Unsupported Browser
The American College of Surgeons website is not compatible with Internet Explorer 11, IE 11. For the best experience please update your browser.
Menu
Become a member and receive career-enhancing benefits

Our top priority is providing value to members. Your Member Services team is here to ensure you maximize your ACS member benefits, participate in College activities, and engage with your ACS colleagues. It's all here.

Become a Member
Become a member and receive career-enhancing benefits

Our top priority is providing value to members. Your Member Services team is here to ensure you maximize your ACS member benefits, participate in College activities, and engage with your ACS colleagues. It's all here.

Become a Member
ACS
Case Reviews in Surgery

Left Gastric-Portal Vein Anastomosis for Portal Vein Reconstruction: An Alternative Inflow for Grade IV Portal Vein Thrombosis in Orthotopic Liver Transplant

January 11, 2022

Abstract

Background

Previously, portal venous thrombosis (PVT) was an absolute contraindication for liver transplant. Although this no longer holds, PVT still represents a significant technical challenge for surgeons and is associated with increased early mortality and graft failure following transplant. Such cases may require an alternate source of inflow to the graft. Porto-left gastric vein anastomosis may be used for portal vein reconstruction but has been described less frequently. In this case report, we describe our experience with portal-left gastric vein anastomosis as an alternative for portal vein inflow in the setting of grade III-IV PVT.

Summary

The patient was a 43-year-old male with a history of liver cirrhosis secondary to primary sclerosing cholangitis and Model for End-State Liver Disease (MELD) of 35. Preoperative transplant evaluation revealed grade IV portal vein thrombosis (PVT) with a large dilated left gastric vein, precluding conventional portal vein reconstruction. The left gastric vein was utilized as an alternate source for graft inflow via end-to-side anastomosis with the donor portal vein. The patient remained stable postoperatively and progressed well. Repeat liver Doppler ultrasound at three months demonstrated continued patency of the portal-gastric anastomosis.

Conclusion

Portal-left gastric vein anastomosis can be a viable alternative for portal vein inflow in liver transplants. Preoperative evaluation is required to assess with a duplex flow of at least 10 cm/sec and a diameter of at least 10 mm in the desired vessel to ensure adequate allograft liver perfusion. If adequate, this technique allows for drainage of the splanchnic bed. Depending on the vascular anatomy and severity of PVT, portal-left gastric vein anastomosis should be entertained as an option for transplant patients with severe PVT.

Key Words

liver transplant; transplant surgery; portal vein thrombosis; gastric-portal shunt; primary sclerosing cholangitis


Case Description

Reports of the prevalence of portal vein thrombosis (PVT) in patients awaiting a liver transplant are highly variable and range from 2 to 26 percent.1 Review of the Organ Procurement and Transplant Network’s database of 50,393 liver transplant recipients from 2002 to 2013 revealed the presence of PVT in 6.6 percent of adult patients.2 Previously, PVT was an absolute contraindication for liver transplants. Although this no longer holds, PVT still represents a significant technical challenge for surgeons and is associated with increased early mortality and graft failure following transplant.2 Surgical techniques vary depending on PVT severity; patients with Yerdel grade I and II PVT may be treated with thrombo-endovenectomy or, in some cases, excision of a portion of the portal vein. However, such solutions are less frequently an option in the setting of complete occlusion.1,3 Such cases in which the thrombus completely occludes the portal vein or involves the confluence of the superior mesenteric and splenic veins (grade III and IV) may require an alternate source of inflow to the graft, such as systemic venous inflow.3 Techniques such as reno-portal anastomosis, cavo-portal hemi-transposition, and use of peri-choledocal varix have been described as alternate sources of inflow.46 Left gastric (coronary) vein-portal vein anastomosis may be used for portal vein reconstruction but has been described less frequently.7 {Teixeira, 2016 #1394}In this case report, we describe our experience with left gastric vein-portal vein anastomosis as an alternative for portal vein inflow in the setting of complete PVT. The report was written in concordance with the Surgical Case Report (SCARE) criteria.8

The patient was a 43-year-old male with liver cirrhosis secondary to primary sclerosing cholangitis, complicated by hepatic encephalopathy, ascites, grade II esophageal varices, and grade IV portal vein thrombosis. His past medical history included ulcerative colitis status-post proctocolectomy and ileal pouch-anal anastomosis, Graves’ disease status-post radioactive iodine therapy, and diabetes mellitus type II.

One month before transplantation, he was hospitalized in the intensive care unit for eight days for suspected septic shock. His stay was complicated by Candida esophagitis and an acute kidney injury (AKI). Two weeks later, esophagogastroduodenoscopy was negative for Candida esophagitis. Still, the patient was hospitalized for altered mental status from baseline, AKI, and worsening liver function tests with a Model for End-Stage Liver Disease (MELD) score of 35. Hepatorenal syndrome was managed with intermittent albumin infusions. Throughout his hospitalization, he had a non-anion gap metabolic acidosis attributed to lactulose therapy in the setting of proctocolectomy, which was treated with sodium bicarbonate infusions.

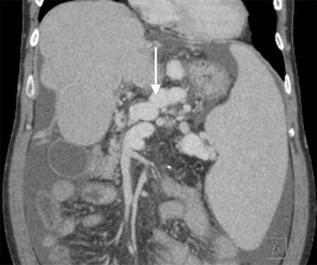
Preoperative CT demonstrated main portal vein dilated to 1.9 cm with a completely occlusive thrombus that extended to the left and right portal vein with cavernous transformation, consistent with grade IV PVT (Figure 1 and Figure 2).

Figure 1. Illustration Depicting PVT with Dilated Left Gastric Vein (Black Arrow). Published with Permission

Figure 2. Coronal CT Abdomen Six Months Before Transplantation Demonstrating Occlusive PVT and Dilated Left Gastric Vein (White Arrow). Published with Permission

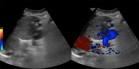
A large dilated left gastric vein was noted. Additionally, periesophageal, perigastric, perisplenic, and mesenteric varices were present with moderate ascites and splenomegaly. Due to the PVT extending to the confluence of superior mesenteric vein (SMV), an abdominal ultrasound was performed to evaluate the left gastric vein flow for possible left gastric-portal anastomosis. Ultrasound showed a patent left gastric vein dilated to 2 cm in the mid-epigastrium with phasic variations (Figure 3) with an average velocity of 42.1 cm/sec. Given the sufficient size and flow of the patient’s left gastric vein, a surgical plan for gastric-portal anastomosis for liver allograft inflow was pursued.

Figure 3. Preoperative Ultrasound Demonstrating Sufficient Size and Inflow of Left Gastric Vein. Published with Permission

Figure 4. Illustration Depicting the End-To-Side Left Gastric-Portal Vein Anastomosis. Published with Permission

Figure 5. Coronal CT Abdomen Ten Days Postoperatively, Demonstrating Patent Left Gastric-Portal Vein Anastomosis (White Arrow Indicates Portal Vein And Black Arrow, Left Gastric Vein). Published with Permission

Figure 6. Intraoperative Picture of End-To-Side Left Gastric-Portal Anastomosis. Published with Permission

The patient remained hemodynamically stable post-reperfusion. Following reperfusion, Transonic system volume flow probes demonstrated a portal flow of 1200 mL/min. The remainder of the transplant proceeded in the standard fashion.

Postoperative doppler showed velocity of 135 cm/s in the main portal vein, and CT depicted patent left gastric-portal anastomosis. His postoperative course was fairly uncomplicated, except for a seizure. There were no signs of posterior reversible encephalopathy syndrome (PRES) on CT, and the patient returned to baseline quickly. The patient was malnourished and required nasoduodenal tube feeds for supplemental nutrition. His appetite improved, and the patient was discharged to a rehabilitation facility on postoperative day 17. One week later, the patient was hospitalized for hyperglycemia and superficial surgical site infection, which required wound opening and wound VAC placement. The endocrinology service managed his uncontrolled diabetes mellitus, which was complicated due to corticosteroids and tacrolimus. His diabetes control was optimized, and the patient was discharged with a wound VAC, which was discontinued one month after discharge. The patient demonstrated decreased renal function (creatinine 2.2, preoperative baseline 1.0) throughout his postoperative course, which was managed by nephrology. Repeat liver Doppler ultrasound three months postoperatively demonstrated continued patency of the portal-gastric anastomosis.

Discussion

Previously, grade III and IV PVT was a contraindication for liver transplants as there was no alternative for the inflow to the transplanted liver. However, with time and the advent of novel surgical techniques, this is no longer the case. According to the Scientific Registry of Transplant Recipients, the prevalence of PVT was 2.1 percent among 46,530 waitlisted patients and 4.02 percent among 22,291 liver transplant recipients; this is slightly lower than previous reports and may be attributed to variations in the characterization of PVT.1,9 PVT incidence has been reported to be increased in patients with autoimmune and cryptogenic cirrhosis and in patients with decreased portal venous flow velocity, irrespective of disease etiology.10,11 Compared to non-PVT liver transplant recipients, PVT patients have similar rates of transplantation and waitlist survival; however, statistical models suggest that PVT liver transplant recipients have significantly higher adjusted post-transplant mortality during the first year of follow-up (hazard ratio, 1.50), but not after that.9 Similarly, reports from Barcelona found no difference in three-year survival between PVT and non-PVT OLT recipients, despite an increased risk of post-transplant PVT in patients with preoperative PVT.12 Nevertheless, grades III and IV PVT constitute a small fraction of such reports, and there remains significant room for improvement for patients with advanced thrombosis.13

We have previously described reno-portal anastomosis as an alternative inflow for patients with grade III or IV PVT.4 In this technique, the left renal vein was used as the inflow for the transplanted liver by the construction of an end-to-end anastomosis in the presence of a spontaneous spleno-renal shunt. However, in the absence of a spontaneous spleno-renal shunt, reno-portal anastomosis is not an option. Several other techniques have been described to provide an alternate inflow and allow these patients to receive a liver transplant, including portocaval hemi-transposition, meso-portal jump graft using donor iliac vein, and arterialization of the portal vein. However, outcomes are still guarded.

In this case, we report our surgical technique of using the left gastric vein as an inflow for the transplanted liver. We demonstrate that this technique is safe and feasible, even in high MELD score patients with previous extensive surgeries. Adequate preoperative testing is essential to assess the feasibility of this technique. Preoperative imaging with a CT scan to demonstrate a left gastric vein of at least 10 mm in diameter is critical. Additionally, ultrasound measured left gastric vein flow of at least 10 cm/sec should be ensured preoperatively. Small graft size is also preferable since expected flow in the left gastric vein may be lower than the native portal vein. Intraoperative assessment of graft portal flow is essential to avoid portal hypo-perfusion; in the event that portal flow is <0.5ml/gm liver, we recommend ligation of the left gastric vein distal to the left gastric to portal end-to-side anastomosis to increase the flow to the graft.

Conclusion

Left gastric to portal shunt is a viable option in grade III or IV PVT. It appears safe, even in high MELD score patients with adequate preoperative workup and meticulous surgical technique.

Lessons Learned

Left gastric-portal vein shunt is a viable option for liver allograft inflow reconstruction in the setting of grade III or IV portal vein thrombosis.

Authors

Madill MA; Barron JO; Mooser AC; Nazzal MD

Author Affiliation

Department of Surgery, Saint Louis University School of Medicine, St. Louis, MO 63110

Corresponding Author

Mustafa Nazzal, MD, MLS, FACS
Department of Surgery
Saint Louis University School of Medicine
3635 Vista Avenue
PO Box 15250
St. Louis, MO 63110
Phone: (314) 577-6000
E-mail: mustafa.nazzal@health.slu.edu

Disclosure Statement

The authors have no conflicts of interest to disclose.

Funding/Support

The authors have no financial relationships or in-kind support to disclose.

Meeting Presentation

American College of Surgeons, Missouri Chapter Annual Meeting, May 2019

Received: May 14, 2019
Revision Received: March 11
Accepted for Publication: May 21, 2020

References

  1. Ponziani FR, Zocco MA, Senzolo M, Pompili M, Gasbarrini A, Avolio AW. Portal vein thrombosis and liver transplantation: implications for waiting list period, surgical approach, early and late follow-up. Transplant Rev (Orlando). 2014;28(2):92-101. doi:10.1016/j.trre.2014.01.003
  2. Ghabril M, Agarwal S, Lacerda M, Chalasani N, Kwo P, Tector AJ. Portal vein thrombosis is a risk factor for poor early outcomes after liver transplantation: analysis of risk factors and outcomes for portal vein thrombosis in waitlisted patients. Transplantation. 2016;100(1):126-133. doi:10.1097/TP.0000000000000785
  3. Conzen KD, Pomfret EA. Liver transplant in patients with portal vein thrombosis: Medical and surgical requirements. Liver Transpl. 2017;23(S1):S59-S63. doi:10.1002/lt.24856
  4. Nazzal M, Sun Y, Okoye O, et al. Reno-portal shunt for liver transplant, an alternative inflow for recipients with grade III-IV portal vein thrombosis: Tips for a better outcome. Int J Surg Case Rep. 2017;41:251-254. doi:10.1016/j.ijscr.2017.09.028
  5. Gerunda GE, Merenda R, Neri D, et al. Cavoportal hemitransposition: a successful way to overcome the problem of total portosplenomesenteric thrombosis in liver transplantation. Liver Transpl. 2002;8(1):72-75. doi:10.1053/jlts.2002.30404
  6. Bharathy KG, Sasturkar SV, Sinha PK, Kumar S, Pamecha V. Portal inflow in extensive portomesenteric thrombosis: using the pericholedochal varix in living donor liver transplantation. J Clin Exp Hepatol. 2017;7(1):63-65. doi:10.1016/j.jceh.2016.10.007
  7. Teixeira UF, Machry MC, Goldoni MB, et al. Use of left gastric vein as an alternative for portal flow reconstruction in liver transplantation. Case Rep Surg. 2016;2016:8289045. doi:10.1155/2016/8289045
  8. Agha RA, Fowler AJ, Saeta A, et al. The SCARE statement: consensus-based surgical case report guidelines [published correction appears in Int J Surg. 2016 Dec;36(Pt A):396] [published correction appears in Int J Surg. 2017 Nov;47:151]. Int J Surg. 2016;34:180-186. doi:10.1016/j.ijsu.2016.08.014
  9. Englesbe MJ, Schaubel DE, Cai S, Guidinger MK, Merion RM. Portal vein thrombosis and liver transplant survival benefit. Liver Transpl. 2010;16(8):999-1005. doi:10.1002/lt.22105
  10. Manzanet G, Sanjuán F, Orbis P, et al. Liver transplantation in patients with portal vein thrombosis. Liver Transpl. 2001;7(2):125-131. doi:10.1053/jlts.2001.21295
  11. Zocco MA, Di Stasio E, De Cristofaro R, et al. Thrombotic risk factors in patients with liver cirrhosis: correlation with MELD scoring system and portal vein thrombosis development. J Hepatol. 2009;51(4):682-689. doi:10.1016/j.jhep.2009.03.013
  12. Lladó L, Fabregat J, Castellote J, et al. Management of portal vein thrombosis in liver transplantation: influence on morbidity and mortality. Clin Transplant. 2007;21(6):716-721. doi:10.1111/j.1399-0012.2007.00728.x
  13. Yerdel MA, Gunson B, Mirza D, et al. Portal vein thrombosis in adults undergoing liver transplantation: risk factors, screening, management, and outcome. Transplantation. 2000;69(9):1873-1881. doi:10.1097/00007890-200005150-00023