Unsupported Browser
The American College of Surgeons website is not compatible with Internet Explorer 11, IE 11. For the best experience please update your browser.
Menu
Become a member and receive career-enhancing benefits

Our top priority is providing value to members. Your Member Services team is here to ensure you maximize your ACS member benefits, participate in College activities, and engage with your ACS colleagues. It's all here.

Become a Member
Become a member and receive career-enhancing benefits

Our top priority is providing value to members. Your Member Services team is here to ensure you maximize your ACS member benefits, participate in College activities, and engage with your ACS colleagues. It's all here.

Become a Member
ACS
Case Reviews in Surgery

Benign Hepatic Cyst in the Setting of Markedly Elevated CA 19-9

A 34-year-old female presented with an enlarging hepatic mass in the setting of markedly elevated serum CA 19-9

November 30, 2020

Abstract

Background

A 34-year-old female presented with an enlarging hepatic mass in the setting of markedly elevated serum CA 19-9.

Summary

The 34-year-old patient presented with intermittent right upper quadrant pain, early satiety, and abdominal bloating. CT revealed a large cystic mass in the left lobe of the liver with septation and compression of the gallbladder. Serum CA 19-9 was 45,266. She underwent resection. Despite this markedly elevated serum CA 19-9, final pathology was consistent with a benign hepatic cyst.

Conclusion

While serum CA 19-9 is a biomarker associated with biliopancreatic malignancy, it is also associated with a number of benign etiologies and cannot reliably be used to differentiate between the two. This case report demonstrates the inability of serum CA 19-9 to predict malignant versus benign etiology of biliopancreatic masses.

Key Words

Hepatic cyst; CA 19-9


Case Description

Serum carbohydrate associated antigen 19-9 is a well-known tumor marker of biliopancreatic malignancies. However, a number of benign pathologies are also associated with an elevated serum CA 19-9. Here, the authors discuss a patient with markedly elevated serum CA 19-9 in the setting of a simple biliary cyst.

The patient is a 34-year-old female without significant past medical history presented for further evaluation of a cystic liver mass. She complained of severe, intermittent, right upper quadrant pain associated with non-bloody, non-bilious emesis. She endorsed early satiety and abdominal bloating. She had a positive family history of cholelithiasis. She denied weight loss, fevers, chills, or night sweats. She reported several similar episodes of abdominal pain and associated symptoms, for which she was seen at various outside emergency departments on three to four separate occasions. During these encounters, she had a right upper quadrant ultrasound that revealed a 10.8 x 16.1 x 9.5 cm cystic lesion with layering, debris, and septation and a CT A/P with contrast, revealing a 5.8 x 4.8 x 3.7 cm hypoattenuating mass within the medial segment of the left lobe with septation, compression of the gallbladder, and no evidence of intra or extrahepatic biliary dilatation. She was referred to our institution for further workup and evaluation.

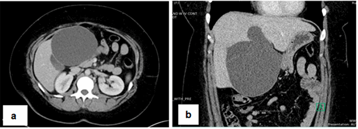
A CT A/P with contrast was significant for a large, hypoattenuating, multiloculated, exophytic, cystic mass in the left lobe that measured 12.6 x 11.6 x 9.9 cm, a marked increase in size from that on prior imaging, was compressing the adjacent gallbladder, duodenum, and stomach (Figure 1) still without any intra- or extrahepatic biliary dilatation. At that time, all liver enzyme levels were within normal limits.

Figure 1. a) Cross-sectional; and b) coronal imaging of mass, respectively.

The patient’s physical exam was remarkable only for a large palpable mass in the right upper quadrant. At that time, serum alpha fetoprotein level was within normal limits, but tumor marker serum CA 19-9 was markedly elevated at 45,266 units/mL. Given the aforementioned radiologic findings, suspicion for cystadenoma was highest on the authors’ differential; however, the possibility of malignancy was also discussed with the patient, given significant elevation of CA19-9 tumor marker. Resection of the mass with concurrent open cholecystectomy was deemed the next appropriate step in management.

On April 25, 2018, the patient was taken to the operating room for an extended left lobectomy. Liver segments II, III, IV, and a portion of V were resected with the gallbladder en bloc (Figures 2 through 4). The adjacent right portal vein was carefully preserved throughout this dissection. The middle and left hepatic veins were identified, ligated, and over-sewn. The specimen was sent to pathology for frozen sections and negative margins were confirmed prior to closure. Postoperative course was uneventful, and the patient went home on postoperative day four.

Figure 2. Hepatic mass en vivo.

Figure 3. Extended left lobectomy with gallbladder en bloc and mass ex vivo.

Figure 4.Transected hepatic mass.

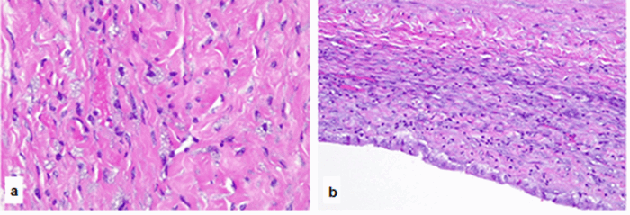
Pathology later confirmed that the mass was a 13 x 7.5 x 6 cm benign, simple hepatic cyst with mild portal hepatitis and steatosis. Of note, only a small portion of the cyst had an epithelial lining. The areas lacking an epithelium had a local predominance of muciphages as well as scattered neutrophils and lymphocytes. There was also a great deal of collagen and stromal tissue forming a capsule around the mass with surrounding compressed hepatic parenchyma (Figure 5 and Figure 6).

Figure 5. A) Cyst wall lacking epithelium with fibrosis and hyalinization; B) cyst wall with adjacent compressed hepatic parenchyma; C) cyst wall with scattered muciphages.

Figure 6. A) Cyst wall with numerous muciphages; B) cyst wall with preserved cuboidal to low columnar epithelium with scattered neutrophils, lymphocytes, and muciphages.

The patient was later seen in our clinic for follow-up. She was doing well at that time, with minimal pain as well as denied nausea, vomiting, fevers, and chills. Her serum CA 19-9 had down trended to 51 units/mL at this visit. She followed up again a few weeks later in our clinic and continued to do well. Serum CA 19-9 had decreased further to 29 units/mL. Two months later, a CT A/P with contrast was completed due to a recurrence of right upper quadrant pain that showed postsurgical changes without any recurrence of or residual mass and no acute intraabdominal processes. Her pain was deemed likely musculoskeletal in nature given her recent return to work. The patient has not had any recurrent or new symptoms since that time.

Discussion

Serum carbohydrate associated antigen 19-9 is a well-known tumor marker of biliopancreatic malignancies. However, a number of benign pathologies are also associated with an elevated serum CA 19-9.1 While these elevations are typically mild (<200 u/ml), few etiologies, including obstructive jaundice, acute liver failure, acute hepatitis, alcoholic liver disease, and acute pancreatitis, have been known to cause more marked elevations (>1000 u/ml).1

Mucins carrying the CA 19-9 epitope are secreted by normal biliary cells.5 An elevated serum CA 19-9 indicates inflammation of the biliary tree or surrounding parenchyma with resultant biliary leakage into systemic circulation.5 The biliary epithelium that lines hepatic cyst walls has been proposed as the underlying etiology of elevated CA 19-9 in most benign cases.5 In cases of an infected cyst, these levels are even further elevated due to the local inflammatory state.5

Although using serum tumor marker CA 19-9 has been proposed as a diagnostic tool for differentiating malignant and premalignant lesions from benign cysts, studies have not supported this notion. Numerous studies have shown that neither serum nor cystic concentrations of CA 19-9 are reliable in differentiating hepatic cystadenomas and cystadenocarcinomas from simple hepatic cysts.2-4 However, the serum CA 19-9 derangements cited in these reports were much milder than that seen in our patient, all <200 u/mL. Despite the markedly elevated serum CA 19-9 of the patient, pathology was consistent with a benign hepatic cyst, further underscoring the poor predictive value of serum CA 19-9 in differentiating benign versus malignant biliopancreatic etiologies. Cyst aspirate was not obtained during this case and, thus, we are unable to further comment on cystic concentrations of CA 19-9 in this report.

As described above, our patient’s mass was lacking a significant portion of the circumferential epithelial lining. The presence of numerous muciphages and occasional neutrophils and lymphocytes on pathology are indicative of a local inflammatory reaction leading to breakdown of the epithelial barrier surrounding the cyst. Breakdown of this epithelial lining would have allowed excess leakage of cyst contents (mucin) into the serum, leading to an elevated serum CA 19-9, as was seen in the patient’s lab results. There was also significant collagen and stromal tissue present at the periphery of the cyst, again indicative of a local inflammatory reaction.

Additionally, elevation of serum CA 19-9 in the setting of heavy black tea consumption has been observed. Al-Janabi and Tawfeeq6 described serum CA 19-9 elevation in 43 percent of subjects consuming large amounts of black tea. However, the maximum value observed among participants was 105 in this study. A 2003 case report described an individual with CA 19-9 levels elevated to >1,000 without any responsible etiology identified other than heavy tea consumption and, most notably, this value down-trended to normal limits with cessation of tea consumption.1 The patient endorses drinking several glasses of black tea on a daily basis.

While heavy consumption of black tea may have further contributed to or amplified our patient’s CA 19-9 elevation, it is likely that the histologic evidence of epithelial breakdown was primarily responsible for this patient’s markedly elevated serum CA 19-9 value of greater than 45,000, particularly given the significant decrease in value following surgical resection.

Conclusion

While serum CA 19-9 is a biomarker associated with biliopancreatic malignancy, it is also associated with a number of benign etiologies and cannot reliably be used to differentiate between the two. Our case report further supports the observation that serum CA 19-9 does not have value in predicting malignant versus benign etiology of biliopancreatic masses.

Lessons Learned

Although the case underscores the inaccuracy of serum CA 19-9 as a serological predictor of malignancy, the patient’s symptomatology in the presence of an enlarging hepatic mass was an appropriate indication for resection.

Authors

Williams LE; Chan EY; Pool MD; Thomas MB

Corresponding Author

Lauren Williams, MD
Department of Surgery
1750 W. Harrison St., Jelke-775
Chicago, IL 60612
Phone: (618) 919-1881
E-mail: lauren_e_williams@rush.edu

Author Affiliation

Rush Medical Center
Department of Surgery
Chicago, IL 60612

Disclosure Statement

The authors have no conflicts of interest to disclose.

References

  1. Howaizi M, Abboura M, Krespine C, Sbai-Idrissi MS, Marty O, Djabbari-Sobhani M. A new cause for CA19.9 elevation: heavy tea consumption. Gut. 2003;52(6):913-914. doi:10.1136/gut.52.6.913
  2. Park KH, Kim JS, Lee JH, et al. [Significances of serum level and immunohistochemical stain of CA19-9 in simple hepatic cysts and intrahepatic biliary cystic neoplasms.] Kor J Gastroenterol. 2006;47(1):52-58.
  3. Choi HK, Lee JK, Lee KH, et al. Differential diagnosis for intrahepatic biliary cystadenoma and hepatic simple cyst: significance of cystic fluid analysis and radiologic findings. J Clin Gastroenterol. 2010;44(4):289-293. doi:10.1097/MCG.0b013e3181b5c789
  4. Yanai H, Tada N. A simple hepatic cyst with elevated serum and cyst fluid CA19-9 levels: a case report. J Med Case Rep. 2008;2:329. Published 2008 Oct 14. doi:10.1186/1752-1947-2-329
  5. Kanaan N, Goffin E, Pirson Y, Devuyst O, Hassoun Z. Carbohydrate antigen 19-9 as a diagnostic marker for hepatic cyst infection in autosomal dominant polycystic kidney disease. Am J Kidney Dis. 2010;55(5):916-922. doi:10.1053/j.ajkd.2009.12.023
  6. Al-Janabi AAHS, Tawfeeq EF. Interfering Effect of Black Tea Consumption on Diagnosis of Pancreatic Cancer by CA 19-9. J Gastrointest Cancer. 2017;48(2):148-150. doi:10.1007/s12029-016-9855-z