Unsupported Browser
The American College of Surgeons website is not compatible with Internet Explorer 11, IE 11. For the best experience please update your browser.
Menu
Become a member and receive career-enhancing benefits

Our top priority is providing value to members. Your Member Services team is here to ensure you maximize your ACS member benefits, participate in College activities, and engage with your ACS colleagues. It's all here.

Become a Member
Become a member and receive career-enhancing benefits

Our top priority is providing value to members. Your Member Services team is here to ensure you maximize your ACS member benefits, participate in College activities, and engage with your ACS colleagues. It's all here.

Become a Member
ACS
Case Reviews in Surgery

Extraskeletal Osteosarcoma Misdiagnosed as Soft Tissue Sarcoma

Extraskeletal Osteosarcoma Misdiagnosed as Soft Tissue Sarcoma

May 14, 2021

Abstract

Background

A male patient was diagnosed with liposarcoma with pleomorphic features of the left thigh following biopsy. After excision, histologic examination identified the mass as an extraosseous chondroblastic osteosarcoma.

Summary

A 47-year-old male presented with an enlarging mass of the inner left thigh. Computed tomography (CT) revealed a complex fluid collection within the medial compartment of the left thigh. An incisional biopsy was performed, which identified the mass as a liposarcoma with pleomorphic features. The patient underwent surgical resection of the mass with complex wound closure. The final pathology recognized the lesion as an extraosseous chondroblastic osteosarcoma. Current National Comprehensive Cancer Network (NCCN) guidelines support soft tissue sarcoma treatment strategies for extraskeletal osteosarcoma. However, recent literature diverges from these guidelines for patients with higher stage tumors, particularly when it comes to systemic therapies. Our case highlights the need to update these recommendations for the optimization of patient care.

Conclusion

Recently within the published literature, the use of osseous osteosarcoma systemic therapies has gained support for treatment of late-stage extraosseous osteosarcoma. We present a case of extraskeletal osteosarcoma that meets the criteria for these therapies. Our case highlights the need to change current guidelines to reflect these recent findings so that patients receive the highest quality of care.

Key Words

extraskeletal; extraosseous osteosarcoma; soft tissue sarcoma


Case Description

A 47-year-old male presented to the emergency room with a rapidly growing mass in the inner aspect of his left thigh. One month prior, the patient had undergone incision and drainage of the mass in his home country of Guyana, which yielded a large amount of pus and necrotic debris. He traveled to the United States to receive further evaluation and treatment. CT demonstrated a well-circumscribed, complex fluid collection within the medial compartment of the mid-thigh measuring 11.5 cm x 9.9 cm x 7.5 cm. There was a hyperdense focus within the lateral portion suggestive of hemorrhage or debris. Medial to the fluid collection, there was skin thickening and mild subcutaneous inflammation. The patient underwent a second incision and drainage, which produced fragments of hemorrhagic and necrotic tissue. Samples of the tissue and muscle contents were sent to pathology, which revealed the abscess to be a liposarcoma with pleomorphic features. Immunohistochemical staining was positive for S100 and p53 and negative for desmin. The patient was scheduled for further surgical resection of the residual tumor after CT of the chest, abdomen, and pelvis ruled out metastasis. During this time course, the patient developed a secondary abscess of the wound and sought a second opinion on the management of the sarcoma at our institution.

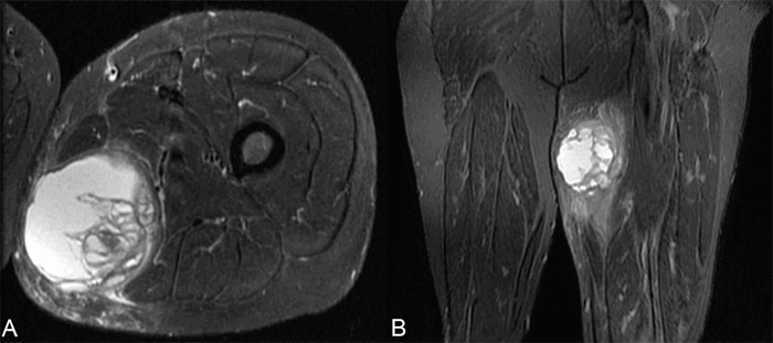
The patient reported continued swelling of the mass and increased pain in the left thigh over the next couple of weeks between examinations. Following a review of the initial pathology report with the consideration that he had undergone partial tumor resection, the patient was scheduled for radical resection of the remaining mass. Discussion regarding the use of neoadjuvant therapy was held; however, it was ultimately decided to resect first and offer adjuvant therapy. Before the surgery, the patient received magnetic resonance imaging (MRI), which located the mass between the gracilis and semimembranous muscle, suggesting that it likely originated in the adductor magnus muscle. The mass, measuring approximately 9.3 cm x 7.7 cm x 7.5 cm, was located 10 cm distal to the ischial tuberosity (Figure 1). A chest X ray further confirmed that there were no signs of metastatic disease. Subsequently, the patient underwent a radical resection of the left thigh mass measuring 25 cm x 15 cm x 10 cm with complex wound closure. The need for a large resection area was due to the combination of operating in a previously instrumented field and requiring negative margins in a patient who already underwent partial tumor resection.

Figure 1. A) The axial coronal view MRI of the femur using fast spin-echo inversion-recovery sequence (FSE-IR). B) The axial coronal view MRI of the femur using FSE-IR.

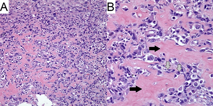
Histologic examination revealed that the mass was an extraosseous chondroblastic osteosarcoma, as evidenced by the lack of lipoblasts and presence of an osteoid matrix (Figure 2). The finding of chondroblasts is indicative of high-grade osteosarcoma. The tumor dimensions categorized the mass as T2. The combination of high-grade features with a large tumor size correlated to a stage IIIA soft-tissue sarcoma of the extremity. A tumor board reviewed the patient’s case and decided that the patient was a candidate for adjuvant radiotherapy. It was that chemotherapy was not required at this time because appropriate surgical margins were obtained. Systemic therapies would be used as needed for recurrence or metastasis. The patient tolerated radiation therapy well and has had no evidence of recurrence eight months following the surgery.

Figure 2. A) Malignant pleomorphic tumor cells with osteoid production (H&E low power magnification). B) pleomorphic tumor cells (gray arrows) with osteoid matrix (black arrows) (H&E high power magnification).

Discussion

Within the United States, it is estimated that there will be 12,750 new diagnoses of soft tissue sarcoma (STS) in 2019.1 Approximately 1 percent of these cancers will be extraskeletal osteosarcomas , a rare mesenchymal neoplasm that produces osteoid, bone, and chondroid material without being directly attached to the bone or periosteum.2 Our case is a typical representation of patients with this disease, a man above 40 years old presenting with a mass of the lower extremity.3 The differential for this presentation would include liposarcoma and undifferentiated pleomorphic sarcomas, which are typically much more common. Our patient was originally diagnosed with a liposarcoma based on biopsy but was later found to have extraskeletal osteosarcoma following excision. This raised the question of should the treatment plan change because of the changed diagnosis or should extraskeletal osteosarcoma be treated as an STS.

Currently, the National Comprehensive Cancer Network (NCCN) recommends using STS treatment guidelines for extraskeletal osteosarcoma.4 For localized lesions, patients should be treated with surgical resection. Radiation is used adjunctively for patients with marginal or margin-positive resections. In patients with large or aggressive variants, radiation can be utilized both preoperatively or postoperatively. Chemotherapy is a potential option for patients with Stage III disease, although its use is still presently debated. The administration of chemotherapy has not been shown to significantly impact overall survival in patients with STS.5 Our patient was eligible for radiation and chemotherapy, and thus a decision had to be made on its use.

Due to the rarity of extraskeletal osteosarcoma, evaluating optimal treatment strategies has been done through retrospective studies. Resection remains the cornerstone of treatment. It has been established that there is no difference in overall survival rates between those treated with resection versus those treated by amputation.6,7 Therefore, patients should be offered limb-sparing treatment when possible. Radiation has shown to improve local control of tumors but has not been found to positively affect disease-specific survival.8,9 It appears that radiation offers the greatest advantage to those with large tumors and R0 margins, further emphasizing the importance of resection with proper margins.10 These findings follow along with the guidelines for STS. It is when considering systemic therapy that the results diverge.

As mentioned, sarcomas are generally chemoresistant cancers, with chemotherapy only being used with unresectable or metastatic disease. Some histologic subtypes of sarcoma have demonstrated a positive response to chemotherapy. Pleomorphic liposarcomas are one such example, with studies demonstrating improved disease-specific survival in patients receiving the combination of doxorubicin and ifosfamide.11 This particular combination is commonly employed for STS. The use of systemic therapies in osseous osteosarcoma is more established, with NCCN guidelines recommending neoadjuvant and adjuvant chemotherapy for those with high-grade osseous osteosarcoma. The treatment regimen differs from STS as cisplatin, doxorubicin, and methotrexate are used.4

There have been conflicting findings within the literature on whether patients should receive a soft tissue or bone tumor chemotherapy regimen for extraskeletal osteosarcoma. Preliminary studies found that extraskeletal osteosarcoma should be viewed as distinct from osseous osteosarcoma due to its poor response to cisplatin and doxorubicin.6,12 Ahmad et al. reported an overall response rate of 13 percent for 15 patients treated with a cisplatin-containing regimens.6 However, more recent studies have offered different results and now suggest that these patients benefit greater from an osteosarcoma-type therapy.7,10,13,14 In 2018, Paludo et al. reported a 27 percent response rate in 22 patients treated with platinum-containing chemotherapy with significantly prolonged overall survival and progression-free survival rates in this subset of patients versus patients who did not receive any chemotherapy.13 These conclusions have yet to be reflected within the current treatment protocols as STS chemotherapy regimens are still suggested for those with extraskeletal osteosarcoma.

Our management thus far would have remained the same had we known the diagnosis of extraskeletal osteosarcoma preoperatively. Using the NCCN recommendations as guidance, we would have continued with surgical resection with postoperative radiation. Following these suggestions has yielded positive outcomes for the patient to date. However, extraskeletal osteosarcoma is an aggressive disease with one study finding a five-year survival rate of 46 percent among those with localized disease and a 10 percent rate for those with metastatic disease.6 Our patient’s tumor characteristics made him a candidate for systemic therapy, though it has been currently held. In the circumstance of future recurrence or metastasis, chemotherapy will be implemented. The literature review recommends using platinum-based chemotherapy, analogous to the conventional approach with osseous osteosarcoma. We recommend that these findings be echoed within the current NCCN treatment guidelines for extraskeletal osteosarcoma.

Conclusion

A male patient with stage IIIA ESOS underwent surgical excision and radiation according to STS treatment guidelines. Although the protocols recommend STS systemic therapies, recent evidence suggests that therapies effective for OOS should be utilized within extraskeletal cases as well. Our report highlights the need to change the NCCN guidelines to mirror these conclusions so that patients are receiving optimal care.

Lessons Learned

Treatment of extraskeletal osteosarcoma should follow soft tissue sarcoma guidelines in regards to excision and radiation. For patients with late-stage disease, osseous osteosarcoma systemic therapies should be used over soft tissue sarcoma regimens.

Authors

Quinn PLa; Aisner SCb; Chokshi RJa

Author Affiliations

  1. Rutgers New Jersey Medical School, Division of Surgical Oncology, Department of Surgery, Newark, NJ 07103
  2. Rutgers New Jersey Medical School, Department of Pathology, Immunology and Laboratory Medicine, Newark, NJ 07103

Corresponding Author

Ravi J. Chokshi, MD, MPH, FACS
Division of Surgical Oncology, Department of Surgery, Rutgers New Jersey Medical School
205 South Orange Ave, F-1222
Newark, NJ 07103
Phone: (973) 972-1110
E-mail: chokshrj@njms.rutgers.edu

Disclosure Statement

The authors have no conflicts of interest to disclose.

References

  1. American Cancer Society. American Cancer Society, 2019, pp. 1–76, Cancer Facts & Figures 2019. Chung, E B, and F M Enzinger. “Extraskeletal osteosarcoma.” Cancer vol. 60,5 (1987): 1132-42. doi:10.1002/1097-0142(19870901)60:5<1132::aid-cncr2820600536>3.0.co;2-l
  2. Chung EB, Enzinger FM. Extraskeletal Osteosarcoma. Cancer. 1987; 60: 1132–42.
  3. Bane, B L et al. “Extraskeletal osteosarcoma. A clinicopathologic review of 26 cases.” Cancer vol. 65,12 (1990): 2762-70. doi:10.1002/1097-0142(19900615)65:12<2762::aid-cncr2820651226>3.0.co;2-k
  4. Network, N. C. C. “NCCN guidelines.” Soft Tissue Sarcomas, Version 2 2019 (2019).
  5. D’Adamo, David. “Is adjuvant chemotherapy useful for soft-tissue sarcomas?.” The Lancet. Oncology vol. 13,10 (2012): 968-70. doi:10.1016/S1470-2045(12)70390-X
  6. Ahmad, Syed A et al. “Extraosseous osteosarcoma: response to treatment and long-term outcome.” Journal of clinical oncology : official journal of the American Society of Clinical Oncology vol. 20,2 (2002): 521-7. doi:10.1200/JCO.2002.20.2.521
  7. Goldstein-Jackson, Sing Yu et al. “Extraskeletal osteosarcoma has a favourable prognosis when treated like conventional osteosarcoma.” Journal of cancer research and clinical oncology vol. 131,8 (2005): 520-6. doi:10.1007/s00432-005-0687-7
  8. Fan, Zhengfu et al. “Should High-grade Extraosseous Osteosarcoma Be Treated With Multimodality Therapy Like Other Soft Tissue Sarcomas?.” Clinical orthopaedics and related research vol. 473,11 (2015): 3604-11. doi:10.1007/s11999-015-4463-y
  9. Choi, Lisa E et al. “Analysis of outcomes in extraskeletal osteosarcoma: a review of fifty-three cases.” The Journal of bone and joint surgery. American volume vol. 96,1 (2014): e2. doi:10.2106/JBJS.M.00339
  10. Longhi, A et al. “Extraskeletal osteosarcoma: A European Musculoskeletal Oncology Society study on 266 patients.” European journal of cancer (Oxford, England : 1990) vol. 74 (2017): 9-16. doi:10.1016/j.ejca.2016.12.016
  11. Eilber, Fritz C et al. “The impact of chemotherapy on the survival of patients with high-grade primary extremity liposarcoma.” Annals of surgery vol. 240,4 (2004): 686-95; discussion 695-7. doi:10.1097/01.sla.0000141710.74073.0d
  12. Patel, S R, and R S Benjamin. “Primary extraskeletal osteosarcoma--experience with chemotherapy.” Journal of the National Cancer Institute vol. 87,17 (1995): 1331-3. doi:10.1093/jnci/87.17.1331-a
  13. Paludo, Jonas et al. “Extraskeletal Osteosarcoma: Outcomes and the Role of Chemotherapy.” American journal of clinical oncology vol. 41,9 (2018): 832-837. doi:10.1097/COC.0000000000000397
  14. Nystrom, Lukas M et al. “The Treatment and Outcomes of Extraskeletal Osteosarcoma: Institutional Experience and Review of The Literature.” The Iowa orthopaedic journal vol. 36 (2016): 98-103.