Unsupported Browser
The American College of Surgeons website is not compatible with Internet Explorer 11, IE 11. For the best experience please update your browser.
Menu
Become a member and receive career-enhancing benefits

Our top priority is providing value to members. Your Member Services team is here to ensure you maximize your ACS member benefits, participate in College activities, and engage with your ACS colleagues. It's all here.

Become a Member
Become a member and receive career-enhancing benefits

Our top priority is providing value to members. Your Member Services team is here to ensure you maximize your ACS member benefits, participate in College activities, and engage with your ACS colleagues. It's all here.

Become a Member
ACS
Case Reviews in Surgery

Chilaiditi’s Sign and the Acute Abdomen

Chilaiditi’s Sign and the Acute Abdomen

May 14, 2021

Abstract

Background

Chilaiditi’s sign is a rare radiologic sign where the colon or small intestine is interposed between the liver and the diaphragm. Chilaiditi’s sign can be mistaken for pneumoperitoneum and can be alarming in the setting of an acute abdomen.

Summary

We present two cases of Chilaiditi’s sign resulting from vastly different pathologies. The first patient was a 67-year-old male who presented with right upper quadrant pain. He was found to have Chilaiditi’s sign on the upright chest X ray. A CT scan revealed a cecal bascule interposed between the liver and diaphragm with concomitant acute appendicitis. Diagnostic laparoscopy confirmed imaging findings, and he underwent an open right hemicolectomy. The second patient was a 59-year-old female who presented with acute onset of right-sided abdominal pain. An upright chest X ray revealed air under the right hemidiaphragm, and the CT scan demonstrated a large, right-sided Morgagni-type diaphragmatic hernia. She underwent an elective laparoscopic hernia repair, which confirmed the presence of an anteromedial diaphragmatic hernia containing small bowel, colon, and omentum.

Conclusion

Chilaiditi’s sign can be associated with an acute abdomen. A thorough surgical exam and additional imaging will help delineate the true etiology of abdominal pain and triage patients appropriately.

Key Words

Chilaiditi’s sign; acute abdomen; pneumoperitoneum: cecal bascule; Morgagni’s hernia


Case Description

Case One

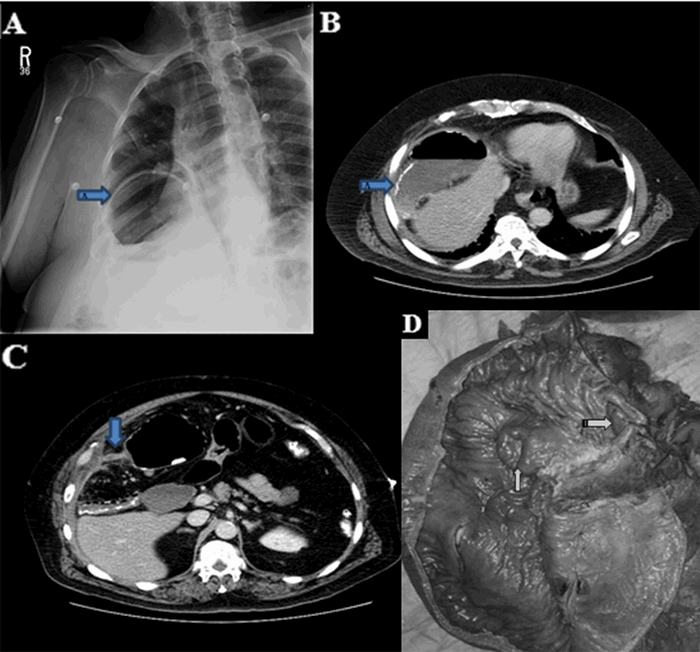
A 67-year-old male with a history of stroke and partial left hemiparesis presented to our facility with right upper quadrant pain. The day before he presented, he had fallen onto his right side while standing; later that same evening, he began experiencing right upper quadrant and lower thoracic pain. He noted some diarrhea but had had no flatus since the night before. The patient was hemodynamically stable with abdominal tenderness in the right upper quadrant with focal guarding. He was febrile and had a leukocytosis. Chest plain film showed what appeared to be air under the right hemidiaphragm (Figure 1a). A CT of the abdomen did not reveal any traumatic injury but did demonstrate a grossly dilated cecum up to 18 cm. It appeared that the cecum had folded superiorly and anteriorly, becoming entrapped between the liver and the diaphragm (Figure 1b). The patient had cecal pneumatosis and an acutely inflamed appendix with a maximum diameter of 16 mm (Figure 1c). He underwent diagnostic laparoscopy, where a dusky and grossly dilated cecum was found to be wedged between the diaphragm and the right lobe of the liver. The inflamed appendix was found to be retrocecal in position. A decision was made to convert to a laparotomy, and we performed a right hemicolectomy with a stapled ileocolic anastomosis. The patient’s postoperative course was uneventful, and he was discharged home on postoperative day six. Pathology confirmed the findings of a grossly dilated cecum and acute appendicitis (Figure 1d).

Figure 1. Cecal bascule with concomitant acute appendicitis. A) Plain film demonstrating dilated cecum under right hemidiaphragm. B) CT Scan of the abdomen showing a dilated cecum between diaphragm and liver. C) CT scan showing cecal bascule with appendicitis. D) Dilated cecum demonstrating the terminal ileum and appendiceal orifice.

Case Two

A 59-year-old female presented with sudden onset of right-sided abdominal and chest pain. She had prior similar episodes in the past; however, this pain was more intense and lasted longer, prompting her to seek medical attention. The patient had associated nausea but denied vomiting or change in bowel habits. Past medical history was significant for gastroesophageal reflux disease. Her vital signs were stable, and the abdomen was soft on exam without guarding. Upright chest X ray revealed air under the right diaphragm (Figure 2a). A CT scan demonstrated a large, right-sided Morgagni-type diaphragmatic hernia (Figure 2b). We performed an elective laparoscopic hernia repair with mesh that confirmed an anteromedial diaphragmatic hernia measuring 8 cm x 4 cm containing small bowel, colon, and omentum (Figure 2c and Figure 2d). The postoperative course was uneventful, and the patient was discharged home on postoperative day two.

Figure 2. Morgagni type diaphragmatic hernia. A) Plain film demonstrating air under the right diaphragm. B) CT scan demonstrating large right-sided Morgagni-type diaphragmatic hernia. C) Intraoperative picture of right-sided Morgagni-type diaphragmatic hernia. D) Morgagni-type diaphragmatic hernia after preperitoneal mesh repair.

Discussion

Chilaiditi’s sign is a rare radiological sign that is described as the anterior interposition of the colon or the small intestine between the liver and the undersurface of the right diaphragm that may be mistaken as free intra-abdominal air.1 Rare case reports have also reported so-called left-sided Chilaiditi’s sign with the splenic flexure interposed between the diaphragm and spleen.2 The term Chilaiditi’s syndrome has been used when this sign is associated with symptoms like nausea, vomiting, anorexia, abdominal pain, and respiratory distress.3

A feature on a plain radiograph that suggests Chilaiditi’s sign instead of pneumoperitoneum is the presence of haustral folds or plicae circulares within the gas that suggest the gas is within the bowel and not free. Left lateral decubitus plain films can help in this distinction. Factors contributing to the occurrence of Chilaiditi’s sign include the absence of normal suspensory ligaments of the transverse colon; abnormality or absence of the falciform ligament; redundant colon that may be seen with chronic constipation or in bedridden individuals; aerophagia, paralysis, or eventration of the right hemidiaphragm; chronic lung disease, cirrhosis, or ascites.4

In both patients, the CT scan was diagnostic and should be the imaging study of choice as it is quick and readily available. Chilaiditi’s sign has been associated with subphrenic abscess, intestinal obstruction of the large or small bowel, Ogilvie syndrome, volvulus of the transverse colon or splenic flexure, cecal perforation, subdiaphragmatic appendicitis, and the anatomic variants listed previously have been reported in the literature.4

Conclusion

Free air under the diaphragm is a concerning finding. If the clinical exam is consistent with an abdominal catastrophe, immediate operative intervention is required. A few of these patients will have a benign exam. Further imaging will reveal a hepatodiaphragmatic interposition of bowel mimicking free air or Chilaiditi’s sign.

Lessons Learned

Chilaiditi’s sign is not an uncommon finding on radiographic imaging. Physical exam and CT scan will help elucidate the true etiology of the abdominal pain and help triage patients appropriately to identify those that will require an operative intervention.

Authors

Devecki K; Raygor D; Awad ZT; Puri R

Author Affiliation

University of Florida College of Medicine, Department of Surgery, Jacksonville, FL 32209

Corresponding Author

Ruchir Puri, MD, MS, FACS
University of Florida College of Medicine
Department of General Surgery
653 W. 8th Street
Jacksonville, FL 32209
Phone: (904) 244-5502
E-mail: ruchir.puri@jax.ufl.edu

Meeting Presentation

Southeastern Surgical Congress Annual Meeting, Tampa, FL, February 2018

Disclosure Statement

The authors have no conflicts of interest to disclose.

References

  1. Chilaiditi D. On the question of hepatoptosis ptosis and generally in the exclusion of three cases of temporary partial liver displacement. Progr Field Roentgenst. 1910;11: 173-207.
  2. Toros, AB, Kesic B, Erdoğan B, Arisoy K. Left-sided chilaiditi: A rare case report [Solda chilaiditi : Nadir bir vaka sunumu]. 2015.
  3. Gray, G, Tikotsky A. Cecal bascule with Chilaiditi’s sign. Appl Radiol. 28.11 (1999): 48-50.
  4. Moaven O, Hodin RA. Chilaiditi syndrome: a rare entity with important differential diagnoses. Gastroenterol Hepatol (N Y). 2012;8(4):276-278.