Unsupported Browser
The American College of Surgeons website is not compatible with Internet Explorer 11, IE 11. For the best experience please update your browser.
Menu
Become a member and receive career-enhancing benefits

Our top priority is providing value to members. Your Member Services team is here to ensure you maximize your ACS member benefits, participate in College activities, and engage with your ACS colleagues. It's all here.

Become a Member
Become a member and receive career-enhancing benefits

Our top priority is providing value to members. Your Member Services team is here to ensure you maximize your ACS member benefits, participate in College activities, and engage with your ACS colleagues. It's all here.

Become a Member
ACS
Case Reviews in Surgery

Successful Orthotopic Liver Transplantation Using Cadaveric Liver Allograft with Multiple Traumatic Lacerations

January 11, 2022

Abstract

Background

There is a deficit between liver donor availability and the existing demand. One potential strategy to increase the donor pool includes consideration of traumatically injured liver allografts. There have been reports showing the feasibility of the procedure and the immediate postoperative outcomes. Despite this, there is no consensus on the type of injuries acceptable for liver transplantation, and the long-term effects of recipients of these grafts have not been previously described. We report successful orthotopic liver transplantation of a graft with multiple lacerations, both grade II and III American Association for the Surgery of Trauma (AAST) injuries.

Summary

The patient is a 67-year-old man with a history of Crohn's disease status post-total colectomy and end ileostomy who had end-stage liver disease secondary to cryptogenic cirrhosis. He presented to the hospital with worsening encephalopathy and a MELD-Na score of 30 at the time of liver organ offer from a 28-year-old donor who died in a motor vehicle accident resulting in numerous lacerations of the donor liver grade II and III as per the American Association for the Surgery of Trauma (AAST) classification. He underwent successful orthotopic liver transplantation and is currently over one year removed from his transplant with excellent graft function.

Conclusion

Allografts with traumatic injuries should be considered for liver transplantation to expand the donor pool and increase organ utilization. These should be performed in selected patients by experienced surgeons who must be involved in the process of procurement and transplantation to avoid serious complications.

Key Words

injured graft; liver transplant; laceration; hematoma; trauma


Case Description

Liver transplantation has been reported in cases in which donors have sustained traumatic liver injury. It has been described that transplantation of these allografts has similar outcomes without specific complications; however, the extent of the allograft injury that is still adequate for liver transplantation has yet to be defined. Furthermore, the long-term outcomes of these grafts have not been described in the literature. We report successful orthotopic liver transplantation of a graft with multiple lacerations, including grade II and III American Association for the Surgery of Trauma (AAST) injuries and the one-year postoperative course.

The patient is a 67-year-old man with a five-year history of cryptogenic cirrhosis complicated by hepatic encephalopathy and esophageal varices status post transjugular intrahepatic portosystemic shunt placement, end-stage renal disease secondary to hepatorenal syndrome requiring hemodialysis, type 2 diabetes mellitus, and Crohn's disease status post-total colectomy and end ileostomy. He had been listed for liver transplant six weeks before his presentation with worsening liver encephalopathy and hepatorenal syndrome. During this hospitalization, his MELD-Na score increased to 30 before receiving an organ offer from a 28-year-old brain-dead donor who died in a motor vehicle accident resulting in numerous lacerations of the donor liver. Abdominal CT demonstrated what was reported as grade IV liver laceration adjacent to the gallbladder with active extravasation and other liver lacerations. The patient also suffered a significant intracranial hemorrhage. The patient urgently underwent exploratory laparotomy, splenectomy for significant laceration, and liver packing due to extensive lacerations and bleeding with intraabdominal vacuum-assisted closure (VAC) dressing placement.

The donor liver evaluated during the organ procurement was remarkable for a number of lacerations found in the liver, which were bleeding significantly requiring repacking. The hemorrhage was eventually controlled with a combination of the Aquamantys™ bipolar sealing device and cautery. To A standard open top-down cholecystectomy was performed in the organ procurement to evaluate the CT finding of a grade IV liver laceration in segments 4b/5 with extravasation. There were considerable lacerations with associated hematoma encompassing segments 4b/5; however, no active bleeding. The donor surgeon carefully examined the liver injuries, downgraded the liver injuries to grade II and III, and determined they did not compromise the integrity of the graft after the intraoperative ultrasound was performed, identifying normal flow in all hepatic artery, portal vein, and hepatic vein branches. Figures 1, 2, and 3 show the extent of the injuries sustained in the donor liver: lacerations with 1–3 cm and >3 cm parenchymal depth. Figure 4 shows segment 4b/5 and the gallbladder fossa, which contained a parenchymal laceration of 4 cm in depth filled by hematoma.

Figure 1. Injured Liver Graft Before Donor Hepatectomy. Published with Permission

Figure 2. Anterolateral Aspect of Injured Graft; Injuries Comprised Lacerations Up To 3 cm in Depth. Published with Permission

Figure 3. Inferior Aspect of Injured Graft. Published with Permission

Note deep laceration >3 cm in segment VI and deep hematoma in gallbladder fossa

Figure 4. Hematoma Occupying Gallbladder Fossa and Extending 3–4 cm into Parenchyma. Published with Permission

The allograft underwent a total cold ischemia time of 7 hours and a warm ischemia time of 27 minutes. The recipient liver transplantation was uneventful with excellent homogeneous reperfusion without significant bleeding from the previously controlled liver lacerations.

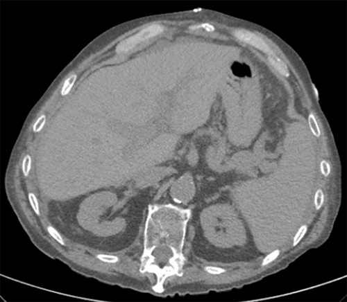
A postoperative CT scan of the abdomen and pelvis was obtained for concern of deeper infection after the patient developed incisional erythema that ruled out an abdominal wall or intraabdominal abscess and revealed no hematoma around the liver (Figure 5). The patient's postoperative course was complicated by an incisional infection that required a partial opening of the surgical wound. He was subsequently discharged on POD 18 to subacute rehab.

Figure 5. CT Scan of Abdomen and Pelvis Obtained on POD 7 Reveals No Perihepatic Hematoma. Published with Permission

The postdischarge course was complicated by readmissions related to (1) high ileostomy output-related dehydration, managed with intravenous hydration; (2) poor oral intake that necessitated gastrojejunostomy tube placement; and (3) exertional dyspnea due to unstable angina requiring cardiac catheterization and outpatient treatment with beta-blockers and statins. Nonetheless, his liver function tests have remained stable and within normal limits over one year after surgery. The patient is currently doing well, reports improved quality of life, and is currently undergoing workup for a kidney transplant.

Discussion

Liver grafts for transplantation remain a scarce resource for which there continues to be more demand than supply.1 Strategies for expanding the donor pool have incorporated using extended criteria donors, including advanced age, donors by cardiac death (DCD), livers with a known viral infection, prolonged cold ischemia times, macrosteatotic grafts, and donor death by anoxic/cerebrovascular injury.2 One area of potential extended criteria graft underutilization exists with traumatically injured livers. The use of traumatically injured livers has been described elsewhere and is considered safe in select instances.36

As with other extended criteria donors, concern remains for using traumatically injured grafts due to increased risk for initial poor functioning, primary nonfunction, intraabdominal abscess formation, and bleeding. Published series of traumatically injured livers used in transplantation have shown variable results concerning initial graft dysfunction and primary nonfunction in these allografts.6

Of more specific concern for traumatically injured livers is an overt or occult injury to the vasculature or biliary system. Reports have shown bile leak, biloma, and hemorrhage from injured livers grafts.7 Additionally, intrahepatic pseudoaneurysm formation must also be of concern when using these grafts. Extra care must be taken with these livers to assess for vascular/biliary compromise on the back table. Hemorrhage from the parenchyma itself remains another concern. In the case reported above, the Aquamantys™ was used to achieve hemostasis at the sites of laceration, which was available given the tertiary level of the facility. Fibrin glue, packing, and arterial embolization are also potential alternative hemostatic strategies for traumatically injured livers used for transplantation.8,9 The Aquamantys™ device used in this case works by simply applying the bipolar prongs that conduct radiofrequency energy using a saline drip to the bleeding area.10

This case report illustrates that using traumatically injured liver allografts is safe and effective in careful hands and the right situation. Although the injuries to the transplanted liver met AAST grades II and III, the transplant procedure itself was without incident, and the graft continues to function adequately one year after transplantation. Further research is warranted to examine the biloma, hemorrhage, pseudoaneurysm, intraabdominal abscess rates, intraabdominal abscess rates, and long-term graft survival on a larger scale to compare better the safety of transplanting these grafts relative to non-injured livers.

Conclusion

Allografts with deep traumatic injuries up to AAST grade III should be considered for liver transplantation to expand the donor pool.

Lessons Learned

Careful evaluation of the liver allograft during the donor operation is imperative to limit potential recipient complications, ultimately increasing liver organ utilization.

Authors

Rios-Diaz AJ; Siena N; Altshuler P; Shaheen O; Maley W; Bodzin A

Author Affiliation

Division of Transplant Surgery, Department of Surgery, Thomas Jefferson University, Philadelphia, PA 19107

Corresponding Author

Arturo J. Rios-Diaz, MD
Division of Transplant Surgery, Department of Surgery
Thomas Jefferson University
1015 Walnut Street
Curtis Building Ste. 620
Philadelphia, PA 19107
E-mail: arturo.riosdiaz@jefferson.edu

Disclosure Statement

The authors have no conflicts of interest to disclose.

Funding/Support

The authors have no financial relationships or in-kind support to disclose.

Received: December 6, 2019
Revision Received: October 6, 2020
Accepted for Publication: October 29, 2020

References

  1. Vodkin I, Kuo A. Extended criteria donors in liver transplantation. Clin Liver Dis. 2017;21(2):289-301. doi:10.1016/j.cld.2016.12.004
  2. Di Benedetto F, Quintini C, De Ruvo N, et al. Successful liver transplantation using a severely injured graft. J Trauma. 2007;63(1):217-220. doi:10.1097/TA.0b013e318074ecaa
  3. Tucker ON, Girlanda R, Rela M, Heaton ND, Muiesan P. Successful outcome following transplantation of an injured liver from a nonheart beating donor. Transpl Int. 2005;18(6):724-726. doi:10.1111/j.1432-2277.2005.00121.x
  4. Mehrabi A, Fonouni H, Ahmadi R, et al. Transplantation of a severely lacerated liver--a case report with review of the literature. Clin Transplant. 2009;23(3):321-328. doi:10.1111/j.1399-0012.2008.00914.x
  5. Geenen IL, Sosef MN, Shun A, et al. Usage and outcomes of deceased donor liver allografts with preprocurement injury from blunt trauma. Liver Transpl. 2009;15(3):321-325. doi:10.1002/lt.21687
  6. Cowie SE, Yoshida EM, Ryan AG, et al. Hepatic abscesses after liver transplantation secondary to traumatic intrahepatic bile duct injuries in a cadaveric allograft donor. Transpl Int. 2004;17(7):379-383. doi:10.1007/s00147-004-0727-2
  7. Hwang S, Jung DH, Song GW, Ha TY, Jwa EK, Lee SG. Fibrin glue-infiltrating hemostasis for intractable bleeding from the liver or spleen during liver transplantation. Ann Hepatobiliary Pancreat Surg. 2016;20(4):197-200. doi:10.14701/ahbps.2016.20.4.197
  8. Lai Q, Ferretti S, Rossi M, Berloco PB. Liver transplant using a severely lacerated graft treated by arterial embolization. Exp Clin Transplant. 2013;11(4):364-366. doi:10.6002/ect.2012.0185