Unsupported Browser
The American College of Surgeons website is not compatible with Internet Explorer 11, IE 11. For the best experience please update your browser.
Menu
Become a member and receive career-enhancing benefits

Our top priority is providing value to members. Your Member Services team is here to ensure you maximize your ACS member benefits, participate in College activities, and engage with your ACS colleagues. It's all here.

Become a Member
Become a member and receive career-enhancing benefits

Our top priority is providing value to members. Your Member Services team is here to ensure you maximize your ACS member benefits, participate in College activities, and engage with your ACS colleagues. It's all here.

Become a Member
ACS
ACS Case Reviews

Rectosigmoid Intussusception as a Rare Manifestation of Colorectal Malignancy

August 1, 2022

Abstract

Background

A previously healthy 53-year-old female presented to our institution with radiolographic and colonoscopic findings concerning for rectosigmoid intussusception (RSI) secondary to a malignant lead point.

Summary

We present the case of a 53-year-old female who presented with two weeks of abdominal pain and was found on CT to have a large bowel obstruction suspected to be due to RSI with an unknown etiology. She underwent a colonoscopy, which confirmed a pathologic lead point, and subsequently underwent urgent surgical intervention. Laparoscopic reduction of the RSI was successfully made without perforation, enabling oncologic resection and subsequent primary anastomosis. Due to large bowel obstruction and inability to give a bowel prep, she subsequently had a diverting ileostomy placed. The patient recovered well and was discharged on postoperative day 3.

Conclusion

We describe a safe surgical approach to managing RSI involving reduction of the intussusception and diversion. Reduction of the intussusception, although controversial, allowed for delineation of margins and facilitated oncologic resection.

Key Words

rectosigmoid intussusception; colon cancer


Case Description

Despite the colon being the most common location of adult intussusception,1 rectosigmoid intussusception (RSI) poses a unique challenge to the surgeon. Due to its low incidence but difficult operative location, wide variation in surgical management has been described owing to a lack of evidence-based guidelines. Ongoing controversy remains surrounding the safety of reducing intussusception, the efficacy of laparoscopy, and the role of diversion. We present the case of RSI secondary to sigmoid colon adenocarcinoma managed safely and effectively using laparoscopic reduction and low anterior resection (LAR).

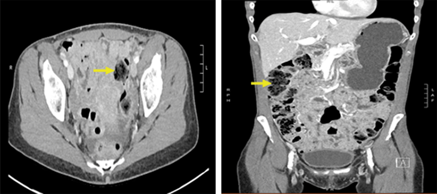
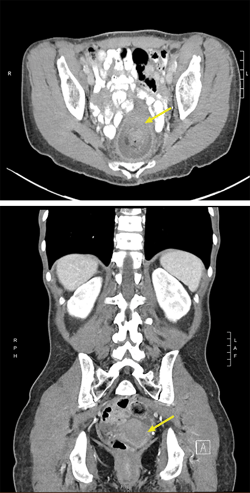
A 53-year-old female presented to the emergency department with two weeks of intermittent, crampy abdominal pain associated with recurrent hematochezia and constipation. She described a recent unintended five-pound weight loss and fatigue. She was seen in the ED two weeks prior with similar but less severe symptoms but was discharged after the resolution of symptoms, and a computed tomography (CT) scan demonstrated no acute intra-abdominal pathology (Figure 1). On representation, a repeat CT demonstrated sigmoid colon progression into the rectum concerning for rectosigmoid intussusception (Figure 2) with unknown etiology. No palpable mass was identified on the digital rectal exam. Furthermore, CT demonstrated no colonic dilation proximal to the intussusception, but a large stool burden was found. No free air or pneumatosis intestinalis was identified.

Figure 1. Axial (left) and Coronal (right) Section of CT with Intravenous Contrast on Day of Initial Presentation. Published with Permission

CT scan shows no acute intraabdominal pathology two weeks prior to intussusception. Additionally, there are no signs of obstruction or inflammatory process despite mild stool burden throughout colon (arrow).

Figure 2.  Axial (top) and Coronal (bottom) Cross-sections of Repeat CT Scan With Intravenous Contrast on Date of Presentation. Published With Permission

CT demonstrates 'telescoping' of sigmoid colon, along with its mesentery and vessels into rectum (arrow). No pneumatosis or pneumoperitoneum found despite mild bowel edema of sigmoid intussuscipiens. CT also noteworthy for prominent left external iliac and sigmoid mesentery lymph nodes.

Given her presentation and diagnostic findings, she underwent flexible sigmoidoscopy revealing a colonic mass 15 cm past the anal verge as the source of the RSI (Figure 3) that could not be traversed by an endoscope. No ulceration or necrosis was noted on the mass or observed bowel wall. Colorectal surgery was consulted for evaluation. Preoperative CEA was 9.7, and chest x-ray revealed no metastatic lesions.

Figure 3. Flexible Sigmoidoscopy Findings. Published With Permission

Intussusception of rectosigmoid colon at approximately 15 cm from anal verge (left). Large, fungating mass (right) was noted to be lead point of intussusception, although it could not be traversed and fully visualized. No reduction was attempted, and multiple biopsies were taken.

After adequate resuscitation and workup completion, the patient underwent laparoscopic LAR the following day. The rectosigmoid intussusception was identified and reduced without significant resistance (Figure 4). No signs of bowel compromise were identified. A mass was identified in the sigmoid intussuscipiens, and partial colectomy was done using a medial-to-lateral approach with 5 cm margins proximal and distal to the lesion (Figure 5). An end-to-end stapled anastomosis was performed with two intact donuts and a negative air leak test. Indocyanine green (ICG) fluoroscopy was used to confirm adequate perfusion of the anastomosis. Due to the urgency of the operation, endoscopic findings of obstruction, recent weight loss, and inability to achieve satisfactory bowel preparation, a loop ileostomy was created to serve as a temporary diversion.

Figure 4. Identification of Rectosigmoid Intussusception. Published With Permission

Rectosigmoid intussusception was seen intraoperatively (top) and reduced without significant resistance (bottom). No signs of bowel necrosis or perforation.

The patient recovered well with ostomy output present on postoperative day 1. She was discharged on postoperative day 3 along with enoxaparin (Caprini score 6).2 She continued to do well on her postoperative visit with ongoing follow-up to discuss reversal.

Gross evaluation of the specimen revealed a 4.5 × 3.5 cm fungating sigmoid mass (Figure 5). Pathologic analysis revealed a moderately differentiated invasive adenocarcinoma involving the submucosa and abutting the muscularis propria (Figure 6). Margins were negative for malignancy. Thirty-two disease-free lymph nodes were identified; the final classification was pT1N0M0 stage I sigmoid colon adenocarcinoma.

Figure 5. Resected Sigmoid Colon. Published with Permission

Tattooed, fungating mass measuring approximately 3 cm on gross evaluation. Gross specimen included colonic mesentery with one prominent sigmoid mesenteric lymph node (not shown).

Figure 6. Histopathology of Resected Specimen. Published With Permission

Evaluation revealed pT1 moderately differentiated invasive sigmoid adenocarcinoma measuring 4.5 × 3.5 cm. All layers of bowel are visualized with mass extending to submucosa and abutting muscularis propria (hematoxylin and eosin, 2.5x).

Discussion

RSI, a rare form of adult intussusception, poses a diagnostic and management dilemma for the clinician. The urgent need for intervention and providing definitive treatment makes surgical planning difficult as decisions on operative approach and reduction are subject to limited data and surgeon experience.3 Critical to this patient's management was urgent surgical intervention after confirmation of diagnosis. The case demonstrates a safe and feasible approach to an oncologic RSI in an urgent setting, incorporating reduction of the intussusception before oncologic resection and protective diverting ileostomy.

The utility of reducing the intussusception prior to resection remains controversial, as the risk of iatrogenic bowel perforation during manipulation can propagate profound sepsis from bowel spillage or carcinomatosis.4,5 Based on these risks, some authors have advocated against a reduction of the intussuscepted bowel.68 Conversely, others maintain a safe reduction of the intussusception, allowing for margin delineation and characterization of the lead point while avoiding excessive bowel resection. Matsuda et al. described a case of a sigmoid adenocarcinoma RSI that had intussuscepted through the rectum into the anal canal, managed by reduction of the RSI before resection allowing avoidance of an abdominoperineal resection.9 Additionally, Greenley et al. described a case of RSI managed by laparoscopic sigmoidectomy after reduction, maintaining that proceeding directly to resection may have necessitated the need for colostomy while acknowledging that surgeons should use this technique with proficiency in minimally invasive techniques.10 Our case supports Matsuda's and Greenley's approach and facilitated resection with primary anastomosis and optimized healing.

Second, there is a growing body of evidence to support the utility of laparoscopy in intussusception.1113 Krane et al., in a meta-analysis on rectal cancer, found laparoscopic LAR reduced blood loss, facilitated the earlier return of bowel function, decreased length of stay, and resulted in non-inferior oncologic outcomes compared to an open approach.14 Additional reports from Park et al. and Chuang et al. described cases of RSI secondary to malignancy managed with laparoscopic reduction and resection, lending credibility to this technique.11,12 Given the hemodynamic stability in our case and no concern for compromised bowel, we proceeded with a laparoscopic approach that contributed to the patient's recovery and discharge.

Finally, the decision to proceed with temporary diverting ileostomy was multifactorial. Although RSI represents a rare manifestation of colorectal cancer, the decision to proceed with a proximal diversion to protect the anastomosis remains controversial in obstructing cancer and has been reported to be associated with higher rates of complication, infection, and readmission.15 Ultimately, the formation of a protective diverting ileostomy is based on surgeon judgment and clinical scenario. Given the patient's presentation, the conditions that led to diversion included the urgency of the operation, obstructive symptoms, presence of proximal stool burden, and concern for malnutrition, given the patient's recent weight loss. Furthermore, the postoperative recovery and satisfactory outcomes in this case of RSI demonstrated that proximal diversion is a reasonable surgical option when deemed appropriate by the surgeon.

Conclusion

We present the case of an RSI managed with laparoscopic reduction and resection. While not without risks, reduction facilitated formal oncologic resection while optimizing the preservation of the anal sphincter complex.

Lessons Learned

Management of malignant RSI poses several issues for the surgeon when attempting oncologic resection. Although the case demonstrated a safe and effective surgical approach to this rare manifestation of colorectal cancer, further studies are required to formulate definitive guidelines on appropriate surgical approach and diversion.

References

  1. Alexander R, Traverso P, Bolorunduro OB, et al. Profiling adult intussusception patients: comparing colonic versus enteric intussusception. Am J Surg. 2011;202(4):487-491. doi:10.1016/j.amjsurg.2011.02.006
  2. Golemi I, Salazar Adum JP, Tafur A, Caprini J. Venous thromboembolism prophylaxis using the Caprini score. Dis Mon. 2019;65(8):249-298. doi:10.1016/j.disamonth.2018.12.005
  3. Marinis A, Yiallourou A, Samanides L, et al. Intussusception of the bowel in adults: a review. World J Gastroenterol. 2009;15(4):407-411. doi:10.3748/wjg.15.407
  4. Bail JP, Holderbach LJ, Robaszkiewicz M, Dartoy C, Noundou PM, Charles JF. Invagination colique primitive de l'adulte, procidente à l'anus. Deux observations [Primary colonic intussusception protruding from the anus in adults. Two cases]. Ann Radiol (Paris). 1992;35(4):249-254.
  5. Reis LD, Matos JR, Soares PN, et al. Coloanal intussusception in adults due to lipoma. J. Coloproctology. 2018;38(03):250-253. doi:10.1016/j.jcol.2018.05.002.
  6. Hong KD, Kim J, Ji W, Wexner SD. Adult intussusception: A systematic review and meta-analysis. Tech. Coloproctol. 2019;23(4):315-324. doi:10.1007/s10151-019-01980-5.
  7. Nagorney DM, Sarr MG, McIlrath DC. Surgical management of intussusception in the adult. Ann Surg. 1981;193(2):230-236. doi:10.1097/00000658-198102000-00019
  8. Huang BY, Warshauer DM. Adult intussusception: diagnosis and clinical relevance. Radiol Clin North Am. 2003;41(6):1137-1151. doi:10.1016/s0033-8389(03)00116-7
  9. Matsuda K, Suda K, Tamura K, et al. Surgical management of adult sigmoid colon intussusception caused by a malignant tumor: report of a case. Surg Today. 2003;33(10):768-771. doi:10.1007/s00595-003-2579-2
  10. Greenley CT, Ahmed B, Friedman L, Deitte L, Awad ZT. Laparoscopic management of sigmoidorectal intussusception. JSLS. 2010;14(1):137-139. doi:10.4293/108680810X12674612015184
  11. Park KJ, Choi HJ, Kim SH, et al. Sigmoidorectal intussusception of adenoma of sigmoid colon treated by laparoscopic anterior resection after sponge-on-the-stick-assisted manual reduction. World J Gastroenterol. 2006;12(1):146-149. doi:10.3748/wjg.v12.i1.146
  12. Chuang Ch, Hsieh C, Lin Ch, Yu J. Laparoscopic management of sigmoid colon intussusception caused by a malignant tumor: case report. Rev Esp Enferm Dig. 2007;99(10):615-616. doi:10.4321/s1130-01082007001000013
  13. Lee SY, Park WC, Lee JK, Kang DB, Kim Y, Yun KJ. Laparoscopic treatment of adult sigmoidorectal intussusception caused by a mucinous adenocarcinoma of the sigmoid colon: a case report. J Korean Soc Coloproctol. 2011;27(1):44-49. doi:10.3393/jksc.2011.27.1.44
  14. Krane MK, Fichera A. Laparoscopic rectal cancer surgery: where do we stand?. World J Gastroenterol. 2012;18(46):6747-6755. doi:10.3748/wjg.v18.i46.6747
  15. Shwaartz C, Fields AC, Prigoff JG, Aalberg JJ, Divino CM. Should patients With obstructing colorectal cancer have proximal diversion?. Am J Surg. 2017;213(4):742-747. doi:10.1016/j.amjsurg.2016.08.005

Authors

Nigam Aa; Holleran Ta; Ko Kb; Houlihan Ba; Bayasi Ma

Author Affiliations

  1. Department of Surgery, Medstar Georgetown University Hospital, Washington, DC 20007
  2. Department of Pathology, Medstar Georgetown University Hospital, Washington, DC 20007

Corresponding Author

Mohammed Bayasi, MD
Department of Surgery
Medstar Georgetown University Hospital
3800 Reservoir Rd NW, Fourth Floor
Washington, DC 20007
Phone: (202) 295-0560
Email: mohammed.bayasi@medstar.net

Disclosure Statement

The authors have no conflicts of interest to disclose.

Funding/Support

The authors have no relevant financial relationships or in-kind support to disclose.

Received: August 14, 2020
Revision received: October 26, 2020
Accepted: November 16, 2020