(3):e178-e180. doi:10.7417/T.2017.2001
  17. O'Driscoll D, Olliff SP, Olliff JF. Hepatic artery aneurysm. Br J Radiol. 1999;72(862):1018-1025. doi:10.1259/bjr.72.862.10673957
  18. Gossili F, Zacho HD. Giant Hepatic Artery Aneurysm. Diagnostics (Basel). 2019;9(2):53. Published 2019 May 13. doi:10.3390/diagnostics9020053
  19. van Walraven C, Wong J, Morant K, et al. Radiographic monitoring of incidental abdominal aortic aneurysms: a retrospective population-based cohort study. Open Med. 2011;5(2):e67-e76.
  20. Barrionuevo P, Malas MB, Nejim B, et al. A systematic review and meta-analysis of the management of visceral artery aneurysms. J Vasc Surg. 2019;70(5):1694-1699. doi:10.1016/j.jvs.2019.02.024
  21. Liu ZJ, Yang SY, Xi PC, Aiman, Shi ZL, Bian JM. Surgical treatment of giant aneurysm of hepatic artery: report of three cases. Hepatogastroenterology. 2014;61(133):1192-1195.
  22. Lam S, Chan AC, Poon RT. Technical considerations for ligation of ruptured hepatic artery aneurysm: is arterial reconstruction necessary?. Hong Kong Med J. 2015;21(3):276-279. doi:10.12809/hkmj144260
  23. Imazuru T, Uchiyama M, Matsuyama S, Iida M, Shimokawa T. Surgical treatment of a huge hepatic artery aneurysm without revascularization-Case Report. Int J Surg Case Rep. 2018;51:95-98. doi:10.1016/j.ijscr.2018.08.020
  24. Choi BI, Lee KH, Han JK, Lee JM. Hepatic arterioportal shunts: dynamic CT and MR features. Korean J Radiol. 2002;3(1):1-15. doi:10.3348/kjr.2002.3.1.1
  25. Lumsden AB, Allen RC, Sreeram S, Atta H, Salam A. Hepatic arterioportal fistula. Am Surg. 1993;59(11):722-726.
  26. Strodel WE, Eckhauser FE, Lemmer JH, Whitehouse WM Jr, Williams DM. Presentation and perioperative management of arterioportal fistulas. Arch Surg. 1987;122(5):563-571. doi:10.1001/archsurg.1987.01400170069010
  27. Vauthey JN, Tomczak RJ, Helmberger T, et al. The arterioportal fistula syndrome: clinicopathologic features, diagnosis, and therapy. Gastroenterology. 1997;113(4):1390-1401. doi:10.1053/gast.1997.v113.pm9322535
  28. Van Way CW 3rd, Crane JM, Riddell DH, Foster JH. Arteriovenous fistula in the portal circulation. Surgery. 1971;70(6):876-890.
  29. Pasternak BM, Cohen H. Arteriovenous fistula and forward hypertension in the portal circulation. Angiology. 1978;29(5):367-373. doi:10.1177/000331977802900503
  30. Han P, Yang L, Huang XW, et al. A traumatic hepatic artery pseudoaneurysm and arterioportal fistula, with severe diarrhea as the first symptom: A case report and review of the literature. Medicine (Baltimore). 2018;97(7):e9893. doi:10.1097/MD.0000000000009893
  31. Saad WE. Arterioportal fistulas in liver transplant recipients. Semin Intervent Radiol. 2012;29(2):105-110. doi:10.1055/s-0032-1312571
  32. Jabbour N, Reyes J, Zajko A, et al. Arterioportal fistula following liver biopsy. Three cases occurring in liver transplant recipients. Dig Dis Sci. 1995;40(5):1041-1044. doi:10.1007/BF02064196
  33. Uemura A, Haruyama T, Nakata M, et al. Hybrid technique coil embolisation for intrahepatic arterioportal fistula in a cat: case report. JFMS Open Rep. 2016;2(1):2055116916642256. Published 2016 Apr 7. doi:10.1177/2055116916642256
  34. Hirakawa M, Nishie A, Asayama Y, et al. Clinical outcomes of symptomatic arterioportal fistulas after transcatheter arterial embolization. World J Radiol. 2013;5(2):33-40. doi:10.4329/wjr.v5.i2.33
  35. Basile A, Saluzzo CM, Lupattelli T, et al. Nonoperative management of iatrogenic lesions of celiac branches by using transcatheter arterial embolization. Surg Laparosc Endosc Percutan Tech. 2004;14(5):268-275. doi:10.1097/00129689-200410000-00008
  36. Chen Q, Tack C, Morcos M, et al. Embolotherapy of an arterioportal fistula. Cardiovasc Intervent Radiol. 2007;30(5):1047-1051. doi:10.1007/s00270-007-9041-6

Authors

Montorfano LMa; Cracco Ab; Shaw Jb

Author Affiliations

  1. Department of General Surgery, Cleveland Clinic Florida, Weston, FL 33331
  2. Transplantation Center, Cleveland Clinic Florida, Weston, FL 33331

Corresponding Author

Joshua Shaw, MD
Transplantation Center
Cleveland Clinic Florida
2950 Cleveland Clinic Boulevard
Weston, FL 33331
Email: jjshaw@me.com

Disclosure Statement

The authors have no conflicts of interest to disclose.

Funding/Support

The authors have no relevant financial relationships or in-kind support to disclose.

Received: September 1, 2020
Revision received: October 3, 2020
Accepted: November 24, 2020