Unsupported Browser
The American College of Surgeons website is not compatible with Internet Explorer 11, IE 11. For the best experience please update your browser.
Menu
Become a member and receive career-enhancing benefits

Our top priority is providing value to members. Your Member Services team is here to ensure you maximize your ACS member benefits, participate in College activities, and engage with your ACS colleagues. It's all here.

Become a Member
Become a member and receive career-enhancing benefits

Our top priority is providing value to members. Your Member Services team is here to ensure you maximize your ACS member benefits, participate in College activities, and engage with your ACS colleagues. It's all here.

Become a Member
ACS
Case Reviews in Surgery

Use of Indocyanine Green Fluorescence Perfusion Assessment as a Tool in the Surgical Management of Necrotizing Fasciitis

January 11, 2022

Abstract

Background

The use of indocyanine green angiography (ICG-A) to assess tissue perfusion has been described in gastrointestinal surgery to assess bowel perfusion to guide resection or anastomosis as well as in reconstructive procedures to predict skin and soft tissue viability. We present a novel use of this technology in which the Stryker SPY-PHI system (a handheld indocyanine green fluorescence imaging system) was utilized to aid in tissue resection boundaries based on perfusion in a patient with acute necrotizing fasciitis.

Summary

A 68-year-old, morbidly obese female presented with several days of worsening perineal and left gluteal pain. Examination of her left labia majora and left gluteal fold was consistent with a necrotizing soft tissue infection. Computed tomography confirmed the diagnosis, demonstrating significant subcutaneous emphysema and abscess formation. She was taken emergently to the operating room for primary debridement. On postoperative day two she returned to the OR for wound washout and possible re-debridement. Grossly non-viable tissue was first excised; then fluorescence perfusion assessment was utilized to assess for non-viable and poorly perfused tissue that would have otherwise not been debrided based on visual examination. The patient subsequently recovered quickly without the need for further debridement. She was discharged with local wound care.

Conclusion

Given that the surgical tenet for necrotizing soft tissue infections is serial debridement, the use of fluorescence perfusion assessment as an adjunct for intraoperative debridement decisions may potentially minimize the need for repeated debridement, thus achieving quicker source control. To our knowledge, this is the first documented use of this technology in the management of necrotizing soft tissue infections.

Key Words

indocyanine green angiography; necrotizing fasciitis; NSTI


Case Description

Necrotizing soft tissue infections (NSTI) are life-threatening conditions that require prompt surgical intervention. Due to the aggressive nature of NSTIs, delay in diagnosis and treatment increases morbidity and mortality, and clinical diagnosis based on history, physical examination, and high clinical suspicion remain crucial.13 In addition to antibiotics and resuscitation, the mainstay of NSTI management is early surgical debridement.4 This typically requires multiple returns to the operating room to debride grossly infected and non-viable tissue until complete source control is obtained.

The use of indocyanine green angiography (ICG-A) to assess tissue perfusion has been well-described in bowel surgery to evaluate bowel perfusion for resection or before anastomosis, but it is also utilized in reconstructive procedures to predict skin and soft tissue viability.57 Several plastic surgery reports have shown that the addition of ICG-A with clinical examination was a useful and safe technique in monitoring free flap compromise both intraoperatively and postoperatively, leading to improved flap success rates.8 After a review of the literature, this technology has not been utilized in the setting of NSTI debridement. We present a case of necrotizing fasciitis in which the Stryker SPY-PHI system (a handheld indocyanine green fluorescence imaging system) was utilized to aid in tissue resection boundaries based on perfusion.

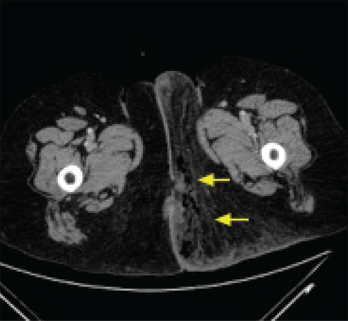
A 68-year-old, morbidly obese female who presented to the emergency department with several days of worsening perineal and left gluteal pain while visiting from outside the country. Examination of her left labia majora and left gluteal fold was consistent with a necrotizing soft tissue infection. Computed tomography (CT) demonstrated significant subcutaneous emphysema and abscess formation, consistent with necrotizing fasciitis (Figure 1). Laboratory values were consistent with an elevated WBC of 21000, hyponatremia, and lactic acidosis. Given these findings, she was taken emergently to the operating room for primary debridement.

Figure 1. CT Imaging Revealed Significant Inflammation and Gas in Subcutaneous Tissues, Consistent With Necrotizing Fasciitis. Published with Permission

Twenty-four hours after initial debridement, she returned to the OR for wound washout and possible further debridement. Grossly non-viable tissue was first excised as normal. Then, fluorescence perfusion assessment was utilized to assess non-viable and poorly perfused tissue (Figure 2), revealing multiple areas of poorly perfused tissue that would have otherwise not been debrided based on visual examination. Image-guided excision was therefore undertaken. Given that this technology was not utilized to change the intent of the procedure, the known safety profile of ICG, and the emergent nature of this procedure, IRB approval was not obtained.

Figure 2. Visible Spectrum Light and ICG Fluorescence Imaging of Wound at Second Debridement. Published with Permission

Adequate perfusion was identified in wound bed and surrounding skin (green color); areas with poor perfusion were identified (outlined in red) and debrided

The patient subsequently recovered quickly without the need for further debridement, with the remainder of her hospital stay requiring simple local wound dressing. Final wound cultures were consistent with a polymicrobial infection of Escherichia coli and Bacteroides fragilis, for which her antibiotics were appropriately narrowed. She was discharged on postoperative day nine with local wound care to her home country. By postoperative day 15, her wound continued to heal well with wet-to-dry dressing changes (Figure 3). At 4.5 months postop, the wound was completely healed (Figure 4).

Figure 3. Bedside Assessment of Wound, Day 1 Post-debridement (left) and Day 15 (right). Published with Permission

Figure 4. Picture of Wound 4.5 Months Postdebridement. Published with Permission

Discussion

Given that the surgical tenet of necrotizing soft tissue infections is serial debridement procedures, the use of fluorescence perfusion assessment as an adjunct for intraoperative debridement decision making can help achieve quicker source control, thereby minimizing the need for repeated debridement. Given that many NSTI patients are hemodynamically unstable due to underlying sepsis and their need for serial debridement, patients are often subjected to prolonged intubation. The sequelae of long-standing intubation are well documented.9 Rapid source control and achievement of clinical stability will help reduce the possible complications of ventilator support.10 It would also help reduce the possible detrimental cumulative effects of general anesthesia.11

Wound care, especially for larger wounds, may constantly have to be adjusted following every subsequent debridement. If the number of procedures was reduced, the final wound would be realized much sooner, and local wound care could be better established. Critical care length of stay would potentially be decreased, thereby helping offset the overall costs to both the patient and the hospital.12 According to Childers et al., the mean cost per minute of OR time ranges between $30 to $113.13 The cost of the Stryker SPY-PHI system is approximately $495 in direct costs to the patient, per use.8

Indocyanine green has been proven to be a relatively safe entity, with no known metabolites. Once intravascularly injected, the binding of ICG to plasma proteins allows for its restriction in the vascular compartment, with eventual excretion into the bile.14,15 In fact, ICG has been utilized for decades in multiple areas of science and medicine, including cardiac surgery,16,17 surgical oncology,18,19 sentinel lymph node mapping in different cancers,2023 burns,24 hepatic surgery25 and ophthalmology.26,27 Boni et al. reported on a series of 108 patients who underwent differing laparoscopic surgeries, all without any evidence of intraoperative or injection-related adverse effects.28 Depending on its use, the total dose of ICG ranges from 0.5 mg/kg of body weight in hepatic function testing to ≤2 mg/kg of body weight in cardiac output monitoring, though doses of up to 5 mg/kg appear to be safe. Rare cases of severe reactions, such as anaphylactic shock, have been reported, and close monitoring after ICG administration should be undertaken.2931 Review of the literature indicates that there are multiple areas of interest being investigated in the use of ICG angiography.

As this is the first documented use of ICG in this setting, further studies would need to be conducted to compare its use to the standard serial debridements. The patient's clinical status is always taken into account when determining if further debridement is needed. It is unclear from this one case if her second debridement would have changed her clinical course. Good local wound care may have been all that was needed. Perhaps this technology would be better suited in a larger wound or in a patient who has undergone more debridements without clinical improvement. Regardless, it may represent an adjunct to clinical examination when viability margins are uncertain.

Conclusion

To our knowledge, this is the first documented use of ICG angiography in the management of NSTI. While this technology is not specifically FDA-approved for this indication, we feel that the use of ICG fluorescence in necrotizing soft tissue infections is a new and novel way to improve and expedite patient care.

Lessons Learned

Indocyanine green angiography is an excellent tool to assess tissue viability in the setting of necrotizing soft tissue infection. It may aid in intraoperative decision-making for debridement of non-viable tissue otherwise not grossly appreciated, allowing for a more definitive surgery and fewer returns to the operating room for serial debridement.

References

  1. Fernando SM, Tran A, Cheng W, et al. Necrotizing soft tissue infection: diagnostic accuracy of physical examination, imaging, and LRINEC score: a systematic review and meta-analysis. Ann Surg. 2019;269(1):58-65. doi:10.1097/SLA.0000000000002774
  2. Hsiao CT, Chang CP, Huang TY, Chen YC, Fann WC. Prospective validation of the laboratory risk indicator for necrotizing fasciitis (LRINEC) score for necrotizing fasciitis of the extremities. PLoS One. 2020;15(1):e0227748. Published 2020 Jan 24. doi:10.1371/journal.pone.0227748
  3. Abdullah M, McWilliams B, Khan SU. Reliability of the laboratory risk indicator in necrotising fasciitis (LRINEC) score. Surgeon. 2019;17(5):309-318. doi:10.1016/j.surge.2018.08.001
  4. Burnham JP, Kirby JP, Kollef MH. Diagnosis and management of skin and soft tissue infections in the intensive care unit: a review. Intensive Care Med. 2016;42(12):1899-1911. doi:10.1007/s00134-016-4576-0
  5. Ris F, Liot E, Buchs NC, et al. Multicentre phase II trial of near-infrared imaging in elective colorectal surgery. Br J Surg. 2018;105(10):1359-1367. doi:10.1002/bjs.10844
  6. Abdelwahab M, Spataro EA, Kandathil CK, Most SP. Neovascularization perfusion of melolabial flaps using intraoperative indocyanine green angiography. JAMA Facial Plast Surg. 2019;21(3):230-236. doi:10.1001/jamafacial.2018.1874
  7. Adelsberger R, Fakin R, Mirtschink S, Forster N, Giovanoli P, Lindenblatt N. Bedside monitoring of free flaps using ICG-fluorescence angiography significantly improves detection of postoperative perfusion impairment#. J Plast Surg Hand Surg. 2019;53(3):149-154. doi:10.1080/2000656X.2018.1562457
  8. Hitier M, Cracowski JL, Hamou C, Righini C, Bettega G. Indocyanine green fluorescence angiography for free flap monitoring: a pilot study. J Craniomaxillofac Surg. 2016;44(11):1833-1841. doi:10.1016/j.jcms.2016.09.001
  9. Klompas M. Potential strategies to prevent ventilator-associated events. Am J Respir Crit Care Med. 2015;192(12):1420-1430. doi:10.1164/rccm.201506-1161CI
  10. Cocoros NM, Klompas M. Ventilator-associated events and their prevention. Infect Dis Clin North Am. 2016;30(4):887-908. doi:10.1016/j.idc.2016.07.002
  11. Wu L, Zhao H, Weng H, Ma D. Lasting effects of general anesthetics on the brain in the young and elderly: "mixed picture" of neurotoxicity, neuroprotection and cognitive impairment. J Anesth. 2019;33(2):321-335. doi:10.1007/s00540-019-02623-7
  12. Herritt B, Chaudhuri D, Thavorn K, Kubelik D, Kyeremanteng K. Early vs. late tracheostomy in intensive care settings: impact on ICU and hospital costs. J Crit Care. 2018;44:285-288. doi:10.1016/j.jcrc.2017.11.037
  13. Childers CP, Maggard-Gibbons M. Understanding costs of care in the operating room. JAMA Surg. 2018;153(4):e176233. doi:10.1001/jamasurg.2017.6233
  14. Alford R, Simpson HM, Duberman J, et al. Toxicity of organic fluorophores used in molecular imaging: literature review. Mol Imaging. 2009;8(6):341-354.
  15. Alander JT, Kaartinen I, Laakso A, et al. A review of indocyanine green fluorescent imaging in surgery. Int J Biomed Imaging. 2012;2012:940585. doi:10.1155/2012/940585
  16. Reuthebuch O, Häussler A, Genoni M, et al. Novadaq SPY: intraoperative quality assessment in off-pump coronary artery bypass grafting. Chest. 2004;125(2):418-424. doi:10.1378/chest.125.2.418
  17. Desai ND, Miwa S, Kodama D, et al. A randomized comparison of intraoperative indocyanine green angiography and transit-time flow measurement to detect technical errors in coronary bypass grafts. J Thorac Cardiovasc Surg. 2006;132(3):585-594. doi:10.1016/j.jtcvs.2005.09.061
  18. Schaafsma BE, Mieog JS, Hutteman M, et al. The clinical use of indocyanine green as a near-infrared fluorescent contrast agent for image-guided oncologic surgery. J Surg Oncol. 2011;104(3):323-332. doi:10.1002/jso.21943
  19. Te Velde EA, Veerman T, Subramaniam V, Ruers T. The use of fluorescent dyes and probes in surgical oncology. Eur J Surg Oncol. 2010;36(1):6-15. doi:10.1016/j.ejso.2009.10.014
  20. Tajima Y, Murakami M, Yamazaki K, et al. Sentinel node mapping guided by indocyanine green fluorescence imaging during laparoscopic surgery in gastric cancer. Ann Surg Oncol. 2010;17(7):1787-1793. doi:10.1245/s10434-010-0944-0
  21. Noura S, Ohue M, Seki Y, et al. Feasibility of a lateral region sentinel node biopsy of lower rectal cancer guided by indocyanine green using a near-infrared camera system. Ann Surg Oncol. 2010;17(1):144-151. doi:10.1245/s10434-009-0711-2
  22. Troyan SL, Kianzad V, Gibbs-Strauss SL, et al. The FLARE intraoperative near-infrared fluorescence imaging system: a first-in-human clinical trial in breast cancer sentinel lymph node mapping. Ann Surg Oncol. 2009;16(10):2943-2952. doi:10.1245/s10434-009-0594-2
  23. Polom K, Murawa D, Rho YS, Nowaczyk P, Hünerbein M, Murawa P. Current trends and emerging future of indocyanine green usage in surgery and oncology: a literature review. Cancer. 2011;117(21):4812-4822. doi:10.1002/cncr.26087
  24. Kaiser M, Yafi A, Cinat M, Choi B, Durkin AJ. Noninvasive assessment of burn wound severity using optical technology: a review of current and future modalities. Burns. 2011;37(3):377-386. doi:10.1016/j.burns.2010.11.012
  25. Lim C, Vibert E, Azoulay D, et al. Indocyanine green fluorescence imaging in the surgical management of liver cancers: current facts and future implications. J Visc Surg. 2014;151(2):117-124. doi:10.1016/j.jviscsurg.2013.11.003
  26. Baillif S, Wolff B, Paoli V, Gastaud P, Mauget-Faÿsse M. Retinal fluorescein and indocyanine green angiography and spectral-domain optical coherence tomography findings in acute retinal pigment epitheliitis. Retina. 2011;31(6):1156-1163. doi:10.1097/IAE.0b013e3181fbcea5
  27. Yannuzzi LA. Indocyanine green angiography: a perspective on use in the clinical setting. Am J Ophthalmol. 2011;151(5):745-751.e1. doi:10.1016/j.ajo.2011.01.043
  28. Boni L, David G, Mangano A, et al. Clinical applications of indocyanine green (ICG) enhanced fluorescence in laparoscopic surgery. Surg Endosc. 2015;29(7):2046-2055. doi:10.1007/s00464-014-3895-x
  29. Bjerregaard J, Pandia MP, Jaffe RA. Occurrence of severe hypotension after indocyanine green injection during the intraoperative period. A A Case Rep. 2013;1(1):26-30. doi:10.1097/ACC.0b013e3182933c12
  30. Olsen TW, Lim JI, Capone A Jr, Myles RA, Gilman JP. Anaphylactic shock following indocyanine green angiography. Arch Ophthalmol. 1996;114(1):97. doi:10.1001/archopht.1996.01100130093018
  31. Zhai Q, Wang Y, Tian A. Severe hemodynamic instability after indocyanine green injection during off-pump coronary artery bypass grafting: a case report. Medicine (Baltimore). 2017;96(46):e8766. doi:10.1097/MD.00000

Authors

Aka AA; Monson JRT; Galante DJ

Author Affiliation

Department of Colon and Rectal Surgery, AdventHealth Orlando, Orlando, FL 32803

Corresponding Author

Daniel J. Galante, DO, FACS
1925 Mizell Avenue, Ste. 201
Winter Park, FL 32792
Phone: (407) 303-2615
Email: daniel.galante.do@adventhealth.com

Disclosure Statement

The authors have no conflicts of interest to disclose.

Funding/Support

The authors have no relevant financial relationships or in-kind support to disclose.

Meeting Presentation

Society of American Gastrointestinal and Endoscopic Surgeons Annual Meeting, Cleveland, OH, August 2020

Received: July 18, 2020
Revision received: October 5, 2021
Accepted: November 1, 2021