Unsupported Browser
The American College of Surgeons website is not compatible with Internet Explorer 11, IE 11. For the best experience please update your browser.
Menu
Become a member and receive career-enhancing benefits

Our top priority is providing value to members. Your Member Services team is here to ensure you maximize your ACS member benefits, participate in College activities, and engage with your ACS colleagues. It's all here.

Become a Member
Become a member and receive career-enhancing benefits

Our top priority is providing value to members. Your Member Services team is here to ensure you maximize your ACS member benefits, participate in College activities, and engage with your ACS colleagues. It's all here.

Become a Member
ACS
Case Reviews in Surgery

Unexpected Diagnosis of Sporadic Medullary Thyroid Carcinoma

We present a case where clinical suspicion of thyroid malignancy was low in the first assessment.

July 8, 2021

Abstract

Background

Due to the high incidence of thyroid nodules in the general population, diagnostic ultrasound and fine needle aspiration are used to identify a potentially malignant disease and guide further testing. Medullary thyroid carcinoma (MTC) is a rare malignancy of the parafollicular cells of the thyroid gland. In many cases, the disease has already metastasized at the time of diagnosis. Here, we present a case where clinical suspicion of thyroid malignancy was low in the first assessment; however, molecular testing suggested the diagnosis of MTC and changed our preoperative treatment plan.

Summary

The patient presented at age 58 with a large right thyroid nodule. She was asymptomatic with no history of radiation exposure, family history, or risk factors for thyroid cancer. Thyroid ultrasonography revealed a 6 cm spongiform isoechoic nodule and no suspicious cervical lymphadenopathy. Although the nodule had low-risk features on ultrasound, fine needle aspiration (FNA) of the right nodule was performed per American Thyroid Association (ATA) guidelines due to its large size. The cytology showed atypia of undetermined significance (AUS), also known as Bethesda Category III. ThyroSeq® molecular testing of the nodule was positive for medullary thyroid carcinoma, with the probability of cancer being >95 percent. Given her diagnosis of MTC on ThyroSeq® and the large nodule size, the patient underwent a total thyroidectomy, right and left central cervical lymph node dissection, with right modified lateral neck dissection of the levels II, III, and IV of cervical nodes. The final pathology showed a 5 cm medullary thyroid carcinoma circumscribed without extrathyroid extension or lymphovascular invasion. On thyroid ultrasound, a spongiform appearance of thyroid nodules has been shown to have specificity of 99.7 percent for benign disease and 98.5 percent negative predictive value for malignancy. Still, this case suggests that other diagnostic methods may be considered before ruling out a malignant disease even more in large nodules.

Conclusion

Thyroid ultrasound provides a safe and effective method for examining thyroid nodules. However, ultrasound appearance alone is not predictive of malignant potential. The results of molecular testing can change operative planning and preoperative workup.

Keywords

thyroid cancer; thyroidectomy; thyroid nodule; medullary thyroid carcinoma


Case Description

A 58-year-old woman was referred to our endocrine surgery program in June 2018 to manage a large thyroid nodule. Examination revealed right thyromegaly without cervical lymphadenopathy. She had no history of dysphagia, shortness of breath, voice changes, palpitations, tremors, weight change, hair loss, change in bowel habits, or heat/cold intolerance. There was no history of radiation exposure or risk factors for thyroid cancer. Thyroid ultrasonography revealed an enlarged right lobe containing a 6 cm, fluid-filled, spongiform isoechoic nodule. The left lobe was normal-appearing, and there was no suspicious cervical lymphadenopathy (Figure 1). Although the nodule had low-risk features on ultrasound,1 fine needle aspiration (FNA) of the right 6 cm complex nodule was performed because the nodule met the size criteria specified in the American Thyroid Association (ATA) 2015 guidelines.2

Figure 1. High-resolution ultrasound images showing nodule in the right lobe of thyroid gland

The cytology showed Bethesda Category III (atypia of undetermined significance [AUS]) (Figure 2). ThyroSeq® molecular testing of the nodule was positive for medullary thyroid carcinoma. The probability of cancer was over 95 percent, given a strong overexpression of the calcitonin and chromogranin A genes despite no identification of RET or RAS mutations.

Figure 2. Cytology images showing Bethesda III (atypia of undetermined significance [AUS])

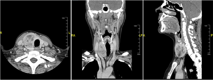
Given this new finding, we completed her MTC workup for tumor markers as well as screening for pheochromocytoma and primary hyperparathyroidism. Her serum level of carcinoembryonic antigen (CEA) and calcitonin were elevated at 16.5 and 392, respectively. She had normal plasma metanephrines, calcium, and parathyroid hormone (PTH). Staging computed tomography (CT) of her neck, chest, abdomen, and pelvis showed no evidence of metastatic disease (Figure 3).

Figure 3. Computed tomography of the neck revealing a large thyroid nodule without evidence of local metastatic disease

Given her diagnosis of MTC on molecular testing, we changed our surgical plan. If the patient had a benign disease, as was clinically suspected, or AUS on cytology without additional molecular testing she may have undergone total or even partial thyroidectomy. The ATA guidelines recommend the use of central and lateral neck dissections in MTC.2 Therefore, the patient underwent a total thyroidectomy, right and left central cervical lymph node dissection, with right modified lateral neck dissection of the levels II, III, and IV of cervical nodes (Figure 4). The final pathology showed a 5 cm medullary thyroid carcinoma circumscribed without extrathyroid extension or lymphovascular invasion and 12 negative lymph nodes.

Figure 4. Intraoperative photographs demonstrating a total thyroidectomy, with central cervical lymph node dissection

Postoperatively, the patient had an uneventful recovery with no signs of hypocalcemia, dysphagia, or changes in her voice. She was referred to genetic counseling, and her RET germline gene testing was negative. On her one-year postoperative visit, her calcitonin levels were undetectable, TSH normal, Tg antibody 1.1, thyroglobulin <0.2, and her surveillance cervical ultrasound showed no evidence of recurrence in the thyroidectomy bed or suspicious cervical lymph nodes.

Discussion

The most common presentation of MTC is as palpable thyroid nodule or enlargement of regional lymph nodes.3 In most patients with MTC, the disease has already metastasized at the time of diagnosis.4,5 Therefore, early diagnosis and treatment are essential in the management of MTC.

The thyroid ultrasound is usually the first diagnostic modality used and guides further tests. Factors such as ultrasound characteristics, risk factor assessment, size of the nodule, serum TSH and results of the FNA biopsy are taken into consideration in the management of thyroid nodules. FNA cytology is crucial in aiding clinical decision-making. In cytologically indeterminate nodules, different approaches have been used to improve the accuracy of the FNA cytology, like immunohistochemical stains, microRNAs, gene mutations/rearrangements, and gene expression panels.6 ThyroSeq® represents one of the molecular approaches to thyroid nodules that are based on the detection of thyroid cancer-associated molecular alterations in cell DNA and RNA.7

On thyroid ultrasound, spongiform appearance has been shown to have a specificity of 99.7 percent for benign disease and 98.5 percent negative predictive value for malignancy.810 In addition, the Bethesda system for reporting thyroid cytopathology assigns a risk of malignancy of 6 to 18 percent when AUS is seen with FNA.11 The specificity of the FNA to diagnose MTC ranges from 82.4 percent to 89 percent in two different studies in patients who had undergone FNA and whose disease was proven by surgery and pathology,2 and only 1.9 percent of patients whose FNA results were consistent with AUS were afterward diagnosed with MTC.12

Given these facts, the patient would be considered low risk for thyroid cancer. However, the use of molecular testing, in this case, allowed for early diagnosis and surgical planning for MTC, thereby avoiding the need for a second cancer operation after diagnostic thyroid surgery.

Conclusion

Thyroid ultrasound provides a safe and effective method for examining thyroid nodules. However, ultrasound appearance alone is not predictive of malignant potential. This case exemplifies the impact of molecular testing such as ThyroSeq® as an adjunct to cytological FNA.13 Sonographic features do not always correlate with the risk of medullary thyroid cancer.

When performing thyroid FNA, we routinely prepare an additional sample for molecular testing used only for indeterminate thyroid nodules. The results of molecular testing can change preoperative workup and operative planning when used appropriately for indeterminate thyroid nodules.

Lessons Learned

Thyroid ultrasound appearance alone is not predictive of malignant potential. Molecular testing is a good adjunct for surgical decision-making in cases of indeterminate thyroid FNA cytology.

Authors

Montenegro T; Lou I; Winkler C; Reisman T; Teixeira AdeQ; Owen R; Taye A

Author Affiliation

Icahn School of Medicine at Mount Sinai, Department of Surgery, New York, NY 10025

Corresponding Author

Aida Taye Bellistri, MD, FACS
Icahn School of Medicine at Mount Sinai, Department of Surgery, Division of Surgical Oncology
Mount Sinai West & St. Luke's Hospital
425 W. 59th Street, 7th floor, Room 167
New York, NY 10019
Phone: (212) 523-6051
E-mail: aida.taye@mountsinai.org

Disclosure Statement

The authors have no conflicts of interest to disclose.

References

  1. Xie C, Cox P, Taylor N, LaPorte S. Ultrasonography of thyroid nodules: a pictorial review. Insights Imaging. 2016;7(1):77-86. doi:10.1007/s13244-015-0446-5
  2. Wells SA Jr, Asa SL, Dralle H, et al. Revised American Thyroid Association guidelines for the management of medullary thyroid carcinoma. Thyroid. 2015;25(6):567-610. doi:10.1089/thy.2014.0335
  3. Stamatakos M, Paraskeva P, Stefanaki C, et al. Medullary thyroid carcinoma: The third most common thyroid cancer reviewed. Oncol Lett. 2011;2(1):49-53. doi:10.3892/ol.2010.223
  4. Pacini F, Schlumberger M, Dralle H, et al. European consensus for the management of patients with differentiated thyroid carcinoma of the follicular epithelium [published correction appears in Eur J Endocrinol. 2006 Aug;155(2):385]. Eur J Endocrinol. 2006;154(6):787-803. doi:10.1530/eje.1.02158
  5. American Thyroid Association Guidelines Task Force, Kloos RT, Eng C, et al. Medullary thyroid cancer: management guidelines of the American Thyroid Association [published correction appears in Thyroid. 2009 Nov;19(11):1295]. Thyroid. 2009;19(6):565-612. doi:10.1089/thy.2008.0403
  6. Hsiao SJ, Nikiforov YE. Molecular approaches to thyroid cancer diagnosis. Endocr Relat Cancer. 2014;21(5):T301-T313. doi:10.1530/ERC-14-0166
  7. Nikiforov YE, Baloch ZW. Clinical validation of the ThyroSeq v3 genomic classifier in thyroid nodules with indeterminate FNA cytology. Cancer Cytopathol. 2019;127(4):225-230. doi:10.1002/cncy.22112
  8. Moon WJ, Jung SL, Lee JH, et al. Benign and malignant thyroid nodules: US differentiation--multicenter retrospective study. Radiology. 2008;247(3):762-770. doi:10.1148/radiol.2473070944
  9. Perros P, Boelaert K, Colley S, et al. Guidelines for the management of thyroid cancer. Clin Endocrinol (Oxf). 2014;81 Suppl 1:1-122. doi:10.1111/cen.12515
  10. American Thyroid Association (ATA) Guidelines Taskforce on Thyroid Nodules and Differentiated Thyroid Cancer, Cooper DS, Doherty GM, et al. Revised American Thyroid Association management guidelines for patients with thyroid nodules and differentiated thyroid cancer [published correction appears in Thyroid. 2010 Aug;20(8):942. Hauger, Bryan R [corrected to Haugen, Bryan R]] [published correction appears in Thyroid. 2010 Jun;20(6):674-5]. Thyroid. 2009;19(11):1167-1214. doi:10.1089/thy.2009.0110
  11. Cibas ES, Ali SZ. The 2017 Bethesda System for Reporting Thyroid Cytopathology. Thyroid. 2017;27(11):1341-1346. doi:10.1089/thy.2017.0500
  12. Onder S, Firat P, Ates D. The Bethesda system for reporting thyroid cytopathology: an institutional experience of the outcome of indeterminate categories. Cytopathology. 2014;25(3):177-184. doi:10.1111/cyt.12091
  13. Nikiforova MN, Wald AI, Roy S, Durso MB, Nikiforov YE. Targeted next-generation sequencing panel (ThyroSeq) for detection of mutations in thyroid cancer. J Clin Endocrinol Metab. 2013;98(11):E1852-E1860. doi:10.1210/jc.2013-2292