Unsupported Browser
The American College of Surgeons website is not compatible with Internet Explorer 11, IE 11. For the best experience please update your browser.
Menu
Become a member and receive career-enhancing benefits

Our top priority is providing value to members. Your Member Services team is here to ensure you maximize your ACS member benefits, participate in College activities, and engage with your ACS colleagues. It's all here.

Become a Member
Become a member and receive career-enhancing benefits

Our top priority is providing value to members. Your Member Services team is here to ensure you maximize your ACS member benefits, participate in College activities, and engage with your ACS colleagues. It's all here.

Become a Member
ACS
Case Reviews in Surgery

Diagnostic and Surgical Challenges of an Obstructing Bile Duct Neuroma Following Previous Roux-en-Y Gastric Bypass Requiring Pancreaticoduodenectomy

Bile duct neuromas are rare after pancreaticoduodenectomy for distal biliary stricture, and preoperative diagnosis remains extremely challenging

July 8, 2021

Abstract

Background

Bile duct neuromas are extremely rare and often mimic invasive cancer, typically requiring oncologic resection. Limited cases have described pancreaticoduodenectomy for distal ductal neuromas, yet none reported to date have occurred in a patient with a prior gastric bypass reconstruction.

Summary

A 66-year-old Caucasian female with prior Roux-en-Y gastric bypass presented to our institution with obstructive jaundice and no discrete lesion on imaging. Attempts at endoscopic evaluation were unsuccessful, and she required percutaneous transhepatic cholangiocatheter placement. Cytologic brushings through percutaneous transhepatic biliary access were suspicious for malignancy. The patient underwent pancreaticoduodenectomy with extensive adhesiolysis with preservation of her previous gastrojejunal bypass anatomy. The final pathologic evaluation was consistent with a benign neuroma compressing the distal common bile duct. The patient experienced a bowel obstruction and delayed resumption of diet requiring parenteral nutrition but has returned to oral diet and continues to recover well.

Conclusion

Bile duct neuromas are rare after pancreaticoduodenectomy for distal biliary stricture, and preoperative diagnosis remains extremely challenging. Operative management of distal biliary obstruction in the setting of a prior Roux-en-Y gastric bypass requires a careful multidisciplinary approach given the inherent challenges in preoperative endoscopic workup. Pancreaticoduodenectomy can be performed in carefully selected patients if all available evaluations cannot rule out malignancy definitively.

Key Words

neuroma; schwannoma; bile duct tumor; pancreaticoduodenectomy; gastric bypass


Case Description

Bile duct neuromas (also described in the literature as schwannomas, neurolemomas, or neurinomas) are extremely rare benign tumors of the neural tissue along the bile ducts. Presentation with jaundice is most common, leading to workup for invasive biliary or pancreatic malignancy, including endoscopic retrograde cholangiopancreatography (ERCP), which is typically non-diagnostic.15 Conservative treatment often requires oncologic resection, such as bile duct resection with Roux-en-Y bilioenteric reconstruction. Patients with a previous Roux-en-Y gastric bypass present a particular challenge in both diagnostic and therapeutic endoscopic evaluation and, consequently, the surgical management of biliary neoplasms. We present a case of an obstructing distal bile duct neuroma in a patient with previous Roux-en-Y gastric bypass, which precluded endoscopic ultrasound-guided tissue biopsy and ultimately required pancreaticoduodectomy for definitive oncologic evaluation and treatment.

A 66-year-old Caucasian female with an extensive medical history, including heart disease, hyperlipidemia, and morbid obesity status post open Roux-en-Y gastric bypass in 1980 as well as an uncomplicated cholecystectomy, was referred to a hepatobiliary and pancreatic surgery practice at an academic tertiary care hospital by her family physician due to acute worsening of abdominal pain which had been gradually progressive over several months with intermittent nausea, vomiting, and acholic stools. The clinical exam was notable for right upper quadrant abdominal pain and jaundice. Laboratory evaluation was notable for total bilirubin 2.2 mg/dL, direct bilirubin 1.0 mg/dL, aspartate aminotransferase 90 IU/L, alanine aminotransferase 45 IU/L, alkaline phosphatase 208 IU/L, internal normalized ratio 1.2, and serum lipase 341 U/L. Imaging with computed tomography (CT) demonstrated intrahepatic and extrahepatic biliary dilatation with mild pancreatic ductal dilatation but no definite biliary or pancreatic lesion visualized (Figure 1).

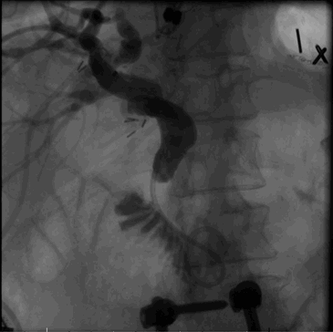
Figure 1. The fluoroscopic image taken during placement of the percutaneous transhepatic catheter shows an extrahepatic biliary stricture in the mid-to-distal common bile duct with abrupt cutoff of contrast flow and upstream intra- and extrahepatic biliary dilatation.

Gastroenterology was consulted for diagnostic and therapeutic options for an apparent distal biliary obstruction; however, her history of gastric bypass precluded a standard endoscopic retrograde pancreatography, and a previously placed spinal stimulator prevented evaluation with magnetic resonance cholangiopancreatography. Biliary access and drainage were achieved through percutaneous transhepatic cholangiocatheter placement. As there was no radiographically targetable mass, brushing of the distal common bile duct was performed at the time of percutaneous biliary drain placement, and cytology revealed clusters of atypical bile duct epithelial cells suspicious for adenocarcinoma (Figure 2). Radiographic staging workup was negative for metastatic disease. Tumor markers after total bilirubin normalized demonstrated a CA19-9 of 50 units/mL and a CEA of 1.7 ng/mL.

Figure 2. Cytologic brushings with atypical cells obtained from the distal common bile duct after percutaneous transhepatic catheter placement

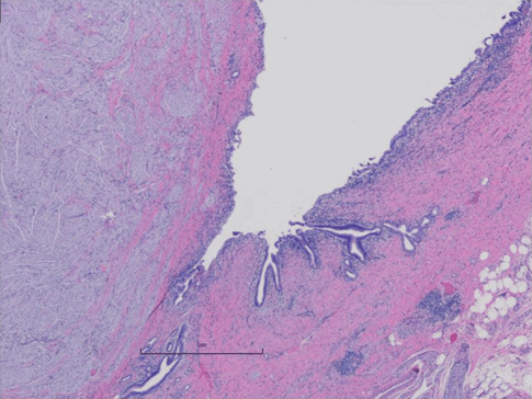
Given the clinical suspicion for distal cholangiocarcinoma without alternative means for a more definitive tissue diagnosis and no evidence of metastatic disease, surgical resection with appropriate lymph node harvest was offered as the next step in oncologic management. The patient consented to and underwent an open pancreaticoduodenectomy with resection of the gastric remnant. The operation was performed by a fellowship-trained specialist in both surgical oncology and hepatobiliary and pancreatic surgery. The prior gastrojejunal bypass anatomy was preserved, gastrointestinal continuity was restored with a Roux-en-Y pancreaticojejunostomy and choledochojejunostomy, and a feeding jejunostomy tube was placed in the common channel. Final pathology demonstrated proliferation of bland spindle cells compressing the distal common bile duct with the extension of some nerve fibers from the lesion in a tangled irregular pattern suggestive of a traumatic neuroma (Figure 3).

Figure 3. Final pathologic examination of the periductal mass associated with the biliary stricture, demonstrating a spindle pattern consistent with a bile duct neuroma without evidence of malignancy

There was no evidence of malignancy with negative pancreatic and bile duct margins. Postoperatively, she developed a sterile abdominal fluid collection requiring percutaneous drainage (Clavien-Dindo grade IIIa) and a mechanical bowel obstruction for which she was managed successfully with nasogastric decompression (Clavien-Dindo grade II).6,7 She was discharged home on postoperative day 16 and is recovering well.

Discussion

Neuromas arise from Schwann cells, which myelinate peripheral nerves and are most commonly benign (>90 percent) unless associated with neurofibromatosis disorders. The most common sites are the head, neck, trunk, and extremities. Rarely, neuromas arise in the gastrointestinal tract and even the retroperitoneum.8 Limited case reports have described neuromas in the pancreas,811 porta hepatis,4,5 gallbladder,12 and intrahepatic or extrahepatic bile ducts.2,3,1315 The pathogenesis of most neuromas is believed to be associated with a loss of function of the protein merlin which is encoded on the neurofibromatosis type 2 gene.16 However, tissue trauma during surgery has been described to stimulate neuroma formation, including “traumatic” bile duct neuromas attributed to prior cholecystectomy.17,18

Most reported incidences of bile duct neuromas present with jaundice from obstruction.2,5,13 Campos et al. recently reviewed 18 cases of neuromas of common bile duct predominantly causing an obstruction (14 of 18), most of which were in the proximal or middle common bile duct (15 of 18).3 Neuromas arising throughout the pancreas most commonly present with abdominal pain (44 percent) rather than jaundice (3 percent), as shown in 65 cases as reviewed by Xu et al.,8 even though 45 percent of these tumors were located within the pancreatic head. In the case presented, the patient initially described vague abdominal pain for several months before developing signs of biliary obstruction with acholic stools and jaundice.

Preoperative diagnosis is very uncommon as neuromas typically cause ill-defined narrowing mimicking cholangiocarcinoma.3 However, they can appear as nonspecific heterogeneous masses on CT and MRI.19 Serum tumor markers are usually negative,3 and evaluation with 18-fluorodeoxyglucose PET or PET/CT remains controversial.9,19 Regardless of etiology, biliary obstruction uniformly warrants evaluation with endoscopic retrograde cholangiopancreatography (ERCP) whenever possible, often including endoscopic ultrasound. Unfortunately, obtaining a tissue diagnosis preoperatively is challenging, as either a distinct lesion cannot be identified or the tumor is not amenable to biopsy due to its location within the porta hepatis with adjacent portal vasculature.4,13

In this case, a prior gastric bypass precluded a successful attempt at standard endoscopic evaluation and biopsy with ERCP and EUS. Biliary drainage was ultimately accomplished through a percutaneous transhepatic route. Cytologic brushings of the distal bile duct were performed, and the suspicion for malignancy existed based on histopathologic findings. We discussed alternatives and additional workup, such as transgastric ERCP/EUS, with or without cholangioscopy, either by the percutaneous or laparoscopic-assisted approach. Given her prior complex open surgical history, we felt the likelihood of accomplishing the additional workup in a minimally invasive fashion would be low. Additionally, given the suspicious cytopathologic findings on percutaneous brushings and elevated CA19-9, we felt we could not rule out an invasive malignancy definitively, and pathologic discordance would create confusion and diagnostic dilemma. As with previously described cases as that of Watanabe et al.,10 this patient was offered pancreaticoduodenectomy with bilioenteric reconstruction. To the authors’ knowledge, this represents the first case report in English literature of a bile duct neuroma in the setting of a prior gastric bypass requiring pancreaticoduodenectomy.

Recent literature has explored various surgical techniques, considerations, and risks involved in complex bilioenteric reconstruction after previous Roux-en-Y gastric bypass. Experiences with operative decisions, such as whether to perform a completion gastrectomy and how to manage the Roux limb have been described in several case reports but remain guided mainly by surgeon experience and operative findings.2022

Conclusion

Bile duct neuromas are a rare cause of biliary obstruction typically found on pathologic examination. Surgical resection for obstructing bile duct lesions should remain appropriately aimed at the risk for malignancy even when previous gastrointestinal reconstruction presents additional complexity in preoperative and operative decision-making.

Lessons Learned

We present this case to highlight the unique scenario of two otherwise independently challenging management obstacles combining in this patient’s evaluation and the complex decision-making required. An increasingly obese population coupled with the known increased risk of periampullary cancer has brought the challenges of pancreaticoduodenectomy after prior gastric reconstruction to the forefront of many surgical practices. Obtaining a tissue diagnosis is not always possible. The surgeon must be prepared to offer surgical intervention based on suspicion in patients with appropriate performance status and reasonable preoperative cardiopulmonary risk assessment.

Authors

Pickens RCa; Passeri MJa; Romano RCb; Wax TDb; Prichard EHb; Mai NHb; Piller CFb; Kinney RBb; Vrochides Da; Ocuin LMa,c

Author Affiliations

  1. Atrium Health Carolinas Medical Center, Department of Surgery, Division of Hepatobiliary and Pancreatic Surgery, Charlotte, NC 28203
  2. Atrium Health Cabarrus, Department of Pathology, Concord, NC 28025
  3. Atrium Health Cabarrus, Department of Surgery, Division of Hepatobiliary and Pancreatic Surgery, Concord, NC 28025

Corresponding Author

Lee M. Ocuin, MD
Atrium Health Cabarrus, Division of Hepatobiliary and Pancreatic Surgery
200 Medical Park Drive, Ste. 430
Concord, NC 28025
Phone: (704) 403-5892
E-mail: lee.ocuin@atriumhealth.org

Disclosure Statement

The authors have no conflicts of interest to disclose.

Meeting Presentation

North Carolina Chapter of the American College of Surgeons, Pinehurst, NC, July 2019

References

  1. Fonseca GM, Montagnini AL, Rocha Mde S, et al. Biliary tract schwannoma: a rare cause of obstructive jaundice in a young patient. World J Gastroenterol. 2012;18(37):5305-5308. doi:10.3748/wjg.v18.i37.5305
  2. Madhusudhan KS, Srivastava DN, Dash NR, Gupta C, Gupta SD. Case report. Schwannoma of both intrahepatic and extrahepatic bile ducts: a rare case. Br J Radiol. 2009;82(982):e212-e215. doi:10.1259/bjr/63746798
  3. Marin Campos C, Garcia Sanz I, Muñoz de Nova JL, Valdés de Anca A, Martín Pérez ME. Schwannoma of the biliary tract resembling cholangiocarcinoma: a case report and review. Ann R Coll Surg Engl. 2016;98(7):e143-e146. doi:10.1308/rcsann.2016.0189
  4. Xu SY, Sun K, Xie HY, Zhou L, Zheng SS, Wang WL. Schwannoma in the hepatoduodenal ligament: A case report and literature review. World J Gastroenterol. 2016;22(46):10260-10266. doi:10.3748/wjg.v22.i46.10260
  5. Yin SY, Zhai ZL, Ren KW, et al. Porta hepatic schwannoma: case report and a 30-year review of the literature yielding 15 cases. World J Surg Oncol. 2016;14:103. Published 2016 Apr 2. doi:10.1186/s12957-016-0858-9
  6. Clavien PA, Barkun J, de Oliveira ML, et al. The Clavien-Dindo classification of surgical complications: five-year experience. Ann Surg. 2009;250(2):187-196. doi:10.1097/SLA.0b013e3181b13ca2
  7. Dindo D, Demartines N, Clavien PA. Classification of surgical complications: a new proposal with evaluation in a cohort of 6336 patients and results of a survey. Ann Surg. 2004;240(2):205-213. doi:10.1097/01.sla.0000133083.54934.ae
  8. Xu SY, Sun K, Owusu-Ansah KG, et al. Central pancreatectomy for pancreatic schwannoma: A case report and literature review. World J Gastroenterol. 2016;22(37):8439-8446. doi:10.3748/wjg.v22.i37.8439
  9. Fukuhara S, Fukuda S, Tazawa H, et al. A case of pancreatic schwannoma showing increased FDG uptake on PET/CT. Int J Surg Case Rep. 2017;36:161-166. doi:10.1016/j.ijscr.2017.05.031
  10. Watanabe T, Araki K, Ishii N, et al. A surgically resected pancreatic schwannoma with obstructive jaundice with special reference to differential diagnosis from other cystic lesions in the pancreas. Case Rep Gastroenterol. 2018;12(1):85-91. Published 2018 Feb 21. doi:10.1159/000485559
  11. Xu SY, Wu YS, Li JH, et al. Successful treatment of a pancreatic schwannoma by spleen-preserving distal pancreatectomy. World J Gastroenterol. 2017;23(20):3744-3751. doi:10.3748/wjg.v23.i20.3744
  12. Lin YX, Liu ZM, Fu YY, Jia QB. Unsuspected schwannomas of the gallbladder. Dig Liver Dis. 2018;50(3):310. doi:10.1016/j.dld.2017.10.003
  13. Fenoglio L, Severini S, Cena P, et al. Common bile duct schwannoma: a case report and review of literature. World J Gastroenterol. 2007;13(8):1275-1278. doi:10.3748/wjg.v13.i8.1275
  14. Jung JH, Joo KR, Chae MJ, et al. Extrahepatic biliary schwannomas: a case report. J Korean Med Sci. 2007;22(3):549-552. doi:10.3346/jkms.2007.22.3.549
  15. Parameshwarappa S, Rodrigues G, Kumar S, Patil B, Valliathan M. Schwannoma of common bile duct causing obstructive jaundice. Indian J Surg. 2010;72(Suppl 1):333-335. doi:10.1007/s12262-010-0081-9
  16. Hilton DA, Hanemann CO. Schwannomas and their pathogenesis. Brain Pathol. 2014;24(3):205-220. doi:10.1111/bpa.12125
  17. Sleiman YA, Hassoun ZA, Nasser HA, Abs L, Allouch M. A late unusual complication after an open cholecystectomy: Amputation neuroma of the CBD causing obstructive jaundice. Int J Surg Case Rep. 2017;39:123-125. doi:10.1016/j.ijscr.2017.07.040
  18. Toyonaga H, Taniguchi Y, Inokuma T, Imai Y. Traumatic bile duct neuroma diagnosed by boring biopsy with cholangioscopy. Gastrointest Endosc. 2018;87(5):1361-1362. doi:10.1016/j.gie.2017.10.015
  19. Lee NJ, Hruban RH, Fishman EK. Abdominal schwannomas: review of imaging findings and pathology. Abdom Radiol (NY). 2017;42(7):1864-1870. doi:10.1007/s00261-017-1088-5
  20. Hatzaras I, Sachs TE, Weiss M, Wolfgang CL, Pawlik TM. Pancreaticoduodenectomy after bariatric surgery: challenges and available techniques for reconstruction. J Gastrointest Surg. 2014;18(4):869-877. doi:10.1007/s11605-013-2418-8
  21. Morano WF, Shaikh MF, Gleeson EM, et al. Reconstruction options following pancreaticoduodenectomy after Roux-en-Y gastric bypass: a systematic review. World J Surg Oncol. 2018;16(1):168. Published 2018 Aug 13. doi:10.1186/s12957-018-1467-6
  22. Younan G, Tsai S, Evans DB, Christians KK. A novel reconstruction technique during pancreaticoduodenectomy after Roux-en-Y gastric bypass: how I do it. J Gastrointest Surg. 2017;21(7):1186-1191. doi:10.1007/s11605-017-3405-2