Unsupported Browser
The American College of Surgeons website is not compatible with Internet Explorer 11, IE 11. For the best experience please update your browser.
Menu
Become a member and receive career-enhancing benefits

Our top priority is providing value to members. Your Member Services team is here to ensure you maximize your ACS member benefits, participate in College activities, and engage with your ACS colleagues. It's all here.

Become a Member
Become a member and receive career-enhancing benefits

Our top priority is providing value to members. Your Member Services team is here to ensure you maximize your ACS member benefits, participate in College activities, and engage with your ACS colleagues. It's all here.

Become a Member
ACS
Case Reviews in Surgery

Multiple Visceral Artery Pseudoaneurysms in Necrotizing Pancreatitis: Can This Life-Threatening Complication Be Managed Nonoperatively?

Visceral artery pseudoaneurysm (VA-PSA) is a potentially life-threatening complication of pancreatitis.

July 8, 2021

Abstract

Background

Visceral artery pseudoaneurysm (VA-PSA) is a potentially life-threatening complication of pancreatitis. The unusual situation of multiple VA-PSAs presents a therapeutic challenge.

Summary

A 46-year-old male with necrotizing pancreatitis (NP) was diagnosed with actively bleeding VA-PSAs. Treatment required two distinct interventional radiology procedures embolizing a total of six VA-PSAs along celiac axis branches. The patient recovered and continues long-term outpatient follow up with surveillance cross-sectional imaging.

Conclusion

The percutaneous endovascular approach can rapidly and effectively treat multiple VA-PSAs. In the rare setting of multiple VA-PSAs, close follow up with surveillance cross-sectional imaging should be performed until the resolution of necrotizing pancreatitis.

Keywords

false aneurysm; acute necrotizing pancreatitis; therapeutic embolization


Case Description

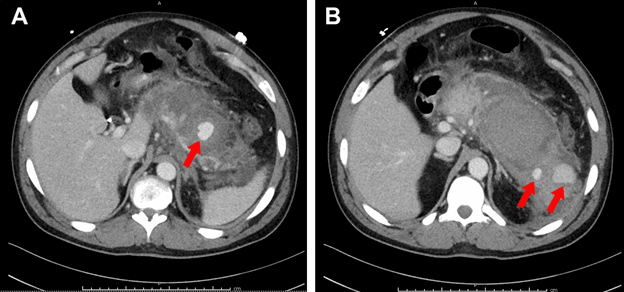
A 46-year-old male with a past medical history of recurrent, mild acute pancreatitis and prior cholecystectomy presented to the emergency room with abdominal pain radiating to the back, nausea, and vomiting. Lab work was remarkable for a serum lipase of 11,420 U/L and serum hemoglobin of 15.4 g/dL. Contrast-enhanced computed tomography (CECT) confirmed acute interstitial pancreatitis. A two-week hospital admission was required for supportive care, during which a repeat CECT demonstrated progression to necrotizing pancreatitis (NP) with an acute necrotic collection. Less than twenty-four hours after discharge, the patient was readmitted with worsening abdominal pain, nausea and vomiting, and poor oral intake. Repeat CECT revealed two new peripancreatic hematomas near the body and tail of the pancreas that measured 9 and 5.5 cm, respectively. Additionally, four sites of active bleeding were identified; three along the body/tail of the pancreas and one at the head of the pancreas (Figure 1). The patient was urgently transferred to our hospital for further management.

Figure 1. Visceral artery pseudoaneurysms (arrows) within larger peripancreatic hematomas

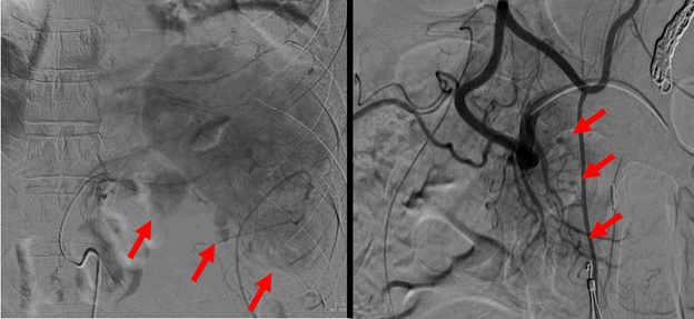
The patient was admitted to our hospital's surgical intensive care unit hemodynamically stable with initial hemoglobin of 10.8 g/dL. He was urgently brought to the interventional radiology (IR) suite, where conventional angiography identified three pseudoaneurysms of the splenic artery. Successful coil angioembolization of all three visceral artery pseudoaneurysms (VA-PSA) was achieved. Repeat CECT two days later identified three additional VA-PSA arising from the superior pancreaticoduodenal arcade (PDA). All three VA-PSA were successfully angioembolized with a second angiographic procedure (Figure 2).

Figure 2. Angiography demonstrating three VA-PSAs of splenic artery (L) and three VA-PSAs of pancreaticoduodenal arcade (R)

In total, six VA-PSAs were identified and treated with two separate angioembolization procedures. The patient remained stable clinically and was discharged shortly after his second angioembolization procedure. The patient continues to undergo surveillance for resolution of peripancreatic collections and development of additional VA-PSA with CECT and frequent follow up in our clinic.

Discussion

Visceral artery pseudoaneurysms are a rare yet well-documented complication of pancreatitis and pancreatic surgery.1,2 Enzymatic leakage and focal inflammation are the likely etiologic mechanisms responsible for VA-PSA in pancreatitis. High mortality rates in the event of rupture necessitate swift intervention. We report a rare case of multiple, actively bleeding VA-PSAs in the setting of acute NP.

A VA-PSA is a ruptured vessel with surrounding hematoma in communication with a vessel lumen and accounts for 1 to 10 percent of arterial complications and 60 percent of all acute hemorrhage in pancreatitis.3 Mortality rates of VA-PSA secondary to pancreatitis reach 34 to 52 percent, 4 to 5-fold higher than non-pancreatitis VA-PSA.3,4 The overall incidence of VA-PSA in NP is hard to know precisely; however, a recent large single institutional series shows the incidence is 4.3 percent with an overall mortality rate of 25 percent.4

The proposed mechanism of VA-PSA formation in the setting of pancreatitis is leakage of pancreatic enzymes causing "autodigestion" of the vessel wall perpetuated by activation of inflammatory cytokine cascade.3 Given close anatomic relationships, VA-PSAs arise from the splenic artery, gastroduodenal artery, and PDA in 50 percent, 20 percent, and 10 percent of cases, respectively.5,6 Our patient was found to have multiple VA-PSAs of the splenic artery and PDA.

The most common presentation of VA-PSA is visible hemorrhage, either from intra-abdominal drains or orifices of the GI tract. The second most common presentation of VA-PSA is worsening abdominal pain, which was our patient's chief complaint on re-presentation. This pain is unique to typical pancreatitis and is characterized by a "crescendo" effect that should prompt consideration for intra-abdominal hemorrhage.1,7 Signs of hemorrhagic shock have been reported as initial presentation in the setting of PSA rupture or massive hemorrhage.8

The lethal consequences of VA-PSA rupture mandate prompt diagnosis. With the increasing accessibility to and quality of cross-sectional imaging, CECT has become the first-line imaging study in pancreatitis with suspected vascular complications.9 The gold standard for confirming VA-PSA is conventional angiography, reaching sensitivity upwards of 95 to 100 percent.1,8,10 Although an invasive modality, it provides the ability to evaluate the pertinent arterial tree in real-time, distinguish between various vascular abnormalities, and provide therapeutic intervention. Both CECT and visceral artery angiography were critical to the initial diagnosis and subsequent intervention in the described case.

Management of VA-PSA relies heavily on patient factors such as hemodynamic stability, the presence of organ failure, and underlying pathology. The location of bleeding and availability of local resources further contribute to the decision-making algorithm. For the past two decades, percutaneous angioembolization has been considered first-line therapy for PSA. Technical success rates are documented between 79 to 100 percent with clinical success rates of 63 to 82 percent.1,6 Previously, open surgery was considered the gold standard; however, several studies demonstrated higher morbidity and mortality when compared to catheter-based treatment.11-13 Frank hemodynamic instability and/or repeated failure of endovascular techniques are indications for operative management.14

This report is the first to describe a case of six VA-PSAs in the setting of NP. Several factors influenced the decision-making process and treatment approach. The patient presented and remained hemodynamically stable throughout his hospital course. In the presence of NP, the potential need for intervention to treat pancreatic necrosis must be considered. The availability of an experienced team of interventional radiologists and pancreatic surgeons was important in this complex clinical situation.

It is worth discussing operative alternatives in the event interventional radiology failed to control hemorrhage, as this situation occurs in 18 to 37 percent of cases.9 In the setting of an NP patient with actively bleeding VA-PSA, surgical options are challenging. The conventional therapies of aneurysm resection and ligation are extremely difficult given the necrosis-distorted anatomy and profound locoregional systemic inflammation. Large vessel ligation or end organ resection become the only alternatives in this specific case. Distal pancreatectomy and splenectomy control the splenic artery PSAs but do not address VA-PSAs stemming from the PDA. A pancreatic head resection or pancreaticoduodenectomy address PSAs arising from the PDA, but leave the splenic artery PSAs untouched. If an operation were necessary in this case, a total pancreatectomy might be required.

No formal consensus exists regarding the surveillance and follow-up strategy for patients with VA-PSA secondary to NP. In this report, the patient returned to the clinic for follow up and CECT two weeks after discharge and in fact, was suspected of having another VA-PSA. Angiography was performed; however, no PSA was identified. Since then, the patient has followed up with CECT and clinic visits at increasing interval duration. We recommend a similar approach based on the patient's clinical progression and objective radiological and laboratory findings.

Herein, this report demonstrates a unique case of multiple VA-PSAs secondary to NP. Swift diagnosis with CECT and treatment with percutaneous angioembolization mitigated the risk of rupture and life-threatening hemorrhage. This report demonstrates that these are first-line diagnostic and therapeutic modalities even when confronted with multiple, actively bleeding VA-PSAs among pancreatic necrosis and locoregional inflammation. Close follow up with cross-sectional imaging, and interventional radiology, if needed, is paramount to achieving adequate long-term outcomes.

Conclusion

Multiple visceral artery pseudoaneurysm development is a rare, life-threatening complication of necrotizing pancreatitis. Contrast-enhanced computed tomography is the first-line imaging modality for diagnosis, and percutaneous angioembolization is the first-line therapy for intervention. Patient follow up with surveillance imaging throughout the disease course of necrotizing pancreatitis is important to monitor for the development of a new visceral artery pseudoaneurysm.

Lessons Learned

Interventional radiology is first-line therapy for single and multiple VA-PSA in the setting of pancreatitis. Close surveillance with cross-sectional imaging and IR angiography in the event of suspected PSA recanalization are adequate follow-up strategies.

Authors

Yee EJa; Maatman TKb; Zyromski NJb

Author Affiliations

  1. Indiana University School of Medicine, Indianapolis, IN 46202
  2. Indiana University School of Medicine, Department of Surgery, Indianapolis, IN 46202

Corresponding Author

Nicholas J. Zyromski, MD
Indiana University School of Medicine, Department of Surgery
545 Barnhill Drive, EH 519
Indianapolis, IN 46202
Phone: (317) 944-5012
E-mail: nzyromsk@iupui.edu

Meeting Presentation

Midwest Surgical Association Annual Meeting, French Lick, IN, July 2019

Disclosure Statement

The authors have no conflicts of interest to disclose.

References

  1. Zyromski NJ, Vieira C, Stecker M, et al. Improved outcomes in postoperative and pancreatitis-related visceral pseudoaneurysms. J Gastrointest Surg. 2007;11(1):50-55. doi: 10.1007/s11605-006-0038-2. PMID: 17390186.
  2. Sato N, Yamaguchi K, Shimizu S, et al. Coil embolization of bleeding visceral pseudoaneurysms following pancreatectomy: the importance of early angiography. Arch Surg. 1998;133(10):1099-1102. doi:10.1001/archsurg.133.10.1099
  3. Evans RP, Mourad MM, Pall G, Fisher SG, Bramhall SR. Pancreatitis: preventing catastrophic haemorrhage. World J Gastroenterol. 2017;23(30):5460-5468. doi:10.3748/wjg.v23.i30.5460
  4. Maatman TK, Heimberger MA, Lewellen KA, et al. Visceral artery pseudoaneurysm in necrotizing pancreatitis: incidence and outcomes. Can J Surg. 2020;63(3):E272-E277. Published 2020 May 21. doi:10.1503/cjs.009519
  5. Verde F, Fishman EK, Johnson PT. Arterial pseudoaneurysms complicating pancreatitis: literature review. J Comput Assist Tomogr. 2015;39(1):7-12. doi:10.1097/RCT.0000000000000153
  6. Tulsyan N, Kashyap VS, Greenberg RK, et al. The endovascular management of visceral artery aneurysms and pseudoaneurysms. J Vasc Surg. 2007;45(2):276-283. doi:10.1016/j.jvs.2006.10.049
  7. Udd M, Leppäniemi AK, Bidel S, Keto P, Roth WD, Haapiainen RK. Treatment of bleeding pseudoaneurysms in patients with chronic pancreatitis. World J Surg. 2007;31(3):504-510. doi:10.1007/s00268-006-0209-z
  8. Bergert H, Hinterseher I, Kersting S, Leonhardt J, Bloomenthal A, Saeger HD. Management and outcome of hemorrhage due to arterial pseudoaneurysms in pancreatitis. Surgery. 2005;137(3):323-328. doi:10.1016/j.surg.2004.10.009
  9. Tessier DJ, Stone WM, Fowl RJ, et al. Clinical features and management of splenic artery pseudoaneurysm: case series and cumulative review of literature. J Vasc Surg. 2003;38(5):969-974. doi:10.1016/s0741-5214(03)00710-9
  10. Habib N, Hassan S, Abdou R, et al. Gastroduodenal artery aneurysm, diagnosis, clinical presentation and management: a concise review. Ann Surg Innov Res. 2013;7(1):4. Published 2013 Apr 16. doi:10.1186/1750-1164-7-4
  11. Balachandra S, Siriwardena AK. Systematic appraisal of the management of the major vascular complications of pancreatitis. Am J Surg. 2005;190(3):489-495. doi:10.1016/j.amjsurg.2005.03.009
  12. Batagini NC, El-Arousy H, Clair DG, Kirksey L. Open versus endovascular treatment of visceral artery aneurysms and pseudoaneurysms. Ann Vasc Surg. 2016;35:1-8. doi:10.1016/j.avsg.2016.01.035
  13. Bresler L, Boissel P, Grosdidier J. Major hemorrhage from pseudocysts and pseudoaneurysms caused by chronic pancreatitis: surgical therapy. World J Surg. 1991;15(5):649-653. doi:10.1007/BF01789217
  14. Hogendoorn W, Lavida A, Hunink MG, et al. Cost-effectiveness of endovascular repair, open repair, and conservative management of splenic artery aneurysms. J Vasc Surg. 2015;61(6):1432-1440. doi:10.1016/j.jvs.2014.12.064
  15. Kneuertz PJ, Pitt HA, Bilimoria KY, et al. Risk of morbidity and mortality following hepato-pancreato-biliary surgery. J Gastrointest Surg. 2012;16(9):1727-1735. doi:10.1007/s11605-012-1938-y