Unsupported Browser
The American College of Surgeons website is not compatible with Internet Explorer 11, IE 11. For the best experience please update your browser.
Menu
Become a member and receive career-enhancing benefits

Our top priority is providing value to members. Your Member Services team is here to ensure you maximize your ACS member benefits, participate in College activities, and engage with your ACS colleagues. It's all here.

Become a Member
Become a member and receive career-enhancing benefits

Our top priority is providing value to members. Your Member Services team is here to ensure you maximize your ACS member benefits, participate in College activities, and engage with your ACS colleagues. It's all here.

Become a Member
ACS
Case Reviews in Surgery

Diagnosis and Management of Vulvar Malignant Melanoma: An Uncommon and Aggressive Mucosal Melanoma

January 11, 2022

Abstract

Background

Mucosal melanoma may occur in the lining of the respiratory tract, urogenital tract, and gastrointestinal tract. Primary malignant vulvar and vaginal melanoma are mucosal melanoma that accounts for less than two percent of melanoma in women. It is an uncommon aggressive malignancy with an unclear etiology, as the disease occurs in areas that are not exposed to ultraviolet rays. We present a case report focusing on the surgical management of a patient with primary vulvar melanoma.

Summary

A 39-year-old woman was found to have an asymptomatic pigmented lesion at the border of her hair-bearing and glabrous left labia majora during her annual well-woman exam. A shave biopsy of the lesion revealed invasive malignant melanoma, confirmed on pathologic review at our institution. Given the Breslow depth and lack of ulceration, no additional imaging workup or sentinel lymph node biopsy was indicated. The patient underwent wide local excision of the melanoma biopsy site with 1 cm margins. No residual melanoma was identified on microscopic examination of the resection. Every three months, the patient receives postoperative surveillance skin and nodal exams with her dermatologist and the surgical oncology service.

Conclusion

Vulvar malignant melanoma is an uncommon aggressive disease with high rates of recurrence. Surgery is the primary treatment that involves wide local excision with 1 cm margins. Surveillance consists of physical exams every 3–4 months for the first two years after diagnosis and biannually in the third through fifth years. However, long-term recommendations are needed in the field as recurrence after five years is very common.

Key Words

vulvar melanoma; mucosal melanoma


Case Description

A 39-year-old woman was found to have an asymptomatic pigmented lesion at the border of her hair-bearing and glabrous left labia majora during her annual well-woman exam. She had no gynecological complaints and denied any sun exposure to the area. The patient also denied any personal history of melanoma but noted a family history of melanoma in her father, reportedly in his 50's that was cured with wide local excision (WLE). She underwent a shave biopsy of the lesion by her dermatologist, which revealed a malignant melanoma: Breslow thickness 0.35 mm, positive deep margin, no ulceration but with focal regression, less than 1 mitosis/mm2, radial and vertical growth present, and no satellitosis. The patient was referred to the surgical oncology service for further management.

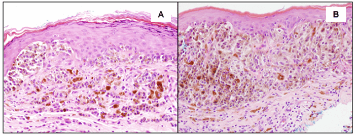
On physical examination, the patient was a dark-haired, dark-eyed woman with multiple benign-appearing nevi. She did not have any palpable inguinal lymphadenopathy. Her left labia majora mucosa revealed a healed biopsy site without residual pigmentation. Given the positive deep margin as interpreted by the outside dermatopathologist, we performed a 4 mm punch biopsy, which was negative for any residual tumor. A subsequent review of her original shave biopsy at our institution was interpreted as invasive malignant melanoma, superficial spreading type with mainly radial growth phase and focal vertical growth, Breslow thickness 0.35 mm, Clark level II, no associated ulceration, no lymphovascular or perineural invasion, mitoses less than 1 per mm2, peripheral margins focally involved by melanoma, and deep margin negative (Figure). Additionally, her lactate dehydrogenase level, CBC, liver function tests, and chest X-ray were unremarkable. Given the Breslow depth of the patient's melanoma, she did not require any further imaging workup or sentinel lymph node biopsy for staging.

Figure. Microscopic Images of the Excised Vulvar Melanoma. Published with Permission

A) Confluent proliferation of atypical melanocytic cells along the base of the epidermis, a very minor superficial dermal component (towards the right), and numerous heavily pigmented melanophages (histiocytes) in the superficial dermis—magnification at 200x, H and E stain; B) Marked confluent proliferation of atypical melanocytes arranged in nests along the dermal/epidermal junction, many with intracytoplasmic melanin pigment—magnification at 200x, H and E stain

The patient was taken to the operating room for wide local excision of the melanoma biopsy site with 1 cm margins. This included an elliptical incision that was deepened down through the subcutaneous tissues to the level of the fascia. Once the specimen was removed, we raised small flaps to allow primary closure. The wound was closed with vertical mattress 3-0 Vicryl sutures. We elected to use Vicryl instead of Chromic sutures for patient comfort and to avoid suture removal in the clinic. No residual melanoma was identified on microscopic examination. The patient's recovery was uneventful, with excellent wound healing.

Discussion

Vulvovaginal malignant melanoma is an uncommon aggressive disease with a high rate of recurrence. In the United States, 1059 vulvar melanomas were diagnosed in a 30-year period (Surveillance, Epidemiology, and End Result Database 1973-2010).4,5 Postmenopausal women have the highest incidence with an average age of diagnosis at 61.6 years.3,5,6 The etiology for vulvovaginal melanoma is unknown. There have been reports of melanocytes found in the basal layer of the vaginal epithelium in healthy women, which is an embryological remnant of neural crest cells.4,7 Aberrantly located melanocytes from the vaginal epithelium are thought to be the cause of primary vaginal melanoma. Although there is no clear association with ultraviolet exposure, vulvar melanoma is more common in Caucasian women.1,57 Patients commonly present with a vulvar lump or mass and bleeding, pain, or itching.3,57 Melanomas occur slightly more frequently on the labia majora than labia minora. Patients can be asymptomatic, and lesions can be amelanotic, resulting in delayed presentation. Advanced age, increased Breslow thickness, and presence of lymphadenopathy affect overall survival.3,5

Diagnosis is confirmed by a full-thickness excisional biopsy of the entire lesion.1 If the entire lesion cannot be removed due to surrounding vital structures, an incisional biopsy can be an alternative. Immunohistochemical staining with HMB-45, S-100, Melan-A, and MART-1 can help to differentiate melanoma from other pigmented vulvar lesions.1,5,6 Clinical workup is similar to cutaneous melanoma with imaging indicated for stage IIIB or higher disease1, although Leitao et al.6 suggest pelvic imaging for all cases due to the disease's aggressive nature. Breslow thickness and AJCC staging are predictive of disease survival and recurrence; however, there is no consensus on a staging system for vulvar melanoma.5,7,8 The most recent AJCC staging guidelines include vulvar melanomas with cutaneous melanomas and not as vulvar cancers (squamous cell carcinoma).9

Surgical treatment of vulvar melanoma is WLE with negative margins.57 There is no survival benefit between WLE and radical vulvectomy. There is no clear consensus on recurrence rates.6,7,10 Data on optimal surgical margin for vulvar melanoma is also lacking, with current guidelines similar to cutaneous melanoma. Irvin et al. 7 determined that a margin wider than 2 cm did not improve survival. Evidence on the benefit of sentinel lymph node biopsy in vulvar melanoma is likewise scarce. The current indication for sentinel lymph node biopsy coincides with cutaneous melanoma, although the clinical benefit of completion lymphadenectomy after a positive sentinel lymph node biopsy is unknown.6

Neoadjuvant chemotherapy and radiation have been studied to decrease tumor bulk prior to surgical resection. Adjuvant radiation is used to control local disease for positive margins and lymph nodes.6,7 Systemic therapy for an unresectable disease should include molecular testing to direct immunotherapy and targeted therapy, specifically analyses of c-KIT, BRAF, and NRAS mutations.1,5,6 The reported 5-year survival rate of vulvar melanoma ranges from 10 to 63 percent.5,8 In a cohort study of 51 patients with vulvar melanoma, 32 patients recurred with 58 percent locoregional, 28 percent at distant sites, and 19 percent at both local and distant sites.11 Average time to local recurrence is 5.25 years.1 Older patients have an increased risk of recurrence.

Our unique case emphasizes the importance of early diagnosis of vulvar melanoma, given that the patient's melanoma was identified at an early stage and occurred at a much younger age than is typical. Delayed diagnosis contributes to poor survival and poor quality of life. Surgery is the primary treatment, and our patient was able to undergo WLE with 1 cm margins without radical resection of major anatomical structures. Close surveillance is indicated due to the high recurrence rate of vulvar melanoma, even with early-stage disease. Since there is no research or consensus on an appropriate follow-up schedule, the regimen for vulvar invasive squamous cell carcinoma has been adopted for vulvar melanoma. This surveillance schedule consists of physical examinations every 3–4 months for the first two years after diagnosis and biannually in the third through fifth years. Long-term follow-up recommendations are desperately needed in the field as recurrences after five years are unfortunately prevalent.

Conclusion

Vulvar malignant melanoma is an uncommon and aggressive disease with high rates of recurrence. Surgery is the primary treatment: WLE with 1 cm margins. Surveillance consists of physical examinations every 3–4 months for the first two years after diagnosis and biannually in the third through fifth years. However, long-term recommendations are needed in the field as recurrence after five years is frequent.

Lessons Learned

Early diagnosis in vulvar melanoma improves survival. Breslow thickness and AJCC staging, adapted from cutaneous melanoma, are predictive of survival and recurrence, but there is no consensus on a staging system. Surgery is the primary treatment, and indications for sentinel lymph node biopsy follow those of cutaneous melanoma. Recommendations for long-term surveillance are urgently needed.

Authors

Chen Ca; Schwartz MRb; Holder AMa

Author Affiliations

  1. Department of Surgery, Houston Methodist Hospital, Houston, TX 77030
  2. Department of Pathology and Genomic Medicine, Houston Methodist Hospital, Houston, TX 77030

Corresponding Author

Ashley M. Holder, MD, FACS
Division of Surgical Oncology
University of Alabam at Birmingham
1808 7th Avenue South, BDB 571
Birmingham, AL 35294
E-mail: amholder@uab.edu

Disclosure Statement

The authors have no conflicts of interest to disclose.

Funding/Support

The authors have no financial relationships or in-kind support to disclose.

Received: July 18, 2020
Accepted for Publication: September 17, 2020

References

  1. Kalampokas E, Kalampokas T, Damaskos C. Primary vaginal melanoma, a rare and aggressive entity. A case report and review of the literature. In Vivo. 2017;31(1):133-139. doi:10.21873/invivo.11036
  2. Lerner BA, Stewart LA, Horowitz DP, Carvajal RD. Mucosal melanoma: new insights and therapeutic options for a unique and aggressive disease. Oncology (Williston Park). 2017;31(11):e23-e32. Published 2017 Nov 15.
  3. Mihajlovic M, Vlajkovic S, Jovanovic P, Stefanovic V. Primary mucosal melanomas: a comprehensive review. Int J Clin Exp Pathol. 2012;5(8):739-753.
  4. Sanchez A, Rodríguez D, Allard CB, et al. Primary genitourinary melanoma: Epidemiology and disease-specific survival in a large population-based cohort. Urol Oncol. 2016;34(4):. doi:10.1016/j.urolonc.2015.11.009
  5. Boer FL, Ten Eikelder MLG, Kapiteijn EH, Creutzberg CL, Galaal K, van Poelgeest MIE. Vulvar malignant melanoma: Pathogenesis, clinical behaviour and management: Review of the literature. Cancer Treat Rev. 2019;73:91-103. doi:10.1016/j.ctrv.2018.12.005
  6. Leitao MM Jr, Cheng X, Hamilton AL, et al. Gynecologic Cancer InterGroup (GCIG) consensus review for vulvovaginal melanomas. Int J Gynecol Cancer. 2014;24(9 Suppl 3):S117-S122. doi:10.1097/IGC.0000000000000198
  7. Irvin WP Jr, Bliss SA, Rice LW, Taylor PT Jr, Andersen WA. Malignant melanoma of the vagina and locoregional control: radical surgery revisited. Gynecol Oncol. 1998;71(3):476-480. doi:10.1006/gyno.1998.5188
  8. Trimble EL, Lewis JL Jr, Williams LL, et al. Management of vulvar melanoma. Gynecol Oncol. 1992;45(3):254-258. doi:10.1016/0090-8258(92)90300-8
  9. Gershenwald JE, Scolyer RA. Melanoma staging: American Joint Committee on Cancer (AJCC) 8th edition and beyond [published correction appears in Ann Surg Oncol. 2018 Dec;25(Suppl 3):993-994]. Ann Surg Oncol. 2018;25(8):2105-2110. doi:10.1245/s10434-018-6513-7
  10. Ragnarsson-Olding BK. Primary malignant melanoma of the vulva--an aggressive tumor for modeling the genesis of non-UV light-associated melanomas. Acta Oncol. 2004;43(5):421-435. doi:10.1080/02841860410031372
  11. Verschraegen CF, Benjapibal M, Supakarapongkul W, et al. Vulvar melanoma at the M. D. Anderson Cancer Center: 25 years later. Int J Gynecol Cancer. 2001;11(5):359-364. doi:10.1046/j.1525-1438.2001.01043.x