Unsupported Browser
The American College of Surgeons website is not compatible with Internet Explorer 11, IE 11. For the best experience please update your browser.
Menu
Become a member and receive career-enhancing benefits

Our top priority is providing value to members. Your Member Services team is here to ensure you maximize your ACS member benefits, participate in College activities, and engage with your ACS colleagues. It's all here.

Become a Member
Become a member and receive career-enhancing benefits

Our top priority is providing value to members. Your Member Services team is here to ensure you maximize your ACS member benefits, participate in College activities, and engage with your ACS colleagues. It's all here.

Become a Member
ACS
Case Reviews in Surgery

Robotic Removal of a Retroperitoneal Mucinous Cystic Neoplasm

A 24-year-old woman presented with a large intraabdominal mass that was eventually found to be a primary retroperitoneal mucinous cystic neoplasm.

May 18, 2021

Abstract

Background

A 24-year-old woman presented with a large intraabdominal mass that was eventually found to be a primary retroperitoneal mucinous cystic neoplasm.

Summary

We present the case of a 24-year-old woman who presented with increasing abdominal fullness and discomfort following the birth of her first child. After increasing discomfort, she underwent abdominal CT and ultrasound, where she was found to have a large, right-sided, cystic retroperitoneal mass. Due to the benign radiographic character of the mass and the patient’s unremarkable history, the preoperative suspected diagnosis was enteric duplication cyst. The decision was made to remove the mass robotically. The mass was drained with a laparoscopic needle and removed with an Endo Catch bag. Postoperative histopathology was consistent with a mucinous cystic neoplasm with ovarian-type stroma. Future management of the patient requires vigilant surveillance with serial visits and imaging. Primary retroperitoneal mucinous cystic neoplasms are rare tumors with few cases reported in the literature. To our knowledge, this is the first reported case of such a tumor being removed robotically.

Conclusion

Mucinous cystic neoplasms are tumors that are characteristically found in the tail of the pancreas. We present the case of a 24-year-old woman presenting with a rare primary retroperitoneal mucinous cystic neoplasm. This case underscores the need to be diligent when working up and resecting intraabdominal cystic masses.

Key Words

mucinous cystic neoplasm; retroperitoneal neoplasm; robotic surgery


Case Description

Primary mucinous cystic neoplasms (MCNs) traditionally arise in middle-aged women in the tail of the pancreas. In rare cases, MCNs may arise from the retroperitoneum. The pathology of primary retroperitoneal MCNs is not well understood, and preoperative diagnosis can often prove challenging. Indeed, in this case, the mass was initially diagnosed as a benign enteric duplication cyst. This case provides a reminder to keep primary mucinous neoplasms in the differential diagnosis when evaluating cystic abdominal and retroperitoneal masses.

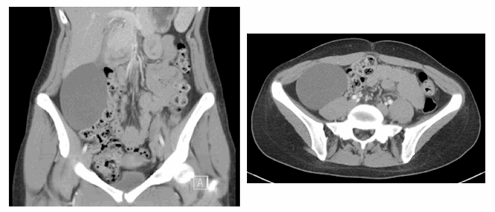
A 24-year-old woman with an uncomplicated medical history presented complaining of right upper quadrant fullness and discomfort. After delivery of her second child in 2017, the patient noticed a palpable mass in the right abdomen, which became progressively more bothersome. Abdominal and pelvic CT scan obtained in early 2018 showed an 11 cm x 7 cm x 6 cm cystic mass in the right colic gutter concerning for enteric duplication cyst. The mass appeared thin-walled, smooth and contained few septations (Figure 1).

Figure 1. Large, right-sided, cystic mass in axial and coronal views

After several months of worsening symptoms, the patient decided to have the mass removed in April 2018. Management and planning for robotic excision proceeded under the assumption of benign etiology. The abdomen was accessed with a Veress needle in the left upper quadrant, and adequate insufflation was achieved. The Veress needle was replaced with a robotic trocar, and the cystic mass was visualized in the right colic gutter (Figure 2).

Figure 2. Intrabdominal view of MCN prior to dissection

Two additional robotic ports were placed (one in the left lower quadrant and another in the left lateral mid-abdomen) and the da Vinci Surgical System (Intuitive; Sunnyvale, CA) was docked. Electrocautery and blunt dissection were used to define the margins of the cyst and to free it from the surrounding peritoneum. The cyst was initially too large to fit in an Endo Catch bag. Instead, the cyst was drained of all fluid with a laparoscopic needle before the removal of the sac with the Endo Catch bag. After removal of the mass, all ports were removed, and port sites were closed. The patient’s postoperative course was uneventful, and she was discharged on the day of surgery in stable condition.

The pathology report indicated that the mass sample was consistent with a mucinous cystic neoplasm (MCN) with ovarian-type stroma. The likelihood of recurrence was indicated to be low given that the cyst was totally excised, there was no apparent peritoneal contamination during the procedure, and no other peritoneal pathology was appreciated. At follow-up one month after her surgery, the patient recovered well and only complained of occasional constipation. Surveillance was planned by serial monitoring of tumor markers and imaging. As of this writing, the patient had not attended any more of her follow-up appointments.

Discussion

In addition to the rarity of extra-ovarian or extra-pancreatic, ovarian-type MCNs, we are unaware of any previous case presentations of such tumors being managed robotically. The primary challenge of the case presented here was the radiologic and clinicopathologic similarity of this MCN and an enteric duplication cyst. The classic clinical presentation of many intrabdominal masses is primarily diffuse abdominal fullness and discomfort; however, radiologic studies are typically diagnostic. The classical features of an enteric duplication cyst on CT are a unilocular mass with a wall that enhances after contrast injection.1 In contrast, primary retroperitoneal mucinous cystic neoplasms have few pathognomonic features, although few are seen with large numbers of septations or heterogeneous cystic contents.2

In this case, the mass appeared as smooth and thin-walled with a single loculation. While the radiographic picture neither excluded an MCN nor definitively showed an enteric duplication cyst, its radiographic features and the lack of a concerning history were suggestive a benign process. Importantly, MCNs rarely arise from the retroperitoneum spontaneously. Instead, they are typically found in the tail of the pancreas. Thus, in the absence of radiographic evidence of a primary source and given the lack of any obvious additional peritoneal pathology intraoperatively, the diagnosis of an MCN seemed unlikely. Pathologically, enteric duplication cysts are defined by the presence of the normal layers of the enteric tract: a mucosa, longitudinal and circular muscle layers, and the myenteric plexus.1 In contrast, MCNs are defined by a layer of mucin-secreting flat, cuboidal, columnar epithelium, and a subepithelial ovarian-like stroma.3 Postoperative pathological examination confirmed the presence of ovarian-like stroma and mucinous epithelium, consistent with an MCN.

Ultimately, the diagnosis of an MCN is postoperative. As in this case, radiographic findings can greatly winnow the differential but are typically insufficient to rule out an MCN.2 Further, cytological analysis of fluid aspirate often proves inconclusive, with a high false-negative rate.4 Thus, resection and postoperative histopathologic analysis are the only conclusive means for diagnosis and treatment.2,5 The approach of the resection (laparoscopic, open, or robotic) is dependent on surgeon skill and comfort. However, the traditional method of treatment is exploratory laparotomy with complete enucleation of the cyst.2 As this is such a rare tumor, only small case series and case studies have been published. Of the 144 cases of benign, borderline, and malignant neoplasms reviewed in a 2017 meta-analysis, most were done via laparotomy. A sizable minority was done laparoscopically with no robotic approaches recorded.5 To the authors’ knowledge, this is the first reported case of a robotic resection of a primary retroperitoneal mucinous neoplasm in the literature.

Treatment options range from careful surveillance to adjuvant chemotherapy, given that such tumors do have the potential to become malignant. The treatment choice is typically guided by the histological grade of the tumor, with chemotherapy being reserved for cases with clear malignance on postoperative examination.5,6 Careful surveillance typically takes the form of repeat visits and serial imaging. Retroperitoneal MCNs are a rare class of tumor that can evade easy recognition. However, given their malignant potential, we argue that they should be kept in mind even when considering benign-appearing cystic abdominal masses. We hope that this case has expanded the physician’s empiric armamentarium for approaching intraabdominal cysts in addition to demonstrating the viability of a robotic approach in their surgical management.

Conclusion

Mucinous cystic neoplasms are tumors that are characteristically found in the tail of the pancreas. We present the case of a 24-year-old woman presenting with a rare primary retroperitoneal mucinous cystic neoplasm. This case underscores the need to be diligent when working up and resecting intraabdominal cystic masses.

Lessons Learned

Mucinous cystic neoplasms, while typically pancreatic, rarely occur in sites such as the retroperitoneum. Careful resection is vital, and malignancy should not be excluded from the differential even given benign preoperative features. Traditional approaches are open or laparoscopic, but the experienced robotic surgeon can consider a robotic approach.

Authors

Rodman CP; Roberts SH; Meara M

Author Affiliation

The Ohio State University Wexner Medical Center, Department of Surgery, Columbus, OH 43201

Corresponding Author

Michael Meara, MD, MBA
The Ohio State University Wexner Medical Center for Minimally Invasive Surgery
Division of General and Gastrointestinal Surgery
181 Taylor Avenue, Ste. 1102
11th Floor Tower
Columbus, OH 43205
Phone: (614) 685-4392
E-mail: michael.meara@osumc.edu

Meeting Presentation

Society of American Gastrointestinal and Endoscopic Surgeons (SAGES)
Poster Presentation
Wednesday, April 03, 2019 - Saturday, April 06, 2019
Baltimore, MD

Disclosure Statement

The authors have no conflicts of interest to disclose.

References

  1. Stoupis C, Ros PR, Abbitt PL, Burton SS, Gauger J. Bubbles in the belly: imaging of cystic mesenteric or omental masses. Radiographics. 1994;14(4):729-737. doi:10.1148/radiographics.14.4.7938764
  2. Lee SE, Oh HC, Park YG, Choi YS, Kim MK. Laparoscopic excision of primary retroperitoneal mucinous cystadenoma and malignant predicting factors derived from literature review. Int J Surg Case Rep. 2015;9:130-133. doi:10.1016/j.ijscr.2015.02.050
  3. Bifulco G, Mandato VD, Giampaolino P, et al. Huge primary retroperitoneal mucinous cystadenoma of borderline malignancy mimicking an ovarian mass: case report and review. Anticancer Res. 2008;28(4C):2309-2315.
  4. Motoyama T, Chida T, Fujiwara T, Watanabe H. Mucinous cystic tumor of the retroperitoneum. A report of two cases. Acta Cytol. 1994;38(2):261-266.
  5. Wolf B, Kunert C, Horn LC, Einenkel J. Management of Primary Retroperitoneal Mucinous Tumors: A Retrospective Meta-Analysis. Int J Gynecol Cancer. 2017;27(6):1064-1071. doi:10.1097/IGC.0000000000001013
  6. Heelan Gladden AA, Wohlauer M, McManus MC, Gajdos C. A primary retroperitoneal mucinous tumor. Case Rep Surg. 2015;2015:157613. doi:10.1155/2015/157613