Unsupported Browser
The American College of Surgeons website is not compatible with Internet Explorer 11, IE 11. For the best experience please update your browser.
Menu
Become a member and receive career-enhancing benefits

Our top priority is providing value to members. Your Member Services team is here to ensure you maximize your ACS member benefits, participate in College activities, and engage with your ACS colleagues. It's all here.

Become a Member
Become a member and receive career-enhancing benefits

Our top priority is providing value to members. Your Member Services team is here to ensure you maximize your ACS member benefits, participate in College activities, and engage with your ACS colleagues. It's all here.

Become a Member
ACS
ACS Case Reviews

Rosai-Dorfman Disease Mimicking Colorectal Malignancy

August 1, 2022

Abstract

Background

Rosai-Dorfman disease (RDD), otherwise known as sinus histiocytosis with massive lymphadenopathy, is a rare, benign self-limiting histiocytic proliferation that can affect any organ system in the human body. Occasionally, the presentation of RDD may overlap with more alarming malignant processes, leading to unique diagnostic challenges.

Summary

We present a case of a 54-year-old female incidentally diagnosed with a large, perirectal mass. Minimally invasive diagnostic techniques, including serial imaging, endoscopic biopsy, and CT-guided fine-needle aspiration, could not confirm etiology. Ultimately, the patient underwent surgical excision via low-anterior resection. Immunohistochemical staining confirmed the diagnosis of RDD.

Conclusion

RDD remains a unique clinical entity in its ability to affect most organ systems indiscriminately. Despite its benign nature, manifestations of RDD may mimic malignant disease. RDD can affect any portion of the gastrointestinal tract but may present as a concerning obstructing mass if involving the colon or rectum. The clinical course is mostly self-limited, and simple excision is usually curative. Treatment options for diffuse disease include steroids, immunosuppression, and, in some cases, systemic chemotherapy.

Key Words

colorectal; gastrointestinal; large bowel obstruction


Case Description

Rosai-Dorfman disease (RDD), otherwise known as sinus histiocytosis with massive lymphadenopathy, is a rare, idiopathic, benign self-limiting histiocytic proliferation first described in the mid-twentieth century.1 While the nodal disease typically affects young males, the extranodal disease shows a marked female predominance (90% in one series), and the mean age of diagnosis is 45.1 years (range 2-67 years).2,3 Clinically, patients usually present with painless lymphadenopathy, although other non-specific systemic findings such as fever, neutrophilia, or elevated inflammatory markers may be present. While predominantly a disease of the lymph nodes, extranodal disease may be present in almost 40% of cases.4 It is increasingly evident that RDD can affect nearly every part of the body, with extranodal disease described in the skin,5 breast,6 central nervous system,79 eye,10 genitourinary tract,11 and lung.12 Rarely, extranodal disease may manifest throughout the gastrointestinal tract, including the liver, pancreas, and small and large bowel. As with presentations in other organ systems, gastrointestinal involvement is highly variable and may present in both diffuse and localized patterns.13 These features may mimic presentations typically associated with more alarming etiologies, like intraabdominal solid-organ malignancy.

Clinically, intraabdominal solid-organ malignancy presents with non-specific features of abdominopelvic pain with associated changes in bowel habits. On imaging, there is often a visualized mass with associated lymphadenopathy. These findings would be considered alarming and precipitate prompt oncologic evaluation and workup in most cases. Given its rarity, RDD remains low on the differential in all cases. This report highlights an interesting case regarding incidental RDD mimicking colorectal malignancy ultimately requiring surgical intervention.

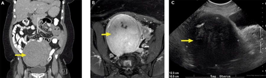
Our patient is a 54-year-old female previously known to surgical service for severe dysphagia secondary to achalasia, treated with Heller myotomy. During the laparoscopic myotomy, the patient was noted to have a large pelvic mass and a significantly enlarged fibroid uterus. She was referred to gynecology and underwent outpatient abdominal axial imaging with computed tomography (CT), magnetic resonance imaging (MRI), and transvaginal ultrasound (Figure 1). All studies indicated the presence of a large pelvic mass of unknown etiology with compression of local structures, as well as a fibroid uterus consistent with prior diagnostic laparoscopy. At the time of diagnosis, she complained of intermittent pelvic and lower abdominal pain but had normal bowel function. The pelvic exam was pertinent for fullness of the left anterior adnexa, and there were no abnormalities on the rectal exam. Laboratory testing confirmed normal cancer antigen 125 (CA125) and carcinoembryonic antigen (CEA) levels.

Figure 1. Imaging Findings of Pelvic Mass. Published With Permission

A) Axial abdominal CT scan; B) axial T2-weighted MRI; and C) transvaginal ultrasound.

The patient underwent an eventual colonoscopy and endoscopic ultrasound, which identified a 2 × 2 cm non-circumferential submucosal mass in the sigmoid colon, approximately 30 cm from the anal verge, with associated clusters of lymphadenopathy (Figure 2). These perirectal lymph nodes were as large as 9 mm in diameter and appeared hypoechoic and heterogeneous with well-defined endosonographic borders. Superficial colonoscopic biopsy with cold forceps was non-diagnostic. Interventional CT-guided fine-needle aspiration was attempted but aborted due to limited percutaneous accessibility.

Figure 2. Endoscopic Findings of Rectosigmoid Mass. Published With Permission

A) Colonoscopy with evidence of endoluminal protrusion of sigmoid mass; and B) endoscopic ultrasound highlighting abnormal perirectal lymphadenopathy.

Over the course of the disease, the patient developed progressive pelvic and back pain attributed to symptomatic uterine fibroids and a concurrent left ovarian cyst. Following a multidisciplinary discussion, the patient was taken to the operating room for an elective total abdominal hysterectomy and bilateral salpingo-oophorectomy with plans for intra-operative assessment of the pelvic mass. The uterus was removed through a lower midline incision, after which a firm mass was palpated in the wall of the distal rectum. The decision was made to proceed with a low anterior resection with oncologic margins. The colon was mobilized from the left lateral pelvic sidewall and divided five centimeters proximal to the palpable mass. The rectum was removed following the total mesorectal excision plane, along with several foci of palpable lymphadenopathy. The splenic flexure was mobilized to facilitate the creation of tension-free end-to-end colorectal anastomosis.

The rectosigmoid specimen was sent for permanent pathology. There was an apparent 5.0 × 4.0 × 2.6 cm tan-gray mass on gross pathology. The mass was irregular and involved the submucosa, muscularis propria, and subserosal adipose tissues. Cut surfaces were tan and homogeneous without hemorrhage or necrosis (Figure 3). Microscopic examination showed a fibrohistiocytic proliferative lesion with lymphocytic infiltrates and rare plasma cells (Figure 4). Associated mesenteric nodules were grossly identified, and microscopic examination revealed typical morphologic features of extranodal RDD. These findings included marked sinus histiocytosis with phagocytosed small lymphocytes (emperipolesis) and immunoreactivity with antibodies to CD68 and S-100 (Figure 5). Postoperatively, the patient recovered well with an unremarkable hospitalization. In follow-up, the patient reports variable, self-limiting changes in bowel habits, including intermittent diarrhea and constipation. She has undergone subsequent axial imaging with rectal contrast that shows resolution of mass without evidence of intraluminal narrowing or stenosis. There is no evidence of recurrence.

Figure 3. Cross Section of Rectosigmoid Mass. Published With Permission

Cross of rectal mass involving muscularis propria and expanding subserosal adipose tissue with mucosal sparing.

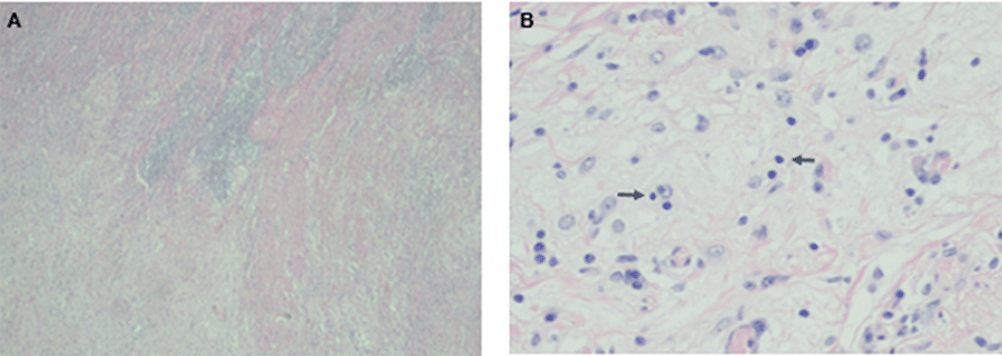
Figure 4. Microscopic Features of the Rectosigmoid Mass. Published With Permission

Low-power shows lymphocytic and histiocytic infiltrates and fibrosis; A) high-power shows scattered emperipolesis; and B) high-power shows scattered emperipolesis: histiocytes with phagocytosed small lymphocytes in cytoplasm (arrows).

Figure 5. Immunohistochemistry of Mesenteric Lymph Node. Published With Permission

A: Routine high power H&E stain shows sinus histiocytosis with emperipolesis (arrow); B: immunohistochemical stain with antibody to CD68, a histiocytic marker. High-power view of histiocytes (with brown cytoplasm) phagocytosed numerous small lymphocytes (arrow); and C: immunohistochemical stain with S-100.

Discussion

RDD remains a clinical entity that can pose a significant diagnostic dilemma. Cases of RDD are rarely described in the literature. The previous series have detailed the heterogeneous presentation of gastrointestinal RDD. In some cases, patients can present with an asymptomatic mass, while in others, they may have symptoms consistent with gastrointestinal malignancy, including hematochezia or abdominal pain. Imaging studies also appear consistent with gastrointestinal malignancy and often demonstrate focal mass with surrounding peritoneal lymphadenopathy. Tissue diagnosis is often necessary in these cases to confirm RDD and to rule out an underlying malignant neoplasm.11,14 For patients without local compression and mass effect, treatment options include corticosteroids, sirolimus, or systemic chemotherapy.15 Patients with local mass effect often respond well to surgical debulking but can recur or develop persistent extranodal disease.11,14

Differential considerations for a submucosal mass involving the tubular gastrointestinal tract are broad. These include inflammatory or reactive processes like IgG4 disease, benign (e.g., leiomyomas, lipomas, lymphangiomas), and malignant neoplasms (e.g., gastrointestinal stromal tumors, carcinoid tumors, sarcomas, adenocarcinoma). In our case, surgical excisional biopsy was necessitated due to limited sampling from less invasive methods. Only after pathologic examination of the surgical specimen was the diagnosis of RDD made.

RDD remains a unique clinical entity in its ability to affect most organ systems indiscriminately. Despite its benign nature, manifestations of RDD may mimic malignant disease. RDD can affect any portion of the gastrointestinal tract but may present as a concerning obstructing mass if it involves the colon or rectum. The clinical course is mostly self-limited, and simple excision is usually curative. Treatment options for diffuse disease include steroids, immunosuppression, and, in some cases, systemic chemotherapy.

Conclusion

RDD remains a unique clinical entity in its ability to affect most organ systems indiscriminately. Despite its benign nature, manifestations of RDD may mimic malignant disease. RDD can affect any portion of the gastrointestinal tract but may present as a concerning obstructing mass if involving the colon or rectum. The clinical course is self-limited, and simple excision is usually curative. Treatment may be needed in rare, disseminated patients.

Lessons Learned

Rosai-Dorfman disease (RDD) is a rare clinical entity that poses uniquely challenging diagnostic dilemmas. Diagnosis is typically made and confirmed via immunohistochemical studies following tissue biopsy or surgical excision.

References

  1. Rosai J, Dorfman RF. Sinus histiocytosis with massive lymphadenopathy. A newly recognized benign clinicopathological entity Arch Pathol. 1969;87(1):63-70.
  2. Mantilla JG, Goldberg-Stein S, Wang Y. Extranodal Rosai-Dorfman Disease: Clinicopathologic Series of 10 Patients With Radiologic Correlation and Review of the Literature. Am J Clin Pathol. 2016;145(2):211-221. doi:10.1093/ajcp/aqv029
  3. Alruwaii ZI, Zhang Y, Larman T, Miller JA, Montgomery EA. Rosai-Dorfman Disease of the Digestive System-Beware Vasculopathy: A Clinicopathologic Analysis. Am J Surg Pathol. 2019;43(12):1644-1652. doi:10.1097/PAS.0000000000001343
  4. Foucar E, Rosai J, Dorfman R. Sinus histiocytosis with massive lymphadenopathy (Rosai-Dorfman disease): review of the entity. Semin Diagn Pathol. 1990;7(1):19-73.
  5. Gaul M, Chang T. Cutaneous Rosai-Dorfman disease. Cutis. 2019;103(3):171-173.
  6. Jorns JM. Extranodal Rosai-Dorfman Disease of the Breast. Breast J. 2017;23(1):105-107.
  7. Luo Z, Zhang Y, Zhao P, et al. Characteristics of Rosai-Dorfman Disease Primarily Involved in the Central Nervous System: 3 Case Reports and Review of Literature. World Neurosurg. 2017;97:58-63. doi:10.1016/j.wneu.2016.09.084
  8. Yang X, Liu J, Ren Y, Richard SA, Zhang Y. Isolated intracranial Rosai-Dorfman disease mimicking petroclival meningioma in a child: Case report and review of the literature. Medicine (Baltimore). 2017;96(47):e8754. doi:10.1097/MD.0000000000008754
  9. Boissaud-Cooke MA, Bhatt K, Hilton DA, Muquit S. Isolated Intracranial Rosai-Dorfman Disease: Case Report and Review of the Literature. World Neurosurg. 2020;137:239-242. doi:10.1016/j.wneu.2020.01.229
  10. Choi MB, Salomão DR, Smith WM, Pulido JS, Garrity JA. Ophthalmic Findings of Rosai-Dorfman Disease. Am J Ophthalmol. 2018;188:164-172. doi:10.1016/j.ajo.2018.01.037
  11. Lami V, Ruggera L, Nguyen AAL, Fanelli GN, Vianello F, Zattoni F. Rosai-Dorfman Disease: Case Report of an Unusual Testicular Involvement and Review of Literature. Clin Genitourin Cancer. 2018;16(3):e529-e531. doi:10.1016/j.clgc.2018.03.008
  12. Al-Maghrabi H, Elmahrouk A, Feteih M, Jamjoom A, Al-Maghrabi J. Rosai-Dorfman disease with pulmonary involvement mimicking bronchogenic carcinoma. J Cardiothorac Surg. 2020;15(1):37. Published 2020 Feb 21. doi:10.1186/s13019-020-1085-6
  13. Lauwers GY, Perez-Atayde A, Dorfman RF, Rosai J. The digestive system manifestations of Rosai-Dorfman disease (sinus histiocytosis with massive lymphadenopathy): review of 11 cases. Hum Pathol. 2000;31(3):380-385. doi:10.1016/s0046-8177(00)80254-3
  14. Alatassi H, Ray MB, Galandiuk S, Sahoo S. Rosai-Dorfman disease of the gastrointestinal tract: report of a case and review of the literature. Int J Surg Pathol. 2006;14(1):95-99. doi:10.1177/106689690601400119
  15. Abla O, Jacobsen E, Picarsic J, et al. Consensus recommendations for the diagnosis and clinical management of Rosai-Dorfman-Destombes disease. Blood. 2018;131(26):2877-2890. doi:10.1182/blood-2018-03-839753

Authors

Poulos CMa; Yu Mb; Liang Ya

Author Affiliations

  1. Department of Surgery, University of Connecticut Health Center, Farmington CT 06030
  2. Department of Pathology, University of Connecticut Health Center, Farmington CT 06030

Corresponding Author

Constantine M. Poulos, MD
Department of Surgery
University of Connecticut Health Center
263 Farmington Avenue
Farmington, CT 06030
Phone: (203) 554-3885
Email: dpoulos@uchc.edu

Disclosure Statement

The authors have no conflicts of interest to disclose.

Funding/Support

The authors have no relevant financial relationships or in-kind support to disclose.

Received: August 24, 2020
Revision received: November 5, 2020
Accepted: December 7, 2020