Unsupported Browser
The American College of Surgeons website is not compatible with Internet Explorer 11, IE 11. For the best experience please update your browser.
Menu
Become a member and receive career-enhancing benefits

Our top priority is providing value to members. Your Member Services team is here to ensure you maximize your ACS member benefits, participate in College activities, and engage with your ACS colleagues. It's all here.

Become a Member
Become a member and receive career-enhancing benefits

Our top priority is providing value to members. Your Member Services team is here to ensure you maximize your ACS member benefits, participate in College activities, and engage with your ACS colleagues. It's all here.

Become a Member
ACS
Case Reviews in Surgery

A Rare Presentation of Breast Cancer Metastasis to the Anus

January 11, 2022

Abstract

Background

A 35-year-old Caucasian female with a history of stage IV invasive ductal carcinoma of the breast diagnosed at age 30 presented with rectal pain initially diagnosed as an external hemorrhoid.

Summary

The patient had been treated for breast cancer with subsequent brain, spine, lung, and bone metastases. Five years after the initial diagnosis, she was referred for thrombosis of an external hemorrhoid from the emergency department. Biopsy revealed this to be metastatic breast cancer. She continued treatment with hormonal therapy and did not suffer complications from the biopsy. Post-biopsy survival time was two months. This case is consistent with the understanding that gastrointestinal metastases from breast cancer portend a poor prognosis.

Conclusions

Patients with advanced breast cancer have may also present with metastases to the anus. Although lobular carcinoma is more likely to metastasize to the GI tract, ductal carcinoma, as evidenced by this case, also has this metastatic potential. Acute presentation with pain does not rule out the diagnosis. A thorough knowledge of patient history remains important when treating patients, including anal pathology. Surgeons should have a low threshold for excision/biopsy and pathologic confirmation in patients with interval development of anal pathology and history of malignancy, including breast. This represents the first case report of ductal carcinoma with metastasis to the anal margin initially misdiagnosed as a thrombosed external hemorrhoid.

Key Words

breast cancer metastasis; invasive ductal carcinoma; external hemorrhoid; anal margin


Case Description

A 35 -year-old Caucasian female with a history of stage IV breast cancer reported one week of severe rectal discomfort with a "lump" of similar duration to her oncologist. She then presented to the emergency department and was diagnosed with a thrombosed external hemorrhoid. She was referred to a colorectal surgeon.

Figure 1. A Preoperative View of Anal Mass. Published with Permission

The patient's history included a breast cancer diagnosis at age 30 during the second trimester of her third pregnancy. During the pregnancy, she underwent a right modified radical mastectomy. The final pathology report showed a poorly differentiated invasive ductal cancer, pT2N1M0 ER 20%/PR16% HER2/neu negative, with one out of seventeen nodes positive for carcinoma. Genetic testing was negative for BRCA 1-2. Postpartum, she completed adjuvant chemotherapy with 5-fluorouracil, doxorubicin, and cyclophosphamide (FAC) regimen and postmastectomy radiation therapy followed by weekly paclitaxel. Two years later, she was found to have a single metastatic lesion of the left upper lung and underwent left upper lobectomy with pathology showing a poorly differentiated carcinoma similar to her primary breast cancer. One year later, she was diagnosed with liver and bone metastases despite continued chemotherapy. She underwent radiation therapy for both spine and brain metastases.

In the surgeon's office, the patient presented with continued rectal pain. She was afebrile with stable vital signs. One month prior, she visited the emergency department for constipation caused by extreme rectal pain and pressure. At that time, she was diagnosed with an impaction and external hemorrhoid. She was treated with an enema and released. Based on clinical presentation and appearance, she was again diagnosed with a thrombosed external hemorrhoid in the surgeon's office (Figure 1). The lesion was pale blue, located in the left lateral quadrant; it was approximately 3 cm × 3 cm in size and exquisitely tender. The patient was offered conservative therapy or immediate surgery per typical protocols to manage a thrombosed external hemorrhoid. The patient opted for surgical excision in the office. An elliptical incision was made, and immediately the surgeon realized this was not a simple thrombosed external hemorrhoid based on the "gritty texture" of the lesion. The patient was then taken for an exam under anesthesia. At the time of surgery, the underlying mass was found to be 2 cm × 2 cm. It had multiple finger-like extensions into the ischiorectal space and external sphincter. Upon further exploration, an additional 2 cm × 2 cm mass lateral to the initial excision and deep to the subcutaneous tissue was seen. This was left in place to avoid making a significantly larger wound with no perceived surgical benefit. A digital rectal exam identified two more submucosal masses, which were immobile and again not removed. The final pathology report showed this mass as an adenocarcinoma morphologically similar to her breast cancer (Figure 2). The anal biopsy immunophenotypic findings: ER 0%, PR 0%, and HER-2/neu negative are consistent with breast primary.

Figure 2. Final Pathology Report Showing Adenocarcinoma Morphologically Similar To Patient’s Breast Cancer Published with Permission

A) Original invasive ductal breast biopsy; B) Anal mass biopsy showing adenocarcinoma morphologically similar to patient's breast cancer

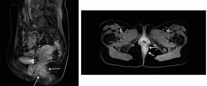
The patient was discharged two days later. and continued to receive systemic chemotherapy with doxorubicin. During her course, an MRI was obtained (Figure 3) to assess the lesion further, showing tumor involvement of the external sphincter and invasion of the ischiorectal space. Two months later, she died peacefully in her sleep.

Figure 3. MRI Performed One Month after Surgery Showing Tumor Involvement of External Sphincter and Invasion of Ischiorectal Space. Published with Permission

Discussion

Despite the recent advances in genetics, chemotherapy, radiation therapy, and surgery, there were approximately 42,260 deaths from breast cancer in 2019.1,2 The majority of patients will die from metastases. The two most common types of breast cancer, invasive ductal carcinoma (70‒80 percent) and lobular (10‒15 percent), have different routes of metastases.3,4 Ductal carcinoma more typically metastasizes to the brain, lung, and liver, whereas lobular carcinoma more commonly metastasizes to the bones and less commonly to the gastrointestinal (GI) tract.5 Malignant melanoma is the most common primary to metastasize to the GI tract.6 We are reporting on a recent case of breast metastasis to the anal canal in a young female from an invasive ductal carcinoma masquerading as a thrombosed external hemorrhoid

Metastatic breast cancer to the gastrointestinal tract is rare. In a series of 12,001 patients, McLemore found only 73 patients with metastatic disease to the GI tract, including 23 in a group with GI metastases only and 18 with GI metastases and carcinomatosis. The majority of metastases were infiltrating lobular cancer of the breast. The mean interval between the primary diagnoses and metastatic presentation was seven years. The most common site was the colon and rectum (45 percent), followed by the stomach (28 percent). There were no metastases to the anal canal. The median overall survival after diagnosis was 28 months.7 In contrast to previous studies, Mourra found that in a study of 10,365 patients with colorectal cancer, 35 were found to be metastatic, interestingly the most common being breast cancer followed by melanoma, lung, and sarcoma.8

Anal metastases are most rare. The first reported case was reported by Dawson et al. in 1985 of a 70-year-old with invasive lobular carcinoma breast metastases to the anal canal.9 Since then, there have been seven case reports of anal metastases from metastatic breast carcinoma worldwide; four with lobular cancer and three with invasive ductal carcinoma.916 Only one was treated by extirpation.10 Two were treated with colostomy because of possible obstruction.11,13 The patient who underwent resection was disease-free two years later. None presented as a possible thrombosed external hemorrhoid or an anal margin lesion. Their survival time from diagnosis of the anal metastases ranged from a few months to three years.1015 The survival time for patients with IDC is unknown, but this patient survived three months, which supports the grave prognosis with this finding.15

Table. Reported Cases of Anal Metastasis from Breast Carcinoma


Case

Age (years)

Histology

Interval

Clinical presentation

Therapy

Survival

Dawson et al.9

70

ILC

34 months

Altering bowel habit, constipation, anal discharge

Laparotomy and RT

N/A

Haberstich et al.10

78

IDC

At diagnosis

Painful anal tumefaction and blood loss with stools

Abdominoperineal resection and RT

Disease-free at 22 months follow-up

Nair et al.11

57

IDC

7 years

Alternating bowel habit, crampy lower abdominal pain, increased frequency of bowel movements

Colostomy and RT

N/A

Puglisi et al.12

92

ILC

4 years

Tenesmus and painful anal polypoid lesion

RT and hormonal therapy

3 years

Bochicchio et al.13

72

ILC

4 years

Constipation, tenesmus, fecal incontinence

Hartmann rectal amputation and RT

Few months after RT

Rengifo et al.14

78

IDC

27 months before diagnosis of BC

Rectal bleeding, weight loss, constipation

RT and hormonal therapy

N/A

Ruymbeke et al.15

65

ILC

4 years

stool, intermittent fecal incontinence and tenesmus

Hormonal therapy and chemotherapy

Alive after 15 months

Hasan et al.

35

IDC

5 years

External hemorrhoid, rectal pain and pressure

Chemotherapy, conservative

3 months

Adapted from Ruymbeke et al. with permission from authors

Traditional universal medical school training has taught that every physical examination always includes a rectal exam; however, this may have fallen by the wayside. This lesion was noted but undiagnosed by physicians for at least one month. Had she been diagnosed with an anal metastasis earlier, would that have made a difference in her overall course? In this case, no. Had the surgeon proceeded in treating the lesion as a thrombosed external hemorrhoid, would the patient have been harmed? In this case, yes. Total excision of the lesion without recognizing this as a metastasis would have led to a morbid, painful, non-healing wound at a time when the quality of life is paramount. Misdiagnosis, therefore, can be avoided with appropriate knowledge of patient history and a high index of suspicion.

In cancer patients who are opioid-dependent, hemorrhoids brought on by relentless constipation are far too common. Diagnosis, therefore, requires a high level of suspicion, knowledge of the patient, and a thorough physical exam. When the diagnosis is made, options should be discussed with the patient, understanding that there are limited treatment options versus palliative care. If isolated and limited in size, resection may not lead to morbidity and could be considered. In this case, resection would have created a very morbid wound and was avoided because it was recognized as atypical.

Conclusion

Patients with advanced breast cancer may also present with metastases to the anus. Although lobular carcinoma is more likely to metastasize to the GI tract, ductal carcinoma, as evidenced by this case, also has this metastatic potential. Acute presentation with pain does not rule out the diagnosis. Thorough knowledge of patient history remains important in treating patients with all conditions, including anal pathology. Surgeons should have a low threshold for excision/biopsy and pathologic confirmation in patients with interval development of anal pathology and history of malignancy, including breast. This represents the first case report of ductal carcinoma with metastasis to the anal margin initially misdiagnosed as a thrombosed external hemorrhoid.

Lessons Learned

Appearances may be deceiving when assessing anorectal pathology. A thorough understanding of a patient history remains important. Ductal carcinoma of the breast can metastasize to the anus and present similar to a thrombosed external hemorrhoid. In general, gastrointestinal metastases of breast cancer portend a poor prognosis.

Authors

Hasan SY; Fischer JL; Tsoraides SS; Bonello JP; Mammolito DM

Author Affiliations

Department of Surgery, University of Illinois College of Medicine, Peoria, IL 61603

Corresponding Author

Syeda A. Hasan, MD
Department of Surgery
University of Illinois College of Medicine
624 NE Glen Oak Avenue
Peoria, IL 61603
Phone: (630) 242-0091
E-mail: hasan7@uic.edu

Disclosure Statement

The authors have no conflicts of interest to disclose.

Funding/Support

The authors have no financial relationships or in-kind support to disclose.

Received: July 6, 2019
Revision Received: May 17, 2020
Accepted for Publication: October 29, 2020

References

  1. DeSantis CE, Ma J, Goding Sauer A, Newman LA, Jemal A. Breast cancer statistics, 2017, racial disparity in mortality by state. CA Cancer J Clin. 2017;67(6):439-448. doi:10.3322/caac.21412
  2. Siegel RL, Miller KD, Jemal A. Cancer statistics, 2019. CA Cancer J Clin. 2019;69(1):7-34. doi:10.3322/caac.21551
  3. Li CI, Anderson BO, Daling JR, Moe RE. Trends in incidence rates of invasive lobular and ductal breast carcinoma. JAMA. 2003;289(11):1421-1424. doi:10.1001/jama.289.11.1421
  4. Li CI, Uribe DJ, Daling JR. Clinical characteristics of different histologic types of breast cancer. Br J Cancer. 2005;93(9):1046-1052. doi:10.1038/sj.bjc.6602787
  5. Mathew A, Rajagopal PS, Villgran V, et al. Distinct pattern of metastases in patients with invasive lobular carcinoma of the breast. Geburtshilfe Frauenheilkd. 2017;77(6):660-666. doi:10.1055/s-0043-109374
  6. Jain S, Fisher C, Smith P, Millis RR, Rubens RD. Patterns of metastatic breast cancer in relation to histological type. Eur J Cancer. 1993;29A(15):2155-2157. doi:10.1016/0959-8049(93)90053-i
  7. McLemore EC, Pockaj BA, Reynolds C, et al. Breast cancer: presentation and intervention in women with gastrointestinal metastasis and carcinomatosis. Ann Surg Oncol. 2005;12(11):886-894. doi:10.1245/ASO.2005.03.030
  8. Mourra N, Jouret-Mourin A, Lazure T, et al. Metastatic tumors to the colon and rectum: a multi-institutional study. Arch Pathol Lab Med. 2012;136(11):1397-1401. doi:10.5858/arpa.2011-0432-OA
  9. Dawson PM, Hershman MJ, Wood CB. Metastatic carcinoma of the breast in the anal canal. Postgrad Med J. 1985;61(722):1081. doi:10.1136/pgmj.61.722.1081
  10. Haberstich R, Tuech JJ, Wilt M, Rodier JF. Anal localization as first manifestation of metastatic ductal breast carcinoma. Tech Coloproctol. 2005;9(3):237-238. doi:10.1007/s10151-005-0235-0
  11. Nair M, Fafemi O. Anorectal metastasis from breast carcinoma: a case report with literature review. Internet J Oncol. 2007;5(2).
  12. Puglisi M, Varaldo E, Assalino M, Ansaldo G, Torre G, Borgonovo G. Anal metastasis from recurrent breast lobular carcinoma: a case report. World J Gastroenterol. 2009;15(11):1388-1390. doi:10.3748/wjg.15.1388
  13. Bochicchio A, Tartarone A, Ignomirelli O, et al. Anal metastasis from breast cancer: a case report and review of the literature. Future Oncol. 2012;8(3):333-336. doi:10.2217/fon.12.9
  14. Rengifo C, Titi S, Walls J. Anal metastasis as the sentinel and isolated presentation of invasive ductal breast carcinoma. Ann R Coll Surg Engl. 2016;98(5):e68-e70. doi:10.1308/rcsann.2016.0108
  15. Ruymbeke H, Harlet L, Stragier B, Steenkiste E, Ryckx M, Marolleau F. Anorectal metastasis from breast carcinoma: a case report and review of the literature. BMC Res Notes. 2018;11(1):268. Published 2018 May 2. doi:10.1186/s13104-018-3356-z