Unsupported Browser
The American College of Surgeons website is not compatible with Internet Explorer 11, IE 11. For the best experience please update your browser.
Menu
Become a member and receive career-enhancing benefits

Our top priority is providing value to members. Your Member Services team is here to ensure you maximize your ACS member benefits, participate in College activities, and engage with your ACS colleagues. It's all here.

Become a Member
Become a member and receive career-enhancing benefits

Our top priority is providing value to members. Your Member Services team is here to ensure you maximize your ACS member benefits, participate in College activities, and engage with your ACS colleagues. It's all here.

Become a Member
ACS
Case Reviews in Surgery

Fulminant Clostridium difficile Small Bowel Enteritis in a 23-Year-Old Patient

A young female patient with a history of total colectomy developed fulminant Clostridium difficile infection of the small bowel after elective ileostomy reversal.

May 14, 2021

Abstract

Background

A young female patient with a history of total colectomy developed fulminant Clostridium difficile infection of the small bowel after elective ileostomy reversal.

Summary

This report explores an uncommon manifestation of fulminant C. difficile infection affecting the small bowel rather than the colon, as is typical. We highlight the diagnosis, treatment, and prognosis of such cases. A 23-year-old female underwent total abdominal colectomy with ileostomy for colonic inertia secondary to colonic hypoganglionosis. She had a concomitant diagnosis of anismus, for which she completed successful biofeedback training. She presented for elective ileostomy reversal. Following this procedure, she developed diarrhea and septic shock. Emergent exploratory laparotomy was performed, during which the patient developed pulseless electrical activity (PEA) arrest. She was ultimately resuscitated, and the operation did not reveal an anastomotic leak or peritonitis. Postoperatively, a C. difficile toxin returned positive. After fourteen days, including five days of intensive care, the patient was discharged on oral vancomycin.

Conclusion

C. difficile enteritis in the absence of colitis is a relatively understudied condition with significant morbidity and possible mortality. We present a case of fulminant C. difficile enteritis following elective ileostomy reversal in a 23-year-old patient status post-colectomy for colonic inertia. This report highlights the importance of recognizing this uncommon but potentially fatal diagnosis.

Key Words

Clostridium difficile enteritis; Clostridium difficile infection; fulminant Clostridium difficile; total colectomy


Case Description

A healthy 23-year-old female initially presented to our clinic with a history of constipation secondary to hypoganglionosis as well as anismus. One year prior, she underwent a total abdominal colectomy with ileorectal anastomosis and diverting loop ileostomy. She then completed pelvic floor physical therapy and biofeedback training to have her ileostomy reversed. She had no other medical problems, prescription medications, or drug allergies. Physical exam and preoperative workup for ileostomy reversal were unremarkable. The patient initially tolerated the ileostomy reversal procedure well and proceeded to the general surgical floor.

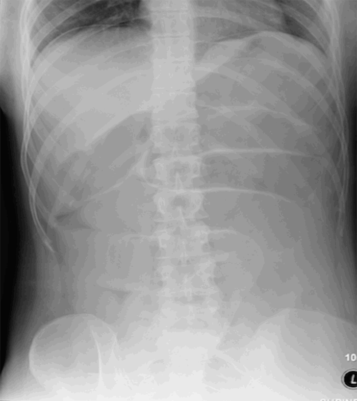
The following day, the patient experienced three episodes of diarrhea, and by the evening, she developed altered mental status, abdominal distension, and tachycardia. Stat labs demonstrated marked hemoconcentration with hematocrit 56.9 percent, white blood cell count 16 K/mcL, lactate 10.2 mmol/L, and bicarbonate 10 mmol/L, for which the patient received aggressive fluid resuscitation. Further diagnostic workup included pan-cultures and C. difficile toxin assay. Empiric antibiotic therapy was initiated along with transfer to a higher level of care. An abdominal X ray showed marked small bowel dilation (Figure 1). A nasogastric tube was placed and immediately productive of two liters of bilious fluid. The patient was taken emergently for exploratory laparotomy. Shortly after induction, she became pulseless and required 45 seconds of chest compressions and intravenous epinephrine. Fortunately, her pulse returned, and the procedure revealed no evidence of obstruction, peritonitis, bowel ischemia, or anastomotic leak.

Figure 1. Abdominal X ray revealing dilated loops of the small bowel

Several hours postoperatively, the C. difficile assay returned positive, at which time oral and rectal vancomycin were initiated along with intravenous metronidazole. The patient’s postoperative course was further complicated by acute respiratory distress syndrome. During five days of intensive care, the patient continued to have a high daily output of about five liters from her rectal tube and nasogastric tubes combined. Ultimately, she was discharged after twelve days on oral vancomycin, tolerating an oral diet and without diarrhea. Of note, the patient went on to require ileostomy recreation for dysmotility six weeks later. Since then, she has had recurrent bouts of C. difficile enteritis confirmed by positive stool sample assays obtained per stoma.

Discussion

C. difficile enteritis in the absence of colitis is a relatively understudied and underdiagnosed condition with potentially grave consequences and significant morbidity and mortality. A literature review published in 2013 by Dineen et al.1 revealed 83 reported cases of C. difficile enteritis. The overall mortality rate was 23 percent, a decrease from 67 percent reported for the first nine cases.

Antibiotics are thought to predispose to C. difficile infection (CDI) by altering colonic flora such that C. difficile can proliferate. In the Dineen et al.1 study, 71 percent of patients received antibiotics in the four weeks before infection. Another study demonstrated that 96 percent of patients with CDI received antibiotics within 14 days of infection, and 100 percent received antibiotics within the previous three months.2 Reports on C. difficile enteritis demonstrate antibiotic exposure to be associated with 23 to 100 percent of cases.1,3-5 As colectomy patients are uniformly given prophylactic broad-spectrum intravenous antibiotics prior to surgery, they represent a population at increased risk for CDI.

CDI is typically suspected when patients recently or presently hospitalized develop watery diarrhea and, possibly, lower abdominal pain, fever, nausea, and anorexia.6 However, diarrhea is expected in postcolectomy patients with ileostomies and ileorectal anastomoses, creating a diagnostic challenge. This patient population also presents with other compounding risk factors such as concomitant hospitalization and prophylactic antibiotic use. Thus, colectomy patients are particularly susceptible to CDI, warranting a high index of suspicion for this rare condition.

The pathogenesis of CDI is due to strains of toxigenic C. difficile releasing toxin A, which causes hypersecretion of fluids, and toxin B, causing cell death.7,8 These toxins often lead to pseudomembrane formation, watery diarrhea, and massive fluid shifts, resulting in prolonged ileus and a fluid-filled bowel.6 The emergence of a hypervirulent strain of C. difficile, BI/NAP1/027, has led to an increase in the incidence and severity of CDI.9,10 Lavallee et al. published a case of fatal C. difficile enteritis caused by the BI/NAP1/027 strain.4 Our patient’s presenting symptoms of altered mental status and hemodynamic instability are hallmarks of the fulminant version of C. difficile enteritis..1

This report discusses a severe presentation of C. difficile enteritis in a 23-year-old female status post colectomy with ileorectal anastomosis. This case demonstrates several important points for the diagnosis and treatment of fulminant C. difficile enteritis. First, patients with a history of total colectomy and those undergoing surgery for indications other than CDI can develop postoperative C. difficile enteritis. Because of the significant morbidity and mortality associated with this disease, preventive measures, such as mandatory handwashing and contact isolation, may be beneficial in high-risk patients such as those with IBD.10 Antimicrobial stewardship is essential to the prevention of CDI and should be standard.

Additionally, because of the rapid progression of the disease, early detection of C. difficile enteritis is paramount. While our case was confirmed with a stool toxin enzyme immunoassay, awaiting this result led to some delay in diagnosis and definitive treatment. Nucleic acid amplification tests for C. difficile, which can be completed in as little as two hours, have become the gold standard at many institutions.11 Finally, as demonstrated by this case, prompt treatment of fulminant C. difficile enteritis is critical to recovery; treatment for C. difficile enteritis is generally similar to that for C. difficile colitis. Current literature recommends vancomycin 500 mg every six hours for complicated CDI with abdominal distention, delivered orally and rectally, along with intravenous metronidazole 500mg every eight hours.12

Along with medical management, a surgical consult is needed for all patients with complicated CDI. Treatment guidelines recommend surgery in patients with any of the following: hypotension requiring vasopressor therapy; clinical signs of sepsis and organ dysfunction; mental status changes; white blood cell count ≥ 50,000 cells/μL; lactate ≥5 mmol/L; or failure to improve on medical therapy after five days.13 For fulminant clinical presentations, surgical intervention often includes significant bowel resection.

Conclusion

Fulminant small bowel C. difficile enteritis is a grave medical complication with significant morbidity and mortality. Early recognition and aggressive treatment are paramount in the management of this rare condition. Treatment of fulminant cases should include topical and intravenous antimicrobial therapy as well as timely surgery.

Lessons Learned

Total colectomy patients are at risk for CDI. CDI may be difficult to diagnose in these patients as symptoms of C. difficile enteritis overlap with the typical post-colectomy state. Clinicians must maintain a high index of suspicion for this rare condition such that early diagnosis and treatment can be undertaken.

Authors

Patel Ka; Haac BEb; Caturegli Ic; Navara Rd; Hoofnagle Me; Harris Cf; Bafford ACf

Author Affiliations

  1. Center for Regenerative & Interventional Spine and Sports Pain, St. Louis, MO 63110
  2. The Mount Sinai Hospital, New York, NY 10029-6574
  3. Brigham and Women's Hospital, Department of Surgery, Boston, MA 02115
  4. Washington University School of Medicine, Department of Medicine, St. Louis, MO 63110
  5. Washington University School of Medicine, Department of Surgery, St. Louis, MO 63110
  6. University of Maryland School of Medicine, Department of Surgery, Baltimore, MD 21201

Corresponding Author

Andrea C. Bafford, MD, FACS
29 S. Greene Street, 6th floor
Baltimore, MD 21201
Phone: (410) 328-6187
E-mail: abafford@som.umaryland.edu

Disclosure Statement

The authors have no conflicts of interest to disclose.

References

  1. Dineen SP, Bailey SH, Pham TH, Huerta S. Clostridium difficile enteritis: A report of two cases and systematic literature review. World J Gastrointest Surg. 2013;5(3):37-42. doi:10.4240/wjgs.v5.i3.37
  2. Olson MM, Shanholtzer CJ, Lee JT Jr, Gerding DN. Ten years of prospective Clostridium difficile-associated disease surveillance and treatment at the Minneapolis VA Medical Center, 1982-1991. Infect Control Hosp Epidemiol. 1994;15(6):371-381. doi:10.1086/646934
  3. Lundeen SJ, Otterson MF, Binion DG, Carman ET, Peppard WJ. Clostridium difficile enteritis: an early postoperative complication in inflammatory bowel disease patients after colectomy. J Gastrointest Surg. 2007;11(2):138-142. doi:10.1007/s11605-006-0022-x
  4. Lavallée C, Laufer B, Pépin J, Mitchell A, Dubé S, Labbé AC. Fatal Clostridium difficile enteritis caused by the BI/NAP1/027 strain: a case series of ileal C. difficile infections. Clin Microbiol Infect. 2009;15(12):1093-1099. doi:10.1111/j.1469-0691.2009.03004.x
  5. Tsiouris A, Neale JA, Reickert CA, Times M. Clostridium difficile of the ileum following total abdominal colectomy, with or without proctectomy: who is at risk?. Dis Colon Rectum. 2012;55(4):424-428. doi:10.1097/DCR.0b013e31823f86a2
  6. Bagdasarian N, Rao K, Malani PN. Diagnosis and treatment of Clostridium difficile in adults: a systematic review. JAMA. 2015;313(4):398-408. doi:10.1001/jama.2014.17103
  7. Hull MW, Beck PL. Clostridium difficile-associated colitis [published correction appears in Can Fam Physician. 2005 Feb;51:192]. Can Fam Physician. 2004;50:1536-1545.
  8. Razavi B, Apisarnthanarak A, Mundy LM. Clostridium difficile: emergence of hypervirulence and fluoroquinolone resistance. Infection. 2007;35(5):300-307. doi:10.1007/s15010-007-6113-0
  9. Warny M, Pepin J, Fang A, et al. Toxin production by an emerging strain of Clostridium difficile associated with outbreaks of severe disease in North America and Europe. Lancet. 2005;366(9491):1079-1084. doi:10.1016/S0140-6736(05)67420-X
  10. Navaneethan U, Venkatesh PG, Shen B. Clostridium difficile infection and inflammatory bowel disease: understanding the evolving relationship. World J Gastroenterol. 2010;16(39):4892-4904. doi:10.3748/wjg.v16.i39.4892
  11. Chen S, Gu H, Sun C, Wang H, Wang J. Rapid detection of Clostridium difficile toxins and laboratory diagnosis of Clostridium difficile infections. Infection. 2017;45(3):255-262. doi:10.1007/s15010-016-0940-9
  12. McDonald LC, Gerding DN, Johnson S, et al. Clinical Practice Guidelines for Clostridium difficile Infection in Adults and Children: 2017 Update by the Infectious Diseases Society of America (IDSA) and Society for Healthcare Epidemiology of America (SHEA). Clin Infect Dis. 2018;66(7):e1-e48. doi:10.1093/cid/cix1085
  13. Surawicz CM, Brandt LJ, Binion DG, et al. Guidelines for diagnosis, treatment, and prevention of Clostridium difficile infections. Am J Gastroenterol. 2013;108(4):478-499. doi:10.1038/ajg.2013.4