Unsupported Browser
The American College of Surgeons website is not compatible with Internet Explorer 11, IE 11. For the best experience please update your browser.
Menu
Become a member and receive career-enhancing benefits

Our top priority is providing value to members. Your Member Services team is here to ensure you maximize your ACS member benefits, participate in College activities, and engage with your ACS colleagues. It's all here.

Become a Member
Become a member and receive career-enhancing benefits

Our top priority is providing value to members. Your Member Services team is here to ensure you maximize your ACS member benefits, participate in College activities, and engage with your ACS colleagues. It's all here.

Become a Member
ACS
Case Reviews in Surgery

Lateral and Anterior Fascial Release with Onlay Mesh: An Elegant Solution For Repairing Semilunar Line Hernia Defects

January 11, 2022

Abstract

Background

Defects in the Spigelian fascia at the linea semilunaris can occur due to trauma, prior surgical incisions, and Spigelian hernias. Traditional ventral hernia repair techniques focused on addressing defects at the linea alba do not adequately repair these types of lateral defects.

Summary

We have had over ten years of experience with a modified Chevrel/Browse technique utilizing lateral and anterior fascial release with onlay mesh. This technique is well-suited to repairing difficult semilunar line injuries and has been shown to be safe and provide a durable repair. In this article, we present descriptions of two cases where patients with lateral incisional hernias which were successfully repaired using our modification and discuss key technical steps to performing these repairs.

Conclusion

Our lateral and anterior fascial release technique with onlay mesh provides an elegant solution for repairing Spigelian fascial defects. The ability to close the Spigelian region fully with abdominal musculature makes this repair an attractive option for these difficult hernias.

Key Words

lateral release; anterior release; onlay mesh; hernia repair; Spigelian hernia


Case Description

Lateral abdominal wall defects present a complex challenge. These defects are seen with large Spigelian hernias or following open nephrectomy or transversus abdominus release (TAR) where the semilunar line was injured. Several anatomic features contribute to the technical difficulty of repair include broad hernia base, large surface area, ability to rapidly progress in size, difficult mesh anchoring, and asymmetric position within the abdominal wall.1 Given that 19 to 50 percent of urologic patients develop incision flank hernias following nephrectomy2,3 and Spigelian hernias account for up to 7 percent of all hernia operations in the United States,4 most general surgeons will be confronted with these lateral hernias during their careers.

Several ventral hernia repair techniques such as the Ramirez components separation, Novitski posterior rectus and TAR, and Chevrel anterior rectus release are successfully employed for defects at the linea alba. However, they fail to address abdominal wall defects lateral to the rectus complex. We have over ten years of experience with a modified Chevrel/Browse technique utilizing anterior rectus release coupled with components separation and onlay mesh. The ipsilateral rectus can be mobilized laterally to approximate with the ipsilateral internal oblique if the focus is instead directed at the semilunar defect. After reinforcement with onlay mesh, the semilunar defect is effectively repaired. This article presents two cases where patients with lateral incisional hernias underwent successful repair using our modification and discuss vital technical steps to performing this procedure.

In the first case, the patient, a 68-year-old man, underwent robotic-assisted sigmoid colectomy for diverticulitis three years prior to presenting to our clinic. Subsequently, he developed an incisional hernia and underwent robotic TAR ventral hernia repair with mesh. A more complex, recurrent hernia then developed. Preoperative CT scan showed herniation of bowel above the posterior sheath and mesh with a partial division of the semilunar line on the right side, disconnecting the internal oblique from the rectus complex (Figure 1). There was also a partial division of the left semilunar line with retraction of the internal oblique. Repair would require reconstruction of the internal oblique and rectus complex.

Figure 1. Preoperative CT Scans, Case 1. Published with Permission

A) Recurrent ventral hernia causing partial division of left semilunar line and retraction of internal oblique muscle; B) sagittal view

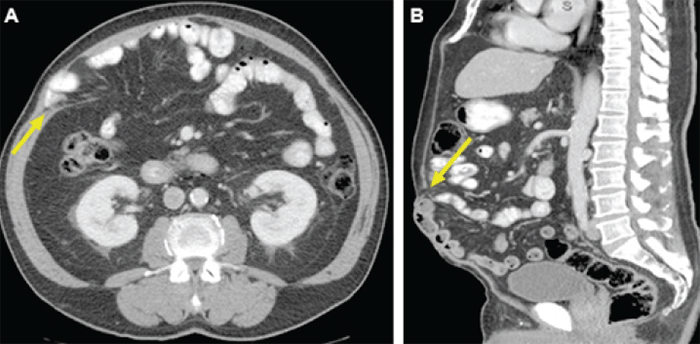
In the second case, the patient, a 44-year-old man, presented with a history of renal cell carcinoma for which he underwent an open right nephrectomy. His operation was complicated by a small bowel perforation which required emergent right hemicolectomy with ileocolic anastomosis. He subsequently developed a large, symptomatic incisional hernia. Preoperative CT scan showed significant loss of intra-abdominal domain with >7.5 cm diastasis between the rectus and internal oblique muscles (Figure 2).

Figure 2. Preoperative CT Scans: Right-sided Incisional Hernia Lateral to Rectus Abdominis Muscle. Published with Permission

Both patients underwent successful hernia repair using our modified Chevrel/Browse with ipsilateral components separation technique (Figure 3).

Figure 3. Illustration of Key Operative Steps. Published with Permission

After antibiotic prophylaxis, a transverse or longitudinal skin incision can be made, allowing access to the cephalad and caudal extent of the ipsilateral anterior rectus sheath and semilunar line. Transverse incisions are preferred for their access and tendency to heal well, but we ultimately enter whichever incision the patient previously had. Thick subcutaneous flaps are raised off the hernia sac and fascia. The flaps are wrapped with saline (papaverine) soaked sponges (Figure 4).

Figure 4. Creation of Skin Flaps. Published with Permission

An incision is created longitudinally, starting on the rectus sheath , 1 to 2 cm medial to the lateral rectus border, near the semilunar line. The rectus sheath is elevated with a clamp from the muscle, and the incision is continued longitudinally until it extends well above and below the extent of the hernia defect. The medial edge of the anterior rectus sheath is then grasped with multiple Kocher clamps and elevated. A fascial dissection is performed between the rectus muscle and anterior sheath to the linea alba (Figure 5).

Figure 5. Mobilization of Rectus. Published with Permission

Tendinous intersections must be taken down with electrocautery for complete mobility of the rectus complex. Small perforating vessels are controlled with electrocautery or suture ligature. This dissection allows the rectus muscle to laterally shift while maintaining its axial blood supply.

Near the costal margin, the medial attachment of the external oblique is identified at the semilunar line. An incision is created using electrocautery to separate the external and internal obliques. The medial edge of the external oblique is grasped with multiple Kocher clamps so that a complete dissection can be achieved with blunt digital dissection and electrocautery. When the hernia defect is encountered, the medial edge of the internal oblique is grasped with Kocher clamps. This dissection is completed between the obliques, extending to the posterior axillary line, allowing the internal oblique and transversus abdominus to be mobilized medially (Figure 6).

Figure 6. Mobilization of Internal Oblique. Published with Permission

Once both releases are complete, the medial edge of the internal oblique, the transversus abdominus, and the lateral rectus sheath, can be brought together without tension. If needed, a contralateral rectus sheath release can be added to allow additional mobility of the abdominal musculature. The lateral rectus (sheath) and medial internal oblique (semilunar line) are then approximated with a running absorbable monofilament suture. If the abdominal cavity has not required entry, any hernia sac, mesh from a previous repair or remaining fascial scar, all may be invaginated underneath the fascia, as long as there is no concern about infection or mesh erosion (Figure 7).

Figure 7. Muscular Abdominal Closure. Published with Permission

The resulting fascial defect between the medial border of the ipsilateral rectus sheath and the medial border of the external oblique is measured as an ellipse. A section of medium-weight polypropylene mesh is cut to this shape and sutured to the parameter with a running, absorbable monofilament, providing complete coverage of the hernia defect. Slight tension is provided to prevent buckling of the mesh (Figure 8).

Figure 8. Mesh Onlay over Closure of Internal Oblique and Rectus. Published with Permission

The dead space is closed by approximation of subcutaneous tissue with underlying fascia/mesh in a progressive tension fashion using absorbable barbed suture. Subcutaneous drains have not been shown to decrease the rate of seroma formation.

Discussion

Defects in the Spigelian fascia at the linea semilunaris can occur due to trauma, prior surgical incisions, and Spigelian hernias. While simple suture repair of Spigelian fascia defects with mesh reinforcement is often possible, this technique may not provide the best long-term repair. Given the vulnerability of this region, a closure with functioning muscle is ideal. As loss of intra-abdominal domain increases with hernia size, a tension-free closure with complete muscular coverage becomes progressively more challenging.

Our modified Chevrel/Browse technique utilizing lateral and anterior fascial release with on lay mesh provides an ideal technique for repairing Spigelian fascial defects/hernias. Our technique allows for full mobilization of the internal oblique medially and ipsilateral rectus complex laterally, closing the Spigelian region completely with muscle in a tension-free fashion. The onlay mesh provides reinforcement, as the anterior sheath has been divided and muscles joined.

In our experience, this repair is durable, with a low recurrence rate (5.1 percent overall in our series of 123 patients and 7.3 percent among a subset of 41 patients with a follow-up of over three years).5 Additional advantages include simplicity of reconstruction, frequently avoiding entry into the abdominal cavity and no direct mesh contact with intra-abdominal structures. The procedure is well-tolerated by patients. We have observed no serious postoperative complications such as intensive care unit admission, development of abdominal compartment syndrome, respiratory failure, or death. Mesh infection is also extremely rare, and we have only partially excised mesh on one patient in over ten years of performing this repair. Complications we have encountered include seroma formation in one patient; however, it completely resolved in a few weeks without any intervention.

Conclusion

Our lateral and anterior fascial release technique with onlay mesh provides an elegant solution for repairing Spigelian fascial defects. The ability to close the Spigelian region fully with abdominal musculature makes this repair an attractive option for these difficult hernias.

Lessons Learned

Lateral hernias present a unique challenge to surgeons due to their complex anatomy. Performing this modified Chevrel/Browse technique utilizing lateral and anterior fascial release with onlay mesh provides an ideal technique for repair of Spigelian fascial defects/hernias.

References

  1. Katkhouda N, Alicuben ET, Pham V, et al. Management of lateral abdominal hernias. Hernia. 2020;24(2):353-358. doi:10.1007/s10029-020-02126-5
  2. Chatterjee S, Nam R, Fleshner N, Klotz L. Permanent flank bulge is a consequence of flank incision for radical nephrectomy in one half of patients. Urol Oncol. 2004;22(1):36-39. doi:10.1016/S1078-1439(03)00099-1
  3. Inkiläinen A, Styrke J, Ljungberg B, Strigård K. Occurrence of abdominal bulging and hernia after open partial nephrectomy: a retrospective cohort study. Scand J Urol. 2018;52(1):54-58. doi:10.1080/21681805.2017.1376352
  4. Rutkow IM. Demographic and socioeconomic aspects of hernia repair in the United States in 2003. Surg Clin North Am. 2003;83(5):1045-vi. doi:10.1016/S0039-6109(03)00132-4
  5. Hodgman EI, Watson MJ. Revisiting the Anterior Rectus Sheath Repair for Incisional Hernia: A 10-Year Experience. World J Surg. 2017;41(3):713-721. doi:10.1007/s00268-016-3774-9

Authors

Desir ADa; Ju MRa; Watson MJb

Author Affiliations

  1. Department of Surgery University of Texas Southwestern Medical Center, Dallas, TX 75930
  2. Division of GI/Endocrine Surgery, Department of Surgery, University of Texas Southwestern Medical Center, Dallas, TX 75930

Corresponding Author

Mark J. Watson, MD
Department of Surgery
Division of GI/Endocrine Surgery
University of Texas Southwestern Medical Center
5323 Harry Hines Boulevard
Dallas, TX 75390
Phone: (214) 645-8131
Email: mark.watson@utsouthwestern.edu

Disclosure Statement

The authors have no conflicts of interest to disclose.

Funding/Support

The authors have no relevant financial relationships or in-kind support to disclose.

Received: July 15, 2020
Revision received: October 15, 2020
Accepted: November 1, 2020