Unsupported Browser
The American College of Surgeons website is not compatible with Internet Explorer 11, IE 11. For the best experience please update your browser.
Menu
Become a member and receive career-enhancing benefits

Our top priority is providing value to members. Your Member Services team is here to ensure you maximize your ACS member benefits, participate in College activities, and engage with your ACS colleagues. It's all here.

Become a Member
Become a member and receive career-enhancing benefits

Our top priority is providing value to members. Your Member Services team is here to ensure you maximize your ACS member benefits, participate in College activities, and engage with your ACS colleagues. It's all here.

Become a Member
ACS
Case Reviews in Surgery

Giant Choledochal Cyst Presenting With Biliary Obstruction Without Invasive Carcinoma

January 11, 2022

Abstract

Background

A 40-year-old female presented with a palpable abdominal mass and biliary obstruction secondary to a large type I choledochal cyst.

Summary

Our patient presented with fecal urgency, diffuse pruritis, and an abdominal mass to her primary care physician and was found to have jaundice and scleral icterus on physical exam. Abdominal CT scan revealed significant cystic degeneration of the common bile duct consistent with a type I choledochal cyst, with kinking of a normal-caliber common bile duct and resultant dilation of the intrahepatic bile ducts. She was offered surgical resection due to her symptomatic biliary obstruction and evaluated for malignant transformation of the cyst wall epithelium. The 15 cm cyst was resected and found between a normal caliber proximal common hepatic duct and distal common bile duct. Final pathology revealed areas of low- and high-grade biliary intraepithelial neoplasia in the cyst wall but no invasive carcinoma.

Conclusion

Choledochal cysts are rare, and surgical resection is offered for symptomatic cysts and malignancy risk-reduction, depending on cyst size and location.

Key Words

choledochal cyst; biliary obstruction; cholangiocarcinoma


Case Description

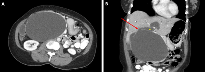
A 40-year-old previously healthy woman presented to her primary care physician with new fecal urgency, diffuse pruritis, and an abdominal mass. Physical examination was remarkable for jaundice, scleral icterus, and a palpable 10 cm right upper quadrant abdominal mass. Laboratory tests revealed a total bilirubin of 9.2, AST of 203, ALT of 174, and alkaline phosphatase of 380. An abdominal CT scan revealed significant cystic degeneration of the common bile duct suspicious for a type I choledochal cyst (Figure 1).

Figure 1. CT Scan Obtained at Time of Presentation. Published with Permission

A) Large cyst with some intramural nodularity; B) coronal view of cyst with associated intrahepatic biliary dilatation. Arrow demonstrates area where common bile duct (*) was kinked at inlet to large cyst, causing obstruction

The cyst's large size resulted in kinking of the normal-caliber proximal common bile duct and moderate dilation of the intrahepatic biliary tree. Given the available CT was high quality and adequately delineated the biliary anatomy, we did not feel additional imaging, including MRCP, was necessary. Due to the patient's biliary obstructive symptoms, concern for progression to cholangitis, and potential for malignant transformation of the cyst wall, the patient was offered an extrahepatic bile duct resection with biliary-enteric reconstruction.

An upper midline laparotomy was used to expose the cyst, which involved nearly the entire length of the common hepatic and common bile ducts. The cyst measured approximately 15 cm in maximum diameter and was positioned between a more normal caliber proximal common hepatic duct (12 mm) and distal common bile duct (3 mm) (Figure 2).

Figure 2. Intraoperative Photos Obtained at Time of Resection. Published with Permission

A) Yellow vessel loop around near-normal caliber common hepatic duct; and B) large cyst tapering to small neck near pancreatic ampulla

The cyst and gallbladder were dissected away from the surrounding tissue, making sure to protect the other structures in the porta hepatis, duodenum, and pancreatic head. The proximal and distal margins were evaluated intraoperatively with frozen sections, which were negative for dysplasia or malignancy, and a retrocolic Roux-en-Y hepaticojejunostomy was performed. Final pathology demonstrated focal areas of both low- and high-grade biliary intraepithelial neoplasia without evidence of invasive carcinoma (Figure 3). The patient did well postoperatively and is currently asymptomatic.

Figure 3. Histopathologic Images of Areas of Mucosa of Choledochal Cyst (H&E stain, 20x). Published with Permission

A) Normal biliary-type epithelium with small and basally located nuclei; B) focal area of high-grade dysplasia (biliary intraepithelial neoplasia) identified within cyst, characterized by epithelial cytologic dysplasia and architectural complexity

Discussion

Choledochal cysts are rare congenital or acquired malformations of the intra- or extrahepatic biliary tree, typically diagnosed in childhood and more prevalent in East Asian populations. Fewer than 20 percent of cases are diagnosed after 20 years of age;1 however, incidence in asymptomatic adults is on the rise, principally due to incidental detection on cross-sectional imaging obtained for other reasons.2,3 When present, the predominant presenting symptom in adults is abdominal pain, often associated with cholangitis, pancreatitis, and cholelithiasis.47 Abdominal masses and biliary obstruction are relatively uncommon presenting symptoms, particularly in the absence of overt malignancy.

The etiology of choledochal cysts is not completely understood, but various mechanisms for development have been proposed. Anomalous pancreaticobiliary duct union (APBDU), where the pancreatic and bile ducts join prior to duodenal insertion, is present in 30 to 70 percent of patients with choledochal cysts. It is theorized that increased exposure of the biliary epithelium to inflammation-inducing pancreatic enzymes may lead to cystic degeneration of the bile duct wall and cyst formation.810 In one large study of nearly 3000 patients undergoing endoscopic retrograde cholangiopancreatography (ERCP), a choledochal cyst was found in 87 percent of patients with APBDU.11 Indirect evidence supporting this association includes elevation of cyst-fluid amylase levels and the development of significant common bile duct dilatation in mice undergoing iatrogenic APBDU.12,13 Increased intrabiliary pressure and sphincter of Oddi dysfunction have also been proposed as mechanisms leading to choledochal cyst development; however, given the chronicity and rarity of the disease, definitive causal relationships are difficult to establish.14,15

The most common diagnostic classification system introduced by Todani et al. establishes five types of choledochal cysts based on the primary anatomic location of biliary dilatation.16 Type I includes dilatation of the extrahepatic bile duct, with further subdivision into types IA, IB, and IC based on the location within the common bile duct and presence or absence of APBDU. A type II cyst is a saccular diverticulum of the common bile duct, distinct from the gallbladder. Type III cysts, also known as choledochoceles, are typically located in the duodenal wall. Their periampullary location can lead to pancreatitis, biliary obstruction, and, in rare cases, gastric outlet obstruction. This location also makes them more amenable to endoscopic intervention.17 Type IV cysts include both intra- and extrahepatic ductal dilatation or multiple areas of extrahepatic dilatation, while type V (Caroli's disease) involves multiple areas of intrahepatic dilatation.

The risk of malignant degeneration across all cyst types is estimated to be approximately 11 percent.5,7,18 Types I and IV are associated with the highest rates of malignancy, while type III cysts are rarely subject to malignant transformation.19 Overall, the risk of malignancy increases with age, further suggesting a link between chronic low-grade inflammation and cyst pathogenesis.20 Malignancy can occur even after surgical resection or cyst drainage. Patients who undergo drainage procedures (e.g., cystojejunostomy) are more than four times likelier to develop a subsequent biliary malignancy when compared to those undergoing complete cyst excision and hepaticojejunostomy, which is now the treatment of choice at most centers.19

Conclusion

In summary, this rare presentation of a choledochal cyst causing biliary obstruction without concomitant intraluminal malignancy underscores the chronicity and complexity of cyst development. The patient's biliary obstructive symptoms allowed for a targeted workup and rapid identification of her choledochal cyst, a diagnosis which can often be delayed due to vague presenting symptoms.21 Fortunately, her cyst was able to be treated before the development of more significant biliary complications such as cholangitis or a more life-threatening biliary malignancy. The utility of ongoing postoperative surveillance is unknown but likely low in patients undergoing complete cyst excision with biliary reconstruction.

Lessons Learned

The risk of malignancy increases with age, further suggesting a link between chronic low-grade inflammation and cyst pathogenesis. Additionally, patients who undergo drainage procedures are more likely to develop a subsequent biliary malignancy. This rare presentation of a choledochal cyst causing biliary obstruction without concomitant intraluminal malignancy underscores the chronicity and complexity of cyst development; the utility of ongoing postoperative surveillance is unknown but likely low in patients undergoing complete cyst excision with biliary reconstruction.

References

  1. Hewitt PM, Krige JE, Bornman PC, Terblanche J. Choledochal cysts in adults. Br J Surg. 1995;82(3):382-385. doi:10.1002/bjs.1800820333
  2. Dhupar R, Gulack B, Geller DA, Marsh JW, Gamblin TC. The changing presentation of choledochal cyst disease: an incidental diagnosis. HPB Surg. 2009;2009:103739. doi:10.1155/2009/103739
  3. Feng J-F, Chen W-Y, Chen D-F, Zhou S, Liu J. Choledochal cysts with malignancy in adult: a retrospective study with an experience of twenty-two years. Pak. J. Med. Sci. Q. 2011;27(1):6-10.
  4. Soares KC, Arnaoutakis DJ, Kamel I, et al. Choledochal cysts: presentation, clinical differentiation, and management. J Am Coll Surg. 2014;219(6):1167-1180. doi:10.1016/j.jamcollsurg.2014.04.023
  5. Edil BH, Cameron JL, Reddy S, et al. Choledochal cyst disease in children and adults: a 30-year single-institution experience. J Am Coll Surg. 2008;206(5):1000-1008. doi:10.1016/j.jamcollsurg.2007.12.045
  6. Wiseman K, Buczkowski AK, Chung SW, Francoeur J, Schaeffer D, Scudamore CH. Epidemiology, presentation, diagnosis, and outcomes of choledochal cysts in adults in an urban environment. Am J Surg. 2005;189(5):527-531. doi:10.1016/j.amjsurg.2005.01.025
  7. Moslim MA, Takahashi H, Seifarth FG, Walsh RM, Morris-Stiff G. Choledochal cyst disease in a western center: a 30-year experience. J Gastrointest Surg. 2016;20(8):1453-1463. doi:10.1007/s11605-016-3181-4
  8. Babbitt DP. [Congenital choledochal cysts: new etiological concept based on anomalous relationships of the common bile duct and pancreatic bulb]. Ann Radiol (Paris). 1969;12(3):231-240.
  9. Kimura K, Ohto M, Ono T, et al. Congenital cystic dilatation of the common bile duct: relationship to anomalous pancreaticobiliary ductal union. AJR Am J Roentgenol. 1977;128(4):571-577. doi:10.2214/ajr.128.4.571
  10. Jona JZ, Babbitt DP, Starshak RJ, LaPorta AJ, Glicklich M, Cohen RD. Anatomic observations and etiologic and surgical considerations in choledochal cyst. J Pediatr Surg. 1979;14(3):315-320. doi:10.1016/s0022-3468(79)80490-x
  11. Nagi B, Kochhar R, Bhasin D, Singh K. Endoscopic retrograde cholangiopancreatography in the evaluation of anomalous junction of the pancreaticobiliary duct and related disorders. Abdom Imaging. 2003;28(6):847-852. doi:10.1007/s00261-003-0031-0
  12. Miyano T, Suruga K, Suda K. "The choledocho-pancreatic long common channel disorders" in relation to the etiology of congenital biliary dilatation and other biliary tract disease. Ann Acad Med Singap. 1981;10(4):419-426.
  13. Yamashiro Y, Miyano T, Suruga K, et al. Experimental study of the pathogenesis of choledochal cyst and pancreatitis, with special reference to the role of bile acids and pancreatic enzymes in the anomalous choledocho-pancreatico ductal junction. J Pediatr Gastroenterol Nutr. 1984;3(5):721-727. doi:10.1097/00005176-198411000-00015
  14. Polido WT, Lorenzo JC, Tayag WY. Choledochal cyst in an adult: congenital or an acquired clinical entity?. WebmedCentral HEPATOBILIARY 2012;3(1):WMC002920
    doi: 10.9754/journal.wmc.2012.002920
  15. Turowski C, Knisely AS, Davenport M. Role of pressure and pancreatic reflux in the aetiology of choledochal malformation. Br J Surg. 2011;98(9):1319-1326. doi:10.1002/bjs.7588
  16. Todani T, Watanabe Y, Narusue M, Tabuchi K, Okajima K. Congenital bile duct cysts: Classification, operative procedures, and review of thirty-seven cases including cancer arising from choledochal cyst. Am J Surg. 1977;134(2):263-269. doi:10.1016/0002-9610(77)90359-2
  17. Masetti R, Antinori A, Coppola R, et al. Choledochocele: changing trends in diagnosis and management. Surg Today. 1996;26(4):281-285. doi:10.1007/BF00311589
  18. Jan YY, Chen HM, Chen MF. Malignancy in choledochal cysts. Hepatogastroenterology. 2000;47(32):337-340.
  19. Ten Hove A, de Meijer VE, Hulscher JBF, de Kleine RHJ. Meta-analysis of risk of developing malignancy in congenital choledochal malformation. Br J Surg. 2018;105(5):482-490. doi:10.1002/bjs.10798
  20. Huang CS, Huang CC, Chen DF. Choledochal cysts: differences between pediatric and adult patients. J Gastrointest Surg. 2010;14(7):1105-1110. doi:10.1007/s11605-010-1209-8
  21. Stain SC, Guthrie CR, Yellin AE, Donovan AJ. Choledochal cyst in the adult. Ann Surg. 1995;222(2):128-133. doi:10.1097/00000658-199508000-00004

Authors

Clark NMa; Kolnik SMa; Gui Xb; Sham JGa

Author Affiliations

  1. Department of Surgery, University of Washington, Seattle, WA 98195
  2. Department of Pathology, University of Washington, Seattle, WA 98195

Corresponding Author

Jonathan G. Sham, MD
University of Washington
Box 356410
1959 Pacific Street NE
Seattle, WA 98195
Phone: (206) 685-5662
Email: jsham@uw.edu

Disclosure Statement

The authors have no conflicts of interest to disclose.

Funding/Support

The authors have no relevant financial relationships or in-kind support to disclose.

Received: July 19, 2020
Revision received: September 21, 2020
Accepted: November 1, 2020