Unsupported Browser
The American College of Surgeons website is not compatible with Internet Explorer 11, IE 11. For the best experience please update your browser.
Menu
Become a member and receive career-enhancing benefits

Our top priority is providing value to members. Your Member Services team is here to ensure you maximize your ACS member benefits, participate in College activities, and engage with your ACS colleagues. It's all here.

Become a Member
Become a member and receive career-enhancing benefits

Our top priority is providing value to members. Your Member Services team is here to ensure you maximize your ACS member benefits, participate in College activities, and engage with your ACS colleagues. It's all here.

Become a Member
ACS
Case Reviews in Surgery

Minnesota Tube Utility in Non-Variceal Distal Esophageal Hemorrhage Refractory to Endoscopic and Endovascular Intervention

January 11, 2022

Abstract

Background

A 70-year-old male on therapeutic anticoagulation presented with a non-variceal distal esophageal arterial bleed after foreign body ingestion.

Summary

Endoscopic intervention is generally therapeutic in variceal and non-variceal upper gastrointestinal hemorrhage. Refractory cases typically warrant endovascular or surgical intervention. In the case of variceal hemorrhage, esophagogastric balloon tamponade using a Minnesota or Sengstaken-Blakemore tube provides a temporizing bridge to obtain definitive hemorrhage control. We present a 70-year-old male in hemorrhagic shock secondary to a distal esophageal non-variceal arterial bleed refractory to endoscopic and endovascular management. Ultimately, hemostasis was achieved via the therapeutic insertion of a Minnesota tube.

Conclusion

Non-variceal upper gastrointestinal bleeding refractory to endoscopic and endovascular intervention poses a unique clinical dilemma. Minnesota tube placement provides a less invasive alternative to operative intervention and should be considered a therapeutic option in hemorrhagic shock secondary to non-variceal upper gastrointestinal bleeding.

Key Words

non-variceal upper gastrointestinal bleeding; esophageal injury; Minnesota tube


Case Description

A 70-year-old male with a past medical history significant for intellectual disability, previous CVA, oropharyngeal dysphagia with gastrostomy tube, and deep venous thrombosis on therapeutic anticoagulation developed acute-onset hematochezia and melena. He initially presented to a community hospital in hemorrhagic shock secondary to upper gastrointestinal bleeding. Initial laboratory tests included hemoglobin (Hg) 8.5 gram per deciliter (g/dL), hematocrit (HCT) 25.6 percent, platelets (PLT) 221 thousands per cubic milliliter (k/uL), international normalized ratio (INR) 1.3, and partial thromboplastin time (PTT) 16.2 seconds. He underwent reversal of his novel oral anticoagulation, and massive transfusion, including five units (u) packed red blood cells (PRBC) and 1u platelets (PLT). Upper endoscopy identified a distal esophageal foreign body eroding into the submucosa. There was no evidence of esophageal varices or full-thickness esophageal injury. The foreign body was removed, and endoscopic clips were unable to control the arterial bleeding. A subsequent endovascular attempt was also unsuccessful in achieving hemostasis. As a result, he was emergently transferred to our tertiary referral center in hemorrhagic shock. He underwent ongoing massive transfusion with thrombelastography-based resuscitation, including 4u PRBC and 3u fresh frozen plasma (FFP) and 1u PLT. Laboratory tests demonstrated coagulopathy with Hg 7.4 g/dL, HCT 22.2%, PLT 124 k/uL, INR 1.5, and partial thromboplastin time (PTT) 28 seconds.

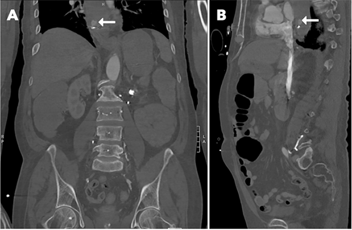
His sequential organ failure assessment (SOFA) score predicted 50 percent mortality at the time of admission. Computed tomography angiography (CTA) of the abdomen and pelvis demonstrated active distal esophageal arterial extravasation adjacent to the previously placed endoclip (Figure 1).

Figure 1. CTA Abdomen and Pelvis with A) Coronal and B) Sagittal Views. Published with Permission

Evidence of active arterial extravasation (denoted by arrows) in distal esophagus adjacent to endoclip and 5 cm proximal to gastroesophageal junction

The patient subsequently underwent uneventful angioembolization of the left gastric artery and T9 right intercostal artery. However, the patient continued to have ongoing hemorrhage with transfusion requirements, including 17u PRBC, 6u FFP, 2u PLT, and 2u cryoprecipitate. After aggressive saline lavage, repeat upper endoscopy identified focal distal esophageal arterial bleeding. Hemostasis was unsuccessful despite an injection of 2 cc 1:10000 epinephrine solution and attempted mucosal banding (Figure 2).

Figure 2. Repeat Upper Endoscopy Demonstrated Distal Esophagitis, Adherent Clot to Anterolateral Distal Esophagus, and Active Arterial Bleeding (not shown). Published with Permission

Given the location and nature of bleeding with continued hemorrhagic shock, the decision was made to proceed with esophagogastric balloon tamponade (EGBT). A Minnesota tube (MT; Figure 3) was placed under fluoroscopic guidance. The gastric and esophageal balloons were inflated for 6 hours after radiographic confirmation (Figure 4) then deflated to minimize esophageal ischemia.

Figure 3. The Minnesota Tube. Published with Permission

The four ports allow inflation of gastric and esophageal balloons as well as gastric and esophageal aspiration. Insertion is performed under fluoroscopic guidance until uninflated gastric balloon is noted to be intragastric. The gastric balloon is serially insufflated to 500 cc with air, not exceeding 15 millimeters mercury (mmHg). The tube is retracted until the gastric balloon is at gastroesophageal junction an secured to helmet on patient's head. The gastric and esophageal aspiration ports are connected to suction at 60-100 mmHg and 120-150 mmHg, respectively. Correct placement is confirmed radiographically. The esophageal balloon is inflated to 40 mmHg and deflated every six hours to reassess for hemorrhage and to limit esophageal ischemia

Figure 4. Abdominal Radiograph with Evidence of Correct Positioning of Minnesota Tube. Published with Permission

There was no evidence of hemorrhage from the esophageal port or gastrostomy tube following balloon inflation or after the six-hour post-deflation. The MT was removed. He remained hemodynamically stable without further transfusion requirements and developed no signs of esophageal or gastric ischemia. Therapeutic anticoagulation was restarted on post-procedural day six without signs of esophageal bleeding. He was ultimately discharged back to his previous long-term care facility. There was no repeat upper endoscopy as the patient remained asymptomatic.

Discussion

Non-variceal upper gastrointestinal bleeding (NVUGIB) refractory to endoscopic intervention is generally treated with angioembolization or operative intervention. Severe hemodynamic instability often demands immediate control, and performing these salvage maneuvers can take time to execute. The MT is classically utilized to rapidly tamponade variceal hemorrhage of the esophagogastric region.1 However, application in NVUGIB is limited. It has been therapeutic in venous bleeding of distal esophageal pathologies such as Mallory-Weiss tears and ulcerated esophagitis.2,3 Furthermore, it has been described as a successful temporizing measure to operative intervention in aortoesophageal fistula.4

The MT and the Sengstaken-Blakemore tube (SBT) are the most utilized forms of EGBT. The ability to monitor esophageal hemorrhage via the esophageal aspiration port guided the decision to utilize an MT rather than an SBT, which lacks an esophageal aspiration port. Complications of EGBT arise from malposition and duration of tamponade, including iatrogenic esophageal perforation secondary to traumatic insertion or ischemia. Radiographic confirmation is important to confirm correct placement and minimizing the duration of EGBT to six hours or less limits esophageal ischemia.

Therapeutic insertion of the MT in non-variceal gastroesophageal arterial bleeding refractory to endoscopic and endovascular intervention is unreported. Embolization of the left gastric artery and T9 right intercostal artery failed to achieve hemostasis but may have contributed to the success of EGBT. The suspected arterial source was the esophageal branch of the splenic artery or the inferior phrenic artery. The MT provided an emergent solution to a complex clinical problem while also avoiding the morbidity and mortality of operative intervention.

Conclusion

The management of NVUGIB refractory to endoscopic or endovascular management is challenging. We describe successful utilization of the MT as a salvage maneuver in hemorrhagic shock secondary to a distal esophageal arterial injury refractory to endoscopic and endovascular intervention.

Lessons Learned

The MT should be considered a therapeutic option in hemorrhagic shock secondary to NVUGIB.

References

  1. Sengstaken RW, Blakemore AH. Balloon tamponade for the control of hemorrhage from esophageal varices. Ann Surg. 1950;131(5):781-789. doi:10.1097/00000658-195005000-00017
  2. Chen YI, Dorreen AP, Warshawsky PJ, Wyse JM. Sengstaken-Blakemore tube for non-variceal distal esophageal bleeding refractory to endoscopic treatment: a case report & review of the literature. Gastroenterol Rep (Oxf). 2014;2(4):313-315. doi:10.1093/gastro/gou023
  3. Welch GH, McArdle CS, Anderson JR. Balloon tamponade for the control of Mallory-Weiss haemorrhage in patients with coagulation defects. Br J Surg. 1987;74(7):610-611. doi:10.1002/bjs.1800740723
  4. Seet E, Beevee S, Cheng A, Lim E. The Sengstaken-Blakemore tube: uses and abuses. Singapore Med J. 2008;49(8):e195-e197.

Authors

Aru RG; Reynolds JK; Bernard AC

Author Affiliation

Department of Surgery, University of Kentucky, Lexington, KY 40536

Corresponding Author

Roberto G. Aru, MD
Department of Surgery
University of Kentucky
800 Rose Street, MN 275
Lexington, KY 40536
Email: robbiearu@gmail.com

Disclosure Statement

The authors have no conflicts of interest to disclose.

Funding/Support

The authors have no relevant financial relationships or in-kind support to disclose.

Acknowledgements

The authors would like to thank James W. Shepherd for his technical assistance.

Received: July 15, 2020
Revision received: October 7, 2020
Accepted: November 1, 2020