Unsupported Browser
The American College of Surgeons website is not compatible with Internet Explorer 11, IE 11. For the best experience please update your browser.
Menu
Become a member and receive career-enhancing benefits

Our top priority is providing value to members. Your Member Services team is here to ensure you maximize your ACS member benefits, participate in College activities, and engage with your ACS colleagues. It's all here.

Become a Member
Become a member and receive career-enhancing benefits

Our top priority is providing value to members. Your Member Services team is here to ensure you maximize your ACS member benefits, participate in College activities, and engage with your ACS colleagues. It's all here.

Become a Member
ACS
Case Reviews in Surgery

Cardiac Schwannoma Arising from the Atrioventricular Groove

January 7, 2022

Abstract

Background

Primary cardiac tumors are approximately 20 times less common than cardiac metastases, which have an incidence well under 1 percent. Even among these rare primary tumors, the majority are myxomas. Cardiac schwannomas, arising from autonomic nerve branches to the heart, have been rarely reported and are difficult to diagnose.

Summary

We present a 70-year-old female who was incidentally found to have an 8 cm mediastinal soft tissue mass adjacent to the left atrioventricular groove and circumflex coronary artery after workup of motor vehicle crash injuries. Imaging was concerning for malignancy despite a non-diagnostic core needle biopsy. Because of malignant risk and impending obstruction of cardiopulmonary structures, the patient was taken to the operating room for resection of the mass via left thoracotomy with additional preparation for peripheral cardiopulmonary bypass. Frozen section histology of an incisional biopsy was concerning for a sarcomatoid malignancy, and gross-total resection was performed. Final pathology demonstrated a primary, benign schwannoma.

Conclusion

In this case, we demonstrate an example of the rare cardiac schwannoma disease process and the complexities of establishing a diagnosis in incidentally found mediastinal tumors. Echocardiography and MRI are the most helpful imaging modalities; however, a discreet diagnosis requires tissue. Unfortunately, the architectural heterogeneity that makes these tumors appear similar to sarcomas on imaging also subjects biopsies to sampling error. Final diagnosis cannot be established until after surgical resection. While R0 resection is the goal, it is necessary to balance the risk of cardiac injury in the setting of a tumor of indeterminate histology.

Key Words

cardiac tumor; schwannoma; neurilemoma; incidentaloma


Case Description

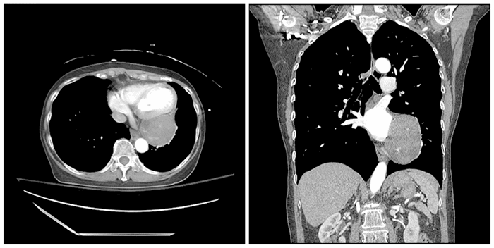
A 70-year-old female without significant co-morbidities presented to the emergency room after being involved as a restrained passenger in a high-speed motor vehicle crash. Because of the high-energy mechanism and complaints of anterior chest pain, the patient underwent CT of the chest. In addition to a minimally displaced fracture of the upper sternal body, imaging identified a 4.7 cm × 5.9 cm × 8.1 cm soft tissue mass adjacent to the left atrioventricular groove and circumflex coronary artery (Figure 1).

Figure 1. Axial and Coronal Cuts of a Thoracic CT Scan with Trauma-Protocol IV Contrast Demonstrate a Heterogeneous Left-Sided Mediastinal Tumor with Unclear Anatomical Association. Published with Permission

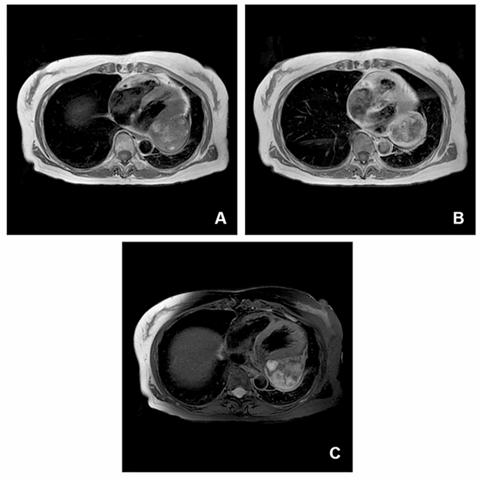
There were no suggestions that this incidental lesion was associated with the traumatic event. The patient was discharged from the hospital the following day, and an outpatient workup of the cardiac mass was recommended. The patient underwent a transthoracic echocardiogram demonstrating normal biventricular function and no valvular dysfunction, followed by a gated cardiac MRI and PET-CT (Figure 2).

Figure 2. Axial T1 Double IR. Published with Permission

A) +C T1 Double IR; B) T2 Double IR FS; C) Cuts of a thoracic MRI demonstrating heterogeneous nature of mediastinal mass as well as its close association with left atrioventricular groove

This additional imaging showed a large mass in the posterolateral AV groove inseparable from the myocardium, immediately inferior to the atrial appendage with associated distortion of the left inferior pulmonary vein. The mass was heterogeneous on T2 weighted post-gadolinium imaging and on PET and was therefore considered suspicious for sarcoma. The PET was otherwise negative for regional or distant disease. A CT-guided core needle biopsy was acellular and demonstrated only densely packed fibrin.

Though the patient was asymptomatic, surgery was recommended because of the possibility of malignancy and impending pulmonary venous obstruction. Due to the intimate association of the mass with posterolateral left heart structures, we prepared for the possible need for cardiopulmonary bypass by first cutting down on the left groin, isolating the common femoral artery and vein, and placing purse-string sutures should urgent cannulation become necessary. We then proceeded with a serratus-sparing posterolateral thoracotomy. Upon entering the left hemithorax, the pericardium was noted to be tense but appreciated the mass moving relatively freely within it, suggesting freedom from the parietal pericardium. We opened the pericardium posterior to the phrenic nerve allowing us to expose the mass, which was broadly adherent to the AV groove over a 5 cm distance inferior to the base of the left atrial appendage. It was immediately lateral and superficial to a large proximal obtuse marginal coronary artery and coronary sinus branch.

Given the intimate adherence to the heart and friability of surrounding tissue, we elected to proceed with an incisional biopsy to guide our degree of resection. The frozen section showed a spindle cell neoplasm with cellular atypia worrisome for a soft tissue sarcoma. Given its size and location, we felt it essential to attempt a gross total excision. However, it was clear that we were not going to obtain any substantial margin given the risk of AV groove disruption with any aggressive resection. We developed a plane between the heart and what appeared to be a capsule of this mass. Without requiring cardiopulmonary bypass,, we performed a gross total resection of the mass without ligation of the obtuse marginal coronary artery; the coronary vein branch was sacrificed (Figure 3). The pericardium was left open, chest tubes were placed, and the thoracotomy incision was closed in layers.

Figure 3. Gross Pathologic Imaging of the Intact Tumor Specimen. Published with Permission

A) Cross-sectional slices; B) Internal hemorrhage and necrosis present

The patient progressed very well in the hospital and was discharged on postoperative day 3 in good condition. Definitive pathologic review classified the mass as a primary, benign schwannoma with areas of necrosis but no mitoses. Immunohistochemistry (IHC) demonstrated prominent S-100 protein staining supporting this diagnosis (Figure 4).

Figure 4. S-100 Protein Staining. Published with Permission

A) Low-power microscopy demonstrating cellular (Antoni A) and hypocellular regions (Antoni B); B) Medium-power microscopy demonstrating spindle cells with eosinophilic cytoplasm in schwannian stroma, C) High-power microscopy demonstrating schwannian cells mixed with stroma consisting of hyalinized vessels; D) Diffuse S100 positivity in schwannian cells

Discussion

Primary cardiac tumors are quite rare, with an incidence of approximately 0.1 percent. Ninety-five percent of cardiac neoplasms are instead metastases. Seventy-five percent of primary cardiac tumors are benign, and 50 percent of these are myxomas.1 Even of the remaining 50 percent, cardiac schwannomas, also known as neurilemomas, are exceedingly rare, few having been reported in the literature.2 These tumors are believed to arise from the cardiac neural plexus, branches of the autonomic nerves, and, as such, are predisposed to occur adjacent to the right atrium.3 Case reports have supported that these tumors can also develop neighboring the left atrium and in the atrioventricular groove.4,5 In evaluating these tumors, transthoracic echocardiography is often an appropriate first step; however, cardiac-protocol MRI is the ideal imaging modality for workup. It allows for evaluation of cardiac function and, as with other soft tissue neoplasms, provides the most information on tumor morphology, location, and relationship to surrounding structures.6 PET scans can help rule out metastatic disease and reinforce suspicion for malignancy. Still, as with many solid tumors, it does not have an established role in diagnosing cardiac schwannoma.7

Despite the use of advanced imaging, diagnosis relies on tissue evaluation. Furthermore, though frozen sampling can aid in decision-making, said diagnosis is dependent on a more thorough histologic evaluation, ideally with IHC.8 This is supported by our reported case where both MRI and frozen pathology were concerning for sarcoma, but final pathology diagnosed schwannoma. This discrepancy occurs because schwannomas exhibit both gross and microscopic heterogeneity, leading to a similar appearance to sarcoma on imaging. Image-guided core or incisional biopsies are also subject to sampling bias. Schwannomas are composed of biphasic architecture consisting of Antoni A and B patterns, where elongated fascicles represent the former with dense palisading cellularity (Verocay bodies) and the latter by loose cellular meshworks and microcysts. Histologically, the tumors are also characterized by fibrous capsules surrounding nerve-derived cells.9 This neural-crest-derived tissue allows schwannomas to be identified with IHC by S-100 binding.1

Cardiac schwannomas are too rare to have measured outcomes, but, in general, the prognosis associated with benign cardiac tumors is excellent. Given that even these benign tumors can cause local anatomic and physiologic disruption, prognosis and cure are correlated with the adequacy of resection.10 A pathologic complete (R0) resection can be difficult to achieve given high-value anatomic and physiologic real estate. Case reports have described the need for cardiopulmonary bypass, coronary bypass grafting, and pericardial patching to complete resection.2,4,11 One must balance the risk of these aggressive steps with the risk of incomplete resection. Despite microscopically positive margins in our specimen (R1 resection), resection was grossly total and believed to be the maximal allowable given the high risk of atrioventricular groove disruption with further attempts to gain margin.

Conclusion

The presentation describing an AV groove cardiac schwannoma emphasizes the problematic diagnosis and complex decision-making surrounding mediastinal tumors found incidentally, mainly when surgical resection is high-risk. Diagnostic studies may aid in creating a differential and evaluating associated anatomy, but resection and resultant microscopic examination is required for a proper diagnosis. In preparing for surgical intervention, one must be ready to provide cardiopulmonary support and alter the intraoperative course based upon changes in presumptive diagnosis and the associated balance of risk and benefit.

Lessons Learned

The decision-making surrounding any incidentally found tumor is complex and particularly difficult when initial evaluation cannot rule out malignant disease. With cardiac schwannomas, surgical resection is necessary to confirm a diagnosis but is often challenging and requires a careful balancing of the surgical risks and benefits.

Authors

Platz JJa; Patel VAb; Hermsen JLc; DeCamp MMc

Author Affiliations

  1. Division of Thoracic Surgery, Saint Louis University School of Medicine, Saint Louis, MO 63110
  2. Department of Pathology, University of Wisconsin School of Medicine and Public Health, Madison, WI 53792
  3. Division of Cardiothoracic Surgery, University of Wisconsin School of Medicine and Public Health, Madison, WI 53792

Corresponding Author

Malcolm M. DeCamp, MD, FACS
University of Wisconsin Hospital and Clinics, H4/340 CSC
600 Highland Avenue
Madison, WI 53792
Phone: (608) 263-6551
E-mail: decamp@surgery.wisc.edu

Disclosure Statement

The authors have no conflicts of interest to disclose.

Funding/Support

The authors have no financial relationships or in-kind support to disclose.

Received: April 23, 2019
Revision Received: September 17, 2020
Accepted for Publication: November 17, 2020

References

  1. Stefansson K, Wollmann R, Jerkovic M. S-100 protein in soft-tissue tumors derived from Schwann cells and melanocytes. Am J Pathol. 1982;106(2):261-268.
  2. Hashimoto T, Eguchi S, Nakayama T, Ohzeki H, Hayashi J. Successful removal of massive cardiac neurilemoma with cardiopulmonary bypass. Ann Thorac Surg. 1998;66(2):553-555. doi:10.1016/s0003-4975(98)00473-1
  3. D'Amato N, Correale M, Ireva R, Di Biase M. A rare cause of acute heart failure: malignant schwannoma of the pericardium. Congest Heart Fail. 2010;16(2):82-84. doi:10.1111/j.1751-7133.2009.00124.x
  4. Hwang SK, Jung SH. Schwannoma of the heart. Korean J Thorac Cardiovasc Surg. 2014;47(2):141-144. doi:10.5090/kjtcs.2014.47.2.141
  5. Sirlak M, Uymaz OK, Taşoz R, Erden E, Ozyurda U, Akalin H. Primary benign schwannoma of the heart. Cardiovasc Pathol. 2003;12(5):290-292. doi:10.1016/s1054-8807(03)00076-0
  6. Gulati G, Sharma S, Kothari SS, Juneja R, Saxena A, Talwar KK. Comparison of echo and MRI in the imaging evaluation of intracardiac masses. Cardiovasc Intervent Radiol. 2004;27(5):459-469. doi:10.1007/s00270-004-0123-4
  7. Saponara M, Ambrosini V, Nannini M, et al. 18F-FDG-PET/CT imaging in cardiac tumors: illustrative clinical cases and review of the literature. Ther Adv Med Oncol. 2018;10:1758835918793569. Published 2018 Aug 30. doi:10.1177/1758835918793569
  8. Early SA, McGuinness J, Galvin J, Kennedy M, Hurley J. Asymptomatic schwannoma of the heart. J Cardiothorac Surg. 2007;2:1. Published 2007 Jan 4. doi:10.1186/1749-8090-2-1
  9. Kumar V, Abbas A, Aster J. Robbins & Cotran Pathologic Basis of Disease, 9th ed. Elsevier Saunders 2014.
  10. Butany J, Nair V, Naseemuddin A, Nair GM, Catton C, Yau T. Cardiac tumours: diagnosis and management. Lancet Oncol. 2005;6(4):219-228. doi:10.1016/S1470-2045(05)70093-0
  11. Koujanian S, Pawlowicz, Landry D. Benign cardiac schwannoma: a case report. Human Pathology: Case Reports 2017;8:24-6.