Unsupported Browser
The American College of Surgeons website is not compatible with Internet Explorer 11, IE 11. For the best experience please update your browser.
Menu
Become a member and receive career-enhancing benefits

Our top priority is providing value to members. Your Member Services team is here to ensure you maximize your ACS member benefits, participate in College activities, and engage with your ACS colleagues. It's all here.

Become a Member
Become a member and receive career-enhancing benefits

Our top priority is providing value to members. Your Member Services team is here to ensure you maximize your ACS member benefits, participate in College activities, and engage with your ACS colleagues. It's all here.

Become a Member
ACS
Case Reviews in Surgery

A Case Report of Acute Gangrenous Cholecystitis as a Result of Metastatic Breast Carcinoma: A Rare Phenomenon

January 11, 2022

Abstract

Background

We present a case of widely metastatic breast cancer at diagnosis, with incidental finding of additional gallbladder metastasis after cholecystectomy for biliary colic.

Summary

Our patient, with known metastatic breast cancer to the spine and lungs, presented to the emergency department with right upper quadrant pain, nausea, and vomiting. Diagnostic workup indicated gallbladder wall thickening but no evidence of cholecystitis or cholelithiasis. The patient continued to have symptoms despite antibiotic therapy. She was taken for diagnostic laparoscopy, which revealed gangrenous, perforated cholecystitis. Laparoscopic cholecystectomy was performed, and the final pathology of the resected gallbladder indicated the presence of metastatic breast carcinoma.

Conclusion

Metastatic breast cancer to the gallbladder is a rare phenomenon. Still, it should be considered in breast cancer patients with right upper quadrant pain even when traditional diagnostic imaging seems negative for acute cholecystitis.

Key Words

metastatic breast cancer; gangrenous cholecystitis


Case Description

Breast cancer is the most frequently diagnosed cancer in women. With modern imaging techniques and screening guidelines, patients are being diagnosed with earlier-stage disease. However, around 20–30 percent of patients will subsequently develop distant metastatic disease.4 In addition, up to 10 percent of patients may present with synchronous metastatic disease.4,8 Breast cancer most often metastasizes to the lymph nodes, lung, bones, liver, and brain.14,69

Lobular breast cancer is the second most common type of invasive breast cancer, making up 5–15 percent of cases.8 Lobular breast cancer, in particular, has a higher incidence of metastasis to the gastrointestinal tract, peritoneum, and retroperitoneum, most commonly metastasizing to the stomach and small intestine.1,3,4,69

Metastasis to the gallbladder from any cancer is rare. An analysis of 1,000 autopsies revealed that only 5.8 percent of all carcinomas had metastases to the gallbladder.2 Gallbladder metastases most often originate from melanoma, renal cell carcinoma, and cervical carcinoma primaries.1,3,5 Gallbladder metastasis from breast cancer specifically is extremely rare, with only 25–30 reported cases in the English literature.1,4,5,7 We present a case of widely metastatic breast cancer at diagnosis, with incidental finding of additional gallbladder metastasis after cholecystectomy for biliary colic.

The patient is a 59-year-old female with a PMH of HTN, HLD, asthma, CVA, and MI, currently undergoing chemotherapy for metastatic breast cancer. Previous workup including PET/CT demonstrated diffuse bone and pulmonary metastasis and a 4.5 cm left breast mass invading the pectoralis muscle along with axillary and internal mammary lymphadenopathy. Of note, the hepatobiliary system was observed to have physiologic FDG distribution with no suspicious masses or biliary ductal dilatation. Image-guided biopsy of a left lung mass revealed a poorly differentiated carcinoma, consistent with breast primary. The tumor cells were strongly positive for GATA3, ER, PR, and HER2/neu (triple positive) and negative for TTFl and P63.

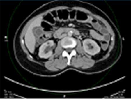
One week after her first cycle of chemotherapy, she presented to our emergency department with complaints of right upper quadrant abdominal pain. She described the pain as a sharp, stabbing in nature that was acute in onset associated with nausea and vomiting. She denies any previous episodes of similar pain. On physical exam, she was afebrile, vital signs were stable, and tenderness in the right upper quadrant was noted. Her white blood cell count was 10,000, and liver function tests revealed an elevated AST, ALT, and alkaline phosphatase. An abdominal CT scan showed marked gallbladder wall thickening without obvious cholelithiasis (Figure 1), while a HIDA scan was negative for cholecystitis with no obstruction of the cystic or common bile duct (Figure 2).

Figure 1. CT Scan Revealing Markedly Thickened Gallbladder Wall with Surrounding Pericholecystic Fluid. Published with Permission

Figure 2. HIDA Scan With Filling Of Gallbladder, Patent Cystic Duct, And Common Bile Duct; No Evidence Of Acute Cholecystitis. Published with Permission

She was admitted to the hospital and started on IV antibiotics. Her pain and tenderness persisted despite treatment, and she was taken to the operating room for laparoscopic cholecystectomy. At surgery, a grossly gangrenous gallbladder with perforation and spillage of bile throughout the right upper quadrant was noted (Figure 3).

Figure 3. Intraoperative Photos Revealed A) Peritoneal Studding; and B–D) Gangrenous Gallbladder with Perforation. Published with Permission

A laparoscopic cholecystectomy was performed. Postoperatively, her liver function studies returned to within normal limits. She was discharged home on postoperative day 4.

The final pathologic diagnosis was metastatic carcinoma consistent with breast primary involving a perforated gallbladder with gangrenous necrosis. There was no evidence of cholelithiasis. Tumor cells were positive for GATA3 and ER (greater than 90 percent). Interestingly, PR and HER2/neu stains were negative.

Discussion

In this case, we present an instance of breast cancer metastases to the gallbladder. Metastasis of any carcinoma to the gallbladder is rare but extremely so in cases of breast cancer metastasis. When breast cancer does spread to the gallbladder, it is most often lobular breast cancer. The primary breast cancer histology in our patient was unknown; however, the biopsied metastatic lung lesion was consistent with ductal breast cancer. Histology of tumor cells from the metastatic lung and the metastatic gallbladder lesions were similar, although not identical, but consistent with breast primary. Patients with gallbladder metastases usually present with symptoms if they have coexisting acute or chronic cholecystitis. Our patient presented with acute onset right upper quadrant pain, nausea, and vomiting, which she had never experienced in the past. Diagnostic imaging was negative for cholelithiasis or acute cholecystitis. However, intraoperatively she was found to have a gangrenous gallbladder with marked wall thickening. Pathology results revealed a gallbladder metastasis consistent with breast primary. It is unclear if her symptoms were provoked by her first chemotherapy session, which occurred one week before presentation. Gallbladder metastases are rare with variable presentation and radiographic features.

Conclusion

This case shows that abdominal pain in breast cancer patients should be evaluated and closely monitored despite initial diagnostic findings. We suggest that cancer patients with acute right upper quadrant pain with no evidence of cholelithiasis and normal HIDA scan consider gallbladder metastasis as part of the differential diagnosis. Prompt surgical exploration is warranted.

Lessons Learned

In rare cases, breast cancer can metastasize to the gallbladder, causing inflammation of the gallbladder wall with eventual gangrenous cholecystitis and perforation. Patients with breast cancer should be thoroughly evaluated in the presence of right upper quadrant pain for possible gallbladder metastases.

Authors

Meloro BAa; Marcoe Ja; Ramachandra Pa; Volpe Cb

Author Affiliations

  1. Department of Surgery, Mercy Catholic Medical Center, Darby, PA 19023
  2. Department of Surgery, St. Mary Medical Center, Langhorne, PA 19047

Corresponding Author

Beth A. Meloro, DO
Department of Surgery
Mercy Catholic Medical Center
1500 Lansdowne Avenue
Darby, PA 19023
Phone: (302) 584-4235
E-mail: beth.meloro@mercyhealth.org

Disclosure Statement

The authors have no conflicts of interest to disclose.

Funding/Support

The authors have no financial relationships or in-kind support to disclose.

Received: May 13, 2020
Accepted for Publication: November 17, 2020

References

  1. Abdelilah B, Mohamed O, Yamoul R, et al. Acute cholecystitis as a rare presentation of metastatic breast carcinoma of the gallbladder: A case report and review of the literature. Pan Afr Med J. 2014;17:216. Published 2014 Mar 19. doi:10.11604/pamj.2014.17.216.3911
  2. Abrams HL, Spiro R, Goldstein N. Metastases in carcinoma; analysis of 1000 autopsied cases. Cancer. 1950;3(1):74-85. doi:10.1002/1097-0142(1950)3:1<74::aid-cncr2820030111>3.0.co;2-7
  3. Di Vita M, Zanghì A, Lanzafame S, et al. Gallbladder metastases of breast cancer: from clinical-pathological patterns to diagnostic and therapeutic strategy. Clin Ter. 2011;162(5):451-456.
  4. Ebrahim H, Graham D, Rice D, et al. Inflammatory metastatic breast cancer with gallbladder metastasis: an incidental finding. J Community Support Oncol. 2015;13(7):256-259. doi:10.12788/jcso.0154
  5. Hashimoto M, Koide K, Arita M, et al. Acute acalculous cholecystitis due to breast cancer metastasis to the cystic duct. Surg Case Rep. 2016;2(1):111. doi:10.1186/s40792-016-0239-1
  6. Kennecke H, Yerushalmi R, Woods R, et al. Metastatic behavior of breast cancer subtypes. J Clin Oncol. 2010;28(20):3271-3277. doi:10.1200/JCO.2009.25.9820
  7. Magalhães JS, Matos L, Santos T, Nora M. Elective cholecystectomy as a rare presentation of metastatic breast cancer. J Surg Case Rep. 2018;2018(11):rjy301. Published 2018 Nov 13. doi:10.1093/jscr/rjy301
  8. Molina-Barea R, Rios-Peregrina RM, Slim M, Calandre EP, Hernández-García MD, Jimenez-Rios JA. Lobular breast cancer metastasis to the colon, the appendix and the gallbladder. Breast Care (Basel). 2014;9(6):428-430. doi:10.1159/000368430
  9. Riaz N, Ahmed R, Afzal S, Masood N. Breast carcinoma with asymptomatic metastasis to the gallbladder. Singapore Med J. 2012;53(7):e136-e138.