Unsupported Browser
The American College of Surgeons website is not compatible with Internet Explorer 11, IE 11. For the best experience please update your browser.
Menu
Become a member and receive career-enhancing benefits

Our top priority is providing value to members. Your Member Services team is here to ensure you maximize your ACS member benefits, participate in College activities, and engage with your ACS colleagues. It's all here.

Become a Member
Become a member and receive career-enhancing benefits

Our top priority is providing value to members. Your Member Services team is here to ensure you maximize your ACS member benefits, participate in College activities, and engage with your ACS colleagues. It's all here.

Become a Member
ACS
ACS Case Reviews

Retroperitoneal Fibrosis: A Harbinger of Metastatic Gastric Adenocarcinoma

August 1, 2022

Abstract

Background

Retroperitoneal fibrosis (RPF) is uncommonly associated with metastatic gastric cancer. We present a patient with biopsy-proven gastric adenocarcinoma and findings of RPF without additional intra-abdominal pathology on computed tomography (CT). Staging laparoscopy at the time of renal decompression confirmed peritoneal carcinomatosis.

Summary

A 66-year-old woman was found to have RPF on CT without additional findings. Further workup included an EGD demonstrating a nodular mass extending through the gastric cardia and body that was positive for gastric adenocarcinoma and also positron emission tomography/computed tomography (PET/CT) with FDG-avidity throughout the gastric body and new bilateral hydronephrosis. Six weeks after the initial CT scan, subsequent staging laparoscopy identified peritoneal carcinomatosis and linitis plastica. While the association between RPF and gastric adenocarcinoma is rare in the literature, malignant RPF is more frequently associated with other malignancies. Furthermore, most case reports in the literature cannot address the effect of chemotherapy on RPF associated with metastatic gastric adenocarcinoma; the highly aggressive nature of malignancy-associated RPF often results in ureteral obstruction and acute renal failure progressing to hemodialysis, thereby rendering a patient ineligible for chemotherapy.

Conclusion

We recommend timely workup of patients who present with clinical symptoms concerning for malignancy and RPF. Patients with malignancy-associated RPF frequently decompensate and become unable to tolerate chemotherapy, reducing palliative options.

Key Words

gastric adenocarcinoma; retroperitoneal fibrosis


Case Description

The patient is a 66-year-old woman with a past medical history of hypertension who presented for an annual wellness exam. She reported a one-month history of unintentional weight loss, early satiety, and left lower quadrant (LLQ) and back pain. Computed tomography (CT) abdomen/pelvis performed within one week of her visit showed nonspecific infiltration of the retroperitoneum around the aorta, more extensive on the left than the right, consistent with early RPF without encasement or stricture of the ureters and pathologic adenopathy (Figure 1A). Esophagogastroduodenoscopy (EGD) performed one month after her annual wellness visit showed gastric wall changes consistent with linitis plastica and a large (10 cm) nodular lesion in the gastric cardia extending to the pylorus. Biopsy of the gastric cardia revealed poorly cohesive adenocarcinoma with signet ring cells (Figure 2A), suspicious for lymphovascular invasion (Figure 2B), and positive for HER2 amplification. Concurrent colonoscopy was performed, and a single two mm tubular adenoma was removed from the ascending colon.

The patient was referred to our surgical oncology clinic for evaluation five weeks after her annual exam. Her interview revealed a history of diarrhea for one year, early satiety for four months, 4.5 kg unintentional weight loss over the past two months, and intermittent LLQ pain radiating to her back for two months. During this appointment, she was scheduled for staging laparoscopy, esophagogastroduodenoscopy/esophageal ultrasound (EGD/EUS), and positron emission tomography/computed tomography (PET/CT) to complete staging. EGD/EUS showed invasion limited to the muscularis propria, indicating stage T2 disease and hyperechoic lesions concerning peritoneal implants and ascites. PET/CT scan showed mild, diffuse gastric wall thickening with mild uptake (SUV 4.8), gastrosplenic lymph nodes larger than 11 mm (SUV 4.7), and a significant increase in ill-defined RP soft tissue extending to bilateral common iliac chains (SUV 3.3) producing new right hydroureteronephrosis extending to the upper pelvis (Figure 1B).

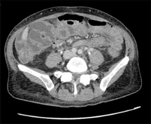
Figure 1. Axial Images of Abdomen Demonstrating Retroperitoneal Fibrosis. Published With Permission

A) CT abdomen/pelvis with IV contrast at time of diagnosis of RPF, with encasement notably visible at the level of the aortic bifurcation; B) PET/CT showing diffuse uptake throughout retroperitoneum (arrow indicating right hydronephrosis and hydroureter); C) CT abdomen/pelvis with IV contrast seven weeks after initial CT, revealing interval increase in RPF, at level superior to aortic bifurcation.

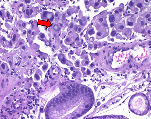
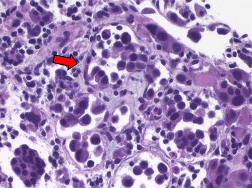
Figure 2. Images From EGD biopsy of Gastric Mass With Features of Gastric Adenocarcinoma. Published With Permission

A) Area of gastric adenocarcinoma with signet ring morphology (representative signet ring cell indicated by arrow) adjacent to benign gastric epithelium—hematoxylin & eosin stain (200x); B) Gastric adenocarcinoma with multiple foci of lymphovascular invasion (red arrow)—hematoxylin & eosin stain (400x)

The patient was referred to the ER for her new-onset right hydroureteronephrosis. One week after completing this workup and seven weeks after her initial CT, the patient was admitted for worsening abdominal and flank pain. On admission, she had lost an additional 2.3 kg, and CT abdomen/pelvis showed significant RPF progression and known gastric cancer (Figure 1C). An urgent joint case with urology and surgical oncology was performed to complete staging and address hydroureteronephrosis with retrograde pyelograms and bilateral ureteral stents. Staging laparoscopy revealed malignant ascites, multiple peritoneal implants in the right lower quadrant, pelvis (Figure 3A), mesentery, and serosa of the small bowel, and a healthy-appearing liver without gross evidence of cirrhosis. The malignant ascites were aspirated and sent for cytology, revealing signet ring cells and poorly differentiated carcinoma. Linitis plastica of the stomach was also noted (Figure 3B). Two abdominal wall implants overlying the pelvis were biopsied and sent for immediate pathologic assessment, which confirmed poorly differentiated high-grade adenocarcinoma.

Figure 3. Images From Staging Laparoscopy Demonstrate Peritoneal Carcinomatosis and Linitis Plastica. Published With Permission

A) Peritoneal implants on median umbilical fold (white arrow) and peritoneum overlying pelvis; B) view of anterior surface of stomach with linitis plastica (white arrows).

Her postoperative course was complicated by urinary retention, paralytic ileus secondary to narcotics, and malnutrition requiring total parenteral nutrition (TPN). During this admission, she was evaluated by medical oncology and started on FOLFOX (folinic acid, fluorouracil, oxaliplatin) four days after staging laparoscopy. She has continued outpatient therapy with FOLFOX with Herceptin. Her ileus resolved, but she continued TPN for nutritional support. Subsequent imaging has demonstrated a decrease in the size of gastrosplenic lymphadenopathy.

Discussion

Gastric cancer is the sixth most common malignancy worldwide, with higher incidence and prevalence rates in Asia. It has the fifth-highest mortality rate globally, though this is much lower in the United States, where there is a reduced incidence and prevalence.14 Gastric cancer has an indolent course, detected after patients become symptomatic, largely from mass effect of the primary mass, paraneoplastic syndromes, or metastatic burden. For this reason, approximately 50% of patients, at the time of presentation, have disease that is already beyond locoregional confines and is unresectable.5 Adenocarcinoma represents 95% of gastric cancers and can be divided into intestinal or diffuse types based on the Lauren classification or into papillary, tubular, mucinous, and poorly cohesive types based on the World Health Organization (WHO) classification in 2010. The patient described above falls into the diffuse or poorly cohesive type, which occurs equally in men and women, is more common in people <50 years of age, and is associated with hereditary diffuse gastric cancer. It is marked by flat or ulcerated growth patterns, linitis plastica, and loss of cohesion with signet ring cells and no glands.6

Retroperitoneal fibrosis (RPF) is an uncommon disease process characterized by the presence of inflammatory and fibrous tissue around the infrarenal abdominal aorta and iliac arteries, often encasing the ureters.7 RPF has an annual incidence of 1.3 per 100,000 persons per year. The differential diagnosis for RPF is broad, including not only iatrogenic causes such as radiation, abdominal or pelvic surgeries, but also trauma, infection, and inflammatory states; however, 70% of cases are idiopathic, and 8% are attributed to malignancies, most commonly carcinoid, which has been associated with serotonin release, and Hodgkin and non-Hodgkin lymphomas, sarcomas, colorectal, bladder, prostate, and breast cancers, which have been associated with a desmoplastic reaction.810 Like gastric adenocarcinoma, RPF (thought to be due to the aforementioned desmoplastic reaction) is generally a delayed diagnosis, often only detected after causing organ dysfunction, most commonly ureteral obstruction or renal impairment. This etiology of ureteral obstruction is distinct from that caused by external compression from pelvic peritoneal disease due to gastric cancer. Other common presentations of retroperitoneal fibrosis are nonspecific, including lower back and flank pain, malaise, anorexia, weight loss, fevers, nausea, and vomiting.7 Gastric cancers can present with additional nonspecific symptoms such as abdominal pain, anorexia, nausea, early satiety, and weight loss as well as dysphagia, hematemesis, and dyspepsia.11

Globally, there have been few reported cases of RPF leading to the diagnosis of gastric cancer, two such cases in Japan and one in Iran; all reported cases have been associated with scirrhous gastric adenocarcinoma.1214 Only a single case report from the United States has been published describing a patient with gastric adenocarcinoma and concurrent RPF. Peixoto et al. presented a patient with renal failure and jaundice secondary to encasement and mass effect of RPF; it was only during attempted EUS of the RPF mass that she was found to have a thickened gastric wall. Gastric biopsy demonstrated gastric adenocarcinoma with linitis plastica. This patient could not undergo palliative chemotherapy due to reduced performance status and organ dysfunction. Because poor performance status is a common feature of patients with cancer and metastatic RPF, the effect of chemotherapy on malignancy-associated RPF is unknown.15 Our patient is unique in that she could initiate chemotherapy immediately after staging laparoscopy since the optimization of renal function was achieved with ureteral stents. After completing three cycles of FOLFOX with Herceptin, she was readmitted to the hospital for unrelated causes. At that time, a CT scan was completed (Figure 4), revealing interval improvement of RPF.

Figure 4. Retroperitoneal Fibrosis Associated With Gastric Cancer Improved After Three Cycles of Chemotherapy. Published With Permission

Axial image from CT abdomen/pelvis with IV contrast illustrating interval decrease in RPF at level of aortic bifurcation following three cycles of FOLFOX/Herceptin.

Conclusion

Rarely associated with gastric adenocarcinoma, RPF detection warrants complete and expedient workup. If the functional status of these patients allows them to receive palliative chemotherapy, they may have a reduced burden of RPF disease.

Lessons Learned

Retroperitoneal fibrosis is an uncommon disease process, infrequently associated with metastatic cancer. The effect of chemotherapy on RPF disease burden in patients with gastric adenocarcinoma is poorly understood due to the delayed presentation of patients with advanced organ failure and reduced functional status. Timely diagnosis of malignancy-associated RPF may allow patients to receive palliative chemotherapy to delay RPF progression and improve quality of life.

References

  1. Bray F, Ferlay J, Soerjomataram I, Siegel RL, Torre LA, Jemal A. Global cancer statistics 2018: GLOBOCAN estimates of incidence and mortality worldwide for 36 cancers in 185 countries [published correction appears in CA Cancer J Clin. 2020 Jul;70(4):313]. CA Cancer J Clin. 2018;68(6):394-424. doi:10.3322/caac.21492
  2. Ferlay J, Colombet M, Soerjomataram I, et al. Estimating the global cancer incidence and mortality in 2018: GLOBOCAN sources and methods. Int J Cancer. 2019;144(8):1941-1953. doi:10.1002/ijc.31937
  3. Torre LA, Siegel RL, Ward EM, Jemal A. Global Cancer Incidence and Mortality Rates and Trends--An Update. Cancer Epidemiol Biomarkers Prev. 2016;25(1):16-27. doi:10.1158/1055-9965.EPI-15-0578
  4. de Martel C, Forman D, Plummer M. Gastric cancer: epidemiology and risk factors. Gastroenterol Clin North Am. 2013;42(2):219-240. doi:10.1016/j.gtc.2013.01.003
  5. Mansfield PF. Clinical features, diagnosis, and staging of gastric cancer. UpToDate. 2020.
  6. Ferlay J, Shin HR, Bray F, Forman D, Mathers C, Parkin DM. Estimates of worldwide burden of cancer in 2008: GLOBOCAN 2008. Int J Cancer. 2010;127(12):2893-2917. doi:10.1002/ijc.25516
  7. Vaglio A, Palmisano A. Clinical manifestations and diagnosis of retroperitoneal fibrosis. UpToDate. 2020.
  8. van Bommel EFH, Jansen I, Hendriksz TR, Aarnoudse ALHJ. Idiopathic retroperitoneal fibrosis: prospective evaluation of incidence and clinicoradiologic presentation. Medicine (Baltimore). 2009;88(4):193-201. doi:10.1097/MD.0b013e3181afc420
  9. Koep L, Zuidema GD. The clinical significance of retroperitoneal fibrosis. Surgery. 1977;81(3):250-257.
  10. van Bommel EF. Retroperitoneal fibrosis. Neth J Med. 2002;60(6):231-242.
  11. Recio-Boiles A, Babiker HM. Gastric Cancer. [Updated 2021 Dec 5]. In: StatPearls [Internet]. Treasure Island (FL): StatPearls Publishing.
  12. Yokoyama R, Tazaki R, Morita H, et al. Retroperitoneal fibrosis in a patient with gastric cancer manifested by lower extremity edema and hydrocele. Intern Med. 2012;51(16):2157-2160. doi:10.2169/internalmedicine.51.7660
  13. Dohmen K, Mizukami Y, Tanaka K, et al. Retroperitoneal fibrosis associated with scirrhous gastric cancer. Gastroenterol Jpn. 1993;28(5):699-705. doi:10.1007/BF02806351
  14. Karbasi A, Karbasi-Afshar R, Ahmadi J, Saburi A. Retroperitoneal fibrosis as a result of signet ring cell gastric cancer: a case-based review. J Gastrointest Cancer. 2013;44(1):94-97. doi:10.1007/s12029-012-9422-1
  15. Peixoto RD, Al-Barrak J, Lim H, Renouf D. Gastroesophageal cancer and retroperitoneal fibrosis: Two case reports and review of the literature. World J Gastrointest Oncol. 2013;5(3):68-70. doi:10.4251/wjgo.v5.i3.68

Authors

Podrat JLa; Chegireddy Va; Sheu Tb; Anton Rb; Satkunasivam Rc; Holder AMa

Author Affiliations

  1. Department of Surgery, Houston Methodist Hospital, Houston, TX 77030
  2. Department of Pathology and Genomic Medicine, Houston Methodist Hospital, Houston, TX 77030
  3. Department of Urology, Houston Methodist Hospital, Houston, TX 77030

Corresponding Author

Ashley M. Holder, MD, FACS
Division of Surgical Oncology
University of Alabama Birmingham
1808 7th Avenue South, BDB 571
Birmingham, AL 35294
Email: amholder@uab.edu

Disclosure Statement

The authors have no conflicts of interest to disclose.

Funding/Support

The authors have no relevant financial relationships or in-kind support to disclose.

Received: July 18, 2020
Revision received: November 2, 2020
Accepted: December 7, 2020