Unsupported Browser
The American College of Surgeons website is not compatible with Internet Explorer 11, IE 11. For the best experience please update your browser.
Menu
Become a member and receive career-enhancing benefits

Our top priority is providing value to members. Your Member Services team is here to ensure you maximize your ACS member benefits, participate in College activities, and engage with your ACS colleagues. It's all here.

Become a Member
Become a member and receive career-enhancing benefits

Our top priority is providing value to members. Your Member Services team is here to ensure you maximize your ACS member benefits, participate in College activities, and engage with your ACS colleagues. It's all here.

Become a Member
ACS
ACS Case Reviews

Necrotizing Infection of Abdominal and Chest Wall Secondary to Perforated Diverticulitis in Setting of Spigelian Hernia

August 1, 2022

Abstract

Background

A Spigelian hernia is a rare protrusion of the peritoneal sac with or without intraabdominal contents through a defect in the Spigelian aponeurosis. There have been unusual clinical presentations of Spigelian hernias containing appendicitis, endometriosis, gallbladder volvulus, and incarcerated Meckel's diverticulum.

Summary

We report an extremely unusual presentation of a necrotizing abdominal and chest wall infection due to diverticulitis with pelvic abscess extending through a Spigelian hernia.

Conclusion

There must be clinical suspicion for a Spigelian hernia when concurrent infection occurs in the abdominal cavity and external abdominal musculature, especially along the right side.

Key Words

Spigelian hernia; linea semilunaris; necrotizing infection; diverticulitis; abdominal wall; abscess


Case Description

A Spigelian hernia (SH) is a protrusion of the peritoneal sac, extraperitoneal fat, or intraabdominal contents through a defect in the Spigelian aponeurosis, constituting only 1 to 2% of all hernias.1 This aponeurosis spans from the lateral edge of the rectus muscle medially to the linea semilunaris laterally.1 Clinical diagnosis of this lateral wall hernia is often challenging. We report the first case of diverticulitis with pelvic abscess extending through an undiagnosed Spigelian hernia, resulting in a massive intermuscular abdominal wall abscess and necrotizing abdominal and chest wall infection.

A 61-year-old obese female with a past medical history significant for thyroid disorder, hypertension, anxiety, depression, and chronic alcohol use presented with progressive severe right-sided abdominal pain over a two-week course. She had experienced chronic abdominal pain for about a year prior to the worsening symptoms. At initial presentation, she had severe sepsis, with metabolic acidosis (pH 7.194, pCO2 10mmHg, HCO3 9.3 mmol/L, base excess -19), elevated lactate (8.7 mmol/L), leukocytosis (14,500/µL), acute kidney injury (creatinine 1.94 mg/dL) and hyperammonemia (133 µmol/L). Vital signs were within normal limits other than mild tachycardia.

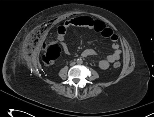
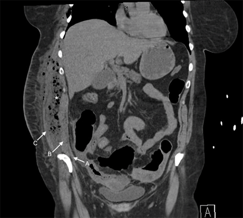
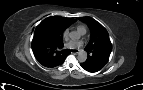
Initial computed tomography (CT) study of the abdomen revealed several large gas and fluid collections in the pelvis, intraperitoneal inflammatory changes in the right lower quadrant, and wall thickening throughout the sigmoid colon with adjacent fluid collections. There was a large 4 × 8 × 14 cm gas and fluid collection in the abdominal wall musculature interposed between the internal and external oblique muscles (Figure 1 and Figure 2). A CT of the thorax revealed extensive gas in the right chest wall with pectoralis, serratus anterior muscle, and subcutaneous tissue involvement, suggesting necrotizing soft tissue infection (Figure 3). Physical exam revealed induration and erythema extending from the right flank to the epigastrium and down to the right lower quadrant without obvious necrotic skin or soft tissue.

Figure 1. Coronal CT Imaging of Abdomen. Published With Permission

Large gas and fluid collection displayed between internal and external oblique muscles along right abdominal wall. Abscess cavity marked by asterisk (*) (A: transversus abdominus; B: internal oblique muscle; C: external oblique muscle)

Figure 2. Axial CT Imaging of Abdomen. Published With Permission

Gas and fluid collection seen between internal and external oblique muscles. Abscess cavity marked by asterisk (*) (A: transversus abdominus; B: internal oblique muscle; C: external oblique muscle)

Figure 3. Axial CT of Thorax. Published With Permission

Gaseous collection seen in anterior right chest wall.

After fluid resuscitation and initiation of broad-spectrum antibiotics, the patient was taken for emergent debridement of necrotizing soft tissue infection and exploratory laparotomy with drainage of the abscess. The incision was made over the largest area of induration over the right flank. As the dissection carried down past subcutaneous tissues, foul purulent fluid appeared upon entering the space deep into the external oblique muscle. The purulent material tracked along the plane between the internal and external oblique muscles, extending from the rib margin superiorly to the anterior superior iliac spine and inguinal ligament inferiorly. The tendinous portion of the external oblique muscle was incised lateral to the semilunar line for the full extent of the necrotizing soft tissue infection, uncovering the site of the Spigelian hernia defect in the internal oblique muscle. A midline laparotomy was performed, exhibiting large abscess cavities in the right lower quadrant and pelvis, and communication was confirmed between abdominal wall infection and intraabdominal abscesses through the Spigelian hernia. Subsequently, an ileocecetomy was performed after identifying apparent necrosis of the terminal ileum and cecum. Wound cultures were polymicrobial in nature.

The patient had multiple subsequent operations for small bowel resection, ileostomy creation, debridement of necrotic tissue of the abdominal wall and breast, and drainage of pelvic abscesses before the final closure of the abdomen with biologic mesh. Ultimately, the patient had a prolonged hospital course complicated by septic shock requiring surgical intensive care unit care. Initially, ruptured appendicitis was believed to be the etiology as the pelvic abscess was primarily in the right lower quadrant. Her hyperammonemia was treated by administering lactulose enemas, which resulted in lactulose draining through the lower midline incision. Abdominal CT with rectal contrast confirmed extravasation from the sigmoid colon. The leak was resolved following rectal tube placement. This finding supports the true etiology of diverticulitis with abscess causing the necrotizing infection. She ultimately survived, obtaining wound closure with skin grafting, and was discharged on postoperative day 113.

Discussion

Adriaan van der Spieghel, a Belgian anatomist, first described the semilunar line in 1645. Still, it was Josef Klinkosch who defined the Spigelian hernia as a defect through the linea semilunaris in 1764.1,4 SH remains a rare presentation of abdominal wall hernias. Around 90% of SHs occur in the Spigelian belt, a 6 cm region along the Spigelian aponeurosis starting below the level of the umbilicus and spanning to the interspinal plane.13 Above the semicircular line of Douglas, the hernia may extend through one, two, or all three muscular layers of the transversus abdominus, internal oblique, and external oblique.1 In this patient's case, the hernia extended through the first two layers, permitting the infection to enter and spread in the potential space between the internal and external oblique.

Although conflicting data exist, several reports show a higher incidence of SH in females.2,3 Most diagnoses occur in patients in their fifth or sixth decade of life. Risk factors associated with the development of SH include obesity, multiple pregnancies, chronic pulmonary obstructive disease, and smoking.2,3,5 Common presentation of SH includes vague abdominal pain or bulging mass lateral and inferior to the umbilicus, more often on the right side.2,3 Usually, the hernia does not extend through the external oblique, adding difficulty to the clinical diagnosis of smaller, asymptomatic SH.7 Sonography and CT have high sensitivity and positive predictive value in identifying occult SHs.7 Contents of hernia usually include omentum and small bowel. A review of literature has revealed several unusual clinical presentations of SH, including contained appendicitis, endometriosis, gallbladder volvulus, and incarcerated Meckel's diverticulum contained within the hernia sac.5,6,8 There has been no prior report of necrotizing infection traversing the abdominal wall through a Spigelian hernia. In the setting of undiagnosed Spigelian hernia, intraabdominal infection such as perforated diverticulitis could provide a path for infection to spread to external abdominal wall musculature, as seen in this patient.

Conclusion

This case report describes an unusual etiology of necrotizing abdominal and chest wall infection. There should be clinical suspicion for a Spigelian hernia when concurrent infection occurs in the abdominal cavity and external abdominal musculature, especially along the right side.

Lessons Learned

Spigelian hernias, although uncommon, may present in numerous ways, including incarceration and bowel strangulation. Understanding the anatomical etiology of these hernias is critical in understanding the spread of intra-abdominal infection in this rare progression from diverticulitis to a right flank necrotizing soft tissue infection.

References

  1. Skandalakis PN, Zoras O, Skandalakis JE, Mirilas P. Spigelian hernia: surgical anatomy, embryology, and technique of repair. Am Surg. 2006;72(1):42-48.
  2. Polistina FA, Garbo G, Trevisan P, Frego M. Twelve years of experience treating Spigelian hernia. Surgery. 2015;157(3):547-550. doi:10.1016/j.surg.2014.09.027
  3. Cinar H, Polat AK, Caglayan K, Ozbalci GS, Topgül HK, Polat C. Spigelian hernia: our experience and review of the literature. Ann Ital Chir. 2013;84(6):649-653.
  4. Ghosh SK, Sharma S, Biswas S, Chakraborty S. Adriaan van den Spiegel (1578-1625): anatomist, physician, and botanist. Clin Anat. 2014;27(7):952-957. doi:10.1002/ca.22414
  5. Thomas MP, Avula SK, England R, Stevenson L. Appendicitis in a Spigelian hernia: an unusual cause for a tender right iliac fossa mass. Ann R Coll Surg Engl. 2013;95(4):e66-e68. doi:10.1308/003588413X13511609957731
  6. Donati M, Brancato G, Scilletta R, Deiana E, Basile G. A surgical "chimera": the gallbladder volvulus in the Spigelian hernia sac Am Surg. 2017;83(1):e11-e12.
  7. Light D, Chattopadhyay D, Bawa S. Radiological and clinical examination in the diagnosis of Spigelian hernias. Ann R Coll Surg Engl. 2013;95(2):98-100. doi:10.1308/003588413X13511609957092
  8. Moris D, Michalinos A, Vernadakis S. Endometriosis in a Spigelian hernia sac: an unexpected finding. Int Surg. 2015;100(1):109-111. doi:10.9738/INTSURG-D-13-00245.1

Authors

Wang YHWa; Albright JBb

Author Affiliations

  1. Icahn School of Medicine at Mount Sinai, New York, NY 10029
  2. Department of Surgery, State University of New York Upstate Medical University, Syracuse, NY 13210

Corresponding Author

Jeffrey B. Albright, MD, MBA, FACS, FASCRS
Department of Surgery
State University of New York Upstate Medical University
750 E. Adams Street, Ste. 8140
Syracuse, NY 13210
Phone: (315) 464-6292
Email: albrighj@upstate.edu

Disclosure Statement

The authors have no conflicts of interest to disclose.

Funding/Support

The authors have no relevant financial relationships or in-kind support to disclose.

Received: August 9, 2019
Revision received: December 13, 2020
Accepted: December 14, 2020