Unsupported Browser
The American College of Surgeons website is not compatible with Internet Explorer 11, IE 11. For the best experience please update your browser.
Menu
Become a member and receive career-enhancing benefits

Our top priority is providing value to members. Your Member Services team is here to ensure you maximize your ACS member benefits, participate in College activities, and engage with your ACS colleagues. It's all here.

Become a Member
Become a member and receive career-enhancing benefits

Our top priority is providing value to members. Your Member Services team is here to ensure you maximize your ACS member benefits, participate in College activities, and engage with your ACS colleagues. It's all here.

Become a Member
ACS
Case Reviews in Surgery

A Rare Case of Necrotizing Streptococcal Myositis of the Chest and Shoulder

January 11, 2022

Abstract

Background

A 24-year-old woman presented with right-sided chest and shoulder pain and tachycardia. She had rapid deterioration requiring emergent surgical debridement and was diagnosed with necrotizing group A streptococcal myositis.

Summary

Our patient initially presented with five days of severe right-sided chest and shoulder pain. Examination showed tachycardia, swelling, and pain out of proportion to the exam without any skin changes or crepitus. CT scan revealed diffuse soft tissue swelling involving the pectoralis muscles and axillary lymphadenopathy without subcutaneous emphysema. Within hours of admission, she became unresponsive and refractory to massive crystalloid infusion and vasopressor support, so she was taken emergently to the operating room. Surgical exploration demonstrated extensive soft tissue and muscular necrosis. Tissue cultures demonstrated S. pyogenes, and antibiotic coverage was narrowed with intravenous immunoglobulin as an adjunct therapy. She underwent multiple debridements, and we were able to obtain primary wound closure via sequential partial closures.

Conclusion

Necrotizing streptococcal myositis is uncommon and can rapidly descend into septic shock and death. Treatment requires prompt surgical management, antibiotics, and critical care. We report successful management of this often-lethal pathology with debridement of the overlying skin, which significantly decreased her overall morbidity. This entity remains distinct from necrotizing fasciitis. Surgical management must involve frequent debridement in an attempt to balance debridement of clearly necrotic tissue while salvaging viable structures and minimizing the need for skin grafting. Necrotizing streptococcal myositis is exceedingly rare, requiring vigilance and a high index of suspicion.

Key Words

necrotizing myositis; Streptococcus pyogenes


Case Description

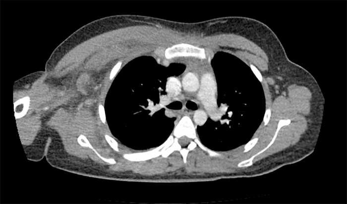
The patient is a 24-year-old woman with no significant past medical history who was transferred to our emergency room with five days of right chest and shoulder swelling, tenderness, and pain. Her initial presentation was only notable for disproportionate tenderness and edema over the right chest and shoulder with axillary lymphadenopathy, limited shoulder range of motion, and tachycardia. She reported getting a large tattoo on her right shoulder several weeks before and noted that she had blistering that she attributed to the dressing. Her initial laboratory workup was remarkable only for elevated creatine kinase, lactate, and C-reactive protein. She had no leukocytosis (7.2 × 109/L with 95% granulocytes). Her LRINEC score was 5 (elevated CRP 38.3 mg/dL, Hgb 12.3 g/dL, Na 138 mEq/L, Cr 0.74 mg/dL, glucose 113 mg/dL). Blood and urine cultures were drawn in the emergency department. Transferred imaging was initially unavailable with only the radiologist report accompanying the patient, identifying changes consistent with soft tissue swelling without subcutaneous emphysema. She was admitted and started on vancomycin and piperacillin/tazobactam and serial examinations.

Figure 1. Axial CT Imaging Demonstrating Subpectoral and Axillary Soft Tissue Edema with Lymphadenopathy. Published with Permission

Within three hours of admission, she deteriorated and was transferred to the intensive care unit requiring fluid resuscitation, vasopressor support, and intubation. Repeat labs showed rising lactate, creatine kinase, and C-reactive protein. Intravenous immunoglobulin was started for possible toxic shock syndrome, and the patient was taken emergently to the operating room. Initial exploration was performed via an inframammary incision at the fifth intercostal space along the anterior axillary line to access affected tissue, preserve breast tissue, and hide the scar within a natural fold. Blunt finger dissection did not suggest tracking along the fascia, and no fluid was encountered. During this time, the patient lost pulses, and chest compressions were started. She was found to be in pulseless electrical activity but developed a return of spontaneous circulation after two minutes of resuscitative efforts. After stabilization and discussion, we believed that source control was imperative; therefore, further exploration was performed with debridement of necrotic the pectoralis minor muscle. Upon completion of the surgery, the patient was returned to the ICU for further resuscitation. Her antibiotic regimen was expanded to include clindamycin for its toxin-binding effect and intravenous immunoglobulin therapy due to growing concerns of toxic shock syndrome.

Plans were made for a second-look surgery twelve hours later; however, within hours, she decompensated and was returned to the operating room for further debridement. A second incision was made just inferior to the clavicle and extended onto the right shoulder. Nonviable platysma and pectoralis muscles were debrided as well as necrotic axillary contents. The orthopedics team evaluated the shoulder joint intraoperatively, which was not involved. Plastic surgery was consulted intraoperatively as there was discussion regarding whether extensive debridement of the overlying breast tissue and skin was warranted. The lateral chest incision was extended along the inframammary fold to allow wide exposure. The overlying breast tissue, fat, and skin appeared viable with healthy bleeding. The patient had stabilized, so it was decided to leave this tissue intact as this would cause significant morbidity to the patient. Pathology of the debrided tissue demonstrated skeletal muscle and adipose tissue with suppurative inflammation and necrosis. Gram-positive cocci were identified without fungal elements. Intraoperative cultures demonstrated group A Streptococcus pyogenes, and antibiotics were narrowed to clindamycin and penicillin with continued intravenous immunoglobulin therapy.

Figure 2. Postdebridement View of the Inframammary (A) and Infraclavicular Sites (B). Published with Permission

Over the next several days, she improved dramatically and was weaned off vasopressor support and extubated. Five days after initial admission, blood cultures demonstrated no growth and had negative gram staining; urine culture was also negative. During this period, she returned to the operating room every few days for continued washouts. The right pectoralis minor muscle, the majority of the pectoralis major and platysma muscles, and the entire axillary lymph node basin were debrided. The incisions were progressively closed via negative pressure wound therapy and interlaced vessel loops to minimize loss of domain. Given the extensive axillary lymph node necrosis, there was a concern for the possible development of lymphatic leak. Several drains were placed before definitive wound closure, which was obtained during the eighth operative trip, and incisional negative pressure dressing was obtained during the eighth operative trip utilized. She was discharged on hospital day 15 with continued outpatient intravenous antibiotics via peripherally inserted central catheter (PICC) line and follow-up. She did develop small dehiscence of her chest incision laterally, leading to persistent subcutaneous emphysema. Imaging was obtained to rule out other sources such as bronchopulmonary fistula, and she was taken to the operating room under sedation for re-closure. The etiology of her dehiscence was unclear, and her scar widening along the shoulder was suggestive of movement leading to the dehiscence. She ultimately obtained complete primary wound closure and is undergoing occupational therapy for right upper extremity lymphedema. She is currently undergoing reconstruction to correct breast asymmetry and most recently underwent tissue expander placement. Overall, this patient survived a potentially lethal infection, and we were able to minimize significant morbidity through aggressive but judicious debridement of skin and breast tissues. Excessive debridement of skin and loss of her right breast would have required skin grafting and resulted in complicated reconstruction.

Figure 3. Six Months Postoperative Results. Published with Permission

Discussion

Necrotizing myositis caused by group A Streptococcus species is an exceedingly rare subset of necrotizing soft tissue infections with an estimated incidence of 0.22 to 0.60 per 100,000.2 There has been a steady increase in the reported cases of group A beta-hemolytic streptococcal soft tissue infections over the past several decades,3 which has been attributed to the increased prevalence of M serotypes,4 associated with the M protein. This virulence factor allows the pathogen to avoid the alternative complement pathway and opsonization by the adaptive immune response. Very few, however, have had muscular involvement, with less than 30 cases reported over the past century.5

This case is also unique because of the location involved. Necrotizing fasciitis of the trunk is uncommon, with only 28 reported cases of chest wall involvement in the English language literature since 1973.6 While there are few recent epidemiologic studies, conventional wisdom holds that a greater preponderance of cases involve the lower extremities and less so with more cephalad structures. A 2003 cohort study of 89 patients confirms this teaching, finding truncal infections comprising 20.2 percent of all necrotizing fasciitis at a single institution,7 which appears consistent with another multicenter retrospective study.8

Mortality associated with group A streptococcal soft tissue infection has been reported to be as high as 48‒78 percent3 and higher reported rates with muscular involvement (70‒100 percent).4 Worse prognosis with associated myositis has been attributed to a delay in diagnosis, as the presentation is generally vague and nonspecific. In addition, there may not be a clearly identifiable portal of entry. Blunt trauma is thought to cause transient bacteremia that may become pathologic.3,9 In contrast, others have proposed hematogenous spread from the pharynx as an etiology.4,9 Our patient was noted to have a remote history of tattooing on the ipsilateral shoulder weeks before her presentation with a nonspecific ‘reaction’ and blistering, which may have seeded the axillary basin. An alternative explanation comes from a later finding of Proprionobacter acnes in the cultures, suggesting an odontogenic source via hematogenous spread, although no obvious source could be identified.

Management of necrotizing myositis should be in keeping with treatment of other necrotizing soft tissue infections, with few exceptions. The mainstay of therapy involves antibiotics, fluid resuscitation, and aggressive surgical debridement to achieve source control. This specific entity involves mostly muscle; often, overlying tissue can and should be preserved if possible. There is a delicate balance between inadequate debridement and the removal of healthy tissue. This should be weighed carefully in each case, and frequent explorations performed to minimize morbidity while obtaining source control which is imperative.

The patient was immediately started on broad-spectrum antibiotics, which were narrowed based on speciation and sensitivities to penicillin G and clindamycin. Although penicillin is usually sufficient to resolve streptococcal infections, data have suggested greater penetration for invasive infections with the addition of clindamycin.1012

Our patient underwent a three-day course without noted detriment. In addition to the antibiotic regimen, we employed intravenous immunoglobulin as adjunctive therapy for her presentation of streptococcal toxic shock syndrome. Some of the earliest case reports dating back nearly 30 years reported improved clinical outcomes with the co-administration of IV immunoglobulin in streptococcal shock syndrome from an invasive infection.3 Its mechanism in streptococcal toxic shock syndrome involves opsonization and improved phagocytic activity, direct toxin neutralization, and general anti-inflammatory effects mediated through Fc receptor interaction or soluble immune components.13 Subsequent small prospective studies and more extensive retrospective studies demonstrated either no differences in mortality compared to debridement and antibiotics alone14 or improved survivability11 when combined with clindamycin.

In summary, group A streptococcal necrotizing myositis is a life-threatening infection that requires supportive care, antibiotic therapy, and aggressive surgical debridement. Preservation of the overlying skin and subcutaneous tissues can be performed without compromising patient safety, provided close interval surgical exploration is performed to ensure that adequate source control is achieved. Maintaining a high index of suspicion will likely result in earlier diagnosis and improved outcomes as it did in our patient.

Conclusion

Necrotizing streptococcal myositis is uncommon and can rapidly descend into fulminant toxic shock syndrome requiring prompt surgical management partnered with critical care. Given its rarity and high mortality rate, we report successful management of this lethal pathology while preserving viable tissue and minimizing morbidity.

Lessons Learned

A high index of suspicion must always be maintained in any case of skin and soft tissue infection. Vigilance and repeated debridement allows for adequate clearance of infection and may preserve the overlying skin and soft tissues, thus minimizing morbidity.

Authors

Huang JEa; Russell DMb; Condon FJb; Carlson TLb; Kellicut DCb; Park CWb

Author Affiliations

  1. Department of Surgery, Carolinas Medical Center, United States Army, Charlotte, NC 28203
  2. Tripler Army Medical Center, United States Army, Honolulu, HI 96859

Corresponding Author

James E. Huang, Maj.
Department of Surgery
Carolinas Medical Center
1000 Blythe Boulevard
Charlotte, NC 28203
E-mail: james.e.huang.mil@mail.mil

Disclosure Statement

The authors have no conflicts of interest to disclose.

Funding/Support

The authors have no financial relationships or in-kind support to disclose.

Received: February 2, 2020
Revision Received: January 22, 2021
Accepted for Publication: February 16, 2021

Medical Disclaimer

The views expressed in this abstract/manuscript are those of the author(s) and do not reflect the official policy or position of the Department of the Army, Department of Defense, or the United States government.

References

  1. Childers BJ, Potyondy LD, Nachreiner R, et al. Necrotizing fasciitis: a fourteen-year retrospective study of 163 consecutive patients. Am Surg. 2002;68(2):109-116.
  2. Luca-Harari B, Darenberg J, Neal S, et al. Clinical and microbiological characteristics of severe Streptococcus pyogenes disease in Europe. J Clin Microbiol. 2009;47(4):1155-1165. doi:10.1128/JCM.02155-08
  3. Haywood CT, McGeer A, Low DE. Clinical experience with 20 cases of group A streptococcus necrotizing fasciitis and myonecrosis: 1995 to 1997. Plast Reconstr Surg. 1999;103(6):1567-1573. doi:10.1097/00006534-199905060-00003
  4. Reichert JC, Habild G, Simon P, Nöth U, Krümpelmann JB. Necrotizing streptococcal myositis of the upper extremity: a case report. BMC Res Notes. 2017;10(1):407. Published 2017 Aug 15. doi:10.1186/s13104-017-2743-1
  5. Hasenboehler EA, McNair PJ, Rowland EB, Burch JM. Necrotizing streptococcal myositis of an extremity: a rare case report. J Orthop Trauma. 2011;25(3):e23-e26. doi:10.1097/BOT.0b013e3181e47fc9
  6. Seyhan T, Ertas NM, Borman H. Necrotizing fasciitis of the chest wall with a retropharyngeal abscess: case report and literature review. Ann Plast Surg. 2008;61(5):544-548. doi:10.1097/SAP.0b013e31816d81ff
  7. Wong CH, Chang HC, Pasupathy S, Khin LW, Tan JL, Low CO. Necrotizing fasciitis: clinical presentation, microbiology, and determinants of mortality. J Bone Joint Surg Am. 2003;85(8):1454-1460.
  8. Dworkin MS, Westercamp MD, Park L, McIntyre A. The epidemiology of necrotizing fasciitis including factors associated with death and amputation. Epidemiol Infect. 2009;137(11):1609-1614. doi:10.1017/S0950268809002532
  9. Adams EM, Gudmundsson S, Yocum DE, Haselby RC, Craig WA, Sundstrom WR. Streptococcal myositis. Arch Intern Med. 1985;145(6):1020-1023.
  10. Plainvert C, Doloy A, Loubinoux J, et al. Invasive group A streptococcal infections in adults, France (2006-2010). Clin Microbiol Infect. 2012;18(7):702-710. doi:10.1111/j.1469-0691.2011.03624.x
  11. Carapetis JR, Jacoby P, Carville K, Ang SJ, Curtis N, Andrews R. Effectiveness of clindamycin and intravenous immunoglobulin, and risk of disease in contacts, in invasive group a streptococcal infections. Clin Infect Dis. 2014;59(3):358-365. doi:10.1093/cid/ciu304
  12. Kadri SS, Swihart BJ, Bonne SL, et al. Impact of intravenous immunoglobulin on survival in necrotizing fasciitis with vasopressor-dependent shock: a propensity score-matched analysis from 130 US hospitals. Clin Infect Dis. 2017;64(7):877-885. doi:10.1093/cid/ciw871
  13. Linnér A, Darenberg J, Sjölin J, Henriques-Normark B, Norrby-Teglund A. Clinical efficacy of polyspecific intravenous immunoglobulin therapy in patients with streptococcal toxic shock syndrome: a comparative observational study. Clin Infect Dis. 2014;59(6):851-857. doi:10.1093/cid/ciu449
  14. Kadri SS, Swihart BJ, Bonne SL, et al. Impact of intravenous immunoglobulin on survival in necrotizing fasciitis with vasopressor-dependent shock: a propensity score-matched analysis from 130 US hospitals. Clin Infect Dis. 2017;64(7):877-885. doi:10.1093/cid/ciw871