Unsupported Browser
The American College of Surgeons website is not compatible with Internet Explorer 11, IE 11. For the best experience please update your browser.
Menu
Become a member and receive career-enhancing benefits

Our top priority is providing value to members. Your Member Services team is here to ensure you maximize your ACS member benefits, participate in College activities, and engage with your ACS colleagues. It's all here.

Become a Member
Become a member and receive career-enhancing benefits

Our top priority is providing value to members. Your Member Services team is here to ensure you maximize your ACS member benefits, participate in College activities, and engage with your ACS colleagues. It's all here.

Become a Member
ACS
Case Reviews in Surgery

The Poppy Seed Test for Enterovesical Fistula

January 11, 2022

Abstract

Background

Through poppy seed consumption, an enterovesical fistula was diagnosed and surgically repaired.

Summary

A 39-year-old male was incidentally found to have a multi-cystic pancreatic head lesion on magnetic resonance imaging. He underwent an endoscopic ultrasound (EUS)-guided biopsy and cyst aspiration that demonstrated findings concerning for a premalignant lesion, intraductal papillary mucinous neoplasm. The patient underwent a pylorus-sparing Whipple procedure, and pathology was consistent with acinar cell cystadenoma, an extremely rare and benign lesion of the pancreas often found in young adults. The patient presented approximately two months later with abdominal pain and was found on magnetic resonance cholangiopancreatography to have a rim-enhancing lesion adjacent and inferior to the pancreaticojejunal anastomosis concerning for an acute infectious process. The findings prompted a EUS and stent placement. Subsequently, the patient began to develop difficulties with urination with increased passage of urinary sediment, prompting Foley placement. Given concerns for possible enterovesical fistula, a poppy seed test was recommended, and within hours, the poppy seeds were noted to be draining into the Foley catheter. Computed tomography of the abdomen and pelvis confirmed iatrogenic fistula formation between the jejunum and bladder. The patient was taken to the operating room, the stent was removed, and the bowel and bladder were repaired.

Conclusion

Iatrogenic fistula formation between the urinary and gastrointestinal tract can occur. However, for patients with symptoms suggestive of an enterovesical fistula secondary to any cause, the poppy seed test is a practical, inexpensive, and accurate diagnostic tool and can help guide further evaluation with imaging and surgical management.

Key Words

enterovesical fistula; poppy seed test

 

Case Description

Enterovesical fistulas (EVF) usually involve the colon and occur secondary to diverticulitis, inflammatory bowel disease, intestinal malignancies, radiotherapy, or trauma in developed countries.14 Diagnosis of EVF can often be challenging. Here, we report the first case of an EVF due to endoscopic ultrasound-guided (EUS) drainage and Axios™ transjejunal stent placement for a symptomatic peripancreatic fluid collection, diagnosed initially by a simple poppy seed test.

A 39-year-old Caucasian male with a history of hemochromatosis was incidentally found to have a multi-cystic pancreatic head lesion (2.3 × 5.5 cm) on magnetic resonance imaging (MRI) during a workup for asymptomatic microscopic hematuria. He underwent an esophagogastroduedenoscopy (EGD), which localized a thin-walled multi-cystic lesion in the pancreatic head consistent with cross-sectional imaging. The appearance was suggestive of serous cystadenoma. However, further workup showed inconsistent results. Endoscopic ultrasound (EUS)-guided biopsy and cyst aspiration showed a cytology of Bethesda III with degenerated glandular cells and mucinous material, a finding concerning for a premalignant lesion, intraductal papillary mucinous neoplasm (IPMN), rather than serous cystadenoma. Cystic fluid analysis showed low carcinoembryonic antigen of 92 and relatively high amylase of 1672, values which were not typical of either IPMN or serous cystadenoma. KRAS mutation was negative. After a thorough discussion with the patient, surgical resection was recommended to rule out malignancy.

The patient underwent a pylorus-sparing Whipple procedure. Pathology was consistent with acinar cell cystadenoma (ACA), also known as acinar cystic transformation, an extremely rare and benign pancreatic lesion often found in young adults.5 The initial postoperative course was uneventful, and the patient was discharged on postoperative day (POD) 5. Approximately two months later, the patient was readmitted for worsening abdominal pain and fevers in the setting of elevated liver function tests. Magnetic resonance cholangiopancreatography (MRCP) demonstrated a rim-enhancing lesion adjacent and inferior to the pancreaticojejunal anastomosis concerning for an acute infectious process (i.e., infected peripancreatic fluid collection, perihepatic/peripancreatic abscess). The finding prompted an EUS, which identified a single anechoic lesion distal to the gastrojejunostomy anastomosis. The fluid was aspirated and noted to be clear yellow. No overt infection was noted, and the fluid culture was found to be sterile. Thus, the decision was made to marsupialize the presumed peri-pancreatic cyst and create a cystojejunostomy with an Axios™ stent to prevent recurrence of the cyst.

The patient developed acute urinary retention (AUR) after stent placement, which was initially managed with straight catheterization; however, he had persistently elevated post-void residuals. He ultimately elected for Foley catheter placement. At this point, urology was consulted for recurrent AUR and Foley management. The patient's urologic history was notable for remote hematuria with negative workup, but otherwise no history of lower urinary tract symptoms. The patient reported irritative voiding symptoms following stent placement and the passage of particulate material in his urine. He denied gross hematuria; however, he had noted intermittent green urine. Recent urine culture was negative. No causal medications or other overt etiologies were identified. Given concerns for possible EVF, a poppy seed test was recommended (Kwon et al.). The patient ingested poppy seeds mixed with a thin liquid. Within six hours, the poppy seeds were noted to be draining into the Foley catheter (Figure 1).

Figure 1. Poppy Seeds Seen in the Foley Bag 6 Hours Following Ingestion. Published with Permission

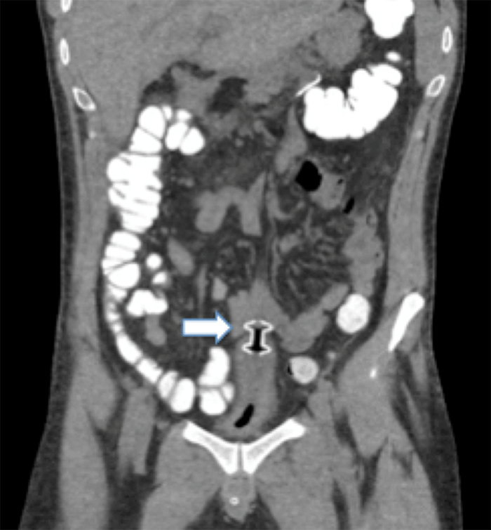
Repeat CT of the abdomen and pelvis with only oral contrast was done and revealed the recently placed Axios™ stent vertically oriented in the pelvis. The cephalad and caudal portions of the stent were noted to communicate with a loop of the small bowel and the urinary bladder dome, respectively (Figure 2).

Figure 2. Coronal CT With Oral Contrast of AxiosTM Stent (arrow) in Pelvis, with Superior Portion Seen Communicating With Small Bowel and Caudal Aspect Involving Bladder Dome. Published with Permission

The patient remained clinically stable, with normal labs and abdominal exam. Therefore, the decision was made to return to the operating room by GI/endocrine surgery and urology for an exploratory laparotomy. Intraoperatively, the Axios™ stent was found to be traversing the jejunum into the posterior bladder dome (Figure 3).

Figure 3. Intraoperative Identification of Loop of Jejunum with Axios™ Stent Traversing into Bladder Posteriorly. Published with Permission

There was no soilage to the abdominal cavity. The stent was removed (Figure 4), and a 10 mm injury in the antimesenteric aspect of the jejunum was primarily repaired with interrupted sutures. Cystorrhaphy was then performed. The patient was discharged on POD 5 with a Foley catheter in place. The postoperative cystogram three weeks later was negative, and he underwent a successful trial of void.

Figure 4. Axios™ Stent Specimen Following Removal and Repair of Bladder and Jejunum. Published with Permission

Discussion

Pancreatic fluid collections (PFC) may result from pancreatitis, pancreatic surgery, or trauma complications. When these PFCs become symptomatic, infected, or enlarge rapidly, they are drained.7 EUS-guided drainage has been shown to be superior to other drainage techniques, with improved quality of life and decreased costs and morbidity.8,9

Endoscopic management of PFCs has included several different stent types. Plastic stents have been conventionally used for transmural drainage of pseudocysts; however, these are less effective for more complex fluid collections, primarily due to their small lumens resulting in stent occlusion and the risk of stent migration.9 Consequently, the placement of multiple plastic stents may be required to achieve adequate drainage. The development of large-bore metal stents has helped circumvent these limitations. One specific type includes the Axios™ (Boston Scientific) stent, a lumen-apposing self-expandable metallic stent with a "dumbbell" configuration. When expanded, the fully removable stent provides a large lumen diameter for fluid drainage and tissue apposition for decreased risk of stent migration.

This is the first case of an Axios™ stent resulting in an iatrogenic fistula between the gastrointestinal tract and the lower urinary tract system to the best of our knowledge. Overall, the diagnosis of enterovesical fistulas is often challenging and involves several studies and procedures to help aid in the diagnosis, including cystoscopy, antegrade cystogram/excretory urogram, retrograde cystogram, sigmoidoscopy, CT, and barium enema, each with varying detection rates.6 However, CT remains the radiologic study of choice in identifying the fistula site as well as a possible etiology.10

Before endoscopic or radiographic evaluation, the poppy seed test provides an initial functional study that aids in the detection of EVF. This test involves oral ingestion of at least 50 mg of poppy seeds mixed with 12 oz of beverage or 6 oz of thin liquid such as yogurt. The urine is then visually inspected for 24 to 48 hours. Kwon et al. showed in patients with surgically confirmed EVF that the poppy seed test was more sensitive than a CT with oral and intravenous contrast or a chromium nuclear scan. The poppy seed test detected 20 out of 20 patients (100 percent), while CT and nuclear scan only detected 70 percent and 80 percent, respectively.6 Furthermore, the poppy seed test was more cost-effective at approximately $5 per study versus $650 for CT and $491 for a nuclear scan.6 Although the poppy seed test does not localize the fistula, it provides an inexpensive and easy to perform screening procedure.

Conclusion

Although less common than complications arising from diverticular or inflammatory bowel diseases, iatrogenic fistula formation occurs between the urinary and gastrointestinal tract. The poppy seed test is a practical, inexpensive, and accurate diagnostic tool in the urologic armamentarium for patients with symptoms suggestive of an EVF. It can help guide a directed evaluation with cross-sectional imaging and possible surgical management.

Lessons Learned

Stent placement has become a standard procedure for managing peripancreatic fluid collections. Given anatomic distortion after complex intraabdominal surgeries, caution should be taken when deploying these stents in such patients. For patients with symptoms of EVF, the poppy seed test provides a cost-effective method to help aid in the correct diagnosis while avoiding expensive and invasive procedures.

References

  1. Kavanagh D, Neary P, Dodd JD, Sheahan KM, O'Donoghue D, Hyland JM. Diagnosis and treatment of enterovesical fistulae. Colorectal Dis. 2005;7(3):286-291. doi:10.1111/j.1463-1318.2005.00786.x
  2. Bugeja M, Mizzi C, Ellul E, Bugeja S, Mattocks S. Enterovesical fistula secondary to transitional cell carcinoma of the bladder. Surg J (N Y). 2018;4(4):e201-e204. Published 2018 Oct 18. doi:10.1055/s-0038-1673663
  3. Langkilde NC, Pless TK, Lundbeck F, Nerstrøm B. Surgical repair of vesicovaginal fistulae--a ten-year retrospective study. Scand J Urol Nephrol. 1999;33(2):100-103. doi:10.1080/003655999750016069
  4. Nevo Y, Shapiro R, Froylich D, et al. Over 1-year followup of laparoscopic treatment of enterovesical fistula. JSLS. 2019;23(1):e2018.00095. doi:10.4293/JSLS.2018.00095
  5. Singhi AD, Norwood S, Liu TC, et al. Acinar cell cystadenoma of the pancreas: a benign neoplasm or non-neoplastic ballooning of acinar and ductal epithelium?. Am J Surg Pathol. 2013;37(9):1329-1335. doi:10.1097/PAS.0b013e3182a1ad72
  6. Kwon EO, Armenakas NA, Scharf SC, Panagopoulos G, Fracchia JA. The poppy seed test for colovesical fistula: big bang, little bucks!. J Urol. 2008;179(4):1425-1427. doi:10.1016/j.juro.2007.11.085
  7. Patil R, Ona MA, Papafragkakis C, Anand S, Duddempudi S. Endoscopic ultrasound-guided placement of AXIOS stent for drainage of pancreatic fluid collections. Ann Gastroenterol. 2016;29(2):168-173. doi:10.20524/aog.2016.0008
  8. Garcia Garcia de Paredes A, Gonzalez Martin JA, Foruny Olcina JR, et al. Lumen-apposing metal stents versus biliary fully-covered metal stents for EUS-guided drainage of pancreatic fluid collections: a case control study: Meeting presentations: European Society of Gastrointestinal Endoscopy ESGE Days 2018. Endosc Int Open. 2020;8(1):E6-E12. doi:10.1055/a-1031-9295
  9. Varadarajulu S, Christein JD, Tamhane A, Drelichman ER, Wilcox CM. Prospective randomized trial comparing EUS and EGD for transmural drainage of pancreatic pseudocysts (with videos). Gastrointest Endosc. 2008;68(6):1102-1111. doi:10.1016/j.gie.2008.04.028
  10. Golabek T, Szymanska A, Szopinski T, et al. Enterovesical fistulae: aetiology, imaging, and management. Gastroenterol Res Pract. 2013;2013:617967. doi:10.1155/2013/617967

Authors

Movassaghi Ma; Moran GWa; Chung Ra; Sugahara KNb; McKiernan Ja; Healy KAa

Author Affiliations

  1. Department of Urology, Columbia University Medical Center, New York, NY 10032
  2. Department of Surgery, Division of GI/Endocrine Surgery, Columbia University Medical Center, New York, NY 10032

Corresponding Author

Kelly A. Healy, MD, FACS
Department of Urology
Columbia University Medical Center
161 Fort Washington Avenue, 11th Floor
New York, NY 10032
Phone: (212) 305-0114
Email: kah2241@cumc.columbia.edu

Disclosure Statement

The authors have no conflicts of interest to disclose.

Funding/Support

The authors have no relevant financial relationships or in-kind support to disclose.

Received: August 7, 2020
Revision received: December 13, 2020
Accepted: December 17, 2020