Unsupported Browser
The American College of Surgeons website is not compatible with Internet Explorer 11, IE 11. For the best experience please update your browser.
Menu
Become a member and receive career-enhancing benefits

Our top priority is providing value to members. Your Member Services team is here to ensure you maximize your ACS member benefits, participate in College activities, and engage with your ACS colleagues. It's all here.

Become a Member
Become a member and receive career-enhancing benefits

Our top priority is providing value to members. Your Member Services team is here to ensure you maximize your ACS member benefits, participate in College activities, and engage with your ACS colleagues. It's all here.

Become a Member
ACS
Case Reviews in Surgery

Posterior Rectus Sheath Hernia

January 11, 2022

Abstract

Background

An 89-year-old female with a past surgical history of an open cholecystectomy via Kocher incision presented with an asymptomatic posterior rectus sheath hernia.

Summary

In this particular case, a patient presented with abdominal pain and constipation symptoms, which she was controlling with milk of magnesia. A CT of the abdomen and pelvis demonstrated a large fascial defect of the posterior rectus sheath in the right upper quadrant with incarcerated colon, without disrupting the overlying right rectus muscle or the anterior rectus sheath. After confirming the diagnosis on a CT scan, the patient underwent a laparoscopic surgical intervention, finally providing symptomatic relief. Posterior rectus sheath hernias are rare and poorly understood. Only ten cases have been documented in literature since 1937, with the largest reported case measuring 6 cm in the transverse diameter.4 They are located between the posterior rectus sheath and the rectus muscle and can be diagnosed with the help of a CT scan. If left untreated, they can result in small bowel obstruction,3 sometimes even requiring surgical intervention.

Conclusion

We report the case of an 89-year-old female with a prior history of cholecystectomy via Kocher incision, who presented with an extensive history of abdominal pain and constipation. CT scan confirmed a posterior rectus sheath hernia that was successfully laparoscopically repaired with mesh, rather than a primary closure technique that has been used and documented in the past.

Key Words

hernia; posterior rectus sheath; surgery; laparoscopy


Case Description

An 89-year-old female with a past surgical history of an open cholecystectomy via Kocher incision among other abdominal surgeries presented to the surgical clinic complaining of intermittent daily "pins and needles" abdominal pain in the left lower quadrant (LLQ) with radiation to the left upper quadrant (LUQ), not associated with any particular trigger. She also complained of an extensive history of constipation, managed with milk of magnesia. A CT of the abdomen and pelvis demonstrated a large fascial defect of the posterior rectus sheath in the right upper quadrant (RUQ), without disruption of the overlying right rectus muscle or the anterior rectus sheath. The hernia contained a nonobstructed loop of colon. In addition, two subcentimeter fascial defects were seen in the midline epigastrium (Figure 1). The patient was noted to have a RUQ bulge adjacent to her previous Kocher incision on physical exam. Diagnosis was made of a 6.2 cm × 5 cm bowel-containing RUQ posterior rectus sheath hernia with intact rectus muscle. After medical optimization, the patient was scheduled for a laparoscopic incisional hernia repair with mesh.

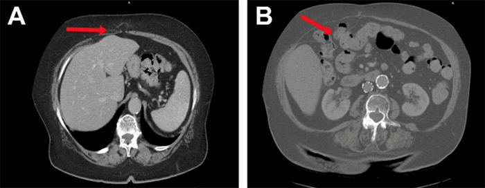
Figure 1. Subcentimeter Fascial Defects Seen in the Midline Epigastrium. Published with Permission

A) Midline upper epigastric 8 mm fascial defect; B) Right upper-quadrant posterior rectus sheath hernia containing colon, along with attenuated/atrophic overlying right rectus abdominis muscle

The operation was performed (Figure 2 and Figure 3) under general anesthesia. A 12 mm port was placed in the LLQ via the Hasson technique. Pneumoperitoneum was insufflated. Under laparoscopic guidance, two additional 5 mm ports were placed in the LUQ: one in the midclavicular line adjacent to the costal margin and the second at the anterior axillary line in the middle of the LUQ. Additional 5 mm ports were placed later in the case to facilitate positioning and fixation of the mesh.

Figure 2. Hernia Operation. Published with Permission

A) Midline epigastric hernia with incarcerated omentum; B) Incarcerated RUQ posterior rectus sheath hernia containing omentum and proximal transverse colon; C) RUQ adhesiolysis; D) Incarcerated omentum and transverse colon completely reduced and devitalized omentum debrided

Figure 3. Hernia Operation. Published with Permission

A) Mesh was placed and then expanded within posterior rectus sheath; B) The mesh was then secured with titanium tacker; C) Completed RUQ hernia repair with complete peritoneal covering of the mesh

By applying traction and sharp dissection, the epigastric midline hernias were easily reduced. Chronically incarcerated omentum and a portion of the proximal transverse colon were noted within the larger RUQ incisional hernia. The peritoneal adhesions around the perimeter of the hernia sac were sharply divided, facilitating reduction of both the omentum and the colon. The reduced colon and omentum were inspected and found to be without any injury or ischemic areas. The posterior rectus sheath defect measured about 5 cm × 7.5 cm. The space noted above the defect was approximately a 15 cm wide diameter circle. No attempt was made to remove the hernia sac.

A 15 cm × 15 cm square of lightweight polypropylene mesh (ProLite™, Atrium Medical Corporation) was trimmed to form a 15 cm × 15 cm circular mesh. The mesh was rolled up and inserted into the abdomen through the 12 mm camera port. Upon insertion, the mesh was unrolled and placed into the defect between the right posterior rectus sheath and the overlying rectus abdominis muscle. It was expanded and secured in this location by tacking the edges to the overlying rectus muscle in a few locations. Overlapping closure of the peritoneum and complete coverage of the mesh was achieved in a “vest over pants” fashion, facilitated by decreasing the insufflation pressure to 5 mmHg.

After repairing the posterior rectus sheath hernia, the two sub-centimeter subxiphoid midline fascial defects were repaired primarily with interrupted nonabsorbable monofilament sutures.

The patient recovered well and was discharged home two days following the surgical hernia repair. The patient was re-evaluated as an outpatient three weeks after surgery. At that time, the patient had no symptoms of nausea, vomiting, fevers, or chills. Her dose of milk of magnesia was tapered post-surgery, but she continued to have daily bowel movements that were normal in caliber, indicating resolution of constipation. She endorsed the resolution of her abdominal pain, and surgical wounds appeared to be healing well. Her port sites were healing well on abdominal exam, and all three of her hernia repairs were intact. At her second post-surgical evaluation, four months after the procedure, the patient showed continued improvement. She had had no further episodes of abdominal pain, and her bowels continued to move regularly without the use of milk of magnesia. In addition to the resolution of her abdominal pain and constipation, she had been able to increase her activity level. Her BMI decreased from 36.38 pre-surgery to 33.98 at four months post-surgery. Another CT scan (Figure 4) of her abdomen and pelvis ordered six months after surgery for unrelated left flank pain showed intact repair of her three hernias and no evidence of bowel obstruction.

Figure 4. CT abdomen from 9/18/2018 Shows Intact RUQ Hernia Repair. Published with Permission

Discussion

The abdominal wall is composed of skin, subcutaneous tissue, superficial fascia, deep fascia, muscle, extraperitoneal fascia, and peritoneum. Understanding these components and their individual strengths is crucial for abdominal wall reconstruction, especially in hernia repair. The superficial fascial layers differ above and below the umbilicus. The rectus sheath encloses the rectus abdominis muscle and is formed by the coalescence of abdominal muscles and fascia. The anterior and posterior rectus sheath both serve to support the rectus muscle.2 The anterior rectus sheath, located above the arcuate line, is composed of the external oblique and a portion of the internal oblique fascia, while the posterior rectus sheath is comprised of the other part of the internal oblique fascia and transversus abdominis muscle. Below the arcuate line, the external and internal oblique muscles fuse to form the anterior layer. In contrast, the posterior layer is reduced to transversalis fascia only, and thus it is the most vulnerable part of the posterior rectus sheath. Despite this, most reported posterior rectus sheath hernias have occurred in the supraumbilical region.1

A posterior rectus sheath hernia is a rare abdominal wall hernia. Some categorize the posterior rectus sheath hernia as an intraparietal hernia, where the hernia sac is located between layers of the abdominal wall.4

The treatment of a posterior rectus sheath is most commonly treated with primary closure being preferred over prosthetic repair since the latter has an increased risk of intestinal strangulation.3 In this case, mesh was used due to the patient's age, apparent frailty, and the atrophic appearance of her right rectus abdominis muscle after prior Kocher incision, but the mesh was placed in an extraperitoneal retrorectus position to minimize the risk of intestinal complications. Additional details regarding primary closure have not been published in prior case reports. In this case, we describe a laparoscopic approach resulting in successful closure of the posterior rectus sheath hernia, in addition to two small subxiphoid midline incisional hernias that were discovered on the preoperative CT scan. The choice of the laparoscopic approach proved additionally beneficial in this elderly patient. An open repair would have required an incision in the already atrophic right rectus abdominis muscle. This would have likely prolonged her hospital stay (for pain control) and her time for a return to full activity (because of the surgical injury to her right rectus abdominal muscle).

Conclusion

We report the case of an 89-year-old female with a prior history of cholecystectomy via Kocher incision and panniculectomy, who presented with an extensive history of abdominal pain and constipation. CT scan confirmed an incarcerated posterior rectus sheath hernia, which was successfully reduced laparoscopically and repaired with mesh rather than with a primary closure technique used and documented in the past.

Lessons Learned

Posterior rectus sheath hernias are rare and most commonly occur superior to the arcuate line. In prior cases, primary closure was the main technique used for repair. In our case, we used a laparoscopic approach to minimize recovery time and pain and avoid injury to the overlying rectus muscle, along with a prosthetic repair to decrease the risk of intestinal strangulation, with the successful recovery of an elderly patient.

Authors

Dukhan A; Shtayyeh T; Gulati RK

Author Affiliations

Department of Surgery, Arnot Ogden Medical Center, Elmira, NY 14905

Corresponding Author

Aleksandra Dukhan, DO
Department of Surgery
Arnot Ogden Medical Center
600 Roe Avenue
Elmira, NY 14905
Phone: (862) 223-9690
E-mail: adukhan79899@med.lecom.edu

Disclosure Statement

The authors have no conflicts of interest to disclose.

Funding/Support

The authors have no financial relationships or in-kind support to disclose.

Received: April 23, 2019;
Accepted for Publication: February 24, 2020

References

  1. Felfel M, El Khoury M, Marboeuf Y, Strohl D, Menu Y. Incarcerated hernia through the posterior rectus sheath. AJR Am J Roentgenol. 2005;185(5):1185-1186. doi:10.2214/AJR.04.0637
  2. Johnson TG, Von SJ, Hope WW. Clinical anatomy of the abdominal wall: hernia surgery. OA Anatomy. 2014;2(1):3
  3. Lenobel S, Lenobel R, Yu J. Posterior rectus sheath hernia causing intermittent small bowel obstruction. J Radiol Case Rep. 2014;8(9):25-29. Published 2014 Sep 30. doi:10.3941/jrcr.v8i9.2081
  4. Reznichenko AA. Case of rare abdominal wall hernia. J Curr Surg 2014;4:99–100. doi:10.14740/jcs238w