Unsupported Browser
The American College of Surgeons website is not compatible with Internet Explorer 11, IE 11. For the best experience please update your browser.
Menu
Become a member and receive career-enhancing benefits

Our top priority is providing value to members. Your Member Services team is here to ensure you maximize your ACS member benefits, participate in College activities, and engage with your ACS colleagues. It's all here.

Become a Member
Become a member and receive career-enhancing benefits

Our top priority is providing value to members. Your Member Services team is here to ensure you maximize your ACS member benefits, participate in College activities, and engage with your ACS colleagues. It's all here.

Become a Member
ACS
Case Reviews in Surgery

Pancreaticobiliary Reconstruction Limb Ulcers Following Transarterial Radioembolization in Post-Pancreaticoduodenectomy Anatomy

January 11, 2022

Abstract

Background

Yttrium-90 (90Y) transarterial radioembolization (TARE) is a safe and effective treatment for liver malignancies, including hepatocellular carcinoma (HCC) and metastatic neuroendocrine tumors (NET) not amenable to resection or ablation. While gastric and duodenal ulcers are known, albeit rare, complications of 90Y TARE, there are no reports in the literature to our knowledge of jejunal or pancreaticobiliary reconstruction limb ulcers following 90Y TARE treatment.

Summary

We report a case of perforated jejunal ulcers in the pancreaticobiliary reconstruction limb following 90Y TARE treatment of metastatic gastrinoma recurrence in a patient with post-pancreaticoduodenectomy surgical anatomy. These ulcers ultimately required jejunal resection and were distinct from prior jejunal ulcers near the duodenojejunostomy (DJ) anastomosis caused by acid hypersecretion associated with gastrinoma recurrence.

Conclusion

We present the first known case of ulcer formation in the pancreaticobiliary reconstruction limb following 90Y TARE in a patient who is post-pancreaticoduodenectomy. When considering 90Y TARE, patients with aberrant anatomy such that a segment of the small bowel is directly adjacent to the 90Y treatment bed warrant special attention.

Key Words

yttrium-90; transarterial radioembolization; neuroendocrine tumor; pancreaticoduodenectomy; jejunal resection; jejunal ulcer; pancreaticobiliary reconstruction limb


Case Description

A 66-year-old woman who had undergone pylorus-preserving pancreaticoduodenectomy sixteen years earlier for a pancreatic head gastrinoma had a solitary segment V hepatic recurrence treated with highly selective 90Y TARE. She then presented four months post-treatment with severe, acute abdominal pain, later found to be from a perforated jejunal ulcer in the pancreaticobiliary reconstruction limb.

The patient initially presented at age 50 with a history of worsening diarrhea, with work-up revealing a pancreatic head mass and elevated serum gastrin levels to 585 pg/mL. She underwent pylorus-preserving pancreaticoduodenectomy for a 1.6 cm malignant gastrinoma, involving one of eight lymph nodes (pT1N1). The configuration of the alimentary tract reconstruction, from proximal to distal, consisted of: the jejunal staple line, then 5 cm to the pancreaticojejunostomy, then 5 cm to the hepaticojejunostomy (HJ), and finally 10 cm to the duodenojejunostomy (DJ) anastomosis. Postoperatively, the patient had a prolonged ileus requiring TPN but ultimately recovered well. Oncologic surveillance examinations demonstrated no evidence of local, regional, or distant recurrent disease, and interval serum gastrin and chromogranin A levels were normal when measured off of proton pump inhibitor (PPI).

Eight years after surgery, the patient (age 58) presented to the emergency department with severe abdominal pain. Work-up was unrevealing, the symptoms were self-limited, and she was discharged home on a PPI trial, a result which replayed two years later (age 60), with a similar course. It 'was not until sixteen years after surgery (age 66) that the patient was admitted to the hospital with acute-onset, severe, unrelenting epigastric and right upper quadrant abdominal pain associated with bilious emesis, non-bloody diarrhea, focally peritoneal abdominal examination, and worsening leukocytosis and lactatemia, with computed tomography (CT) scan demonstrating segmental jejunal hypoperfusion. She was taken emergently to the operating room for exploration due to concern for bowel ischemia. After extensive lysis of adhesions, findings included a 30 cm segment of dilated and thickened but viable jejunum starting 10 cm proximal to the DJ anastomosis, without evidence of perforation, ischemia, or internal internalization herniation. Upper endoscopy during this hospitalization noted multiple non-bleeding cratered ulcers in the jejunum bordering the DJ, in the efferent more so than the afferent limb (Figure 1). This finding raised concern for gastrinoma recurrence, causing acid hypersecretion and resultant ulcer formation. Given adherent clot, a visible vessel, and concern for bleeding, three clips were placed, although two days later, these dislodged, and the patient had an upper gastrointestinal bleed requiring transfusion. She was managed conservatively and subsequently discharged on a PPI, with plans for outpatient workup of ulcer etiology.

Figure 1. Endoscopy. Published with Permission

A) Diffuse Ulceration at Duodenojejunostomy Anastomosis; B, C) Efferent Jejunal Limb

Two weeks after the patient's hospitalization, serum chromogranin A levels were found to be elevated to 1502 ng/mL (reference range <93 ng/mL). Serum gastrin levels were not obtained due to lab error. Subsequent magnetic resonance imaging (MRI) revealed a hypervascular, diffusion-restricting 1.2 cm lesion in liver segment V with focal uptake on gallium-68 (68Ga) DOTATATE positron emission tomography, confirming metastatic recurrence (Figure 2). Four months following this hospitalization, the patient successfully underwent superselective 90Y TARE with microsphere delivery through an arterial branch solely supplying the segment V tumor. There was no evidence of extrahepatic radiotracer uptake on a post-embolization single-photon emission computed tomography (SPECT) scan. She experienced mild fatigue from post-embolization syndrome in the months following the procedure but otherwise recovered well. A repeat MRI showed the segment V treatment zone with minimal peripheral enhancement and no evidence of residual or recurrent disease.

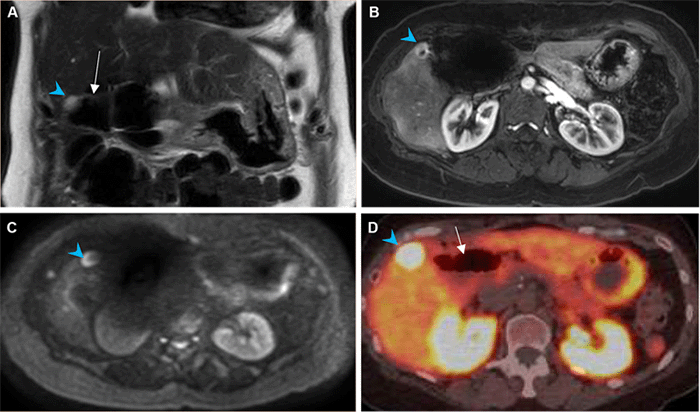
Figure 2. Magnetic Resonance Imaging. Published with Permission

A) Segment V liver lesion (blue arrowhead) hyperintense on T2 and directly adjacent to bowel (white arrow); B) enhancing on arterial phase; C) and with restricted diffusion on diffusion-weighted imaging; D) gallium-68 DOTATATE positron emission tomography/computed tomography demonstrating intense focal uptake (May 2019)

Four months after 90Y TARE, the patient presented to the emergency department with abdominal pain, CT exhibiting a perihepatic fluid collection, and possible small bowel obstruction versus ileus. She was admitted for nonoperative management and small bowel follow-through confirmed ileus. Endoscopy during this admission demonstrated resolution of the previously visualized jejunal ulcers bordering the DJ anastomosis but identified two new, deep, 1 cm ulcers just distal to the HJ anastomosis (Figures 3A and 3B). Biopsy noted enteritis but no evidence of malignancy, ischemia, or presence of 90Y microspheres. Serum gastrin and chromogranin A levels from the month prior were both normal. She was managed conservatively and discharged on twice-daily PPI and sucralfate.

The patient continued to experience severe, stabbing abdominal pain, and follow-up endoscopy one month later revealed increased size of the jejunal ulcers adjacent to the HJ anastomosis (Figure 3C). She was admitted to the hospital, and a CT scan was obtained, with findings suggestive of erosion between the liver and an adjoining segment of the jejunum. On exploratory laparotomy, after extensive lysis of adhesions, a 1 cm jejunal segment distal to the HJ anastomosis was adherent to the liver with a contained jejunal perforation and fistulous tract into the radiated segment V lesion. The HJ and DJ anastomoses were noted to be intact, and the remainder of the visible jejunal mucosa appeared healthy. The jejunal perforation and 1 cm of bowel on either side were resected, and an end-to-end jejunojejunostomy was matured. Surgical pathology showed small bowel mucosa with erosion, ulceration, fistula formation, edema, and serosal adhesions but was negative for neoplasm or evidence of 90Y microspheres  (Figure 4).

Figure 3. Endoscopy Demonstrating Healthy Jejunal Mucosa. Published with Permission

A) Duodenojejunostomy anastomosis; B) two new ulcers adjacent to hepaticojejunostomy anastomosis (yellow arrowheads); and C) increased size of ulcers on follow-up endoscopy.

The patient recovered uneventfully and had significant improvement in her symptoms. Of note, she recently underwent genetic testing, which found a variant of uncertain significance in the POLE gene, but the remainder of the panel, including MEN, was negative.

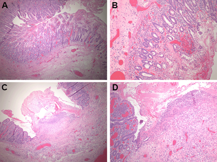
Figure 4. Hematoxylin and Eosin Stains. Published with Permission

Small intestinal mucosa with partially denuded epithelium, reactive epithelial changes, and admixed acute and chronic inflammatory infiltrates, A) 40x magnification and B) 100x magnification; ulcerated small intestinal mucosa with neutrophilic and lymphoplasmacytic inflammation in background of stromal edema and prominent congested blood vessels, C) 40x magnification and D) 100x magnification

Detailed pathologic findings included the following details: on gross examination, serosal surfaces of the resected jejunum were variegated, diffusely hemorrhagic, and focally shaggy. The mucosal surfaces were congested and attenuated with a few normal intestinal folds. There were no masses or lesions. On histological examination, the small intestinal mucosa was ulcerated with denuded epithelium and extensive mixed inflammatory infiltrates, with areas of erosion also present. There were prominent congested blood vessels in the submucosa with stromal edema. The serosal surface of the small intestine had dense fibroconnective tissue, consistent with serosal adhesions. 90Y microspheres or neoplasm were not identified.

Discussion

Yttrium-90 (90Y) transarterial radioembolization (TARE), a form of intra-arterial brachytherapy, is a notable option in the treatment armamentarium for liver malignancies, including hepatocellular carcinoma (HCC) and metastatic neuroendocrine tumors (NET). First used in the 1960s to manage primary HCC and metastatic NET not amenable to surgical resection, 90Y TARE has demonstrated favorable tumor response and patient survival that stands the test of time.16 Overall, 90Y TARE is considered a safe therapy. In a recent meta-analysis comprising 870 patients with NET liver metastases treated with 90Y TARE, complications were reported in less than 1 percent of patients.7 Complications may result from collateral radiation damage or nontarget deposition of the 90Y radioactive microspheres, and include radiation pneumonitis, gastritis, cholecystitis, duodenal ulceration, post-procedure hepatic insufficiency, and liver failure.810 Although rare, non-neoplastic gastric and duodenal ulcers have been described following 90Y TARE of hepatic tumors; however, there are no reports of jejunal or pancreaticobiliary reconstruction limb ulcers to our knowledge.10,11 Here, we report a case of a perforated jejunal ulcer in a patient with post-pancreaticoduodenectomy surgical anatomy and metastatic gastrinoma recurrence treated by 90Y TARE.

We describe a case of pancreaticobiliary reconstruction limb ulcers that occurred after 90Y TARE to an adjacent liver segment in a patient with post-pancreaticoduodenectomy surgical anatomy. In our literature review, this is the first report of ulceration in the jejunum of the pancreaticobiliary reconstruction limb following 90Y TARE.

90Y TARE is a widely utilized therapeutic modality for treating liver malignancies not amenable to resection or ablation, including NET metastases as in our patient.9,11,12 With over 50 years of data available, 90Y TARE has demonstrated effective locoregional tumor control and beneficial long-term oncologic outcomes for both primary and metastatic hepatic malignancies.1,6,7 For NET metastases specifically, 90Y TARE has been associated with symptom relief, favorable disease control, and improved survival, with 78 percent of patients exhibiting tumor response or stable disease and a 72.5 percent one-year survival rate.7,14

The toxicity of radioembolization derives from what also provides its therapeutic effect: radiation.15 The interventional radiologist must select the appropriate hepatic arterial inflow for radioembolization to minimize this toxicity to adjacent normal tissue. Improvements in technology, technique, and experience have enabled more selective administration, thus minimizing adverse events.11,16 However, there are still complications from radiation-induced collateral liver damage, with up to 77 percent of patients exhibiting grade II or III liver toxicity one year after treatment, based on National Cancer Institute Common Toxicity Criteria for Acute Events.8 While gastric and duodenal ulcers are the most commonly reported extrahepatic complications of 90Y TARE, they are rare, with recent literature indicating a prevalence of less than 5 percent.1719 These are thought to be caused by nontarget microsphere accumulation in the gastrointestinal submucosa resulting in tissue and small vessel damage.10,11,20 In this patient's case, a subsegmental arterial branch supplying the segment V tumor was specifically identified and targeted to deliver the 90Y microspheres, with no evidence of nontarget delivery.

The development of the jejunal ulceration in our patient was a result of a "perfect storm": the segment V hepatic recurrence was located in a superficial, subcapsular location; a dedicated branch of the hepatic artery was identified to be supplying the tumor on the mapping angiogram made this lesion amenable to super-selective, high-dose delivery of the 90Y microspheres; and the patient's altered post-pancreaticoduodenectomy anatomy placed the affected jejunal segment directly adjacent to the radiated liver. The jejunal ulceration thus resulted not from nontarget microsphere deposition but an ablative radiation dose close to the small bowel, described at our institution as "shine-through radiation." The average tissue penetration of the beta energy from 90Y TARE is 2 mm to 3 mm, up to a maximum of 11 mm. To this end, a retrospective study of 97 patients undergoing non-ablative, conventional radioembolization to the left hepatic lobe demonstrated the safety of the therapy when delivered near the gastric wall.21

In our patient's case, the ulcerated jejunum was not just close to the liver metastasis but was found intraoperatively to be adherent to it. Of note, there is limited experience regarding special considerations for 90Y TARE in patients after pancreaticoduodenectomy. In a cohort of 33 patients receiving 90Y treatment for liver metastases from pancreatic adenocarcinoma, there were no reports of gastrointestinal ulceration in ten patients who had undergone prior pancreatic resection. However, whether these patients had undergone pancreaticoduodenectomy or the location of the liver metastases was not specified.22

Furthermore, a higher radiation dose than conventional TARE was used in this case to perform an ablative radioembolization, or radiation segmentectomy, in which increased doses administered to two or fewer liver segments are considered curative.23 In short, the 'patient's post-pancreaticoduodenectomy anatomy placing the jejunum directly adjacent to the superficial liver tumor, combined with the high radiation dose afforded by ablative TARE, is the likely cause of this unique complication.

Our patient developed two sets of jejunal ulcers in succession from distinct etiologies. She initially formed jejunal ulcers adjacent to the DJ anastomosis due to her gastrinoma recurrence and its associated acid hypersecretion, which improved with PPI and ultimately resolved with 90Y TARE treatment of the recurrence. She subsequently developed new ulcers adjacent to the HJ anastomosis following 90Y TARE therapy, when serum chromogranin A and gastrin levels were low. It is unlikely that the segment of jejunum affected had been previously damaged by stomach acid hypersecretion as it was in the afferent limb, considerably distant relative to the DJ anastomosis. Of note, there was a low threshold for performing endoscopy in this patient given concern for recurrent cancer, which may have led to earlier, serendipitous detection of the post-90Y ulcers.

Conclusion

We present the first known case of a perforated pancreaticobiliary reconstruction limb ulcer following 90Y TARE and requiring segmental jejunal resection in a post-pancreaticoduodenectomy patient. When considering 90Y therapy follow-up, patients like ours with aberrant anatomy such that a segment of the small bowel is directly adjacent to the 90Y treatment bed warrant special attention.

Lessons Learned

While gastrointestinal ulceration is a rare complication of ablative, yttrium-90 transarterial radioembolization for treating liver malignancies, patients with altered intestinal anatomy present a unique challenge. Pancreaticobiliary reconstruction limb ulceration is a potential complication of 90Y radiation segmentectomy in patients with prior pancreaticoduodenectomy.

LKD, KPL, and JOP contributed to the conception of the work. All authors contributed to the interpretation of the patient information, including laboratory values, endoscopic images, radiologic images, operative findings, and histopathology findings. LKD, KPL, CW, WM, and JOP drafted the article and/or substantively revised it. All authors read and approved the final version to be submitted.

References

  1. Saini A, Wallace A, Alzubaidi S, et al. History and evolution of yttrium-90 radioembolization for Hepatocellular Carcinoma. J Clin Med. 2019;8(1):55. Published 2019 Jan 7. doi:10.3390/jcm8010055
  2. Ariel IM. Treatment of inoperable primary pancreatic and liver cancer by the intra-arterial administration of radioactive isotopes (Y90 radiating microspheres). Ann Surg. 1965;162(2):267-278. doi:10.1097/00000658-196508000-00018
  3. Simon N, Warner RR, Baron MG, Rudavsky AZ. Intra-arterial irradiation of carcinoid tumors of the liver. Am J Roentgenol Radium Ther Nucl Med. 1968;102(3):552-561. doi:10.2214/ajr.102.3.552
  4. Memon K, Lewandowski RJ, Mulcahy MF, et al. Radioembolization for neuroendocrine liver metastases: safety, imaging, and long-term outcomes. Int J Radiat Oncol Biol Phys. 2012;83(3):887-894. doi:10.1016/j.ijrobp.2011.07.041
  5. National Comprehensive Cancer Network. Neuroendocrine and adrenal tumors clinical practice guidelines (Version 1.2019). https://www.nccn.org/professionals/physician_gls/pdf/neuroendocrine.pdf
  6. Kennedy AS, Salem R. Radioembolization (yttrium-90 microspheres) for primary and metastatic hepatic malignancies. Cancer J. 2010;16(2):163-175. doi:10.1097/PPO.0b013e3181d7e8cf
  7. Jia Z, Wang W. Yttrium-90 radioembolization for unresectable metastatic neuroendocrine liver tumor: A systematic review. Eur J Radiol. 2018;100:23-29. doi:10.1016/j.ejrad.2018.01.012
  8. Tomozawa Y, Jahangiri Y, Pathak P, et al. Long-term toxicity after transarterial radioembolization with yttrium-90 using resin microspheres for neuroendocrine tumor liver metastases. J Vasc Interv Radiol. 2018;29(6):858-865. doi:10.1016/j.jvir.2018.02.002
  9. Sacco R, Mismas V, Marceglia S, et al. Transarterial radioembolization for hepatocellular carcinoma: An update and perspectives. World J Gastroenterol. 2015;21(21):6518-6525. doi:10.3748/wjg.v21.i21.6518
  10. Blesl A, Brcic I, Jaschke W, Öfner D, Fickert P, Plank J. Chronic gastric ulcer disease complicating selective internal radiation therapy (SIRT) in a patient with cholangiocellular carcinoma. SIRT induzierte chronische gastroduodenale Vaskulopathie. Z Gastroenterol. 2019;57(11):1304-1308. doi:10.1055/a-1016-3698
  11. Salem R, Thurston KG. Radioembolization with yttrium-90 microspheres: a state-of-the-art brachytherapy treatment for primary and secondary liver malignancies: part 3: comprehensive literature review and future direction. J Vasc Interv Radiol. 2006;17(10):1571-1593. doi:10.1097/01.RVI.0000236744.34720.73
  12. Egger ME, Armstrong E, Martin RC 2nd, et al. Transarterial chemoembolization vs. radioembolization for neuroendocrine liver metastases: a multi-institutional analysis. J Am Coll Surg. 2020;230(4):363-370. doi:10.1016/j.jamcollsurg.2019.12.026
  13. Saini A, Wallace A, Alzubaidi S. History and evolution of Yttrium-90 radioembolization for hepatocellular carcinoma. J Clin Med. 2019;8:E55. doi: 10.3390/jcm8010055
  14. Jia Z, Paz-Fumagalli R, Frey G, Sella DM, McKinney JM, Wang W. Single-institution experience of radioembolization with yttrium-90 microspheres for unresectable metastatic neuroendocrine liver tumors. J Gastroenterol Hepatol. 2017;32(9):1617-1623. doi:10.1111/jgh.13752
  15. Lee EJ, Chung HW, Jo JH, So Y. Radioembolization for the treatment of primary and metastatic liver cancers. Nucl Med Mol Imaging. 2019;53(6):367-373. doi:10.1007/s13139-019-00615-9
  16. Padia SA, Johnson GE, Horton KJ, et al. Segmental yttrium-90 radioembolization versus segmental chemoembolization for localized hepatocellular carcinoma: results of a single-center, retrospective, propensity score-matched study. J Vasc Interv Radiol. 2017;28(6):777-785.e1. doi:10.1016/j.jvir.2017.02.018
  17. Riaz A, Awais R, Salem R. Side effects of yttrium-90 radioembolization. Front Oncol. 2014;4:198. Published 2014 Jul 29. doi:10.3389/fonc.2014.00198
  18. Vilgrain V, Pereira H, Assenat E, et al. Efficacy and safety of selective internal radiotherapy with yttrium-90 resin microspheres compared with sorafenib in locally advanced and inoperable hepatocellular carcinoma (SARAH): an open-label randomised controlled phase 3 trial. Lancet Oncol. 2017;18(12):1624-1636. doi:10.1016/S1470-2045(17)30683-6
  19. Padia SA, Lewandowski RJ, Johnson GE, et al. Radioembolization of hepatic malignancies: background, quality improvement guidelines, and future directions. J Vasc Interv Radiol. 2017;28(1):1-15. doi:10.1016/j.jvir.2016.09.024
  20. Murthy R, Nunez R, Szklaruk J, et al. Yttrium-90 microsphere therapy for hepatic malignancy: devices, indications, technical considerations, and potential complications. Radiographics. 2005;25 Suppl 1:S41-S55. doi:10.1148/rg.25si055515
  21. Gates VL, Hickey R, Marshall K, et al. Gastric injury from (90)Y to left hepatic lobe tumors adjacent to the stomach: fact or fiction?. Eur J Nucl Med Mol Imaging. 2015;42(13):2038-2044. doi:10.1007/s00259-015-3122-6
  22. Kim AY, Frantz S, Brower J, Akhter N. Radioembolization with yttrium-90 microspheres for the treatment of liver metastases of pancreatic adenocarcinoma: a multicenter analysis. J Vasc Interv Radiol. 2019;30(3):298-304.e2. doi:10.1016/j.jvir.2018.09.020
  23. Viveiros P, Riaz A, Lewandowski RJ, Mahalingam D. Current state of liver-directed therapies and combinatory approaches with systemic therapy in hepatocellular carcinoma (HCC). Cancers (Basel). 2019;11(8):1085. Published 2019 Jul 31. doi:10.3390/cancers11081085

Authors

Dickerson LKa; Labadie KPa; Brentnall TAb; Saunders MDb; Wu Bc; Yeh MMc; Johnson GEd; Monsky WLd; Park JOa

Author Affiliations

  1. Department of Surgery, Hepatopancreaticobiliary Surgical Oncology Division, University of Washington Medical Center, Seattle, WA 98195
  2. Department of Medicine, Gastroenterology Division, University of Washington Medical Center, Seattle, WA 98195
  3. Department of Laboratory Medicine and Pathology, University of Washington Medical Center, Seattle, WA 98195
  4. Department of Radiology, Interventional Radiology Division, University of Washington Medical Center, Seattle, WA 98195

Corresponding Author

James O. Park, MD, FACS
Department of Surgery
University of Washington Medical Center
1959 NE Pacific Street
Box 356410
Seattle, WA, 98195
Phone: 206-685-4672
Email: jopark@uw.edu

Disclosure Statement

The authors have no conflicts of interest to disclose.

Funding/Support

The authors have no relevant financial relationships or in-kind support to disclose.

Received: July 20, 2021
Revision received: October 1, 2021
Accepted: November 1, 2021