Unsupported Browser
The American College of Surgeons website is not compatible with Internet Explorer 11, IE 11. For the best experience please update your browser.
Menu
Become a member and receive career-enhancing benefits

Our top priority is providing value to members. Your Member Services team is here to ensure you maximize your ACS member benefits, participate in College activities, and engage with your ACS colleagues. It's all here.

Become a Member
Become a member and receive career-enhancing benefits

Our top priority is providing value to members. Your Member Services team is here to ensure you maximize your ACS member benefits, participate in College activities, and engage with your ACS colleagues. It's all here.

Become a Member
ACS
Case Reviews in Surgery

Cough-Induced Rupture of the Diaphragm

This report describes a rare case of cough-induced diaphragmatic rupture and the keys to diagnosis and treatment.

July 8, 2021

Abstract

Background

A male patient with exacerbation of his chronic obstructive pulmonary disease (COPD) presented with severe coughing and developed a ruptured left hemidiaphragm requiring emergent surgical repair.

Summary

A 72-year-old man on home oxygen therapy was admitted to the hospital for presumed exacerbation of his COPD. His symptoms were notable for a severe, hacking cough associated with left-sided chest pain. While hospitalized, he developed profound dyspnea, abdominal pain and distension, worsening hypoxemia, and left flank ecchymosis. A previously normal plain chest radiograph now demonstrated herniated bowel into the left thoracic cavity. Emergent operative intervention was required to repair this acute diaphragmatic hernia. Diaphragmatic rupture usually follows blunt or penetrating abdominal trauma and has an approximately 25 percent mortality due to concomitant injuries. Atraumatic rupture of the diaphragm is a very rare complication that has a better prognosis than the more common trauma-related etiology. The diagnosis can be readily made based on physical examination and plain chest radiography.

Conclusion

Acute diaphragmatic rupture with visceral herniation outside the setting of trauma is highly unusual. Some reports have implicated Pilates exercises, valsalva, and vigorous coughing as etiologies for diaphragm rupture. These mechanisms all dramatically increase intraperitoneal pressure and create excessive stress on the diaphragm. This report describes a rare case of cough-induced diaphragmatic rupture and the keys to diagnosis and treatment.

Key Words

cough; diaphragmatic hernia; diaphragmatic rupture


Case Description

Acute diaphragmatic rupture is a rare pathologic event and occurs in fewer than 1 percent of all cases of trauma.1 According to the National Trauma Data Bank, 35 percent of diaphragmatic injuries are due to a blunt mechanism.1 Atraumatic rupture of the diaphragm has been reported following intense exercise or violent coughing.25 This case illustrates a rare instance of diaphragmatic rupture secondary to coughing in a patient with chronic obstructive pulmonary disease (COPD).

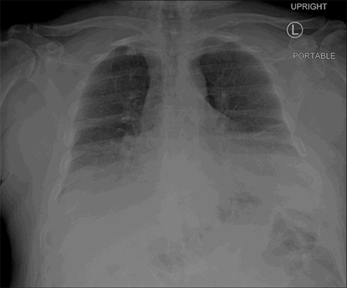
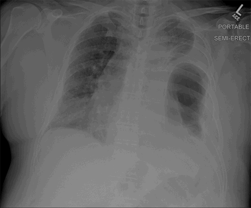
A 72-year-old man presented to the emergency department with shortness of breath, dyspnea on exertion, a hacking, productive cough, and left-sided chest pain. He had no history of trauma. He had a 50-pack/year smoking history and continued to smoke after being placed on home oxygen. His admitting chest radiograph revealed a small left pleural effusion and changes consistent with COPD (Figure 1). A previous chest radiograph was reviewed and revealed only changes of COPD and no evidence of left diaphragm eventration. He was hospitalized for nebulizer therapy, acute administration of intravenous steroids, and to rule out an acute coronary syndrome. During his admission, he began complaining of abdominal distension and constipation and continued to have a chronic cough. On physical examination, he was obese (BMI 33.7 kg/m2) with a pulse of 102 and labored breathing. Chest auscultation revealed diffuse rhonchi with diminished breath sounds at the left lung base. His abdomen was distended, tympanitic, and diffusely tender. There was ecchymosis along the left flank extending to the left lower quadrant, consistent with Grey Turner sign. Laboratory studies revealed a white blood cell count of 18,300/μL, and arterial blood gas showed a pH of 7.34, pCO2 of 42 mmHg, and pO2 of 60 mmHg on 5 L/min by nasal cannula. An electrocardiogram demonstrated sinus tachycardia but no ischemia. A plain film now revealed loops of bowel in the left hemithorax (Figure 2).

Figure 1. Plain radiography of the chest four days prior to hernia repair showing a small left pleural effusion

Figure 2. Plain radiography of the chest immediately before surgery now revealing an air-filled structure in the left hemithorax with valvulae conniventes suggestive of bowel loops and blunting of the left costophrenic angle suggestive of a large left-sided pleural effusion

The patient was taken emergently to the operating room for abdominal exploration. The left hemidiaphragm was ruptured with a 5 cm tear along the posterior-lateral aspect. The lateral costal attachments were also partially torn, with the defect extending towards the central tendon. Several loops of the small bowel and a portion of the transverse colon were reduced from the thoracic cavity. The diaphragm, including its peripheral attachments, was repaired with interrupted 2-0 polypropylene sutures and a biologic mesh to buttress the repair. No rib fractures were identified, and no resection was performed.

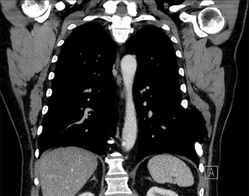
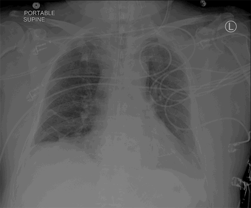
The postoperative course was relatively uncomplicated, and the patient was extubated on the third postoperative day after initially failing two spontaneous breathing trials. He was continued on nebulizer treatments and antibiotics. No specific antitussive medication was administered. A postoperative chest radiograph is shown in Figure 3. A chest CT performed two years postoperatively showed an intact repair (Figure 4).

Figure 3. Plain radiography of the chest immediately following diaphragm repair

Figure 4. Contrast-enhanced CT of the chest two years postoperatively showing an intact left diaphragmatic repair

Discussion

Blunt diaphragmatic rupture occurs when the local principal stress exceeds the ultimate strength of the tissue. More specifically, the pathogenesis of the injury arises from an increase in intraabdominal pressure. The pressure gradient across the diaphragm with normal respiration is approximately 7 to 20 cm H2O.6 Forced inspiration can result in a pressure gradient of up to 100 cm H2O.6 A pressure gradient across the diaphragm of 150 to 200 cm H2O can result in rupture. These pressures are attainable in blunt abdominal trauma and may result in large radial tears in the diaphragm.

Violent coughing is a highly unusual, though described, mechanism of diaphragmatic rupture.2 Other reports describe pilate exercises, valsalva, and other vigorous movements as precipitating the injury.5,79 These etiologies may share a common physical mechanism with blunt abdominal trauma resulting in diaphragmatic rupture.

The diagnosis of a ruptured diaphragm can be made when physical examination reveals absent or decreased breath sounds at a lung base, abdominal tenderness, Grey Turner sign, and a plain chest radiograph reveals loops of bowel within a hemithorax. A coiled nasogastric tube seen within an air-filled stomach above the diaphragm on chest film is also diagnostic.

Urgent surgical repair with primary closure is the ideal management of diaphragmatic rupture.6 Ample diaphragmatic tissue often remains and is available for primary closure of the defect. The use of mesh to repair the diaphragm in such instances is not well-studied.10 Therefore, the decision rests upon the surgeon while using conventional evidence regarding autologous tissue, bioprosthesis, or permanent mesh.

Outcomes in diaphragmatic injury are primarily reported in trauma. The all-cause mortality for this injury is 25 percent, according to the National Trauma Data Bank.1 However, within 24 hours of diagnosis, most deaths are secondary to concomitant injuries.1 Outside the setting of trauma, the prognosis is presumably better due to the lack of associated injuries.

Conclusion

While blunt trauma is a well-established mechanism of diaphragmatic rupture, coughing as an etiology has rarely been described. The differential diagnosis should include diaphragmatic rupture in patients with violent coughing, chest pain and abdominal distension or ecchymosis.

Lessons Learned

Coughing, and more generally, increased intraperitoneal pressure, may represent a risk factor for diaphragmatic rupture. In the event of such a rupture, urgent surgical intervention with primary closure represents evidence-based management. The risks and benefits as to the use of mesh in such circumstances are not well studied.

Authors

Vitello DJa; Bermudez-Allende Mb; Vitello JMc

Author Affiliations

  1. Northwestern University Feinberg School of Medicine, Department of Surgery, Chicago, IL 60611
  2. Jesse Brown Veterans Administration Medical Center, Department of Radiology, Chicago, IL 60612
  3. Jesse Brown Veterans Administration Medical Center, Department of Surgery, Chicago, IL 60612

Corresponding Author

Joseph M. Vitello, MD, FACS
Jesse Brown VA Medical Center, Department of Surgery
820 S. Damen Avenue
Chicago, IL 60612
Phone: (630) 234-8214
E-mail: joseph.vitello@va.gov

Disclosure Statement

The authors have no conflicts of interest to disclose.

References

  1. George L, Rehman SU, Khan FA. Diaphragmatic rupture: a complication of violent cough. Chest. 2000;117(4):1200-1201. doi:10.1378/chest.117.4.1200
  2. Hillenbrand A, Henne-Bruns D, Wurl P. Cough induced rib fracture, rupture of the diaphragm and abdominal herniation. World J Emerg Surg. 2006;1:34. Published 2006 Nov 24. doi:10.1186/1749-7922-1-34
  3. Yang YM, Yang HB, Park JS, Kim H, Lee SW, Kim JH. Spontaneous diaphragmatic rupture complicated with perforation of the stomach during Pilates. Am J Emerg Med. 2010;28(2):259.e1-259.e2593. doi:10.1016/j.ajem.2009.06.012
  4. Bisgaard C, Rodenberg JC, Lundgaard J. Spontaneous rupture of the diaphragm. Scand J Thorac Cardiovasc Surg. 1985;19(2):177-180. doi:10.3109/14017438509102715
  5. Williams M, Bulger EM, Collins KA. Recognition and management of diaphragmatic injury in adults.
  6. Karangizi AH, Renaud SJ, Rao JN, Chetty G. Diaphragmatic and intercostal muscle tear after an episode of violent sneezing: spontaneous diaphragmatic injury. Ann Thorac Surg. 2013;96(1):301-302. doi:10.1016/j.athoracsur.2012.11.034
  7. Barclay-Buchanan CJ, Herzog ES. Spontaneous valsalva-associated right-sided diaphragmatic rupture. J Emerg Med. 2017;52(5):e203-e205. doi:10.1016/j.jemermed.2016.12.006
  8. el Nakadi B, Vanderhoeft P. Effort rupture of the diaphragm. Thorax. 1990;45(9):715. doi:10.1136/thx.45.9.715
  9. Edington HD, Evans S, Sindelar WF. Reconstruction of a functional hemidiaphragm with use of omentum and latissimus dorsi flaps. Surgery. 1989;105(3):442-445.