Unsupported Browser
The American College of Surgeons website is not compatible with Internet Explorer 11, IE 11. For the best experience please update your browser.
Menu
Become a member and receive career-enhancing benefits

Our top priority is providing value to members. Your Member Services team is here to ensure you maximize your ACS member benefits, participate in College activities, and engage with your ACS colleagues. It's all here.

Become a Member
Become a member and receive career-enhancing benefits

Our top priority is providing value to members. Your Member Services team is here to ensure you maximize your ACS member benefits, participate in College activities, and engage with your ACS colleagues. It's all here.

Become a Member
ACS
Case Reviews in Surgery

Extracorporeal Membrane Oxygenation (ECMO) for COVID-19-Associated Refractory Hypoxemia in the Postpartum Period

A rare case of COVID-19 associated refractory hypoxemia in a postpartum patient and successful ECMO management.

July 8, 2021

Abstract

Background

There is a scarcity of data on the use of extracorporeal membrane oxygenation (ECMO) in pregnant and postpartum coronavirus disease 2019 (COVID-19) patients with refractory hypoxemia.

Summary

We report a 30-year-old woman at 35 weeks' gestation who developed rapidly worsening respiratory distress due to (COVID-19) disease. She underwent emergent intubation, followed by an emergency cesarean section. The patient was placed on ECMO due to findings of acute right ventricular systolic dysfunction and refractory hypoxemia. She was extubated on day 4 of ECMO and decannulated on day 9.

Conclusion

We report a rare case of COVID-19 associated refractory hypoxemia in a postpartum patient and successful ECMO management.

Key Words

hypoxia; COVID-19; coronavirus; postpartum; pregnant


Case Description

The novel coronavirus disease 2019 (COVID-19) is a growing pandemic and is demonstrated to cause severe hypoxia and hypoxemia from pneumonia and acute respiratory distress syndrome (ARDS).1 The implications of this disease on pregnant and postpartum women remain mostly unknown. Early data suggest that COVID-19 may not pose an increased risk in the pregnant population.24 Very little data exist on the effects of COVID-19 associated severe pneumonia/ARDS on pregnant patients.5,6 There is a lack of evidence on the management of COVID-19 associated refractory hypoxemia during pregnancy and the postpartum period. Additionally, to date, there has been no description of extracorporeal membrane oxygenation (ECMO) use in COVID-19 associated pneumonia or/and acute respiratory distress syndrome in the postpartum period. Epidemiologic study on pregnant patients on ECMO is mostly from the H1N1 influenza pandemic.7 Herein, we report a challenging case of COVID-19 associated refractory hypoxemia developed during the postpartum period and successfully managed with venovenous extracorporeal membrane oxygenation (VV-ECMO). We obtained written, informed consent from the patient for the case report publication.

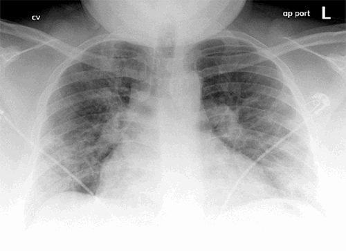
We report a case of a 30-year-old woman (gravida 2, para 1) at 35 weeks' gestation who developed respiratory symptoms and was tested positive for SARS-COV-2 (severe acute respiratory syndrome coronavirus 2) virus by nasopharyngeal polymerase chain reaction (PCR) assay. Her medical history includes morbid obesity with a BMI of 38 and hypothyroidism. The patient developed worsening shortness of breath and presented to the emergency room at an outside institution about one week after testing positive. Her imaging was consistent with acute respiratory distress syndrome (ARDS) from COVID-19 pneumonia (Figure 1).

Figure 1. Chest X ray of the patient on initial presentation showing development of COVID-19 associated acute respiratory distress syndrome

Unfortunately, the patient developed rapidly progressing respiratory distress, was admitted to the intensive care unit (ICU) just a few hours after admission and required emergent intubation. Given this rapid change in the patient's condition and viability of the fetus at 35 weeks' gestation, the obstetrics and maternal-fetal medicine team felt that emergent cesarean section (C/S) delivery would improve pulmonary compliance and prevent fetal hypoxia. The patient underwent a noncomplicated C/S. She remained intubated postoperatively due to persistent respiratory acidosis and hypoxia. She received hydroxychloroquine, azithromycin, ribavirin, and received one dose of type-specific convalescent plasma. On postpartum day 2, she was transferred to our institution to manage severe hypoxemia from COVID-19 associated adult respiratory distress syndrome (ARDS). Initially, she was managed with lung-protective mechanical ventilation with a tidal volume of 6 ml/kg and PEEP of 10cmH2O, sedation with propofol and midazolam infusion, and paralysis with cisatracurium infusion but minimal improvement in tissue oxygenation. Subsequently, quadruple strength of continuous inhaled epoprostenol (Flolan) was added to her treatment plan, which improved tissue oxygenation for a short duration. Transthoracic echocardiogram revealed an ejection fraction of 60 to 64 percent with right ventricle (RV) enlargement and depression and pulmonary artery systolic pressure 56 mmHg consistent with ARDS and raised suspicions for pulmonary embolism given COVID-19 disease-associated hypercoagulability. After a discussion with the obstetrics team, the patient was started on heparin infusion for full anticoagulation with a partial thromboplastin time (PTT) goal of 60–80 per our institutional guidelines, along with prone positioning for severe hypoxemia.

On postpartum days 3 and 4, she developed refractory hypoxemia with the lung compliance worsened to 20–25 mL/H2O (normal 50–100 mL/H2O), PaO2 of 50 mmHg on FiO2 of 100 percent with PaO2/FiO2 ratio of <50 and PEEP of 14cmH2O despite treatment with the sixteen-hour session of prone positionings, inhaled epoprostenol, intravenous tocilizumab, and steroids. A pulmonary artery catheter was placed, which revealed normal pulmonary capillary wedge pressure. She also developed hemodynamic instability, which was treated with norepinephrine infusion. On postpartum day 5, the patient was evaluated for VV-ECMO for refractory hypoxemia associated with hemodynamic instability. On postpartum day 6, VV-ECMO was initiated by the cannulation of bilateral common femoral veins with a flow rate of 4.3 L/min, sweep 6 L/min, 3560 revolutions per minute (RPM), and FiO2 100 percent. Her oxygenation and hemodynamic status significantly improved, and PaO2 increased to 112 mmHg shortly after ECMO initiation. The arterial blood gas (ABG) target goal was to maintain the pH between 7.3 to 7.4 and oxygen saturation between 88 to 96 percent. On day 2 of ECMO, we slowly weaned the ECMO flow rate to 2.9 L/min, sweep to 0.5 L/min, 40 percent FiO2, and 2,500 RPM. She was extubated to high-flow nasal cannula on day 4 of ECMO and decannulated on day 9. A repeat transthoracic echocardiogram showed normal RV systolic function and resolution of pulmonary hypertension. Her hospital course progressed very well except for mild vaginal bleeding due to being anticoagulation with heparin infusion, which required suction dilation and curettage to evacuate blood clots. She recovered fully and was discharged home with two weeks of rivaroxaban per hematology recommendations.

Discussion

Pregnancy increases the risk of acquiring viral infection due to physiological changes during pregnancy.2 There is evidence of decreased T-cell numbers and immune cell activity, altering viral clearance.8,9 The evidence of severe novel coronavirus disease in pregnant and postpartum women is limited. Most reported cases of COVID-19 disease in pregnancy are described as asymptomatic infection or mild illness, which resolved without undergoing delivery.24 This case highlights that COVID-19 associated pneumonia can lead to ARDS, which can progress to refractory hypoxemia in pregnancy and the postpartum period. This case report adds to the growing body of evidence raising concerns for worse maternal outcomes in pregnant patients with COVID-19 disease.5,6

Pregnant patients with pneumonia are at increased risk of acute respiratory failure, need for mechanical ventilation, and admission to the intensive care unit. Complications from pneumonia include premature rupture of membrane, preterm labor, intrauterine fetal demise, intrauterine growth retardation, and neonatal death.8 Treatment of ARDS in pregnancy is generally similar to the general population, although some non-pregnant patients' strategies may not be acceptable to pregnant patients. Delivery of the fetus should be considered if maternal oxygenation does not improve with maximal therapy. In this case, maternal tissue oxygenation did not improve after the fetus's delivery despite following the algorithm of severe hypoxemic respiratory failure management (Figure 2).10 It was a challenging decision to initiate VV-ECMO on postpartum day six due to the risk of worsening postpartum vaginal bleeding. However, our patient's hypoxia was refractory to maximal medical therapy with inverse ratio ventilation, paralysis, steroids, prone positioning, and pulmonary vasodilators, leading to ECMO indication. After consultation with the obstetrics team and balancing the risk and benefits of therapeutic anticoagulation, ECMO was recommended as salvage therapy.

Figure 2. Sequence of interventions in the course of acute respiratory distress syndrome (ARDS) in current clinical practice, according to Berlin definition. Extracorporeal carbon dioxide removal (ECCO2R); venovenous extracorporeal membrane oxygenation (VV ECMO). Reproduced from Quintel et al.10 with permission.

The role of ECMO in the management of COVID-19 disease is unclear. It has been used in some patients with severe COVID-19 disease in China. Still, detailed information is unavailable.11 The evidence on the use of ECMO in refractory hypoxic pregnancy patients is mainly from the H1N1 influenza pandemic. It is viable life support in pregnant and postpartum patients with an 80 to 90 percent maternal survival and 70 to 80 percent fetal survival.12,13 Some evidence suggests, however, that ECMO in the most severe ARDS cases is associated with reduced mortality and outcomes are better in higher volume centers.14,15 There is a paucity of data on ECMO use for severe COVID-19 disease in pregnant and postpartum women. A recent case series by Sultan et al.16 reported the clinical characteristics and clinical course of the ten patients of the general population requiring ECMO for severe COVID‐19 disease. In this case series, two (20 percent) patients were successfully liberated from ECMO support after seven and ten days, respectively, and one (10 percent) patient was currently on a weaning course. One patient (10 percent) died after nine days on ECMO from multiorgan dysfunction. The author concluded that greater morbidity and mortality are likely to be seen in these critically ill patients with longer follow up.

Maternal and fetal outcomes appear to be better if the patient has been intubated for less than seven days before ECMO initiation.7 However, bleeding has been the most common complication of ECMO. Most postpartum bleeding was mild to moderate, and an intrauterine balloon tamponade is recommended for bleeding control.12 Other severe bleeding complications include disseminated intravascular coagulation, hemothorax, intracranial hemorrhage, rectus sheath hematoma, renal/bladder hemorrhage, and cannula bleeding sites. Additionally, postpartum patients can have amniotic fluid embolism, which further complicates treatment in the setting of coagulopathy and bleeding. Judicial adjustment of anticoagulation is recommended.13 There is no consensus and guidelines on the optimal range of anticoagulation; however, a lower therapeutic level was maintained in the studies. Activated clotting time (ACT) ranged from 140 to 220 seconds and activated partial thromboplastin time (aPTT) ranged from 50 to 80 seconds. ECMO for refractory hypoxia may require lower therapeutic levels of anticoagulation and close monitoring for intra-uterine bleeding. Our patient's aPTT goal was 60 to 80 seconds per our institutional guidelines.

Conclusion

Consideration of ECMO as salvage therapy for COVID-19 associated refractory hypoxemia in pregnancy and postpartum women can potentially increase maternal survival and outcome.

Lessons Learned

COVID-19 associated pneumonia can lead to ARDS, which can progress to refractory hypoxemia in pregnancy and the postpartum period. Early initiation of ECMO appears to improve maternal survival and outcome.

Authors

Faisal Ha; Chen Cb; Masud Fc

Author Affiliations

  1. Houston Methodist Hospital, Department of Surgery, Houston, TX 77030
  2. Houston Methodist Hospital, Houston, TX 77030
  3. Houston Methodist Hospital, Department of Anesthesiology and Critical Care, Houston, TX 77030

Corresponding Author

Hina Faisal, MD, MRCS
6550 Fannin Street, Suite SM1661
Houston, TX 77030
Phone: (346) 238-0343
E-mail: hfaisal@houstonmethodist.org

Disclosure Statement

The authors have no conflicts of interest to disclose.

References

  1. Pan C, Chen L, Lu C, et al. Lung recruitability in COVID-19-associated acute respiratory distress syndrome: a single-center observational study. Am J Respir Crit Care Med. 2020;201(10):1294-1297. doi:10.1164/rccm.202003-0527LE
  2. Dashraath P, Wong JLJ, Lim MXK, et al. Coronavirus disease 2019 (COVID-19) pandemic and pregnancy. Am J Obstet Gynecol. 2020;222(6):521-531. doi:10.1016/j.ajog.2020.03.0213.
  3. Liu D, Li L, Wu X, et al. Pregnancy and perinatal outcomes of women with coronavirus disease (COVID-19) pneumonia: a preliminary analysis [published correction appears in AJR Am J Roentgenol. 2020 Jul;215(1):262]. AJR Am J Roentgenol. 2020;215(1):127-132. doi:10.2214/AJR.20.23072
  4. Li N, Han L, Peng M, et al. Maternal and neonatal outcomes of pregnant women with coronavirus disease 2019 (COVID-19) pneumonia: a case-control study. Clin Infect Dis. 2020;71(16):2035-2041. doi:10.1093/cid/ciaa352
  5. Alzamora MC, Paredes T, Caceres D, Webb CM, Valdez LM, La Rosa M. Severe COVID-19 during Pregnancy and Possible Vertical Transmission. Am J Perinatol. 2020;37(8):861-865. doi:10.1055/s-0040-1710050
  6. Breslin N, Baptiste C, Miller R, et al. Coronavirus disease 2019 in pregnancy: early lessons. Am J Obstet Gynecol MFM. 2020;2(2):100111. doi:10.1016/j.ajogmf.2020.100111
  7. Moore SA, Dietl CA, Coleman DM. Extracorporeal life support during pregnancy. J Thorac Cardiovasc Surg. 2016;151(4):1154-1160. doi:10.1016/j.jtcvs.2015.12.027
  8. Stumpfe FM, Titzmann A, Schneider MO, et al. SARS-CoV-2 infection in pregnancy - a review of the current literature and possible impact on maternal and neonatal outcome. Geburtshilfe Frauenheilkd. 2020;80(4):380-390. doi:10.1055/a-1134-5951
  9. Zhao X, Jiang Y, Zhao Y, et al. Analysis of the susceptibility to COVID-19 in pregnancy and recommendations on potential drug screening. Eur J Clin Microbiol Infect Dis. 2020;39(7):1209-1220. doi:10.1007/s10096-020-03897-6
  10. Quintel M, Bartlett RH, Grocott MPW, et al. Extracorporeal membrane oxygenation for respiratory failure. Anesthesiology. 2020;132(5):1257-1276. doi:10.1097/ALN.0000000000003221
  11. Wang D, Hu B, Hu C, et al. Clinical characteristics of 138 hospitalized patients with 2019 novel coronavirus-infected pneumonia in Wuhan, China [published correction appears in JAMA. 2021 Mar 16;325(11):1113]. JAMA. 2020;323(11):1061-1069. doi:10.1001/jama.2020.1585
  12. Sharma NS, Wille KM, Bellot SC, Diaz-Guzman E. Modern use of extracorporeal life support in pregnancy and postpartum. ASAIO J. 2015;61(1):110-114. doi:10.1097/MAT.0000000000000154
  13. Ong J, Zhang JJY, Lorusso R, MacLaren G, Ramanathan K. Extracorporeal membrane oxygenation in pregnancy and the postpartum period: a systematic review of case reports. Int J Obstet Anesth. 2020;43:106-113. doi:10.1016/j.ijoa.2020.04.004
  14. Goligher EC, Tomlinson G, Hajage D, et al. Extracorporeal membrane oxygenation for severe acute respiratory distress syndrome and posterior probability of mortality benefit in a post hoc Bayesian analysis of a randomized clinical trial [published correction appears in JAMA. 2019 Jun 11;321(22):2245]. JAMA. 2018;320(21):2251-2259. doi:10.1001/jama.2018.14276
  15. Barbaro RP, Odetola FO, Kidwell KM, et al. Association of hospital-level volume of extracorporeal membrane oxygenation cases and mortality. Analysis of the extracorporeal life support organization registry. Am J Respir Crit Care Med. 2015;191(8):894-901. doi:10.1164/rccm.201409-1634OC
  16. Sultan I, Habertheuer A, Usman AA, et al. The role of extracorporeal life support for patients with COVID-19: preliminary results from a statewide experience. J Card Surg. 2020;35(7):1410-1413. doi:10.1111/jocs.14583