Unsupported Browser
The American College of Surgeons website is not compatible with Internet Explorer 11, IE 11. For the best experience please update your browser.
Menu
Become a member and receive career-enhancing benefits

Our top priority is providing value to members. Your Member Services team is here to ensure you maximize your ACS member benefits, participate in College activities, and engage with your ACS colleagues. It's all here.

Become a Member
Become a member and receive career-enhancing benefits

Our top priority is providing value to members. Your Member Services team is here to ensure you maximize your ACS member benefits, participate in College activities, and engage with your ACS colleagues. It's all here.

Become a Member
ACS
Case Reviews in Surgery

Pneumatosis Intestinalis and Pneumoperitoneum without Bowel Injury

Methylene blue chromoendoscopy is a reliable adjunct technique for assessing mucosal compromise in cases of PI with pneumoperitoneum.

July 8, 2021

Abstract

Background

A 78-year-old male with a remote history of peptic ulcer disease presented with a history of ongoing abdominal pain, new-onset black, tarry stools, and radiological evidence of pneumatosis intestinalis with pneumoperitoneum.

Summary

In this case, a 78-year-old male patient on chronic low-dose steroids with a remote history of peptic ulcer disease presented with a history of abdominal pain refractory to initial medical management by a primary care physician. The presence of black, tarry stools prompted his presentation to the ED. Physical exam and labs did not indicate the need for acute intervention. However, radiological evidence of pneumatosis intestinalis with pneumoperitoneum was concerning for hollow viscus injury and potential bowel compromise. The patient underwent a non-therapeutic exploratory laparotomy with methylene blue chromoendoscopy, which did not reveal mucosal compromise or bowel injury. Pneumoperitoneum was attributed to rupture of emphysematous blebs along, but not within, bowel wall. He had an uncomplicated postoperative course, and extensive follow up with his primary care physician and gastroenterologist helped to determine medical interventions to mitigate persistent abdominal discomfort.

Conclusion

Pneumatosis intestinalis is a rare finding, and its significance cannot be determined outside of a clinical context. Methylene blue chromoendoscopy is a reliable adjunct technique for assessing mucosal compromise in cases of PI with pneumoperitoneum.

Key Words

pneumatosis; pneumatosis intestinalis; pneumoperitoneum; exploratory laparotomy


Case Description

Pneumatosis intestinalis (PI) is a rare finding that may accompany benign, self-limiting processes or signal potentially fatal circumstances that require urgent surgical intervention. Because it is a pathological sign and not a diagnosis itself, PI may be associated with various underlying etiologies, from benign, self-limiting conditions to fatal ones. Moreover, PI can be caused by these pathologies, as well as a benign idiopathic condition1,2 or iatrogenic causes.3,4 There are multiple theories proposed for the mechanism by which patients develop PI, which is not mutually exclusive. They include bacterial overgrowth causing increased intraluminal gas, increases in intraluminal gas secondary to blunt trauma, mucosal compromise due to corticosteroid-induced atrophy of Peyer’s patches, and pulmonary gas migration via vascular channels.57

The case we present here describes a patient who warranted surgical intervention due to concomitant pneumoperitoneum. This case illustrates an example of radiologically identified PI with surgical intervention. A 73-year-old man presented to the emergency department (ED) with ten days of epigastric pain and one dark, tarry bowel movement the previous night prompting his ED visit. He had complained of epigastric pain to his primary care physician (PCP) just days prior, who started him on a proton pump inhibitor which failed to relieve his symptoms. He denied any other changes in bowel movements, and his medical history was significant for GI bleeding 25 years previous secondary to excessive NSAID use, which was diagnosed as peptic ulcer disease and quickly resolved after discontinuation. His most recent colonoscopy was one year before presentation with one benign polyp. He was adherent to a chronic course of prednisone 10 mg daily for the management of polymyalgia rheumatica.

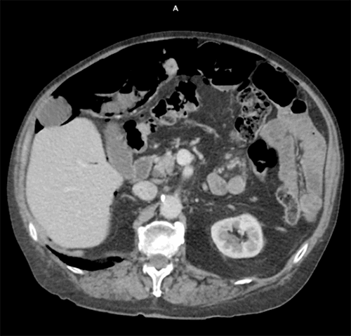
On arrival, he was afebrile and hemodynamically stable. Physical exam revealed mild epigastric tenderness but no rebound, guarding, distension, masses, or organomegaly. On rectal exam, he had dark stool that was guiac negative. His labs were significant for white blood cell count of 9,600/μL, creatinine of 1.3 mg/dL, and lactic acid of 1.47 mmol/L. A CT scan was obtained, which showed pneumatosis of the small bowel and extensive pneumoperitoneum, and he was urgently taken to the OR for concern of hollow viscous injury with possible bowel ischemia (Figure 1).

Figure 1. Small bowel pneumatosis with extensive pneumoperitoneum. No evidence of portal venous gas

This patient underwent a non-therapeutic laparotomy which revealed extensive emphysematous blebs along the small bowel (Figure 2). Intraoperatively, we immediately noted multiple emphysematous protrusions from the bowel without pneumatosis of the bowel. On palpation of the blebs, the air in them did not appear to connect to the bowel itself. We inspected the small bowel from the ligament of Treitz to the terminal ileum, only noting the multiple emphysematous protrusions. There was no evidence of bowel compromise. It appeared that most of his presumed extramural air was due to the blebs outside of the bowel and any small amount of free air notable on imaging was due to a ruptured bleb. Given his ulcer history, we elected to perform an intraoperative esophagogastroduodenoscopy (EGD) with methylene blue chromoendoscopy through the third portion of the duodenum. There was no evidence of perforation, ulcer, or mucosal compromise. We insufflated the stomach and duodenum with no bubbling of irrigation in the abdomen.

Figure 2. Emphysematous blebs along the small bowel confirmed intraoperatively

His postoperative course was marked by abdominal pain and distension shortly after surgery. He was transferred to the intensive care unit (ICU) with bowel rest and serial abdominal exams. His diet was advanced to clear liquids on postoperative day 4, and he was discharged the following day. Per PCP followup, he continued to have loose, dark stools as well as nausea without emesis for two weeks post-discharge. His epigastric pain likewise persisted, and he was somewhat relieved with belching. He was started on daily polyethylene glycol (Miralax) per gastroenterology recommendation after a subsequent CT scan showed potential for partial small bowel obstruction. At three-month follow-up, his bowel movements had returned to normal. His nausea was only intermittent and well managed with PRN ondansetron, but he continued to have uncomfortable abdominal distension. A trial of octreotide did not relieve his symptoms, but at a six-month follow up, a trial of pyridostigmine relieved his distension immediately upon administration.

Discussion

PI is a pathological condition whose significance is indeterminate if considered outside of a clinical context. Because of its rarity, few high-powered studies exist to understand the assessment and management of patients with PI. This case describes the surgical management of a patient with PI, possibly secondary to chronic corticosteroid use.

Because PI is so uncommon, management remains unclear despite being increasingly identified by various imaging modalities, especially CT.5,6 CT has a high sensitivity for PI. In contrast, the sensitivity of abdominal X ray has been calculated to be between 23 percent and 67 percent.5,6 In one study, barium enema was used to confirm 21 of 22 patients with PI.5 One larger case series suggests indications for surgical intervention based on leukocytosis, the presence of portal venous gas, and emesis secondary to obstruction as indications for urgent exploratory surgery.4 Others propose a stepwise approach to stratifying patients based on absolute indications for surgical intervention followed by calculating a vascular disease score to determine the likelihood of underlying acute mesenteric ischemia1 or risk scores based on peritoneal irritation and bowel wall enhancement.8 More conservative management has been proposed even in the case of concomitant pneumoperitoneum.9 Many studies have corroborated the increased mortality risk associated with the presence of portal venous gas3,4,10 and hyperlactemia,2 neither of which was present in this patient. These management strategies help to determine the indication for exploratory surgery versus medical management in patients with PI of unclear etiology.

In this case, indications for surgery included radiologic evidence of pneumoperitoneum and possible bowel ischemia. However, all bowel was found to be viable without perforation or ischemia. This indicates the necessity for further studies in clinically stable patients with pneumatosis intestinalis of unknown etiology and emphasizes the importance of clinical context in surgical decision-making.

Lessons Learned

The significance of PI can be assessed radiologically in consideration of clinical context. Methylene blue chromoendoscopy can be utilized to assess mucosal compromise in a patient with PI and concomitant pneumoperitoneum, which may be due to rupture of emphysematous blebs without bowel wall injury.

Authors

Kirkpatrick Sa; Loftus Tb; Vanzant Eb; Navarro Eb; Mohr Ab; Rosenthal Mb

Author Affiliations

  1. University of Florida College of Medicine, Gainesville, FL 32610
  2. University of Florida, Department of Surgery, Gainesville, FL 32610

Corresponding Author

Martin Rosenthal, MD
University of Florida, Department of Surgery
PO Box 100286
Gainesville, FL 32610
Phone: (352) 265-0646
E-mail: martin.rosenthal@surgery.ufl.edu

Disclosure Statement

The authors have no conflicts of interest to disclose.

References

  1. Wayne E, Ough M, Wu A, et al. Management algorithm for pneumatosis intestinalis and portal venous gas: treatment and outcome of 88 consecutive cases. J Gastrointest Surg. 2010;14(3):437-448. doi:10.1007/s11605-009-1143-9
  2. DuBose JJ, Lissauer M, Maung AA, et al. Pneumatosis intestinalis predictive evaluation study (PIPES): a multicenter epidemiologic study of the Eastern Association for the Surgery of Trauma. J Trauma Acute Care Surg. 2013;75(1):15-23. doi:10.1097/TA.0b013e318298486e
  3. Wiesner W, Mortelé KJ, Glickman JN, Ji H, Ros PR. Pneumatosis intestinalis and portomesenteric venous gas in intestinal ischemia: correlation of CT findings with severity of ischemia and clinical outcome. AJR Am J Roentgenol. 2001;177(6):1319-1323. doi:10.2214/ajr.177.6.1771319
  4. Greenstein AJ, Nguyen SQ, Berlin A, et al. Pneumatosis intestinalis in adults: management, surgical indications, and risk factors for mortality. J Gastrointest Surg. 2007;11(10):1268-1274. doi:10.1007/s11605-007-0241-9
  5. St Peter SD, Abbas MA, Kelly KA. The spectrum of pneumatosis intestinalis. Arch Surg. 2003;138(1):68-75. doi:10.1001/archsurg.138.1.68
  6. Ho LM, Paulson EK, Thompson WM. Pneumatosis intestinalis in the adult: benign to life-threatening causes. AJR Am J Roentgenol. 2007;188(6):1604-1613. doi:10.2214/AJR.06.1309
  7. Gardenyes J, Hermoso J, Curbelo Y, et al. Gastric pneumatosis associated to portal venous gas: an image of emphysematous gastritis. Surgery. 2018;164(2):370-371. doi:10.1016/j.surg.2018.02.008
  8. Lee HS, Cho YW, Kim KJ, Lee JS, Lee SS, Yang SK. A simple score for predicting mortality in patients with pneumatosis intestinalis. Eur J Radiol. 2014;83(4):639-645. doi:10.1016/j.ejrad.2014.01.003
  9. Dhadlie S, Mehanna D, McCourtney J. Pneumatosis intestinalis a trap for the unwary: case series and literature review. Int J Surg Case Rep. 2018;53:214-217. doi:10.1016/j.ijscr.2018.10.079
  10. Morris MS, Gee AC, Cho SD, et al. Management and outcome of pneumatosis intestinalis. Am J Surg. 2008;195(5):679-683. doi:10.1016/j.amjsurg.2008.01.011