Unsupported Browser
The American College of Surgeons website is not compatible with Internet Explorer 11, IE 11. For the best experience please update your browser.
Menu
Become a member and receive career-enhancing benefits

Our top priority is providing value to members. Your Member Services team is here to ensure you maximize your ACS member benefits, participate in College activities, and engage with your ACS colleagues. It's all here.

Become a Member
Become a member and receive career-enhancing benefits

Our top priority is providing value to members. Your Member Services team is here to ensure you maximize your ACS member benefits, participate in College activities, and engage with your ACS colleagues. It's all here.

Become a Member
ACS
Case Reviews in Surgery

Gallstone Ileus and Meckel’s Diverticulum in a Virgin Abdomen

We report a rare finding of gallstone ileus and concomitant incidental MD in a 69-year-old woman with abdominal pain, emesis, and obstipation.

May 17, 2021

Abstract

Background

Gallstone ileus is an uncommon disease that causes mechanical small bowel obstruction. It often occurs due to fistula formation between the biliary and gastrointestinal tracts, leading to gallstones becoming lodged in the terminal ileum. Management options include simple enterolithotomy, one-stage (enterolithotomy, cholecystectomy, and fistula repair), two-stage (enterolithotomy with delayed cholecystectomy and fistula repair one to six months later). Meckel’s diverticulum (MD) is a congenital abnormality caused by failed obliteration of the omphalomesenteric duct and is frequently asymptomatic in adults.

Summary

We report a rare finding of gallstone ileus and concomitant incidental MD in a 69-year-old woman with abdominal pain, emesis, and obstipation. The patient was surgically treated with a one-stage procedure, including laparoscopic-converted-to-open small bowel resection, fenestrated subtotal cholecystectomy, and fistula repair. Following a relatively uneventful hospital course, the patient was discharged in stable condition. We searched previously reported cases of gallstone ileus and MD to determine the various approaches to management for this condition. A literature review was conducted to discuss the evidence behind prophylactic removal of incidental MD, simple enterolithotomy versus one-stage procedure for gallstone ileus, and subtotal cholecystectomy for difficult gallbladders.

Conclusion

There are currently four English reported cases of gallstone ileus and incidental MD, all of which underwent simple enterolithotomy and removal of the MD. Removal of incidentally discovered MD remains controversial, but in the setting of gallstone ileus, it is advantageous as removing the gallstone and MD can be combined into a single step. Current literature shows that simple enterolithotomy is the treatment of choice for gallstone ileus. However, one-stage procedures can be considered in healthy patients to decrease the risk of recurrence. Finally, subtotal cholecystectomy is a useful technique for gallbladders with unclear anatomy and can reduce the increased morbidity associated with one-stage procedures.

Key Words

gallstone; ileus; Meckel’s diverticulum; fenestrated cholecystectomy; subtotal cholecystectomy


Case Description

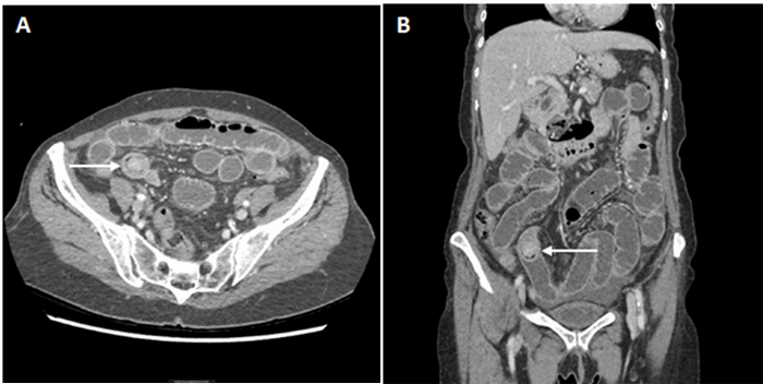
A 69-year-old female with no significant medical history presented with three days of episodic abdominal pain after oral intake, emesis, and obstipation. The patient denied any history of prior gallbladder disease, abdominal surgeries, or medication use. On physical exam, there was generalized tenderness to palpation, worst in her epigastrium. An abdominopelvic CT (Figure 1) demonstrated dilated small bowel loops with a well-defined, calcified lesion in the distal ileum. The common bile duct was dilated to 9 mm, and a cholecystoduodenal or choledochoduodenal fistula was suspected.

Figure 1. Computed tomography of abdomen pelvis with contrast. A) Axial section demonstrating gallstone (arrow) in distal ileum. B) Coronal section demonstrating calcification and gallstone with transition point at distal ileum.

The patient was then taken to the operating room after appropriate nasogastric decompression and fluid resuscitation for a planned laparoscopic enterolithotomy and cholecystectomy pending intraoperative physiology. Upon laparoscopic entry into the abdomen, dilated bowels with bilious ascitic fluid were visualized, and the procedure was converted to an open exploratory laparotomy for better visualization. The small bowel was inspected from the ligament of Treitz to the ileocecal valve, and viable bowel was seen throughout. A Meckel’s diverticulum was encountered in the distal ileum and was dilated due to the distal obstruction. A large gallstone was appreciated in the terminal ileum as the cause of the obstruction. The gallstone was milked back to the Meckel’s, and a small bowel resection was performed with the gallstone and MD en bloc.

We next addressed the gallbladder and duodenal fistula. The gallbladder was shriveled and contracted. It was difficult to safely identify structures within Calot’s triangle, so a fenestrated subtotal cholecystectomy was performed. The dome of the gallbladder was opened, and no gallstones were seen. The cholecystoduodenal fistula was identified and closed in layers. Drains were placed, and the procedure was completed without complication. The patient was discharged without drains once tolerating a regular diet. The patient was doing well and symptom-free at follow-up.

Pathological analysis revealed an MD within a 5.1 cm segment of the ileum. The black, granular, ovoid gallstone measured 3.4 x 2.5 x 2.3 cm (Figure 2).

Figure 2. Gross specimen of Meckel’s diverticulum with accompanying gallstone. A,B) Meckel’s diverticulum found intraoperatively. C) Resected Meckel’s diverticulum measuring 5.1 cm in length with gallstone. D) Gallstone specimen found measuring 3.4 x 2.5 x 2.3 cm.

Discussion

This is a reported case of gallstone ileus with an incidental Meckel’s diverticulum (MD) managed by an open small bowel resection and fenestrated cholecystectomy. MD is a congenital anomaly caused by a persistent omphalomesenteric duct.1 Such cases are often asymptomatic and are found in 2 percent of the general population.2 MD can cause complications, and patients often carry a 4.2 to 6.4 percent lifetime risk of developing bleeding, infection, or obstruction.3,4 Gallstone ileus is a rare cause of small bowel obstruction in the general population but is more common in elderly patients.5,6 Gallstone ileus in the presence of an MD is exceedingly rare, and there are currently only four English-reported cases of concurrent MD and gallstone ileus, three of which showed impaction at the MD site (Table 1).710

Patients often present with gallstone ileus at an advanced age and have multiple comorbidities that increase morbidity and mortality.11 We present a unique case of a patient with gallstone ileus and incidental MD, despite no medical comorbidities. Furthermore, this is the first reported case describing the use of a subtotal cholecystectomy to complete a one-stage procedure in gallstone ileus.
The management of incidentally discovered MD remains controversial. Some studies argue that only symptomatic MD should be resected as the risk of producing surgical morbidity in symptomatic patients is significantly lower than treating all patients (0.04 percent to 4.6 percent).12,13 However, others argue that all incidentally discovered MD should be removed as they progress to complications requiring surgical intervention 6.4 percent of the time while morbidity from prophylactic removal is only 2 percent.14 In our review of all previously reported gallstone ileus and incidental MD cases, all MD were removed (Table 1).

Table 1. Previous cases of gallstone ileus with Meckel’s Diverticulum. (SBO = small bowel obstruction; MD = Meckel’s diverticulum)

In these cases, we believe removal is advantageous because patients already require an enterolithotomy necessitating the opening of the small bowel. Removing the MD and gallstone can be combined into a single procedure by milking the gallstone to the MD, which can then be resected. This procedure is also the method described by Tan et al.8

There are three options for management of gallstone ileus: one-stage (enterolithotomy, cholecystectomy, and fistula repair), two-stage (enterolithotomy with delayed cholecystectomy and fistula repair one to six months later) 1517 and enterolithotomy alone. Proponents of the one-stage approach cite reduced risk of gallstone ileus recurrence and gallbladder carcinoma as major reasons for concurrent cholecystectomy and fistula repair.1821 There is an 8.2 percent risk of recurrence associated with 12 to 20 percent mortality when the fistula is not repaired.22 However, simple enterolithotomy has significantly lower mortality than one-stage procedures (11.7 percent to 16.9 percent). Some studies have found the risk of recurrence to be similar among all treatment modalities. 11,16,23 Despite these findings, a one-stage approach is still worth considering in healthy, hemodynamically stable patients to reduce visits to the OR.2428 Our patient was a healthy 69-year-old woman who tolerated the bowel resection well, so the decision was made to address the gallbladder and duodenal fistula simultaneously in a one-stage procedure.

Finally, we propose that subtotal cholecystectomy is an effective method to mitigate some of the risks of one-stage procedures, particularly in patients with unclear anatomy. Subtotal cholecystectomy is a technique that involves excision or ablation of the gallbladder while leaving the most inferior portion intact, thereby avoiding the need for dissection or ligation of structures in Calot’s triangle. It has been increasingly used in patients with “difficult gallbladders” to avoid bile duct injuries.2933 Compared to total cholecystectomies, subtotal cholecystectomies are associated with significantly fewer common bile duct injuries (0 percent to 3.3 percent) and fewer severe complications (0 percent to 7.9 percent) in complicated cholecystitis.34,35 In low-risk patients with gallstone ileus, this reduced complication rate is beneficial when deciding to undergo a one-stage procedure. There are already reports of subtotal cholecystectomies being utilized with success in one-stage operations for other types of gallbladder disease.3638 In the future, it would be worthwhile to determine if the use of subtotal cholecystectomy in one-stage procedures could decrease morbidity and mortality to levels seen in simple enterolithotomy while retaining the advantages of decreased gallstone recurrence and need for re-operation.

Conclusion

Gallstone ileus is rare, especially in patients with no previous abdominal surgeries or medical comorbidities. Incidental MDs may be discovered during surgery, and management is controversial. In the setting of gallstone ileus, we recommend resection of incidental MD rather than simple enterolithotomy when feasible. Based on the literature, simple enterolithotomy is the current treatment of choice for gallstone ileus; however, a one-stage procedure can be considered for healthy, low-risk patients. Lastly, we describe the use of subtotal cholecystectomy in this case and propose that it can achieve similar outcomes and reduce complications associated with one-stage operations.

Lessons Learned

Although rare, gallstone ileus and Meckel’s diverticulum can be found, and it is important to have clearer guidelines on how to approach the management of MD and subsequent cholecystectomy. If the case is uncomplicated, a cholecystectomy with small bowel resection instead of an enterolithotomy alone can be considered.

Authors

Liem SSa; Liu Ca; Zheng Rb; Lundgren MPb; Aka AAb; Cohen Mb; Kohli Ab; Marks JAb

Author Affiliations

  1. Sidney Kimmel Medical College, Thomas Jefferson University, Philadelphia, PA 19107
  2. Department of Surgery, Thomas Jefferson University, Philadelphia, PA 19107

Corresponding Author

Joshua A. Marks, MD
Thomas Jefferson University
Department of Surgery
1100 Walnut Street
Philadelphia, PA 19107
Phone: (215) 955-2165
E-mail: joshua.marks@jefferson.edu

Disclosure Statement

The authors have no conflicts of interest to disclose.

References

  1. Cullen, J J, and K A Kelly. “Current management of Meckel's diverticulum.” Advances in surgery vol. 29 (1996): 207-14.
  2. Moore, T C. “Omphalomesenteric duct malformations.” Seminars in pediatric surgery vol. 5,2 (1996): 116-23.
  3. Bani-Hani, Kamal E, and Nawaf J Shatnawi. “Meckel's diverticulum: comparison of incidental and symptomatic cases.” World journal of surgery vol. 28,9 (2004): 917-20. doi:10.1007/s00268-004-7512-3
  4. Sharma, Raj Kumar, and Vir Kumar Jain. “Emergency surgery for Meckel's diverticulum.” World journal of emergency surgery : WJES vol. 3 27. 13 Aug. 2008, doi:10.1186/1749-7922-3-27
  5. Ploneda-Valencia, C F et al. “Gallstone ileus: An overview of the literature.” “El íleo biliar: una revisión de la literatura médica.” Revista de gastroenterologia de Mexico vol. 82,3 (2017): 248-254. doi:10.1016/j.rgmx.2016.07.006
  6. Artioli, Giulia et al. “Gallstone ileus: literature review.” Acta bio-medica : Atenei Parmensis vol. 87 Suppl 3 40-4. 28 Jul. 2016
  7. Lamba, Harveen K et al. “Gallstone ileus associated with impaction at Meckel's diverticulum: Case report and literature review.” World journal of gastrointestinal surgery vol. 8,11 (2016): 755-760. doi:10.4240/wjgs.v8.i11.755
  8. Tan, Hwee Leong et al. “An Unusual Case of Small Bowel Obstruction in an Elderly Woman.” Gastroenterology vol. 150,7 (2016): e3-e4. doi:10.1053/j.gastro.2016.02.008
  9. Maclean, William, and Karoly Szentpáli. “Large gallstone impaction at a Meckel's diverticulum causing perforation and localized peritonitis: report of a case.” Journal of surgical case reports vol. 2013,12 rjt097. 4 Dec. 2013, doi:10.1093/jscr/rjt097
  10. Nakamoto, Y et al. “Gallstone ileus with impaction at the neck of a Meckel's diverticulum.” The British journal of radiology vol. 71,852 (1998): 1320-2. doi:10.1259/bjr.71.852.10319010
  11. Reisner, R M, and J R Cohen. “Gallstone ileus: a review of 1001 reported cases.” The American surgeon vol. 60,6 (1994): 441-6.
  12. Peoples, J B et al. “Incidental Meckel's diverticulectomy in adults.” Surgery vol. 118,4 (1995): 649-52. doi:10.1016/s0039-6060(05)80031-5
  13. Zani, Augusto et al. “Incidentally detected Meckel diverticulum: to resect or not to resect?.” Annals of surgery vol. 247,2 (2008): 276-81. doi:10.1097/SLA.0b013e31815aaaf8
  14. Cullen, J J et al. “Surgical management of Meckel's diverticulum. An epidemiologic, population-based study.” Annals of surgery vol. 220,4 (1994): 564-8; discussion 568-9. doi:10.1097/00000658-199410000-00014
  15. Inukai, Koichi et al. “Laparoscopic two-stage procedure for gallstone ileus.” Journal of minimal access surgery, vol. 15,2 164–166. 27 Jun. 2018, doi:10.4103/jmas.JMAS_88_18
  16. Salazar-Jiménez, Marcos I et al. “Íleo biliar, revisión del manejo quirúrgico” [Gallstone ileus, surgical management review]. Cirugia y cirujanos vol. 86,2 (2018): 182-186. doi:10.24875/CIRU.M18000032
  17. Ploneda-Valencia, C F et al. “Gallstone ileus: An overview of the literature.” “El íleo biliar: una revisión de la literatura médica.” Revista de gastroenterologia de Mexico vol. 82,3 (2017): 248-254. doi:10.1016/j.rgmx.2016.07.006
  18. Berliner, S D, and L C Burson. “One-Stage Repair for Cholecyst-Duodenal Fistula and Gallstone Ileus.” Archives of surgery (Chicago, Ill. : 1960) vol. 90 (1965): 313-6. doi:10.1001/archsurg.1965.01320080137028
  19. Nuño-Guzmán, Carlos M et al. “Gallstone ileus: One-stage surgery in a patient with intermittent obstruction.” World journal of gastrointestinal surgery vol. 2,5 (2010): 172-6. doi:10.4240/wjgs.v2.i5.172
  20. Williams, Nicholas E et al. “Disease spectrum and use of cholecystolithotomy in gallstone ileus transection.” Hepatobiliary & pancreatic diseases international : HBPD INT vol. 11,5 (2012): 553-7. doi:10.1016/s1499-3872(12)60224-0
  21. Bossart, P A et al. “Carcinoma of the gallbladder. A report of seventy-six cases.” American journal of surgery vol. 103 (1962): 366-9. doi:10.1016/0002-9610(62)90227-1
  22. Doogue, M P et al. “Recurrent gallstone ileus: underestimated.” The Australian and New Zealand journal of surgery vol. 68,11 (1998): 755-6. doi:10.1111/j.1445-2197.1998.tb04669.x
  23. Halabi, Wissam J et al. “Surgery for gallstone ileus: a nationwide comparison of trends and outcomes.” Annals of surgery vol. 259,2 (2014): 329-35. doi:10.1097/SLA.0b013e31827eefed
  24. Clavien, P A et al. “Gallstone ileus.” The British journal of surgery vol. 77,7 (1990): 737-42. doi:10.1002/bjs.1800770707
  25. Pavlidis, Theodoros E et al. “Management of gallstone ileus.” Journal of hepato-biliary-pancreatic surgery vol. 10,4 (2003): 299-302. doi:10.1007/s00534-002-0806-7
  26. Mallipeddi, Mohan K et al. “Gallstone ileus: revisiting surgical outcomes using National Surgical Quality Improvement Program data.” The Journal of surgical research vol. 184,1 (2013): 84-8. doi:10.1016/j.jss.2013.05.027
  27. Rodríguez-Sanjuán, J C et al. “Cholecystectomy and fistula closure versus enterolithotomy alone in gallstone ileus.” The British journal of surgery vol. 84,5 (1997): 634-7.
  28. Riaz, N et al. “Gallstone ileus: retrospective review of a single centre's experience using two surgical procedures.” Singapore medical journal vol. 49,8 (2008): 624-6.
  29. Elshaer, Mohamed et al. “Subtotal cholecystectomy for "difficult gallbladders": systematic review and meta-analysis.” JAMA surgery vol. 150,2 (2015): 159-68. doi:10.1001/jamasurg.2014.1219
  30. Shingu, Yuji et al. “Laparoscopic subtotal cholecystectomy for severe cholecystitis.” Surgical endoscopy vol. 30,2 (2016): 526-531. doi:10.1007/s00464-015-4235-5
  31. Harilingam, Mohan Raj et al. “Laparoscopic modified subtotal cholecystectomy for difficult gall bladders: A single-centre experience.” Journal of minimal access surgery vol. 12,4 (2016): 325-9. doi:10.4103/0972-9941.181323
  32. Jara, Génesis et al. “Laparoscopic subtotal cholecystectomy: a surgical alternative to reduce complications in complex cases.” “Colecistectomía laparoscópica subtotal como alternativa quirúrgica segura en casos complejos.” Cirugia espanola vol. 95,8 (2017): 465-470. doi:10.1016/j.ciresp.2017.07.013
  33. Abdelrahim, W E et al. “Subtotal laparoscopic cholecystectomy influences the rate of conversion in patients with difficult laparoscopic cholecystectomy: Case series.” Annals of medicine and surgery (2012) vol. 19 19-22. 25 May. 2017, doi:10.1016/j.amsu.2017.04.018
  34. Strasberg, Steven M et al. “Subtotal Cholecystectomy-"Fenestrating" vs "Reconstituting" Subtypes and the Prevention of Bile Duct Injury: Definition of the Optimal Procedure in Difficult Operative Conditions.” Journal of the American College of Surgeons vol. 222,1 (2016): 89-96. doi:10.1016/j.jamcollsurg.2015.09.019
  35. Kaplan, Daniel et al. “Subtotal cholecystectomy and open total cholecystectomy: alternatives in complicated cholecystitis.” The American surgeon vol. 80,10 (2014): 953-5.
  36. Yang, Dong et al. “Laparoscopic treatment of an upper gastrointestinal obstruction due to Bouveret's syndrome.” World journal of gastroenterology vol. 19,40 (2013): 6943-6. doi:10.3748/wjg.v19.i40.6943
  37. Glaysher, Michael A et al. “A rare cause of upper gastrointestinal haemorrhage: Ruptured cystic artery pseudoaneurysm with concurrent cholecystojejunal fistula.” International journal of surgery case reports vol. 5,1 (2014): 1-4. doi:10.1016/j.ijscr.2013.11.005
  38. Periselneris, N, and J J Bong. “Choledocho-duodenal fistula encountered during emergency laparotomy for upper gastro-intestinal haemorrhage: what should be the surgical strategy?.” La Clinica terapeutica vol. 162,6 (2011): 547-8.