Unsupported Browser
The American College of Surgeons website is not compatible with Internet Explorer 11, IE 11. For the best experience please update your browser.
Menu
Become a member and receive career-enhancing benefits

Our top priority is providing value to members. Your Member Services team is here to ensure you maximize your ACS member benefits, participate in College activities, and engage with your ACS colleagues. It's all here.

Become a Member
Become a member and receive career-enhancing benefits

Our top priority is providing value to members. Your Member Services team is here to ensure you maximize your ACS member benefits, participate in College activities, and engage with your ACS colleagues. It's all here.

Become a Member
ACS
ACS Case Reviews

Descending Necrotizing Mediastinitis: A Surgical Challenge Managed Using Subxiphoid VATS

August 1, 2022

Abstract

Background

Descending necrotizing mediastinitis (DNM) is a rare disorder following descending infections from the neck. The high mortality of this disorder was first reported in a 1938 case series. Approximately 65% of cases follow odontogenic infections and are common in immunocompromised individuals such as diabetics. The downward spread of infection is facilitated by gravity, breathing, and negative intrathoracic pressure. Patients may deteriorate rapidly; an early diagnosis and aggressive drainage are paramount. These patients are usually very sick, and traditional approaches such as sternotomy and thoracotomy are poorly tolerated. Video-assisted thoracoscopic surgery (VATS) can help reduce the morbidity associated with thoracotomy and sternotomy. We report the successful use of subxiphoid VATS in a patient of DNM who continued to deteriorate despite wide drainage through the cervical route.

Summary

A 45-year-old man with uncontrolled diabetic nephropathy presented with odontogenic cervical necrotizing fasciitis. The otorhinolaryngologists performed cervical drainage, but the patient failed to improve and developed progressive DNM. Imaging revealed multiple collections with air-fluid levels in the whole of the anterior mediastinum and retropharyngeal space extending up to the xiphisternum. Because of clinical deterioration and imaging findings, a decision was taken to drain the mediastinal abscess through subxiphoid VATS drainage. A prolonged postoperative course followed successful drainage due to associated comorbidities and a persistent right pneumothorax due to cervical pleural communication. The pneumothorax resolved after the closure of the cervical wound, and eventually, the patient was discharged on POD 30. He subsequently had his infected molar tooth extracted and on one year follow up, the patient is doing well with no sequelae or reinfections.

Conclusion

Descending necrotizing mediastinitis is a challenge for surgeons due to delayed diagnosis, sick patients, complex planes, and proximity to vital structures. The use of subxiphoid VATS can help manage this condition and reduce morbidity.

Key Words

cervical necrotizing fascitis; descending necrotizing mediastinitis; minimal access surgery; subxiphoid video-assisted thoracoscopic surgery


Case Description

Descending necrotizing mediastinitis (DNM) is a rare disorder with high mortality first reported in a case series in 1938.1 Early diagnosis and aggressive drainage have been the cornerstone of management. However, these patients are very sick, and traditional approaches to achieving drainage such as sternotomy/thoracotomy are poorly tolerated.2,3 Video-assisted thoracoscopic surgery (VATS) for managing DNM was first described in 19964 and is associated with reduced morbidity. Since then, others have also attempted VATS in the management of DNM with variable success.57 We report the successful use of subxiphoid VATS in a patient who developed DNM post-cervical drainage of cervical necrotizing fasciitis.

A 45-year-old man with uncontrolled diabetic nephropathy presented to the emergency department with swelling in the left side of his neck associated with fever persisting for five days. He had pain in the lower left molar for a few months and was advised to extract, which was ignored. The patient was febrile, tachycardic with a 'hot potato voice,' and stridor. Oral examination was restricted given trismus and hypoglossal palsy. The neck was diffusely swollen, extending from the submental region to the suprasternal region with crepitus. On investigation, the patient had anemia (9g%), leukocytosis (13800/mm3), and random sugars of 300gm% with urinary sugars and ketones present. A contrast-enhanced CT (CECT) of the neck and chest revealed multiple collections in the submandibular, pre-tracheal, para-pharyngeal, and retropharyngeal spaces extending just up to the anterior mediastinum. A fiberoptic laryngoscopy attempt found a retropharyngeal bulge with pooling of secretions, and the vocal cords could not be visualized. The patient was stabilized, and the otorhinolaryngologists performed an emergency tracheostomy with cervical incision and drainage (Figure 1).

Figure 1. Intraoperative Image During Cervical Drainage. Published With Permission

The patient showed signs of improvement initially but again developed fever and was referred to us when he developed respiratory distress and desaturation on postoperative day (POD) 9. A chest x-ray revealed a widening of the mediastinum, and a repeat CECT showed multiple collections with air-fluid levels in the whole of the anterior mediastinum as well as in retropharyngeal space (Figure 2) extending down into the danger space which lies posterior to the retropharyngeal space opening to the level of the diaphragm behind the esophagus. The predominant component of the chest collection was in the retrosternal region and extended up to the xiphisternum.

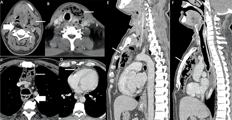
Figure 2. Axial (A‒D) and Sagittal (E‒F) Contrast-enhanced CT Images. Published With Permission

Images show collections with mottled air lucencies and air-fluid levels in left submandibular space. A) Cervical visceral space; B) pre-tracheal space and anterior mediastinum; and (C‒F) retropharyngeal space (thick arrow, A), tracking below to danger space (thick arrow, C) in chest. Large anterior mediastinal collection tracked up to xiphisternum (thin arrow).

Given the clinical deterioration and imaging findings of a large retrosternal collection, it was decided to drain the mediastinal abscess; VATS drainage was planned through a subxiphoid approach. The surgery was performed in the emergency room under general anesthesia. Initial dissection was performed through the subxiphoid port. Contrary to CT findings, we did not find any pus in the lower aspect of the mediastinum. Two additional ports were placed in the left parasternal and right midclavicular line at the fifth intercostal space to facilitate dissection (Figure 3).

Figure 3. Subxiphoid View During VATS Drainage and Debridement. Published With Permission

A) Initial view of the mediastinum through subxiphoid port (note absence of pus; arrow represents retrosternal tunnel); B) view of superior mediastinum (note pus drainage and cervical drain); and C) view post drainage with cervical drain (star represents cervical drainage tube).

Drainage and debridement were continued superiorly until we encountered a tube placed through the cervical incision into the mediastinum. The cervical and mediastinal cavities were communicated to ensure free drainage, and thorough irrigation was done. The right pleural cavity was opened during this process since pus cavities extended more to the right side, and a chest tube was also placed. Another drain was placed through the subxiphoid port into the mediastinum, and ports were closed. The patient was shifted to the ICU under ventilator support and weaned off on POD 12. The patient improved subsequently, but due to the presence of a cervical pleural communication, a right pneumothorax with inadequate lung expansion persisted, which was managed by regular cervical dressings and negative suction. The cervical wound was closed on POD 14, and the ICD was removed on POD 27. The patient improved and was discharged on POD 30. The molar tooth was extracted subsequently. The patient was doing well at one-year follow-up with no trismus or dysphagia and no infective sequelae. His diabetes is under control with persisting nephropathy.

Discussion

Descending necrotizing mediastinitis (DNM) is a rare and aggressive disorder that originates in the neck and descends to involve the mediastinum. It is associated with a fulminant course causing sepsis, pyothorax, pericarditis, multiorgan failure, and high mortality, making it a considerable challenge for surgeons. Most of these infections are primarily odontogenic (65%), retropharyngeal or parapharyngeal, and are usually seen in immunocompromised individuals such as people with diabetes.3,6,8,9 Downward spread of infection is facilitated by gravity, breathing, and negative intrathoracic pressure.10 In 1998, Endo et al. classified the extent of mediastinal spread depending on the region involved. Type I represents extension into anterior mediastinum up to the tracheal bifurcation, type IIA includes extension below tracheal bifurcation, and posterior mediastinal involvement is considered type IIB.11

Diagnosis requires a high index of suspicion; and in 1983, Estrera established a criterion that included 1) clinical evidence of severe oropharyngeal infection, 2) characteristic features of mediastinitis on chest x-ray (CXR) and contrast-enhanced computed tomography (CECT) of the chest, 3) documentation of necrotizing mediastinal infection at operation or autopsy, and 4) establishment of the relationship between DNM and the oropharyngeal process.12

The treatment principles include aggressive surgical drainage, appropriate perioperative antibiotics, and stabilization of comorbidities.13 Surgical technique usually follows the extent of mediastinal spread as defined by Endo et al.11 Traditionally, transcervical drainage (TC) has been used for type I DNM, whereas thoracotomy (THC), sternotomy (ST), subxiphoid drainage (SBX), and clamshell incisions have been preferred for type II DNM. A systematic review revealed that before 2000, 54% of patients underwent transcervical drainage, 37% thoracotomy, 2% combined transcervical and thoracotomy, and the remaining 7% underwent miscellaneous procedures. The mortality rates during this period ranged from 23 to 51%.3 In a more recent study of 60 patients with DNM where thoracotomy was used for drainage, 35% mortality2 was reported. Thus, it is evident that such sick patients poorly tolerate major procedures such as thoracotomy.

The advent of minimal access techniques such as video-assisted thoracoscopic surgery (VATS) and video-assisted mediastinoscopy surgery (VAMS) brought with it the potential to provide early intervention and avoid using the traditional morbid procedures. The first successful use of VATS in the drainage of DNM following esophageal perforation was reported in 1997.4 Roberts et al. also combined the procedure with a cervical incision for drainage. Following its successful use, interest was generated in using minimal access techniques for draining mediastinal infections.

A study by Chen and coauthors described their 10-year experience in 2008, including 18 patients.5 Ten patients underwent transcervical drainage, six VATS, and one each open subxiphoid and mediastinoscopy assisted drainage. The team lost three patients (16.7%), including one who had undergone VATS. The mortality in this study was lower than that seen in previous studies using an open approach.2,3,5 In 2011, Wakahara et al. described the successful use of VATS with mini-thoracotomy and cervical drainage in 11 patients; they had no mortality.7 In 2015, a review article was published relating five years of experience in treating DNM in Japan. This study included 89 patients, of which 21 (23.6%) underwent VATS, and the remaining 68 (76.4%) other procedures. They lost four patients with none from the VATS-treated group.6

Concerning the approach used in VATS, most of the above studies have described a lateral approach with the patient placed in the lateral decubitus position.5,1416 Further, the surgeries were performed with lung isolation using a double-lumen tube.5,16,17 Guan and coauthors attempted the subxiphoid technique; however, they used a larger incision and excised the xiphoid process to gain entry.18 We used the subxiphoid approach with the patient in the supine position and under a single-lumen tube using standard trocars. The expertise for lung isolation may not be available in all settings, particularly at odd hours, and the subxiphoid approach is advantageous since it does not need lung isolation. The supine position and subxiphoid approach also benefit from simultaneous neck and mediastinal exploration with an end-on view of the complete anterior mediastinum and the potential to avoid contamination of the pleural cavity due to direct entry into the mediastinum. It was helpful in our case where the guidance of a tube placed through the neck incision helped us identify correct planes. We intended to avoid opening the pleura and avoid contamination. However, the dense adhesions of the abscess cavity to on right side necessitated opening the pleura to ensure complete debridement.

Conclusion

Descending necrotizing mediastinitis is a challenge for surgeons due to delayed diagnosis, sick patients, and complex planes and proximity to vital structures. Using subxiphoid VATS can help manage this condition with reduced morbidity.

Lessons Learned

Cervical drainage failed to control the infection in the case of this patient with uncontrolled diabetes presenting with progressive descending necrotizing mediastinitis. Timely intervention using subxiphoid VATS drainage helped in the patient's recovery. VATS drainage avoids the morbidity of open drainage.

References

  1. Pearse HE. Mediastinitis following cervical suppuration. Ann Surg. 1938; 108(4):588–611. doi:10.1097/00000658-193810000-00009
  2. Dajer-Fadel WL, Ibarra-Pérez C, Sánchez-Velázquez LD, Borrego-Borrego R, Navarro-Reynoso FP, Argüero-Sánchez R. Descending necrotizing mediastinitis below the tracheal carina. Asian Cardiovasc Thorac Ann. 2014;22(2):176-182. doi:10.1177/0218492313485589
  3. Prado-Calleros HM, Jiménez-Fuentes E, Jiménez-Escobar I. Descending necrotizing mediastinitis: Systematic review on its treatment in the last 6 years, 75 years after its description. Head Neck. 2016;38 Suppl 1:E2275-E2283. doi:10.1002/hed.24183
  4. Roberts JR, Smythe WR, Weber RW, Lanutti M, Rosengard BR, Kaiser LR. Thoracoscopic management of descending necrotizing mediastinitis. Chest. 1997;112(3):850-854. doi:10.1378/chest.112.3.850
  5. Chen KC, Chen JS, Kuo SW, et al. Descending necrotizing mediastinitis: a 10-year surgical experience in a single institution. J Thorac Cardiovasc Surg. 2008;136(1):191-198. doi:10.1016/j.jtcvs.2008.01.009
  6. Sumi Y. Descending necrotizing mediastinitis: 5 years of published data in Japan. Acute Med Surg. 2014;2(1):1-12. Published 2014 Jun 26. doi:10.1002/ams2.56
  7. Wakahara T, Tanaka Y, Maniwa Y, Nishio W, Yoshimura M. Successful management of descending necrotizing mediastinitis. Asian Cardiovasc Thorac Ann. 2011;19(3-4):228-231. doi:10.1177/0218492311408641
  8. Qu L, Liang X, Jiang B, Qian W, Zhang W, Cai X. Risk Factors Affecting the Prognosis of Descending Necrotizing Mediastinitis From Odontogenic Infection. J Oral Maxillofac Surg. 2018;76(6):1207-1215. doi:10.1016/j.joms.2017.12.007
  9. Wei D, Bi L, Zhu H, He J, Wang H. Less invasive management of deep neck infection and descending necrotizing mediastinitis: A single-center retrospective study. Medicine (Baltimore). 2017;96(15):e6590. doi:10.1097/MD.0000000000006590
  10. Kang SK, Lee S, Oh HK, et al. Clinical features of deep neck infections and predisposing factors for mediastinal extension. Korean J Thorac Cardiovasc Surg. 2012;45(3):171-176. doi:10.5090/kjtcs.2012.45.3.171
  11. Endo S, Murayama F, Hasegawa T, et al. Guideline of surgical management based on diffusion of descending necrotizing mediastinitis. Jpn J Thorac Cardiovasc Surg. 1999;47(1):14-19. doi:10.1007/BF03217934
  12. Estrera AS, Landay MJ, Grisham JM, Sinn DP, Platt MR. Descending necrotizing mediastinitis. Surg Gynecol Obstet. 1983;157(6):545-552.
  13. Brunelli A, Sabbatini A, Catalini G, Fianchini A. Descending necrotizing mediastinitis. Surgical drainage and tracheostomy. Arch Otolaryngol Head Neck Surg. 1996;122(12):1326-1329. doi:10.1001/archotol.1996.01890240034008
  14. Chen IC, Hsu JH, Dai ZK. Management of descending necrotizing mediastinitis complicated with empyema by video-assisted thoracoscopic surgery. Pediatr Pulmonol. 2016;51(5):E17-E20. doi:10.1002/ppul.23375
  15. Yanık F, Karamustafaoğlu YA, Yoruk Y. Management of a difficult infectional disease: Descending necrotizing mediastinitis. J Infect Dev Ctries. 2018;12(9):748-754. Published 2018 Sep 30. doi:10.3855/jidc.10482
  16. Son HS, Cho JH, Park SM, Sun K, Kim KT, Lee SH. Management of descending necrotizing mediastinitis using minimally invasive video-assisted thoracoscopic surgery. Surg Laparosc Endosc Percutan Tech. 2006;16(6):379-382. doi:10.1097/01.sle.0000213726.72709.62
  17. Min HK, Choi YS, Shim YM, Sohn YI, Kim J. Descending necrotizing mediastinitis: a minimally invasive approach using video-assisted thoracoscopic surgery. Ann Thorac Surg. 2004;77(1):306-310. doi:10.1016/s0003-4975(03)01333-x
  18. Guan X, Zhang WJ, Liang X, et al. Optimal surgical options for descending necrotizing mediastinitis of the anterior mediastinum. Cell Biochem Biophys. 2014;70(1):109-114. doi:10.1007/s12013-014-9865-z

Authors

Kumar A; Parshad R; Suhani S; Bhattacharjee HK; Pirabu S; Goyal A

Author Affiliations

All India Institute of Medical Sciences, New Delhi, India

Corresponding Author

Rajinder Parshad, MS, FACS
Department of Surgical Disciplines
All India Institute of Medical Sciences
Ansari Nagar, New Delhi – 110029, India
Phone: +91-9868397715
Email: drrajinderparshad.aiims@gmail.com

Disclosure Statement

The authors have no conflicts of interest to disclose.

Funding/Support

The authors have no relevant financial relationships or in-kind support to disclose.

Received: July 20, 2020
Revision received: October 10, 2020
Accepted: November 24, 2020