Unsupported Browser
The American College of Surgeons website is not compatible with Internet Explorer 11, IE 11. For the best experience please update your browser.
Menu
Become a member and receive career-enhancing benefits

Our top priority is providing value to members. Your Member Services team is here to ensure you maximize your ACS member benefits, participate in College activities, and engage with your ACS colleagues. It's all here.

Become a Member
Become a member and receive career-enhancing benefits

Our top priority is providing value to members. Your Member Services team is here to ensure you maximize your ACS member benefits, participate in College activities, and engage with your ACS colleagues. It's all here.

Become a Member
ACS
Case Reviews in Surgery

Acute Small Bowel Obstruction Caused by Ingestion of Chicken Bones: A Case Report

January 11, 2022

Abstract

Background

A 41-year-old male presented with acute small bowel obstruction from ingestion of chicken bones.

Summary

Our patient is a young Libyan male with no prior abdominal pathology presenting with acute symptoms of bowel obstruction. He denies any change in diet or ingestion of foreign objects. The subsequent evaluation showed a calcified mass at the ileocecal valve. He underwent surgical intervention to remove the mass and relieve the obstruction. The mass was found to be a conglomerate of ingested bones. Small bowel obstruction is a very common disease process in surgical practice. It is rarely seen secondary to an ingested foreign body. This case highlights the need for a detailed history and physical as well as an understanding of cultural biases and accepted norms.

Conclusion

Small bowel obstruction is a common pathology encountered in surgical practice. We present a case of acute small bowel obstruction from ingested chicken bones, highlighting the need for a broad differential and a detailed history. Also, clinicians need to be aware of cultural differences in the populations that they serve.

Key Words

small bowel obstruction; chicken bones; ingestion


Introduction

Small bowel obstruction is a frequent cause of surgical admission and acute abdomen in clinical practice in western society. The most frequent obstruction causes are adhesive disease secondary to previous surgery and hernias, with adhesive disease accounting for almost 60 percent of acute obstructions.1 However, there are many unusual causes of obstruction that account for up to 6 percent of cases.1 Included in this subset of unusual causes would be ingestion of foreign bodies and specifically bone. Ingesting bone is most frequently complicated with perforation, but bone ingestion has resulted in obstruction in two prior cases with patients described as a virgin abdomen without abdominal pathology.

Case Description

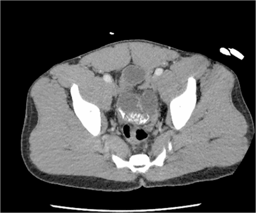
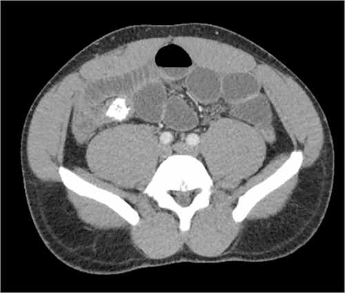
A 41-year-old previously healthy Libyan male presented with a two-day history of nausea, vomiting, and abdominal pain. He reported an inability to tolerate sips of water. He describes no changes in his diet and no strange or abnormal items being ingested before this episode. He had never experienced this type of pain or bloating before. He had a very firm, muscular abdomen with severe distention. He was diffusely tender but did not have signs of peritonitis. He was mildly tachycardic to 110 beats per minute. At this time, his laboratory evaluation showed acute kidney injury with creatinine elevation to 2.5 mg/dL and hypochloremic, hypokalemic metabolic alkalosis from repeated emesis. Given this clinical picture, a CT scan was obtained, which showed a high-grade mechanical obstruction in the distal ileum associated with a calcified density or mass (Figure 1). Additional calcified densities were identified more proximal in the small intestine located in the pelvis (Figure 2). Due to the high-grade obstruction and the calcified mass, surgical intervention was recommended. The patient was very hesitant initially but finally agreed to undergo exploratory laparotomy with possible small bowel resection.

Figure 1. Calcified Mass in Terminal Ileum. Published with Permission

Figure 2. Calcified Densities in Pelvis. Published with Permission

After obtaining informed consent, he was taken to the OR. A laparotomy was performed, and we delivered the small intestine easily from the abdomen and identified the mass with palpation. We manipulated the mass proximally away from the ileocecal valve, but the mass disintegrated from the external pressure. We chose to make a small enterotomy to remove the intraluminal fragments still present around the ileocecal valve. Upon entering the bowel, a copious amount of fluid was evacuated along with many small objects that appeared to be pepper seeds and small bones. There appeared to be an identifiable vertebra and multiple ribs among the pieces that were removed. We closed the enterotomy with 3-0 silk sutures in a transverse fashion. The abdominal cavity was irrigated with large volume saline irrigation. We closed the fascia with an interrupted 0 PDS suture. The skin was left open with wet to dry dressings.

Figure 3. Intraluminal Contents, Including What Appears to Be Vertebra At Top-Right and Multiple Ribs on Lower-Right. Published with Permission

The wife was approached postoperatively to discuss the operative findings. After hearing that ingested bones caused the obstruction, she confirmed that he has been eating cooked whole chicken as recently as the weekend before presentation. She states that he does this because it is part of his Libyan heritage.

He progressed well postoperatively, and his pain was well controlled. His renal function improved postoperatively but remained slightly above baseline until discharge. He also developed a postoperative ileus that resolved after five days. He was advanced to a clear liquid diet on POD 6, and he was discharged on POD 8, tolerating a general diet and having appropriate bowel function. He had no further complications on routine postoperative follow-up.

Discussion

Acute small bowel obstruction is a common disease process in the surgical literature. It is most frequently associated with adhesions or hernia. Foreign body ingestion is a rare and unusual cause of small bowel obstruction. This process is generally seen in specific patient populations: patients with psychiatric disorders, alcoholics, drug addicts, or elderly with dentures.2 The most common form of a foreign body is a bezoar, which is described as a collection of material that is trapped in the gastrointestinal tract. There are many different subtypes of bezoars, including trichobezoar, pharmacobezoar, and phytobezoar, which can all cause obstruction. These are composed of hair, medications, and plant material, respectively. The typical location of obstruction for a bezoar is generally in the stomach, but other locations of obstruction have also been described.26

Acute intestinal obstruction secondary to a bone bezoar without any abdominal pathology is an extremely rare occurrence. Most ingested material passes through the intestinal tract without complication, but if a problem does arise, it is most frequently perforation and not obstruction. Perforation is the most common complication of ingested bone and is well documented in the literature, but there are only four prior cases of obstruction from bone fragments or bone bezoar.26 Only two of these cases are in a virgin abdomen without abdominal pathology, similar to our case.

A detailed history is vitally important if a small bowel obstruction is suspected to be caused by a foreign body. If the patient is embarrassed or does not have the needed insight based on clinical history, it can be challenging to obtain an accurate account. The physician's preconceived biases can also confound attempts to obtain a precise chronology. These biases would include the definition of items that are edible or considered food. As with our patient, we questioned him about ingestion of any foreign or abnormal food recently. He stated no because ingesting chicken with the bones is part of his heritage and not considered abnormal, foreign, or strange.

Management of acute small bowel obstruction caused by a foreign body is almost always surgical.7 It is extremely unlikely for the foreign body to pass after it has already caused any obstruction. The two most common approaches are enterotomy and retrieval of the object when the integrity of the bowel is maintained, and resection with anastomosis or ostomy formation if the case is complicated or clear, non-salvageable bowel injury has occurred.

Conclusion

Acute small bowel obstruction is a frequently encountered problem for the surgical community. It is most commonly associated with adhesive disease from prior surgery or hernias. When these causes are not suspected, further evaluation will be needed. CT imaging has become valuable in diagnosing small bowel obstruction and may guide the clinician to the etiology. If it is still unclear, a detailed dietary history may provide the answer. It is vital to ask broad questions and identify any items that may not be digested well, including bones. Cultural differences also need to be considered as the definition of edible may not coincide with the clinician's definition. It is important to maintain a broad differential if the etiology is not immediately available.

Lessons Learned

Clinicians must understand the diverse cultural practices that their patients observe. A cultural bias can obscure the necessary information to obtain the correct diagnosis. It is critical to obtain a detailed history and physical to aid in diagnosis.

Authors

Nowotny DJ; Aaland M

Author Affiliation

Department of Surgery, University of North Dakota School of Medicine and Health, Grand Forks, ND 58202

Corresponding Author

Dustin J. Nowotny, DO
Department of Surgery
University of North Dakota School of Medicine and Health
1301 N. Columbia Road, Stop 9037
Grand Forks, ND 58202
Phone: (605) 430-9866
E-mail: dustin.nowotny@ndus.edu

Disclosure Statement

The authors have no conflicts of interest to disclose.

Funding/Support

The authors have no financial relationships or in-kind support to disclose.

Received: July 14, 2020
Accepted for Publication: September 17, 2020

References

  1. Lohn JW, Austin RC, Winslet MC. Unusual causes of small-bowel obstruction. J R Soc Med. 2000;93(7):365-368. doi:10.1177/014107680009300707
  2. Trivedi U, Kumar M, Kumar V, Adhikari D. Osteoid bezoar: a rare case causing small bowel obstruction. BMJ Case Rep. 2017;2017:bcr2017223051. Published 2017 Dec 22. doi:10.1136/bcr-2017-223051
  3. Bandyopadhyay D, Orgles CS, Dewar EP. Small bowel obstruction due to inflammation secondary to ingested bone. Emerg Radiol. 2005;11(6):381-385. doi:10.1007/s10140-005-0426-z
  4. Mahendrayogam V, Sebastian BJ, Senior E, Keeling N. Acute small bowel obstruction due to impacted bone: a case report. BMJ Case Rep. 2009;2009:bcr08.2008.0633. doi:10.1136/bcr.08.2008.0633
  5. Vetpillai P, Oshowo A. Acute small bowel obstruction due to chicken bone bezoar. Int Med Case Rep J. 2012;5:87-89. Published 2012 Dec 4. doi:10.2147/IMCRJ.S28514
  6. Velitchkov NG, Grigorov GI, Losanoff JE, Kjossev KT. Ingested foreign bodies of the gastrointestinal tract: retrospective analysis of 542 cases. World J Surg. 1996;20(8):1001-1005. doi:10.1007/s002689900152
  7. O'Connor DB, Winter DC. The role of laparoscopy in the management of acute small-bowel obstruction: a review of over 2,000 cases. Surg Endosc. 2012;26(1):12-17. doi:10.1007/s00464-011-1885-9