Unsupported Browser
The American College of Surgeons website is not compatible with Internet Explorer 11, IE 11. For the best experience please update your browser.
Menu
Become a member and receive career-enhancing benefits

Our top priority is providing value to members. Your Member Services team is here to ensure you maximize your ACS member benefits, participate in College activities, and engage with your ACS colleagues. It's all here.

Become a Member
Become a member and receive career-enhancing benefits

Our top priority is providing value to members. Your Member Services team is here to ensure you maximize your ACS member benefits, participate in College activities, and engage with your ACS colleagues. It's all here.

Become a Member
ACS
Case Reviews in Surgery

Rapid Integration of ECMO Support during the COVID-19 Pandemic: Lessons from a Small Community Hospital

Rapid Integration of ECMO Support during the COVID-19 Pandemic: Lessons from a Small Community Hospital

December 18, 2020

Abstract

Background

Evidence for the treatment of critically ill patients suffering from coronavirus disease 2019 (COVID-19) is slowly emerging. Venovenous extracorporeal membrane oxygenation (VV-ECMO) remains a last line of defense for patients overwhelmed by this virus for whom medical therapy is insufficient. How small community hospitals can utilize this technology in the face of this pandemic remains poorly understood.

Summary

We report a successful case of VV-ECMO utilized to recover a patient suffering from SARS-CoV-2 pneumonia. Moreover, we share the processes utilized to incorporate modern ECMO technology implemented only hours before use. Tables depict the protocols and patient workflows utilized for ECMO management. Serial chest X rays demonstrate patient progress.

Conclusion

This report demonstrates how, with the right physician-led practice improvement processes, innovative ECMO technologies can be adopted by even small community hospitals to care for critically ill patients suffering from COVID-19.


Case Description

While the outbreak of novel coronavirus (SARS-CoV-2) was first identified in Wuhan, China, in December 2019, the first case of coronavirus disease 2019 (COVID-19) in the United States was reported on January 20, 2020. Cases have spread rapidly across the country despite government-mandated closures of businesses and dramatic social distancing maneuvers. As of early May 2020, the Center for Disease Control (CDC) reported over one million cases and more than 80,000 deaths in the United States, with upwards of four million cases worldwide. Overwhelming COVID-19 leads to acute respiratory distress syndrome (ARDS) in 15 to 30 percent of patients.1 For ARDS patients who remain inadequately treated despite aggressive mechanical ventilatory support, extracorporeal membrane oxygenation (ECMO) represents an end-stage therapeutic intervention to prevent progression to multisystem organ failure. Extracorporeal Life Support Organization (ELSO), an international consortium of all established ECMO programs, has reported the use of ECMO for the treatment of medically-refractory ARDS in almost 350 COVID-19 cases to date, yielding a 32 percent survival rate. Their data also shows twofold greater use of ECMO in North America during this pandemic than the rest of the world combined.

Over the last 20 years, our hospital has employed a Medtronic cardiopulmonary bypass circuit to assist with ECMO support. This circuit was staffed with around-the-clock cardiac perfusionist support with 2:1 ICU nursing. Goal-directed anticoagulation has been performed utilizing continuous heparin therapy and maintained with serial activated clotting time (ACT) and arterial blood gas (ABG) performed by perfusionists. ECMO weaning has been performed with the coordinated management of cardiothoracic surgeons and critical care staff. Before 2019, our service line provided ECMO support (either venovenous [VV] or venoarterial [VA]) for four to five patients annually. Our hospital is a nonprofit, acute care facility with an average daily census of roughly 220 patients. We average 200–250 cardiothoracic surgery procedures per year with three attending cardiac surgeons.

Within days of the COVID-19 pandemic reaching the United States, our perfusionist staff was reduced by illness, markedly limiting our previous ECMO staffing model. At the same time, our hospital had newly purchased CentriMag (Abbott Laboratories, investigational use in ECMO) equipment to transition away from using the Medtronic cardiopulmonary bypass circuit previously employed for ECMO therapy. We received this new equipment on the day of our patient's presentation. Due to limited hospital access during the pandemic, industry training for the device was limited to videoconferencing. To accommodate for reduced perfusionist staffing, we were forced to quickly develop simplified patient workflows and protocols integrating bedside nursing into hands-on ECMO management (Table 1). A full revision of patient selection criteria (Table 2) and modified order sets were also required. All ECMO protocols were approved by our institutional medical executive committee before implementation.

Table 1. Daily workflow for ECMO maintenance

Table 2. ECMO selection criteria for SARS-Cov2 pneumonia.
*Refractory hypoxemia despite PEEP optimization, paralysis, prone positioning, and volume optimization. *Multisystem organ failure with subsequent shock and norepinephrine requirements >15mcg/min.

Patient Selection

Age < 65yo

Full ADLs at Baseline

BMI <35 and Weight <150 Kg

Cr Clearance >30

Platelet Count >50k

Neutrophil Count >500

Mechanical Ventilation <7d

Refractory Hypoxemia*

Plateau Pressure > 30 mmHg

P:F Ratio <80

Exclusion Criteria

Intolerant to Anticoagulation

Irreversible CNS Injury

Severe, Chronic Pulmonary Hypertension

Underlying, Active Terminal Disease

Immunosuppression/Immunocompromised

Multisystem Organ Failure*

A 39-year-old, previously healthy male with no past medical history presented to our emergency department complaining of a week-long history of fever, sore throat, and dry cough. Five days before admission, he tested positive for SARS-CoV-2 at an outside hospital and was sent home to recover. However, worsening shortness of breath prompted his repeat evaluation. At the time of presentation, his labs demonstrated WBC 10, with left shift, negative influenza and RSV panels, serum sodium of 130, moderate transaminitis, a serum ferritin of 3076, and his chest X ray showed patchy, diffuse bilateral infiltrates. His PaO2 was 53, and he was saturating 85 percent on 5L nasal cannula. Unfortunately, his oxygenation requirements progressively increased, requiring intubation on the evening of admission. Over the subsequent 24 hours, it became increasingly difficult to ventilate the patient, refractory to higher driving pressures, heavy sedation, and paralysis. Cardiothoracic surgery was then consulted to evaluate for ECMO candidacy. At the time of consultation, the patient was acidotic, with pH 7.28, pCO2 55, pO2 73, HCO3 25 on pressure control ventilatory support with FiO2 100 percent, PEEP 10, max pressure 40 mmHg, peak inspiratory pressure 30 mmHg, and paralysis. Additionally, he had early signs of acute kidney injury, with GFR 55, BUN 21, and Cr 1.42.

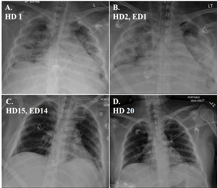
Ultrasound-guided vascular access was performed using the Seldinger technique. VV-ECMO cannulation was performed utilizing a 17F short Bio-Medicus return cannula in the right internal jugular vein and a 25F Medtronic right common femoral venous drainage cannula. Once the cannulas were connected to the ECMO circuit, the CentriMag pump achieved 5 L/min flow and oxygen saturations of 100 percent. We maximized ECMO support with 100 percent FiO2 and 8L/min sweep for 24 hours. Our ventilator management followed the EOLIA trial protocol2 with full sedation and paralysis. A seven-day course of hydroxychloroquine and five-day course azithromycin was given. Unfortunately, the patient experienced acute kidney injury requiring renal replacement therapy on the fourth postoperative day. On full ECMO support, we made slow progress weaning the ventilator until postoperative day nine. Once our ventilator requirements reached 40 percent FiO2, we weaned our ECMO oxygenation and sweep. Convalescent serum was administered on postoperative day 12 and paralytics were held. Once off paralytics, our patient demonstrated improving tidal volumes on pressure control ventilator settings, and his oxygenation continued to improve. His sweep wean was rapid once his oxygenation and chest X rays had improved. On postoperative day 14, the patient was successfully decannulated from ECMO. By postoperative day 16, he was extubated, and by postoperative day 18, he was on clinically stable on room air. Serial chest X rays of his recovery are demonstrated in Figure 1.

Figure 1. Serial CXR of SARS-Cov2 pneumonia recovery. (A) Hospital Day (HD) 1; (B) HD 2, ECMO Day (ED) 1; (C) HD 15, ED 14, day of decannulation; (D) HD 20.

Discussion

ECMO represents an advanced modality of support for critically ill patients suffering from cardiac and/or pulmonary disease whereby medical therapies are limited or futile. The two forms of ECMO, VA-ECMO and VV-ECMO, provide an extracorporeal circuit to assist with oxygenation, gas exchange, and/or hemodynamic support. ECMO use is highly resource-intensive and requires advanced training of perfusionists, respiratory therapists, and nurses for proper use. Emerging clinical data demonstrates that the use of and indications for ECMO in clinical practice is growing. In fact, there has been an exponential growth in the number of ECMO programs over the last decade, with more than 400 ECMO centers worldwide.3 While large academic centers with organ transplantation services frequently employ ECMO as a bridge for recovery or transplantation of critically ill patients, the use of ECMO in smaller community hospitals remains largely unknown.

As the COVID-19 pandemic has spread, so, too, has the necessity for broadly distributing information about the virus. Clinical knowledge has been propagated widely via e-mail, popular media, and national societies. Well-established publication companies have nearly halved their manuscript processing times to expedite the publishing of SARS-CoV-2-related data. In this light, national and international organizations like ELSO have openly recruited for previously restricted society memberships to capture more virus-related data. This quest has been advantageous for small hospitals like ours with earlier established, underreported programs. While we have performed ECMO at this hospital for over 20 years, our first ELSO application is now pending.

The spread of SARS-CoV-2 across the world has been paralleled by significant resource limitations. Equipment like gloves, masks, ventilators, and even trained hospital staff have largely been insufficient. We were fortunate to have recognized the need to upgrade and standardize our ECMO program last year before the onslaught of the SARS-CoV-2 outbreak. At that time, we also established a collaboration with a large volume ELSO ECMO Center of Excellence in our region. As shown in this case report, the delivery of much-needed equipment occurred just in time. ECMO management has classically been the responsibility of perfusionists, but larger, experienced centers have been increasingly relying on nurses and respiratory therapists to assist in circuit maintenance. Due to resource limitations, we recognized the need to integrate nurses into our protocols as well. Working in concert with nurse educators, our surgeons have been able to develop simplified workflows and order sets necessary to facilitate this transition.

Many ECMO devices are commercially available. The management of VV-ECMO(compared to VA-ECMO) is also more simplified. With VV-ECMO, the speed of the pump is set to achieve flows needed to support the clinical status of the patient. Hemodynamic volatility can be less than VA-ECMO. Weaning is also performed by decreasing supplemental oxygenation (FiO2 of the circuit) or sweep, rarely interfering with blood flow, thus minimizing potential risks of thrombosis and embolism. Our simplified patient workflow allowed nurses to keep timely records of ventilator, ECMO, and laboratory parameters that could easily identify changes in clinical status. We supported our ECMO team nurses with 24-hour perfusionist and surgeon backup. Morning and afternoon rounds were completed with the surgeon, bedside nurse, and perfusionist to identify parameter goals and address any circuit or clinical concerns.

The application of ECMO in the care for critically ill patients suffering from COVID-19 is growing. Large academic hospitals, supported by transplant centers, routinely employ this technology under the direction of numerous multidisciplinary specialists. However, smaller community hospitals may have access to this technology—but possibly more antiquated processes for application. During this pandemic, the transfer of critically ill patients from smaller hospitals to larger medical centers was limited due to fears of viral spread. Before our hospital incorporated this technology, our ability to utilize ECMO in the care of even one ARDS patient would have compromised our ability to provide perfusion services to the rest of the hospital, thus suspending our entire cardiology service line. While large academic centers are reporting greater rates of survival of patients treated with VV-ECMO for ARDS due to COVID-19, this case highlights that current ECMO technologies can be safely and effectively adopted by care teams no matter the hospital size.

Conclusion

In summary, we presented a successful case of VV-ECMO utilized to treat a patient suffering from COVID-19. We have shown our patient selection criteria and patient care workflows that assisted with the rapid integration of nurses into our ECMO program.

Lessons Learned

This case shows how a small community hospital can quickly adopt innovative techniques for meeting the challenge of treating a unique subset of critically ill patients suffering from COVID-19.

Authors

Melvan JNa; Justicz Aa; Wang Ib; Dennis Ra; Farah Sa; Megano Na; Echarte Da; David Ia

Corresponding Author

John Nicholas Melvan, MD, PhD
Holy Cross Hospital
Division of Cardiothoracic Surgery
4725 N. Federal Highway, Suite 402
Fort Lauderdale, FL 33308
Phone: (954) 267-6770
E-mail: johnnicholas.melvan@holy-cross.com

Author Affiliations

a Division of Cardiothoracic Surgery, Holy Cross Hospital, Fort Lauderdale, FL
b Memorial Healthcare System, Fort Lauderdale, FL

Disclosure Statement

The authors have no conflicts of interest to disclose.

Acknowledgments

The authors would like to thank Holy Cross Hospital cardiovascular ICU nurses, who volunteered to participate in this ECMO team. We utilized their constructive feedback to build these protocols. The authors also thank Asser Guirgues of Abbott Laboratories for his industry-sponsored training.

References

  1. MacLaren G, Fisher D, Brodie D. Preparing for the Most Critically Ill Patients With COVID-19: The Potential Role of Extracorporeal Membrane Oxygenation. JAMA. 2020;323(13):1245-1246. doi:10.1001/jama.2020.2342
  2. Combes A, Hajage D, Capellier G, et al. Extracorporeal Membrane Oxygenation for Severe Acute Respiratory Distress Syndrome. N Engl J Med. 2018;378(21):1965-1975. doi:10.1056/NEJMoa1800385
  3. Ramanathan K, Antognini D, Combes A, et al. Planning and provision of ECMO services for severe ARDS during the COVID-19 pandemic and other outbreaks of emerging infectious diseases. Lancet Respir Med. 2020;8(5):518-526. doi:10.1016/S2213-2600(20)30121-1