Unsupported Browser
The American College of Surgeons website is not compatible with Internet Explorer 11, IE 11. For the best experience please update your browser.
Menu
Become a member and receive career-enhancing benefits

Our top priority is providing value to members. Your Member Services team is here to ensure you maximize your ACS member benefits, participate in College activities, and engage with your ACS colleagues. It's all here.

Become a Member
Become a member and receive career-enhancing benefits

Our top priority is providing value to members. Your Member Services team is here to ensure you maximize your ACS member benefits, participate in College activities, and engage with your ACS colleagues. It's all here.

Become a Member
ACS
Case Reviews in Surgery

A Rare Case of Intraabdominal Extraosseous Ewing Sarcoma Involving the Small Bowel Mesentery

A Rare Case of Intraabdominal Extraosseous Ewing Sarcoma Involving the Small Bowel Mesentery

May 14, 2021

Abstract

Background

Ewing sarcoma (ES) most often originates from bone and rarely can present from a non-osseous origin. Extraosseous Ewing sarcoma (EES) is difficult to diagnose as symptoms, and imaging findings are nonspecific. The prognosis is overall poor. Treatment involves a multimodal approach. Here, we present a rare case of ES of the small bowel mesentery in a 35-year-old female.

Summary

The patient underwent an exploratory laparotomy for an asymptomatic, large, heterogeneous, partially necrotic lower mid-intraabdominal mass seen on imaging. Intraoperatively, there was necrosis and rupture of the tumor resulting in hemoperitoneum and peritoneal metastases. All loose necrotic tissue from the inside of the tumor cavity was removed as well as one loop of small bowel that had been densely adherent to and involved with the mass. The mass could not be fully resected as it involved the root of the small bowel mesentery. Pathology of the specimen was consistent with EES. The patient has plans to undergo postoperative chemotherapy and possible radiation.

Conclusion

EES is rare and difficult to diagnosis due to nonspecific symptoms and imaging findings. Diagnosis relies on histopathology findings. The treatment is not well defined due to the low incidence of intraperitoneal ES. Currently, the treatment involves a multimodal approach and prognosis is overall poor. More studies need to be performed to elucidate the optimal treatment for EES in the setting of this rare disease.

Key Words

Ewing sarcoma; extraosseous; small bowel mesentery


Introduction

Ewing sarcoma (ES) is the second most common pediatric bone tumor and is an aggressive disease most commonly of bony origin. Extraosseous Ewing sarcoma (EES) is rare and originates from soft tissues. Thirty percent of all ES cases are EES.1 EES patients are most likely female and are older when compared to ES patients.2 There is a bimodal age distribution of younger than five years and older than 35 years.3 The most common locations include chest wall, head and neck, paravertebral region, and retroperitoneum.2 There are few cases reported in the literature involving the abdominal soft tissues, including the liver, pancreas, small bowel, uterus, and adrenal gland.4 Symptoms are nonspecific, depend on the tumor’s location, and usually include pain associated with a rapidly enlarging mass. Imaging findings are also nonspecific, which makes it challenging to differentiate EES from other Intraabdominal malignancies. Computed tomography (CT) shows a heterogeneous non-infiltrative mass, which represents necrosis and hemorrhage of the tumor.2,5 Pathology of biopsy specimens shows a small round cell tumor that is poorly differentiated and highly malignant.2,4 Treatment is multimodal in approach and typically includes surgical resection with chemotherapy and radiation in some cases. The overall prognosis of EES is poor.2 Here, we present a case of EES of the small bowel mesentery in a young female.

Case Description

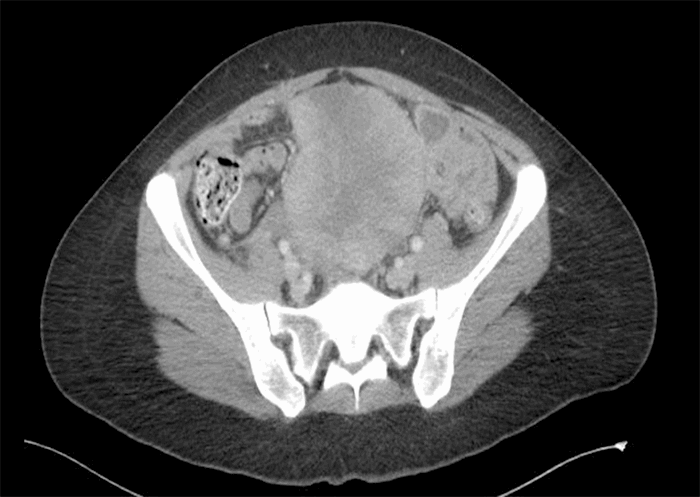
The patient is a 35-year-old female with no significant past medical history who presented with acute onset of abdominal pain and distension. A CT abdomen/pelvis showed a large heterogeneous partially necrotic lower mid-intraabdominal mass and a small volume of ascites (Figure 1 and Figure 2).

Figure 1. CT abdominal/pelvis coronal section showing a heterogeneous partially necrotic structure measuring 10.4 x 9.9 x 11.2 cm

Figure 2. CT abdominal/pelvis axial section re-demonstrates large lower-mid intraabdominal mass

Differential diagnosis at the time included gastrointestinal stromal tumor (GIST) or carcinoid/neuroendocrine tumor. Within one week of the imaging, the patient went to the operating room for possible resection of the intraabdominal mass. A biopsy would not change the plan to resect, and the patient was symptomatic. She underwent an exploratory laparotomy. Intraoperative findings included a large intraabdominal/retroperitoneal mass involving the root of the small bowel mesentery with necrosis and rupture resulting in hemoperitoneum and peritoneal metastases (Figure 3 and Figure 4).

Figure 3. Tumor cavity involving the small bowel mesentery

Figure 4. Tumor involving a portion of the small intestine

There were implants of tumor in the omentum and serosa of the cecum. All loose necrotic tissue from the inside of the tumor cavity was removed. There was no well-circumscribed outer capsule of the tumor. Any attempt to remove the outer part of this mass resulted in additional bleeding, as there was clearly no plane between the mass and the mesenteric and retroperitoneal tissue. There was one loop of small bowel that was densely adherent to and involved with the mass. This part of the small bowel was resected. The mass was not deemed fully resectable since it involved the root of the mesentery, so only partial resection of the retroperitoneal mass was performed. The patient tolerated the surgery well with no complications. Postoperatively, she developed an ileus that gradually improved and a hematoma in the evacuated tumor cavity of the primary lesion. The patient was discharged home on postoperative day eight.

Pathology of the specimen showed a poorly differentiated malignant neoplasm consisting of sheets and lobulated aggregates of rounded cells with variable amounts of amphophilic cytoplasm and uniform large nuclei with evenly distributed chromatin. Some areas had a prominent desmoplastic stroma. Immunostains showed multifocal perinuclear dot-like positivity for pan-keratin along with multifocal weak staining for synaptophysin and diffuse membranous positivity for Cluster of differentiation 99 (CD99). Stains for SMARCA4 were positive. There was strong and diffuse nuclear positivity for both NKX2.2 and Fli-1. These findings are consistent with non-osseous Ewing sarcoma.

Postoperatively, the patient was evaluated by medical oncology. Their recommendation included a chemotherapy regimen of ifosfamide, etoposide, vincristine, Adriamycin and cyclophosphamide (IE/VAC) every two to three weeks for at least 17 cycles. She needs to be seen by radiation oncology to assess for any need for radiation.

Discussion

EES is a rare entity that is aggressive and has a poor prognosis. According to Li et al., there are approximately 36 cases of gastrointestinal ES in the literature that include the esophagus, stomach, colon, rectum, and there are 19 cases that include the small intestine. Most patients were female and were positive for CD99. Overall survival at five years is 65 to 75 percent in localized tumors but is less than 30 percent in metastatic cases.4 There are reports that 35 to 43 percent of patients have metastatic disease at presentation. The lung is the most common site of metastases.6 One prognostic factor is age; younger patients have better survival. Another prognostic factor is the ability to fully resect the tumor. The disease-free survival is lower in EES if the margins are positive. The size of the tumor is important; one study found that if the tumor is less than 10 cm, the patient had a favorable survival. Local recurrence rate ranges from 22 to 36 percent.6,7

Diagnosis is difficult because patients have nonspecific symptoms and nonspecific imaging findings, which was the case for our patient. CT imaging usually shows a heterogeneous non-infiltrating mass, which can be mistaken for a benign lesion. MRI demonstrates a mass that is isointense to hyperintense on T1-weighted images and hyperintense on T2-weighted images.5 Intraoperative findings include a lobulated soft tissue mass with hemorrhagic components and necrosis. Diagnosis is confirmed by pathology. Histologically ES consists of small round cells in sheets with small amounts of cytoplasm that are positive for CD99, Vimentin, NSE, and S-100.8 Our case was positive for synaptophysin, CD99, SMARCA4, NKX2.2 and Fli-1. Molecular genetic studies can aid in the diagnosis as 95 percent of patients with EES have a translocation t(11;22)(q24;q12) resulting in EWS-FLI1 fusion.9

The optimum treatment for EES is not well-established. Currently, the National Comprehensive Cancer Network recommends that EES be treated with local treatment (surgery, radiotherapy, or both) plus chemotherapy.4 El Weshi et al. reported an analysis of 57 patients with EES and found patients treated with surgery, radiation, or chemotherapy had better overall five-year survival compared to surgery and chemotherapy or radiotherapy and chemotherapy (63 percent, 42 percent, and 17 percent, respectively). The same outcome was found for five-year event-free survival.7 The aim of surgery should be negative margins, preferably 2 to 3 cm margins.10 One study found that local tumor occurrence developed in their patients with positive surgical margins.6 Another modality of treatment is radiation. Radiation carries the risk of leading to a secondary malignancy. Although EES is sensitive to radiation, it is used when negative margins are not obtained, or the tumor cannot be resected completely.9,10 In addition to radiation, chemotherapy is important in the treatment of EES. One chemotherapy regimen commonly used to treat EES is vincristine, doxorubicin, cyclophosphamide and ifosfamide-etoposide (VDC/IE). Chemotherapy can be given for 12 to 24 weeks before surgery to increase the likelihood of negative margins at the time of surgery.10 Barbosa Neto et al. reported a case of a 16-year-old female who presented with disseminated Ewing sarcoma of the peritoneum treated with neoadjuvant chemoradiotherapy and then was able to undergo a complete surgical resection. Chemotherapy should be used in an adjuvant setting to decrease the local recurrence rate.2,9

There are prior reports in the literature of patients presenting with EES of the mesentery, including a description of a 56-year-old male with EES in the mesocolon who had metastatic liver lesions at the time of diagnosis and died after undergoing a subtotal gastrectomy and adjuvant chemotherapy.9 An additional case of a four-year-old boy was reported by Shibuya et al; the patient had EES of the mesentery involving the superior mesenteric artery (SMA), the entire small intestine, and head of the pancreas. A palliative excision was performed, and he received adjuvant chemotherapy. Imaging after five cycles of chemotherapy showed persistent unresectable disease. Turkyilmaz et al.1,11 described a 15-year-old female with EES in the right mesocolon. No mesenteric vessels were involved, and the tumor was completely resected. The patient underwent adjuvant chemotherapy. Another case of involvement of the mesentery was in a 36-year-old female. The mass involved the ileocecal region, including the mesentery as well as the sigmoid colon. She underwent tumor resection and adjuvant chemotherapy, developed peritoneal recurrence, and died 34 months after surgery.12

In our case, due to the rarity of EES, EES was not included in the differential of the patient’s diagnosis preoperatively. If EES were diagnosed prior to surgery, we would have treated her preoperatively with chemotherapy to try to reduce the size of the tumor and possibly make the tumor fully resectable. Intraoperatively, the tumor was involving the mesentery of the small bowel, so not all of her tumor was resected. The patient has plans to start chemotherapy with a regimen that likely includes IE/VAC and possibly radiation.

Conclusion

EES is a rare entity that is difficult to diagnose. Diagnosis relies on histopathology findings. The treatment is not well-defined due to the low incidence of intraperitoneal ES. Currently, the treatment involves a multimodal approach, and the prognosis is overall poor. More studies need to be performed to elucidate the optimal treatment for EES in the setting of this rare disease.

Lessons Learned

EES is a rare entity with a poor prognosis that is not easily diagnosed due to lack of specificity of symptoms and imaging findings. Treatment involves a multimodal approach. Due to the rarity of this disease, more studies are needed to elucidate the optimal treatment.

Authors

Krupa KM; Kriley IR; Williams HK

Author Affiliation

Allegheny General Hospital, Department of General Surgery, Pittsburgh, PA 15212

Corresponding Author

Kristin Krupa, MD
Allegheny General Hospital
c/o 5th floor South Tower, General Surgery Residency Program
320 E. North Avenue
Pittsburgh, PA 15212
Phone: (215) 804-7673
E-mail: kristin.krupa@ahn.org

Disclosure Statement

The authors have no conflicts of interest to disclose.

References

  1. Turkyilmaz Z, Sonmez K, Karabulut R, et al. Extraskeletal Ewing sarcoma of the mesocolon in a child. J Pediatr Surg. 2012;47:E1–E3. doi: 10.1016/j.jpedsurg.2012.04.009.
  2. Galyfos G, Karantzikos GA, Kavouras N, Sianou A, Palogos K, Filis K. Extraosseous Ewing Sarcoma: Diagnosis, Prognosis and Optimal Management. The Indian Journal of Surgery. 2016;78(1):49-53. doi:10.1007/s12262-015-1399-0.
  3. Applebaum MA, Worch J, Matthay KK, et al. Clinical features and outcomes in patients with extraskeletal Ewing sarcoma. Cancer. 2011;117(13):3027-3032. doi:10.1002/cncr.25840.
  4. Li T, Zhang F, Cao Y, et al. Primary Ewing’s sarcoma/primitive neuroectodermal tumor of the ileum: case report of a 16-year-old Chinese female and literature review. Diagnostic Pathology. 2017;12:37. doi:10.1186/s13000-017-0626-3.
  5. Toda K, Ishii S, Yasuoka H, et al. Adrenal Ewing’s Sarcoma in an Elderly Man. Internal Medicine. 2018;57(4):551-555. doi:10.2169/internalmedicine.8892-17.
  6. Somarouthu BS, Shinagare AB, Rosenthal MH, et al. Multimodality imaging features, metastatic pattern and clinical outcome in adult extraskeletal Ewing sarcoma: experience in 26 patients. The British Journal of Radiology. 2014;87(1038):20140123. doi:10.1259/bjr.20140123.
  7. El Weshi A, Allam A, Ajarim D, et al. Extraskeletal ’Ewing’s sarcoma family of tumours in adults: analysis of 57 patients from a single institution. Clin Oncol (R Coll Radiol). 2010;22(5):374-81. doi: 10.1016/j.clon.2010.02.010.
  8. Javalgi AP, Karigoudar MH, Palur K. Blue Cell Tumour at Unusual Site: Retroperitoneal Ewings Sarcoma. Journal of Clinical and Diagnostic Research : JCDR. 2016;10(4):ED19-ED20. doi:10.7860/JCDR/2016/18302.7618.
  9. Shibuya S, Takamizawa S, Hatata T, et al. Extraosseous Ewing sarcoma in the mesentery: the first report of cases in children. Pediatr Surg Int. 2015;31(10):995-9. doi:10.1007/s00383-015-3782-0.
  10. Xie CF, Liu MZ, Xi M. Extraskeletal ’Ewing’s sarcoma: a report of 18 cases and literature review. Chin J Cancer. 2010;29(4):420-4.
  11. Barbosa Neto O, Garant A, Shakir S, Brossard J, Garde-Granger P, Freeman C. Whole Abdominal-Pelvic Radiotherapy in the Management of Primary Ewing Sarcoma of the Peritoneal Cavity. Muacevic A, Adler JR, eds. Cureus. 2016;8(1):e455. doi:10.7759/cureus.455.
  12. Peng L, Yang L, Wu N, Wu B. Primary primitive neuroectodermal tumor arising in the mesentery and ileocecum: A report of three cases and review of the literature. Experimental and Therapeutic Medicine. 2015;9(4):1299-1303. doi:10.3892/etm.2015.2242.