Unsupported Browser
The American College of Surgeons website is not compatible with Internet Explorer 11, IE 11. For the best experience please update your browser.
Menu
Become a member and receive career-enhancing benefits

Our top priority is providing value to members. Your Member Services team is here to ensure you maximize your ACS member benefits, participate in College activities, and engage with your ACS colleagues. It's all here.

Become a Member
Become a member and receive career-enhancing benefits

Our top priority is providing value to members. Your Member Services team is here to ensure you maximize your ACS member benefits, participate in College activities, and engage with your ACS colleagues. It's all here.

Become a Member
ACS
Case Reviews in Surgery

Cholecystocutaneous Fistula After Percutaneous Cholecystostomy Tube Removal

January 11, 2022

Abstract

Background

An 81-year-old female presented with cholecystocutaneous fistula with gallstone impaction one year after removing the percutaneous cholecystostomy tube.

Summary

Gallbladder herniation and cholecystocutaneous fistula as a complication of percutaneous cholecystostomy tube placement are rare. We present a case of a patient with gallbladder herniation through the percutaneous cholecystostomy tube site that was initially placed to manage her acute cholecystitis. This patient presented with abdominal pain and purulence and was found to have a large gallstone lodged in her cholecystocutaneous fistula. This complication was managed nonoperatively with the removal of the gallstone, local wound care, and antibiotics to manage her cellulitis. This paper intends to heighten the awareness of this anomaly while emphasizing the importance of recognizing this rare entity.

Conclusion

Gallbladder herniation and formation of cholecystocutaneous fistula is a rare complication of cholecystostomy tubes and may be managed with local wound care in a patient with prohibitive surgical risk.

Key Words

cholecystectomy; cholecystostomy tubes; gallbladder hernia


Case Description

We present the case of an 81-year-old female with a history of acute cholecystitis four years prior that was managed nonoperatively with a percutaneous cholecystostomy tube. She was a poor surgical candidate due to a history of anal squamous cell carcinoma treated with chemoradiation, congestive heart failure, aortic stenosis, and a previous stroke. She developed multiple functional issues with her drain requiring replacements and ultimately removal two years later. Her PCT drain site developed into a non-healing fistulous tract with chronic drainage managed with local wound care at home and in the clinic. She further developed an abscess inferior to her previous drain site managed via incision and drainage one year prior. Wound cultures were obtained at the time and grew Methicillin-resistant Staphylococcus aureus susceptible to trimethoprim-sulfamethoxazole. She completed her antibiotic course and was lost to follow-up.

At admission, she presented to the hospital with right upper quadrant pain and an increase in the amount of drainage from her cholecystocutaneous fistula. The drainage was initially clear yellow but had changed to murky, dark green, and foul-smelling character. At the time of presentation, the patient did not have any fever, nausea, or vomiting. Physical examination revealed that the previous PCT drain site had a large gallstone impacted at the fistula opening (Figure 1). The surrounding skin was erythematous with mild excoriation and induration in the inferior aspect of her prior incision and drainage site (Figure 2).

Figure 1. Gallstone Lodged in the Opening of Patient's Cholecystocutaneous Fistula. Published with Permission

Figure 2. Cholecystocutaneous Fistula After Gallstone Dislodgement and Previous Incision and Drainage Site With Surrounding Cellulitis. Published with Permission

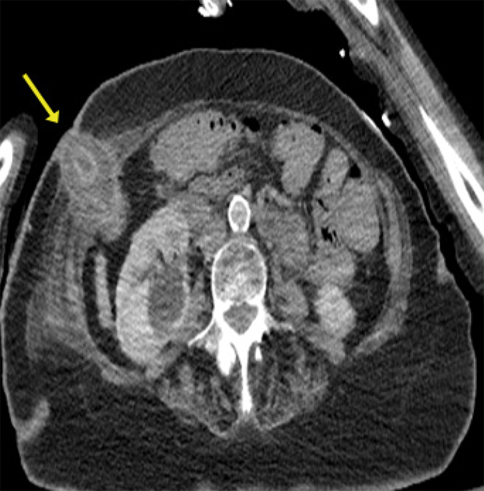
All of her blood tests, including complete blood count, electrolytes, renal function, bilirubin, and liver function, were normal. A computerized tomography (CT) scan with oral Gastrografin and intravenous Isovue contrast was performed, which showed gallbladder herniation through a defect in the anterior abdominal wall immediately beneath the rib cage in the anterior lateral wall. Additionally, there was a track extending inferiorly from the herniated gallbladder, suggestive of a cholecystocutaneous fistula (Figure 3). The patient's abdominal pain was colicky in nature, prompting us to dislodge the impacted stone from her cholecystocutaneous fistula manually, which provided immediate relief of the patient's abdominal pain. The dislodged gallstone was collected and measured 4 cm × 4 cm.

Figure 3. Axial View of CT Angiogram Demonstrating Gallbladder Herniation Through Abdominal Wall. Published with Permission

The patient was admitted to the surgical service to treat cellulitis of the previous incision and drainage site. She was given Piperacillin-Tazobactam and underwent local wound care to her previous cholecystostomy tube site with gallbladder herniation. Operative management of her gallbladder herniation was not pursued as the patient remained a poor surgical candidate. The patient's symptoms improved with antibiotic treatment, and she was sent home with nursing services for wound care as well as a complete course of oral antibiotics.

Case Discussion

Herniation of the gallbladder is a rare complication of gallstone disease, and the few published case reports are mostly associated with incisional, parastomal, ventral, and epigastric hernias.110 This is the first report in the literature of spontaneous extrusion of gallbladder through a cholecystocutaneous fistula after removing a percutaneous cholecystostomy tube. There are short-term and long-term complications associated with percutaneous cholecystostomy tube placement. Immediate complications of PCT include biliary peritonitis, sepsis, tube blockage, pain, and tube dislodgement. These complications are becoming less frequent as technique and imaging modality evolve.1114 Cholecystostomy tube placement is a procedure with high technical success and acceptably low complication and mortality rates.15,16 Cholecystitis recurrence and hospital readmission rates following PCT have been reported to be as high as 41 percent.17 While PCT is a viable option for high-risk patients unable to tolerate cholecystectomy, it is not a definitive solution for acute cholecystitis as most patients should undergo an interval cholecystectomy.

The majority of patients do well following removal of the drain with the eventual closure of the drain site by secondary intention. However, if the patient continues to have large gallstones within the gallbladder that are not draining through the cystic duct or cholecystostomy tube, this can be problematic. Since our patient did not proceed with an interval cholecystectomy after removal of PCT, she remained at risk for developing recurrent cholecystitis. Her imaging showed she had persistent cholelithiasis, and although cholecystocutaneous fistulas occur in acalculous cholecystitis and gallbladder carcinoma, gallstones remain the most common risk factor for developing a fistula.17 Given the large size of the patient's gallstone, the cystic duct was likely occluded, leading to increased pressure in the gallbladder causing mural necrosis and perforation due to compromised blood flow and impairs lymphatic drainage.17,18 This chronic inflammation most likely prevented our patient's cholecystocutaneous fistula from healing. Further, her poor nutritional status may have also contributed to the development of gallbladder wall herniation. Although no nutrition markers were obtained during her initial presentation, her albumin and prealbumin levels were low at 3.3 gm/dl and 10.8 mg/dl, respectively, a year prior.

Conclusion

In summary, we present a rare case of gallbladder herniation and cholecystocutaneous fistula formation after percutaneous cholecystostomy tube placement. To our knowledge, this is the first reported case of gallbladder herniation and fistulization after PCT drain removal. This anomaly was specifically managed non-operatively with gallstone dislodgement, local wound care, and antibiotics.

Lessons Learned

Although rare, the development of cholecystocutaneous fistula after percutaneous cholecystostomy tube placement is a possible complication. In patients who are poor surgical candidates, a non-operative approach with local wound care and improved nutrition can be implemented to manage these patients.

References

  1. To H, Brough S, Pande G. Case report and operative management of gallbladder herniation. BMC Surg. 2015;15:72. Published 2015 Jun 11. doi:10.1186/s12893-015-0056-7
  2. Paolino L, Millan M, Bossi M, Champault G, Barrat C. Herniation of the gallbladder within a hernia of the abdominal wall associated with Mirizzi Syndrome. J Surg Case Rep. 2011;2011(4):3. Published 2011 Apr 1. doi:10.1093/jscr/2011.4.3
  3. Trotta M, Cesaretti M, Minetti GA, Borgonovo G. Complication of gallbladder herniation through the abdominal wall. Surgery. 2013;154(5):1135-1136. doi:10.1016/j.surg.2012.06.018
  4. Garcia RM, Brody F, Miller J, Ponsky TA. Parastomal herniation of the gallbladder. Hernia. 2005;9(4):397-399. doi:10.1007/s10029-005-0340-z
  5. St Peter SD, Heppell J. Surgical images: soft tissue. Incarcerated gallbladder in a parastomal hernia. Can J Surg. 2005;48(1):46.
  6. Rashid M, Abayasekara K, Mitchell E. A case report of an incarcerated gallbladder in a parastomal hernia. Int J Surg. 2010;23(2):8.
  7. Shirahama M, Onohara S, Miyamoto Y, Watanabe A, Ishibashi H. Incisional hernia of gallbladder in a patient with gallbladder carcinoma: sonographic demonstration. J Clin Ultrasound. 1997;25(7):398-400. doi:10.1002/(sici)1097-0096(199709)25:7<398::aid-jcu9>3.0.co;2-5
  8. Sirikci A, Bayram M, Kervancioglu R. Incisional hernia of a normal gallbladder: sonographic and CT demonstration. Eur J Radiol. 2002;41(1):57-59. doi:10.1016/s0720-048x(01)00355-2
  9. Benzoni C, Benini B, Pirozzi C. Gallbladder strangulation within an incisional hernia. Hernia. 2004;8(4):387-388. doi:10.1007/s10029-004-0220-y
  10. Goldman G, Rafael AJ, Hanoch K. Acute acalculous cholecystitis due to an incarcerated epigastric hernia. Postgrad Med J. 1985;61(721):1017-1018. doi:10.1136/pgmj.61.721.1017
  11. McKay A, Abulfaraj M, Lipschitz J. Short- and long-term outcomes following percutaneous cholecystostomy for acute cholecystitis in high-risk patients. Surg Endosc. 2012;26(5):1343-1351. doi:10.1007/s00464-011-2035-0
  12. Molavi I, Schellenberg A, Christian F. Clinical and operative outcomes of patients with acute cholecystitis who are treated initially with image-guided cholecystostomy. Can J Surg. 2018;61(3):195-199. doi:10.1503/cjs.003517
  13. Byrne MF, Suhocki P, Mitchell RM, et al. Percutaneous cholecystostomy in patients with acute cholecystitis: experience of 45 patients at a US referral center. J Am Coll Surg. 2003;197(2):206-211. doi:10.1016/S1072-7515(03)00143-1
  14. Smith TJ, Manske JG, Mathiason MA, Kallies KJ, Kothari SN. Changing trends and outcomes in the use of percutaneous cholecystostomy tubes for acute cholecystitis. Ann Surg. 2013;257(6):1112-1115. doi:10.1097/SLA.0b013e318274779c
  15. Dimou FM, Riall TS. Proper Use of Cholecystostomy Tubes. Adv Surg. 2018;52(1):57-71. doi:10.1016/j.yasu.2018.03.011
  16. Vasanth A, Siddiqui A, O'Donnell K. Spontaneous cholecystocutaneous fistula. South Med J. 2004;97(2):183-185. doi:10.1097/01.SMJ.0000051150.63130.E8
  17. Hariharan D, Lobo DN. Spontaneous extrusion of gallstones after percutaneous drainage. Ann R Coll Surg Engl. 2017;99(3):e1-e2. doi:10.1308/rcsann.2017.0015
  18. Rinzivillo NMA, Danna R, Leanza V, et al. Case report: spontaneous cholecystocutaneous fistula, a rare cholethiasis complication. F1000Res. 2017;6:1768. Published 2017 Sep 27. doi:10.12688/f1000research.12235.1

Authors

Narvaez Va; Lin Aa; Kapil Aab; Kartiko Sac

Author Affiliations

  1. UMass Medical School-Baystate Medical Center, Springfield, MA 01199
  2. Yale University Medical Center, New Haven, CT 06510
  3. George Washington University Hospital, Washington, DC 20037

Corresponding Author

Vincent Narvaez, MD
Department of Surgery UMass Medical School-Baystate Medical Center
759 Chestnut Street
Springfield, MA 01199
Phone: (562) 343-8014
Email: vincentreginald.narvaezmd@baystatehealth.org

Disclosure Statement

The authors have no conflicts of interest to disclose.

Funding/Support

The authors have no relevant financial relationships or in-kind support to disclose.

Received: September 2, 2020
Accepted: March 25, 2021