Unsupported Browser
The American College of Surgeons website is not compatible with Internet Explorer 11, IE 11. For the best experience please update your browser.
Menu
Become a member and receive career-enhancing benefits

Our top priority is providing value to members. Your Member Services team is here to ensure you maximize your ACS member benefits, participate in College activities, and engage with your ACS colleagues. It's all here.

Become a Member
Become a member and receive career-enhancing benefits

Our top priority is providing value to members. Your Member Services team is here to ensure you maximize your ACS member benefits, participate in College activities, and engage with your ACS colleagues. It's all here.

Become a Member
ACS
ACS Case Reviews

Mismatch Repair-Deficient Pancreatic Ductal Adenocarcinoma in a 30-Year-Old Male

August 1, 2022

Abstract

Background

Pancreatic cancer is uncommon before 45 years of age. Although pancreatic cysts are commonly identified incidentally following trauma, malignant tumors are rare. Disconnected-duct syndrome is a rare outcome of trauma.

Summary

A 30-year-old male smoker suffered mild abdominal trauma resulting in disconnected-duct syndrome. He underwent a distal pancreatectomy and splenectomy after multiple minimally invasive attempts to manage his pancreatitis over one year with endoscopic-retrograde cholangiopancreatography (ERCP) and stents. Pathology showed stage IIB pancreatic ductal adenocarcinoma (PDAC), which was found to be mismatch repair protein deficient (MMR-d), lacking nuclear expression of MSH2 and MSH6. No germline MMR gene mutation or double somatic mutations were identified; instead, only a single somatic MLH1 mutation did not explain the MSH2 and MSH6 deficiency. As he had no family history of Lynch syndrome-associated cancers, this was consistent with an uncommon sporadic (non-Lynch syndrome) MMR-d/MHS-H PDAC, and his only risk factor was smoking. Following a complicated recovery, he received adjuvant chemotherapy and then chemoradiation. After 26 months, he developed liver metastases and was started on pembrolizumab. Finally, after two six-week cycles, his CA19-9 had decreased from 442 to 167 U/mL.

Conclusion

Disconnected-duct syndrome is a rare sequela of trauma, usually severe in nature. While chronic pancreatitis is a risk factor for pancreatic cancer, this case illustrates the importance of considering malignancy as a possible underlying etiology for acute or subacute pancreatitis cases, regardless of the patient's age. Although PDAC recurs in most patients, given the MMR-d/MSI-H phenotype of our patient's tumor, checkpoint inhibition/immunotherapy is a viable treatment option with the potential for a durable response.

Key Words

pancreatic cancer; trauma; disconnected-duct syndrome; mismatch repair deficiency; microsatellite insufficiency


Case Description

PDAC is the fourth leading cause of cancer death in men and women and is almost always fatal.1 The peak incidence of pancreas cancer occurs between ages 65-69 in males and 75-79 in females.2 Pancreas cancer is rare before the age of 49, with a lifetime risk in this group of 0.1%.3 PDAC is usually detected due to symptoms. However, up to 16% of pancreatic tumors are incidentally discovered, usually due to urologic symptoms or staging for other cancers, and only rarely are they found due to trauma.4 We present the case of a 30-year-old male incidentally who developed disconnected-duct syndrome5 after mild abdominal trauma, which required surgical resection with pathology surprisingly revealing PDAC.

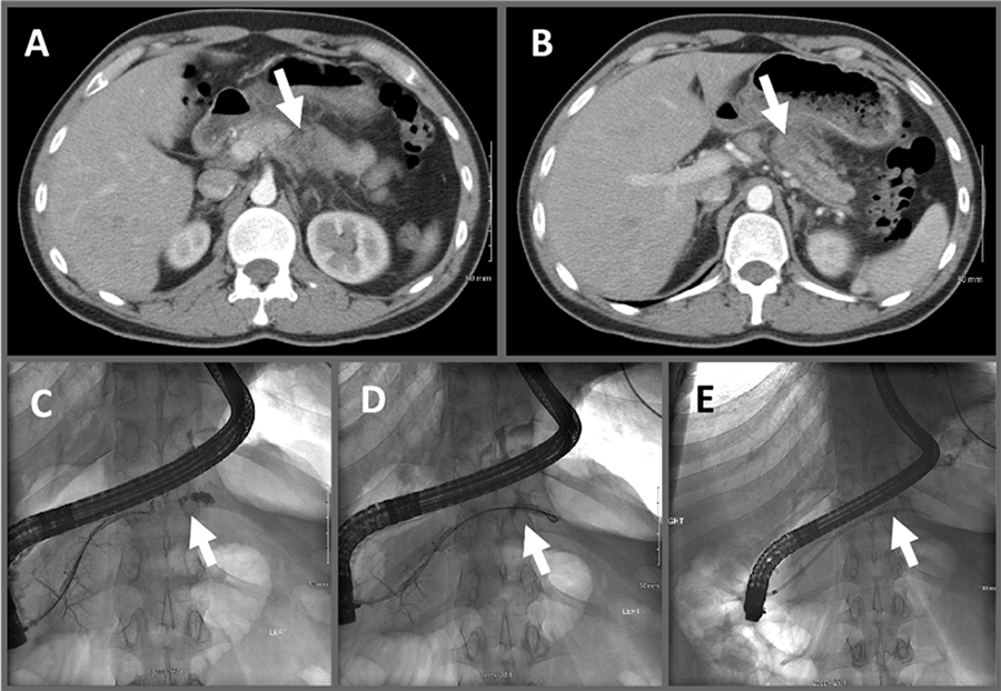
The patient is a 30-year-old male 1.5-pack-per-day smoker who suffered mild epigastric trauma while wrestling with co-workers, after which he developed progressive abdominal pain and clinical pancreatitis. A CT scan of the abdomen showed inflammation surrounding the body of the pancreas and a 1.6 cm low attenuation area with associated upstream pancreatic duct (PD) dilation (Figure 1A and Figure 1B). Given the history of trauma in a young patient, this abnormality was suspected to represent a site of PD disruption. The patient underwent ERCP showing PD disruption with contrast extravasation at this site, which was crossed with a wire and stented (Figures 1C‒1E) with a resolution of his pain.

Figure 1. Imaging Findings Demonstrating Peripancreatic Inflammation and PD Disruption. Published With Permission

Contrast-enhanced axial CT images showing A) inflammatory changes at pancreatic body; and B) 1.6 cm area of hypoattenuation with associated upstream PD dilation. ERCP fluoroscopy images show extravasation at C) disrupted PD, which was D) crossed with wire and E) stented. Arrows indicate key findings for each image.

A repeat ERCP showed a persistent but smaller leak two months later, so the stent was replaced. After an additional three months, no further leak was seen on ERCP. The stent was placed for post-ERCP pancreatitis prophylaxis with plans for short interval removal; however, the patient developed pancreatitis requiring hospital admission. Imaging studies (CT, MRCP) suggested ongoing pancreatitis with a fluid collection at the suspected site of PD disruption. An endoscopic ultrasound (EUS) showed changes in the pancreas consistent with pancreatitis without focal mass. A repeat ERCP two months later again showed continued extravasation, so the stent was replaced. At this point, the patient was referred for distal pancreatectomy for management of disconnected-duct syndrome.

At the initial surgical consultation, a CT scan showed relative non-enhancement of the pancreas distal to the suspected disruption with the stent crossing a focal area of hypoattenuation (Figure 2A). Thirteen months after his initial presentation, the patient underwent an open distal pancreatectomy/splenectomy, which was difficult due to severe peripancreatic inflammation. Unexpectedly, his pathology revealed invasive adenocarcinoma with extensive signet-ring and mucinous features, 2 of 15 lymph nodes were involved by direct extension, and margins were negative (AJCC 8th edition pT2N1M0; Figure 2B).

Figure 2. Pre-surgical Imaging and Pathology. Published With Permission

Contrast-enhanced axial CT images showing A) PD stent crossing hypoattenuating lesion at site of PD disruption (arrow)—note resolution of peripancreatic inflammation; B) hematoxylin and eosin stain (20x) showing invasive pancreatic ductal adenocarcinoma (PDAC) (left side of image) and extensive mucinous and signet-ring differentiation (right side of image); C) immunohistochemical stains (40x) showing loss of nuclear MSH2 and MSH6 expression within malignant epithelial cells and preserved expression in infiltrating lymphocytes (top row), and retained MLH1 and PMS2 expression (bottom row).

Immunohistochemistry (IHC) revealed mismatch repair (MMR) protein deficiency in MSH2 and MSH6 (Figure 2C), suspicious for Lynch syndrome. Of note, the patient had no family history of cancer other than non-melanoma skin cancers and breast cancer in his maternal grandmother in her 70s. The patient was referred for a colonoscopy, which was normal. He was referred to a genetic counselor and had germline testing via the Ambry CancerNext panel, which was normal. His tumor tissue samples were sent for somatic testing via the Ambry TumorNext Lynch™ panel (molecular findings summarized in Table 1). Overall, this testing confirmed microsatellite instability (MSI-H) and showed a somatic mutation in MLH1 but did not show germline MMR gene mutations or double somatic mutations. As is seen in most pancreatic cancers,6 a KRAS G12V mutation was seen. In addition, the patient enrolled in a multi-institutional oncology genomics protocol (the Oncology Research Information Exchange Network). Whole exome next-generation sequencing was performed of his germline DNA, which similarly did not show a pathogenic germline mutation predisposing him to cancer. Overall, the molecular findings showed that he did not have Lynch syndrome but rather a sporadic MMR-d PDAC.

Table 1. Molecular Findings

MMR protein nuclear expression by IHC Microsatellite instability Germline mutations* Somatic mutations*
MLH1: intact High None MLH1 c1852_1854delAAG
MSH2: loss High None none
MSH6: loss High None None
PMS2: intact High None None
Additional somatic molecular findings
BRAF mutation** absent
NRAS mutation** absent
KRAS mutation** p.G12V
MLH1 hypermethylation absent
MMR protein nuclear expression by IHC Microsatellite instability Germline mutations* Somatic mutations*
MLH1: intact High None MLH1 c1852_1854delAAG
MSH2: loss High None none
MSH6: loss High None None
PMS2: intact High None None
Additional somatic molecular findings
BRAF mutation** absent
NRAS mutation** absent
KRAS mutation** p.G12V
MLH1 hypermethylation absent

IHC, immunohistochemistry
*Pathologic mutations or variants of unknown significance. CancerNext panel includes APC, ATM, BARD1, BMPR1A, BRCA1, BRCA2, BRIP1, CDH1, CDK4, CDKN2A, CHEK2, DICER1, HOXB13, MLH1, MRE11A, MSH2, MSH6, MUTYH, NBN, NF1, PALB2, PMS2, POLD1, POLE, PTEN, RAD50, RAD51C, RAD51D, SMAD4, SMARCA4, STK11 and TP53 (sequencing and deletion/duplication); EPCAM and GREM1 (deletion/duplication only).
**For NRAS and KRAS, only codons 12, 13, 59, 61, 117, and 146 are analyzed and reported by TumorNext Lynch™. For BRAF, only V600E (associated with MLH1 hypermethylation) is analyzed and reported.

The patient went on to receive six cycles of adjuvant gemcitabine and capecitabine. Given his node-positive disease and the high risk for recurrence, he underwent 5400 cGy of daily image-guided intensity-modulated radiation therapy in 27 fractions. Seven months later, he developed gastric outlet obstruction and was found to have a benign radiation-induced stricture of the duodenal bulb, which required surgical gastrojejunostomy. Twenty-six months after his initial operation, he developed multiple liver metastases and was started on pembrolizumab 400 mg IV every six weeks. After only two cycles, his serum CA19-9 had decreased from 442 to 167 U/mL.

Discussion

We present the intersection of multiple rare phenomena, with a sporadic MMR-d PDAC found in a 30-year-old who presented with trauma-induced pancreatitis. Risk factors for PDAC include advanced age, smoking, chronic alcoholism, chronic pancreatitis, obesity, diabetes, family history, and H pylori infection.716 Although he was a heavy smoker, he did not exhibit any other risk factors. It is well documented that chronic pancreatitis can increase the risk of pancreatic cancers,9,10,13,15,17 and it may be difficult to discern adenocarcinomas from chronic pancreatitis radiographically.18 Trauma can predispose patients to chronic pancreatitis.1921 However, the incidence of trauma-induced pancreatitis leading to PDAC is unknown. Before our patient's mild abdominal trauma from wrestling, he had no symptoms or complaints. Disconnected-duct syndrome would more typically be seen after severe trauma, not mild trauma. We suspect that the tumor may have predisposed him to a fracture of his pancreas at that site, which was the inciting factor for pancreatitis, not the converse.

PDAC in the young (≤65 years old) is rare.3,2224 In a single-institution cohort study of 3202 biopsy-proven PDAC cases from Memorial Sloan Kettering Cancer Center, 136 (4.4%) were ≤45 years old, with only 4 (0.1%) of these between 20-29 and 38 (1.1%) between 30-39 years old.24 Like our patient, the majority (90%) of this young cohort did not have a family history of pancreatic cancer. Similar to the elderly population, the minority (25.7%) of young PDAC patients presented with early-stage disease and underwent resection. However, compared to two recent national clinical trials showing a median of 18 to 22 months overall survival (OS) after resection of early-stage PDAC, these patients fared better after resection (median OS 41.8 months), possibly due to fewer comorbidities.24 Unfortunately, early diagnosis is achieved the minority of the time since most are asymptomatic or display nonspecific, vague symptoms until late stages.14,17 Incidental findings requiring urgent follow-up are seen in up to one-third of patients undergoing CT scans for trauma, although pancreatic masses and cysts are seen only 0.3% and 0.2% of the time, respectively.25 There are multiple reports identifying pancreatic cysts,2527 pseudocysts,28 and in particular solid pseudopapillary neoplasm (Franz's tumor)2932 following trauma; however, there is scant literature linking PDAC and trauma.

Interestingly, our patient's tumor showed MMR-d with loss of nuclear MSH2 and MSH6 expression by IHC as well as microsatellite instability (MSI-H), which are typical of Lynch syndrome (LS).33,34 By age 70, 3.7% of LS patients will develop PDAC, compared to 1.5% for the general population.34 In our patient, however, germline analysis did not identify any hereditary cancer syndrome, and further molecular analysis of the tumor did not find double somatic mutations to explain the loss of MSH2 and MSH6 in the tumor. We did find a somatic MLH1 mutation, although this is not associated with loss of MSH2 and MSH6 by IHC. The literature varies on the exact proportion of MMR-d/MSI-H PDAC, but in several recent large series with modern detection techniques, 1 to 2% of all PDAC were found to have this phenotype.35 This is more often seen in medullary and acinar cell carcinomas of the pancreas,35 while our patient showed signet-ring cell and mucinous features with areas of ductal differentiation. There is debate35 on the proportion of MMR-d PDAC arising from germline mutations (i.e., LS), ranging from all (7 of 7 MMR-d)36 to none (0 of 4)37 and varies depending on the patient population tested and detection methods. Overall, while multiple mechanisms to achieve an MMR-d/MSI-H PDAC exist, the common phenotype result is a high mutational burden, postulated to lead to increased neoantigen presentation to infiltrating cytotoxic T cells.35 Checkpoint inhibition (immune therapy) is increasingly being utilized in MSI-H cancers, including PDAC,3845 with proof of principle seen in a recent study in which the cohort of eight PDACs receiving pembrolizumab had two complete responses, three partial responses, and one with stable disease.

Conclusion

PDAC is rare in the young. Incidental radiographic findings at trauma or during workup for other conditions are common and should be critically evaluated for malignant potential. Pancreatitis may be caused by trauma, and chronic pancreatitis is a risk factor for PDAC. Here we report a case in which disconnected-duct syndrome and chronic pancreatitis following mild abdominal trauma uncovered the diagnosis of PDAC in a 30-year-old male. Since the patient's tumor demonstrated an MMR-d/MSI-H phenotype, he was able to receive immunotherapy at the time of his recurrence.

Lessons Learned

It is important to closely follow patients with incidentally discovered pancreatic abnormalities, particularly those that develop pancreatitis, as this can be an early sign of malignancy, regardless of age.

References

  1. Siegel RL, Miller KD, Jemal A. Cancer statistics, 2020. CA Cancer J Clin. 2020;70(1):7-30. doi:10.3322/caac.21590
  2. GBD 2017 Pancreatic Cancer Collaborators. The global, regional, and national burden of pancreatic cancer and its attributable risk factors in 195 countries and territories, 1990-2017: a systematic analysis for the Global Burden of Disease Study 2017 [published correction appears in Lancet Gastroenterol Hepatol. 2020 Mar;5(3):e2]. Lancet Gastroenterol Hepatol. 2019;4(12):934-947. doi:10.1016/S2468-1253(19)30347-4
  3. American Cancer Society: Cancer Facts & Statistics. American Cancer Society | Cancer Facts & Statistics. https://cancerstatisticscenter.cancer.org/#!/data-analysis/Prob_DevCan.
  4. Goodman M, Willmann JK, Jeffrey RB. Incidentally discovered solid pancreatic masses: imaging and clinical observations. Abdom Imaging. 2012;37(1):91-97. doi:10.1007/s00261-011-9720-2
  5. Fischer TD, Gutman DS, Hughes SJ, Trevino JG, Behrns KE. Disconnected pancreatic duct syndrome: disease classification and management strategies. J Am Coll Surg. 2014;219(4):704-712. doi:10.1016/j.jamcollsurg.2014.03.055
  6. Almoguera C, Shibata D, Forrester K, Martin J, Arnheim N, Perucho M. Most human carcinomas of the exocrine pancreas contain mutant c-K-ras genes. Cell. 1988;53(4):549-554. doi:10.1016/0092-8674(88)90571-5
  7. Korpela T, Udd M, Mustonen H, et al. Association between chronic pancreatitis and pancreatic cancer: A 10-year retrospective study of endoscopically treated and surgical patients. Int J Cancer. 2020;147(5):1450-1460. doi:10.1002/ijc.32971
  8. Lowenfels AB, Maisonneuve P. Epidemiology and risk factors for pancreatic cancer. Best Pract Res Clin Gastroenterol. 2006;20(2):197-209. doi:10.1016/j.bpg.2005.10.001
  9. Lowenfels AB, Maisonneuve P, Cavallini G, et al. Pancreatitis and the risk of pancreatic cancer. International Pancreatitis Study Group. N Engl J Med. 1993;328(20):1433-1437. doi:10.1056/NEJM199305203282001
  10. Malka D, Hammel P, Maire F, et al. Risk of pancreatic adenocarcinoma in chronic pancreatitis. Gut. 2002;51(6):849-852. doi:10.1136/gut.51.6.849
  11. McGuigan A, Kelly P, Turkington RC, Jones C, Coleman HG, McCain RS. Pancreatic cancer: A review of clinical diagnosis, epidemiology, treatment and outcomes. World J Gastroenterol. 2018;24(43):4846-4861. doi:10.3748/wjg.v24.i43.4846
  12. Midha S, Chawla S, Garg PK. Modifiable and non-modifiable risk factors for pancreatic cancer: A review. Cancer Lett. 2016;381(1):269-277. doi:10.1016/j.canlet.2016.07.022
  13. Raimondi S, Lowenfels AB, Morselli-Labate AM, Maisonneuve P, Pezzilli R. Pancreatic cancer in chronic pancreatitis; aetiology, incidence, and early detection. Best Pract Res Clin Gastroenterol. 2010;24(3):349-358. doi:10.1016/j.bpg.2010.02.007
  14. Rawla P, Sunkara T, Gaduputi V. Epidemiology of pancreatic cancer: global trends, etiology and risk factors. World J Oncol. 2019;10(1):10-27. doi:10.14740/wjon1166
  15. Shimosegawa T, Kume K, Satoh K. Chronic pancreatitis and pancreatic cancer: prediction and mechanism. Clin Gastroenterol Hepatol. 2009;7(11 Suppl):S23-S28. doi:10.1016/j.cgh.2009.07.042
  16. Barone E, Corrado A, Gemignani F, Landi S. Environmental risk factors for pancreatic cancer: an update. Arch Toxicol. 2016;90(11):2617-2642. doi:10.1007/s00204-016-1821-9
  17. Agarwal S, Sharma S, Gunjan D, et al. Natural course of chronic pancreatitis and predictors of its progression. Pancreatology. 2020;20(3):347-355. doi:10.1016/j.pan.2020.02.004
  18. Ruszniewski P, Malka D, Hammel P, et al. The diagnostic dilemmas in discrimination between pancreatic carcinoma and chronic pancreatitis. Gut. 2004;53(5):771.
  19. Bradley EL 3rd. Chronic obstructive pancreatitis as a delayed complication of pancreatic trauma. HPB Surg. 1991;5(1):49-60. doi:10.1155/1991/73834
  20. Sharbidre KG, Galgano SJ, Morgan DE. Traumatic pancreatitis. Abdom Radiol (NY). 2020;45(5):1265-1276. doi:10.1007/s00261-019-02241-7
  21. Gholson CF, Sittig K, Favrot D, McDonald JC. Chronic abdominal pain as the initial manifestation of pancreatic injury due to remote blunt trauma of the abdomen. South Med J. 1994;87(9):902-904. doi:10.1097/00007611-199409000-00008
  22. Bracci PM, Wang F, Hassan MM, Gupta S, Li D, Holly EA. Pancreatitis and pancreatic cancer in two large pooled case-control studies. Cancer Causes Control. 2009;20(9):1723-1731. doi:10.1007/s10552-009-9424-x
  23. Howlader N NA, Krapcho M, Garshell J, Neyman N, Altekruse SF, Kosary CL, Yu M, Ruhl J, Tatalovich Z, Cho H, Mariotto A, Lewis DR, Chen HS, Feuer EJ, Cronin KA (eds). SEER Cancer Statistics Review. In. National Cancer Institute. Bethesda, MD.
  24. Duffy A, Capanu M, Allen P, et al. Pancreatic adenocarcinoma in a young patient population--12-year experience at Memorial Sloan Kettering Cancer Center. J Surg Oncol. 2009;100(1):8-12. doi:10.1002/jso.21292
  25. Barrett TW, Schierling M, Zhou C, et al. Prevalence of incidental findings in trauma patients detected by computed tomography imaging. Am J Emerg Med. 2009;27(4):428-435. doi:10.1016/j.ajem.2008.03.025
  26. Debi U, Kaur R, Prasad KK, Sinha SK, Sinha A, Singh K. Pancreatic trauma: a concise review. World J Gastroenterol. 2013;19(47):9003-9011. doi:10.3748/wjg.v19.i47.9003
  27. Leppäniemi A, Haapiainen R, Kiviluoto T, Lempinen M. Pancreatic trauma: acute and late manifestations. Br J Surg. 1988;75(2):165-167. doi:10.1002/bjs.1800750227
  28. Connor K, Yawathe M, Harrison E. Pancreatic Cyst After Trauma in a Young Female. Gastroenterology. 2016;150(3):e3-e4. doi:10.1053/j.gastro.2015.07.047
  29. Cervantes-Monteil F, Florez-Zorrilla C, Alvarez-Martínez I. Tumor pseudopapilar sólido-quístico de páncreas. Presentación aguda postraumática. Reporte de un caso y revisión de la literatura [Solid-cystic pseudopapillary tumor of the pancreas: acute post-traumatic presentation. Case report and review of the literature]. Rev Gastroenterol Mex. 2002;67(2):93-96.
  30. Hansson B, Hubens G, Hagendorens M, Deprettere A, Colpaert C, Eyskens E. Frantz's tumour of the pancreas presenting as a post-traumatic pancreatic pseudocyst. Acta Chir Belg. 1999;99(2):82-84.
  31. Vergauwen W, Op de Beeck B, Hagendorens M, Wojciechowski M, Vaneerdeweg W, Ramet J. A solid pseudopapillary tumour of the pancreas presenting after an abdominal trauma. Acta Chir Belg. 2010;110(3):390-393. doi:10.1080/00015458.2010.11680642
  32. Lévy P, Bougaran J, Gayet B. Carcinose péritonéale diffuse d'une tumeur pseudo-papillaire et solide du pancréas. Rôle d'un traumatisme abdominal [Diffuse peritoneal carcinosis of pseudo-papillary and solid tumor of the pancreas. Role of abdominal injury]. Gastroenterol Clin Biol. 1997;21(10):789-793.
  33. Bujanda L, Herreros-Villanueva M. Pancreatic cancer in Lynch syndrome patients. J Cancer. 2017;8(18):3667-3674. Published 2017 Oct 11. doi:10.7150/jca.20750
  34. Kastrinos F, Mukherjee B, Tayob N, et al. Risk of pancreatic cancer in families with Lynch syndrome. JAMA. 2009;302(16):1790-1795. doi:10.1001/jama.2009.1529
  35. Lupinacci RM, Bachet JB, André T, Duval A, Svrcek M. Pancreatic ductal adenocarcinoma harboring microsatellite instability / DNA mismatch repair deficiency. Towards personalized medicine. Surg Oncol. 2019;28:121-127. doi:10.1016/j.suronc.2018.11.019
  36. Hu ZI, Shia J, Stadler ZK, et al. Evaluating mismatch repair deficiency in pancreatic adenocarcinoma: challenges and recommendations. Clin Cancer Res. 2018;24(6):1326-1336. doi:10.1158/1078-0432.CCR-17-3099
  37. Humphris JL, Patch AM, Nones K, et al. Hypermutation in pancreatic cancer. Gastroenterology. 2017;152(1):68-74.e2. doi:10.1053/j.gastro.2016.09.060
  38. Hong SM, Park JY, Hruban RH, Goggins M. Molecular signatures of pancreatic cancer. Arch Pathol Lab Med. 2011;135(6):716-727. doi:10.5858/2010-0566-RA.1
  39. Marabelle A, Le DT, Ascierto PA, et al. Efficacy of Pembrolizumab in patients with noncolorectal high microsatellite instability/mismatch repair-deficient cancer: results from the Phase II KEYNOTE-158 Study. J Clin Oncol. 2020;38(1):1-10. doi:10.1200/JCO.19.02105
  40. Liang D, Shi S, Liang C, et al. Mismatch repair status as a beneficial predictor of fluorouracil-based adjuvant chemotherapy for pancreatic cancer. Surgery. 2018;163(5):1080-1089. doi:10.1016/j.surg.2017.12.009
  41. Riazy M, Kalloger SE, Sheffield BS, et al. Mismatch repair status may predict response to adjuvant chemotherapy in resectable pancreatic ductal adenocarcinoma. Mod Pathol. 2015;28(10):1383-1389. doi:10.1038/modpathol.2015.89
  42. Sahin IH, Lowery MA, Stadler ZK, et al. Genomic instability in pancreatic adenocarcinoma: a new step towards precision medicine and novel therapeutic approaches. Expert Rev Gastroenterol Hepatol. 2016;10(8):893-905. doi:10.1586/17474124.2016.1153424
  43. Dell'Aquila E, Fulgenzi CAM, Minelli A, et al. Prognostic and predictive factors in pancreatic cancer. Oncotarget. 2020;11(10):924-941. Published 2020 Mar 10. doi:10.18632/oncotarget.27518
  44. Eatrides JM, Coppola D, Al Diffalha S, Kim RD, Springett GM, Mahipal A. Microsatellite instability in pancreatic cancer. J Clin Oncol (2016) 34 (15_suppl):e15753. doi: 10.1200/JCO.2016.34.15_suppl.e15753
  45. Le DT, Durham JN, Smith KN, et al. Mismatch repair deficiency predicts response of solid tumors to PD-1 blockade. Science. 2017;357(6349):409-413. doi:10.1126/science.aan6733

Authors

Harper Ma; Du Jb; Schaberg Kb; Patel Rc; Moss Jc; Kolesar Jde; Nandakumar Kb; Pickarski Je; Pandalai Pa; McGrath Pa; Kim Ja; Cavnar Ma

Author Affiliations

  1. Department of Surgery, University of Kentucky College of Medicine, Lexington, KY 40508
  2. Department of Pathology, University of Kentucky College of Medicine, Lexington, KY 40508
  3. Department of Medicine, University of Kentucky College of Medicine, Lexington, KY 40508
  4. University of Kentucky College of Pharmacy, Lexington, KY 40508
  5. Markey Cancer Center, Lexington, KY 40508

Corresponding Author

Michael Cavnar, MD
Department of Surgery
University of Kentucky
800 Rose Street, C220
Lexington, KY 40508
Phone: (859) 323-8920
Email: michael.cavnar@uky.edu

Disclosure Statement

The authors have no conflicts of interest to disclose.

Funding/Support

The authors have no relevant financial relationships or in-kind support to disclose.

Received: July 27, 2020
Revision received: October 6, 2020
Accepted: November 1, 2020