Unsupported Browser
The American College of Surgeons website is not compatible with Internet Explorer 11, IE 11. For the best experience please update your browser.
Menu
Become a member and receive career-enhancing benefits

Our top priority is providing value to members. Your Member Services team is here to ensure you maximize your ACS member benefits, participate in College activities, and engage with your ACS colleagues. It's all here.

Become a Member
Become a member and receive career-enhancing benefits

Our top priority is providing value to members. Your Member Services team is here to ensure you maximize your ACS member benefits, participate in College activities, and engage with your ACS colleagues. It's all here.

Become a Member
ACS
Case Reviews in Surgery

Chronic Intestinal Pseudo-Obstruction as the Presenting Symptom for Small Cell Lung Cancer

January 11, 2022

Abstract

Background

A 72-year-old female presented with constipation, nausea, and vomiting due to chronic intestinal pseudo-obstruction (CIPO) secondary to undiagnosed metastatic small cell lung cancer (SCLC).

Summary

Our patient presented at age 72 to the emergency department with constipation, nausea, and vomiting for over one week. She was initially managed non-operatively with nasogastric tube decompression but failed to improve. At exploration, no mechanical intestinal obstruction was identified. She was ultimately diagnosed with CIPO secondary to a large mediastinal SCLC mass. Despite initiating chemotherapy, the patient expired two months after the initial presentation.

Conclusion

SCLC is an aggressive neuroendocrine subtype of lung cancer and is associated with paraneoplastic disorders in about 9% of patients. Rarely, cases of CIPO have been reported as the presenting manifestation of SCLC. Surgeons should consider paraneoplastic associated CIPO in patients diagnosed with SBO that do not improve with either nasogastric tube decompression or have a negative exploratory laparotomy. Suspicion should be higher in patients with abnormal neurologic physical exam findings and a history of heavy smoking. Imaging and anti-Hu antibody lab testing can aid in diagnosis.

Key Words

small cell lung cancer; chronic intestinal pseudo-obstruction; small bowel obstruction; anti-Hu antibody


Case Description

A 72-year-old female patient with a past medical history significant for chronic obstructive pulmonary disease secondary to a history of heavy smoking, hypertension, anxiety, depression, reported neuropathy of her hands, and recent ankle surgery for fracture presented to our emergency department with nausea, vomiting, and lack of flatus for three days. The patient reported abnormal bowel function since her ankle fracture surgery a few weeks prior. Her constipation was initially ascribed to narcotic use but failed to improve after discontinuation. The progression of her symptoms to nausea and vomiting prompted her to present to the emergency department. In addition to these obstructive symptoms, she endorsed tingling and 'burning numbness' in bilateral upper extremities for the last seven weeks, intermittent burning in her feet for about a year, and a bilateral hand tremor which was affecting her coordinated movements for over a year. Before this, she had normal, daily, soft bowel movements, no history of abdominal surgeries, did not have a coloscopy, and denied a family history of colon cancer.

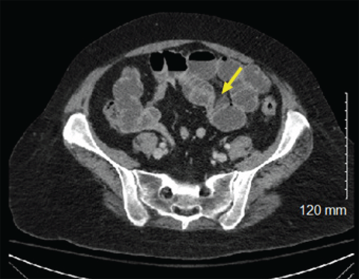
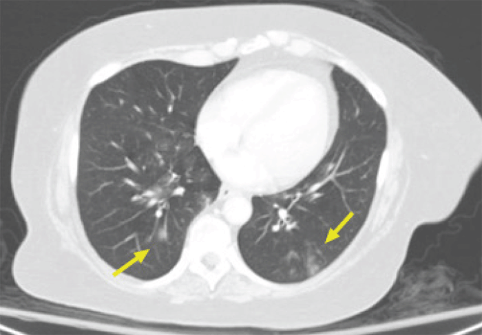
Her abdomen was soft, distended, tympanitic, nontender, with no notable hernias or scars on physical exam. Her lungs were clear to auscultation bilaterally, and there was no lymphadenopathy noted. Her right lower extremity was in a brace, and her hands were described as "agitated." ED labs were significant for WBC 19000 and slight hyponatremia of 134. Computed tomography (CT) of the abdomen and pelvis showed a partial bowel obstruction with a transition zone in the left hemiabdomen but no clear transition point (Figure 1). The distal small bowel was decompressed with no evidence of bowel ischemia or perforation. She was also noted to have nodular opacities at the bilateral lung bases (Figure 2).

Figure 1. Axial CT Abdomen and Pelvis with Contrast Showing Dilated Loops of Small Bowel With Transition Zone in Mid-abdomen. Published with Permission

Figure 2. Axial CT Abdomen with Contrast in Lung Window Showing Bilateral Lung Bases with Nodular Opacities. Published with Permission

The patient was admitted to the acute care surgery service for a partial SBO of unknown origin. She was initially managed non-operatively with nasogastric tube (NGT) placement, nothing by mouth, and pain control. However, she failed diet advancement after NGT removal and was taken to the operating room for further management. Intraoperatively a clear transition zone was seen in the left mid-abdomen with proximal dilation up until the distal ileum; however, no adhesive band, internal hernia, mass, or other anatomic structure causing obstruction could be identified. It was deemed a negative exploratory laparotomy. Her postoperative course was notable for persistent dysmotility, requiring multiple NGT placements and the initiation of total parental nutrition. Postoperative abdominal X-ray studies were consistent with ileus. A small bowel follow-through showed a slow transition through the colon. Postoperatively, her main complaint was her hands, often remarking that she felt "the neuropathy in her hands was slowing down her intestines."

Neurology was ultimately consulted for her hand neuropathy and their assessment was subacute onset asymmetric profound sensory loss with dysesthesias and distal upper extremity weakness with dysautonomia. Their differential included chronic inflammatory demyelinating polyneuropathy, ganglionopathy, Sjogren's syndrome, paraneoplastic syndrome, or other inflammatory processes. Her EMG showed evidence of a sensorimotor axonal neuropathy affecting the arms and legs. Additional testing was significant for a positive anti-neuronal nuclear antibody (anti-Hu), ANA with a 1:160 speckled pattern, negative ANCA, normal SSA and SSB antibodies, and elevated CRP. A CT of the chest was performed to rule out occult malignancy and showed a large mediastinal mass (3.6 cm × 4 cm) extending from the high right paratracheal region into the precarinal region, with a slight displacement of the trachea to the left (Figure 3). Ultrasound-guided fine-needle aspiration of a right supraclavicular lymph node was positive for metastatic small cell lung cancer. The patient expired two months after her initial presentation despite initiating chemoradiation therapy.

Figure 3. Axial CT Chest Without Contrast Showing Large Mediastinal Mass Filling the Precarinal Space. Published with Permission

Discussion

SCLC is an aggressive neuroendocrine subtype of lung cancer associated with a poor prognosis and a median survival of seven months.1 The mainstay treatment for patients with SCLC is chemotherapy, and despite the initiation of treatment, about 9 percent of patients develop paraneoplastic disorders.2 Paraneoplastic syndromes are defined as clinical syndromes involving nonmetastatic systemic effects that accompany malignant disease.3 They are often mediated by humoral factors secreted by tumor cells or by tumor-mediated immune responses.4 The most common types of paraneoplastic syndromes associated with SCLC are syndrome of inappropriate antidiuretic hormone secretion, ectopic adrenocorticotrophic hormone secretion, and Lambert-Eaton myasthenic syndrome.

Another rarer and more insidious paraneoplastic syndrome recently recognized in patients with SCLC is chronic intestinal pseudo-obstruction (CIPO). CIPO is defined as a syndrome of severe gastrointestinal dysmotility in the absence of mechanical blockage and may be caused by various disorders of the smooth muscle and myenteric plexus of the gastrointestinal tract. CIPO is known to affect both the small intestines and colon. Patients present with abdominal pain, nausea, vomiting, and severe constipation.4 CIPO is essentially a diagnosis of exclusion and is based on longstanding symptoms of mechanical obstruction in the absence of an anatomic cause and evidence of impaired mobility. Confirmation of the diagnosis requires excluding mechanical obstruction and other causes of dysmotility by performing imaging studies (CT or MRI), endoscopy to investigate intraluminal causes, and scintigraphy to assess motility. Various etiologies have been reported to cause CIPO, including paraneoplastic syndromes, degenerative neuropathies such as Parkinson's disease, autoimmune diseases such as systemic lupus erythematosus, history of radiochemotherapy, and genetic causes.

Patients with paraneoplastic syndrome mediated CIPO often have antineuronal nuclear (anti-Hu) antibodies. The antibody is postulated to be directed toward an epitope shared between the neuronal elements within the enteric nervous system and the underlying malignancy.4 Immunohistochemistry staining of small bowels' of patients with CIPO and SCLC show sparse and disorganized interstitial cells of Cajal, suggesting that the normal gastromotility pathway is disturbed by paraneoplastic syndromes.5 This inflammatory response leads to neuronal dysfunction and degeneration over time and sometimes results in the complete loss of enteric neurons.6

Similar cases have been reported of patients presenting with CIPO as the preceding manifestation of SCLC. A 1988 case report showed a 50-year-old man who presented with acute SBO and negative exploratory laparotomy with persistent postoperative nausea, vomiting, and constipation.7 Endoscopy showed retained food in the stomach, gastric scintigraphy showed delayed gastric emptying, and the abdominal plain film showed dilated colon. Chest X ray obtained showed nodules, and SCLD was discovered on bronchoscopy. The patient, unfortunately, died five months after onset. Pathology of the patient's intestines showed degeneration of the myenteric plexus with plasma cell infiltration, Schwann cell proliferation, and a reduced number of neurons.

A 1983 case report showed a 58-year-old female who presented with similar findings to our patient: abdominal pain, nausea, and vomiting.8 She, too, failed to improve with conservative management, and similarly, no cause for obstruction was found during exploratory laparotomy. Postoperatively, she continued to experience obstructive symptoms and developed orthostatic hypotension, tremors of the extremities, ataxia, and loss of deep tendon reflexes. The patient expired nine months after initial presentation and was found to have SCLC on autopsy. Gastrointestinal pathology showed diffuse neuronal loss and myenteric plexus infiltration with plasma cells and lymphocytes. A 2008 case report of CIPO as the preceding manifestation of SCLC was reported in a patient who was admitted for vomiting and weight loss of 25 kg within four months.9 Endoscopy showed a dilated fluid-filled stomach without peristalsis but no obstruction. High titers of anti-Hu antibodies were detected in the patient's serum. Endoscopic ultrasound-guided fine-needle aspiration of suspicious mediastinal lymph nodes revealed lymphatic metastases of SCLC.

Paraneoplastic-associated CIPO is rare; however, surgeons should consider it on their differential diagnosis in patients treated for SBO who fail to improve after NGT and a negative exploratory laparotomy. It should be especially considered in patients with abnormal neurologic physical exam findings and heavy smoking history. These previously reported cases show that failing to recognize CIPO in patients who fail the standard SBO treatment algorithm can lead to unnecessary invasive tests and further worsening paraneoplastic symptoms. Clinical outcomes of paraneoplastic CIPO are often deleterious. The current standard of care for the management of paraneoplastic-associated CIPO includes treatment of the underlying malignancy as well as supportive treatment with promotility and anti-secretory agents.

Conclusion

Surgeons should consider paraneoplastic-associated CIPO in patients diagnosed with SBO that do not clinically improve with NGT decompression or have a negative exploratory laparotomy. Suspicion for paraneoplastic CIPO should be higher in patients with abnormal neurologic physical exam findings and heavy smoking history. CIPO is a diagnosis of exclusion confirmed by imaging and endoscopy to rule out mechanical obstruction and scintigraphy to assess motility. If there is a high clinical suspicion of paraneoplastic CIPO, anti-Hu antibody lab testing should be ordered to aid in diagnosis. The current standard of care for managing paraneoplastic-associated CIPO includes treatment of the underlying malignancy and supportive treatment with promotility and anti-secretory agents.

Lessons Learned

A patient with abnormal neurologic physical exam findings and a heavy smoking history diagnosed with an SBO who fails to improve with routine management may have paraneoplastic associated CIPO. Abnormal neurologic findings should make the surgical team especially concerned for CIPO, and a thorough physical exam and neurologic workup should be completed promptly.

References

  1. Wang S, Tang J, Sun T, et al. Survival changes in patients with small cell lung cancer and disparities between different sexes, socioeconomic statuses and ages. Sci Rep. 2017;7(1):1339. Published 2017 May 2. doi:10.1038/s41598-017-01571-0
  2. Gozzard P, Woodhall M, Chapman C, et al. Paraneoplastic neurologic disorders in small cell lung carcinoma: A prospective study. Neurology. 2015;85(3):235-239. doi:10.1212/WNL.0000000000001721
  3. Linke R, Voltz R. FDG-pet in paraneoplastic syndromes. Recent Results Cancer Res. 2008;170:203-211. doi:10.1007/978-3-540-31203-1_16
  4. Taverna JA, Babiker HM, Yun S, et al. The great masquerader of malignancy: chronic intestinal pseudo-obstruction. Biomark Res. 2014;2(1):23. Published 2014 Dec 5. doi:10.1186/s40364-014-0023-y
  5. Pardi DS, Miller SM, Miller DL, et al. Paraneoplastic dysmotility: loss of interstitial cells of Cajal. Am J Gastroenterol. 2002;97(7):1828-1833. doi:10.1111/j.1572-0241.2002.05851.x
  6. De Giorgio R, Guerrini S, Barbara G, et al. Inflammatory neuropathies of the enteric nervous system. Gastroenterology. 2004;126(7):1872-1883. doi:10.1053/j.gastro.2004.02.024
  7. Colombel JF, Parent M, Lescut D, et al. Paraneoplastic intestinal pseudo-obstruction as the presenting feature of small-cell lung cancer. Gastroenterol Clin Biol. 1988;12(4):394-396.
  8. Schuffler MD, Baird HW, Fleming CR, et al. Intestinal pseudo-obstruction as the presenting manifestation of small-cell carcinoma of the lung. A paraneoplastic neuropathy of the gastrointestinal tract. Ann Intern Med. 1983;98(2):129-134. doi:10.7326/0003-4819-98-2-129
  9. Nguyen-tat M, Pohl J, Günter E, et al. Severe paraneoplastic gastroparesis associated with anti-Hu antibodies preceding the manifestation of small-cell lung cancer. Z Gastroenterol. 2008;46(3):274-278. doi:10.1055/s-2007-963429

Authors

Desai Pa; Moss Tb; Charash Wb

Author Affiliations

  1. Department of Surgery, Albany Medical Center, Albany, NY 12208
  2. Department of Surgery, University of Vermont Medical Center, Burlington, VT 05401

Corresponding Author

Pooja Desai, MD
43 New Scotland Avenue, MC-50
Albany Medical Center
Albany, NY 12208
Email: pdesai20@bu.edu

Disclosure Statement

The authors have no conflicts of interest to disclose.

Funding/Support

The authors have no relevant financial relationships or in-kind support to disclose.

Received: July 20, 2020
Revision received: September 28, 2020
Accepted: November 24, 2020