Unsupported Browser
The American College of Surgeons website is not compatible with Internet Explorer 11, IE 11. For the best experience please update your browser.
Menu
Become a member and receive career-enhancing benefits

Our top priority is providing value to members. Your Member Services team is here to ensure you maximize your ACS member benefits, participate in College activities, and engage with your ACS colleagues. It's all here.

Become a Member
Become a member and receive career-enhancing benefits

Our top priority is providing value to members. Your Member Services team is here to ensure you maximize your ACS member benefits, participate in College activities, and engage with your ACS colleagues. It's all here.

Become a Member
ACS
Case Reviews in Surgery

Appendiceal Adenocarcinoma Presenting as Recurrent Small Bowel Obstructions in a 70-Year-Old Male

A 70-year-old male with several hospital admissions for small bowel obstruction was found to have an appendiceal mass on laparoscopy.

November 23, 2020

Abstract

Background

A 70-year-old male with several hospital admissions for small bowel obstruction was found to have an appendiceal mass on laparoscopy.

Summary

The patient, a 70-year-old male, was admitted four times over a one-month period for suspected adhesive small bowel obstruction (SBO). CT abdomen pelvis with IV contrast during his admissions were read as SBOs with a right lower quadrant (RLQ) transition point without mention of any mass. He was managed conservatively for his first three admissions. On his fourth admission, he underwent exploratory laparoscopy, revealing an appendiceal mass that was subsequently removed via open appendectomy. Pathology on his appendiceal mass came back as a 1.5 cm well-differentiated colonic type appendiceal adenocarcinoma (CAA) invading the small bowel. Postoperative colonoscopy showed no evidence of other lesions. The patient underwent right hemicolectomy for nodal staging. The hemicolectomy specimen was negative for lymph node or distant tumor involvement, and the patient recovered without complication.

Conclusion

The appendix is a rare but documented cause of mechanical bowel obstruction. Here, the authors present a case of a 70-year-old man presenting with one month of recurrent SBOs who was ultimately found to have a CAA.

Key Words

Appendiceal adenocarcinoma; small bowel obstruction; appendix; cancer


Case Description

Appendiceal primary malignant neoplasms (APMNs) are extremely rare, with an age-adjusted incidence of 0.12 per million, although rates having been increasing in recent years.1,2 These tumors are often insidious, and they tend to be discovered incidentally on imaging studies, pathology reports, or intraoperatively for suspected appendicitis.3,4 When symptoms are present, they most often mimic acute appendicitis, presenting with abdominal pain, nausea, and vomiting.46 Mechanical appendiceal small bowel obstructions (SBOs) are an extremely rare phenomenon, with only 23 cases in the literature (to the authors’ knowledge).7

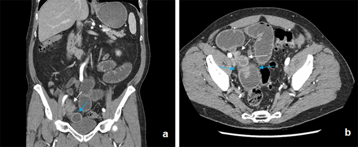
The patient, a 70-year-old male, presented to the ED four times over a one-month period for intermittent periumbilical abdominal pain. His past surgical history was notable for cholecystectomy and prostatectomy for nonmetastatic prostate cancer. CT imaging on his first and third admission showed a SBO with a transition point in the right lower quadrant (RLQ) (Figure 1). Of note, no radiographic abnormalities of the appendix were identified on the official radiology reports. Additionally, he had an upper GI series with small bowel follow through that showed dilated loops of small bowel filled with contrast and small amounts of contrast in the large bowel, consistent with a high-grade partial SBO. The patient’s first three admissions for SBO were self-resolving, and he was managed nonoperatively. On his fourth presentation, the decision was to made to perform an exploratory laparoscopy.

Figure 1. CT abdomen pelvis performed during admission for SBO. (A) Coronal slice. (B) Axial slice. The distal appendix (white arrows) is markedly dilated and adherent to the distal ileum (blue arrows). Significant dilation of the small bowel can be seen proximal to the RLQ transition point.

Laparoscopic exploration of the abdomen revealed an appendix without evidence of an acute inflammatory process; however, the appendix was dilated distally and adherent to the small bowel at the point of obstruction. At this point, the decision was made to perform an en bloc resection of the appendix and affected small bowel. The small bowel was then reconnected via a side-to-side anastomosis, and the specimen was sent to pathology (Figure 2).

Figure 2. En bloc appendectomy specimen with appendix and small bowel. The distal portion (arrow) of the appendix is notably dilated, and the mass is adherent to the small bowel (distal ileum). There is no evidence of mucocele or inflammatory processes in the specimen.

Pathology revealed a well-differentiated, 1.5 cm T4b (based on small bowel invasion) colonic type appendiceal adenocarcinoma (CAA) of the appendix with negative tumor margins. The patient underwent colonoscopy to evaluate for evidence of coexisting neoplasms that showed no evidence of colorectal neoplastic processes. After discussion of his treatment options, the patient elected to undergo right hemicolectomy for appropriate nodal staging. Pathology on the hemicolectomy specimen showed no evidence of metastatic disease or lymph node involvement, and the patient’s recovery was uneventful. He has a T4bN0M0 CAA and is following up with medical oncology.

Discussion

SBOs are most commonly due to adhesions and abdominal hernias; SBO secondary to mechanical appendiceal obstruction are an extremely rare phenomenon.7,8 Cases in the literature that exist usually involve an acute appendiceal inflammatory process and evidence of small bowel strangulation—neither was present in the patient of this current report. Of the existing 23 cases in the literature, 16 involved a twisted appendiceal tourniquet that encircled involved small bowel.7 An additional seven cases described obstruction secondary to a mucocele, only one of which was due to a malignant process.7 To our knowledge, there are no reports of CAA presenting with an SBO in the literature as of the time of this writing.

Our patient had two CT scans over his hospital courses that showed evidence of obstruction with a transition point in the RLQ. Intraoperatively, the distal tip of the appendix was observed to be adherent to, and apparently infiltrating, the distal ileum. Given the intermittent and self-resolving nature of the patient’s SBOs, it is likely that the described case represented a partial obstruction with the adherent appendix functionally behaving like an adhesion.

Evidence-based management for CAA is limited, and treatment guidelines are generally based on colon adenocarcinoma.3 Tumors smaller than 2 cm not involving the appendiceal base and without evidence of mesoappendix invasion or lymph node involvement are sometimes managed with appendectomy alone.4 For tumors larger than 2 cm, lymph node involvement, or mesoappendix invasion, right hemicolectomy is generally favored and is what was performed in the case of our patient.4 In patients with lymph node involvement, adjuvant therapy with 5-flurourical/leucovorin is warranted.4 Additionally, all patients should undergo complete colonoscopy to identify any coexisting colorectal neoplasms.

Due to their rarity, risk factors for APMNs have not yet been identified.4 The most common manifestation of APMN is acute appendicitis, and diagnosis is often made through the pathology report on the appendectomy specimen.4 Of note, colonoscopy is rarely able to detect nonmetastatic APMNs.9 As such, it is of critical importance to be aware of the imaging characteristics of the most common APMNs (please see below). The three most common types of APMN are CAA, mucinous type adenocarcinoma (MAA), and appendiceal neuroendocrine tumors (ANETs).

MAAs are the most common APMN, representing roughly 37 percent of all APMNs.1,4 MAAs characteristically show up on CT scans as appendiceal mucoceles with extra-appendiceal mucin being highly suggestive of a malignant process.10 These tumors are differentiated from CAA by their production of large amounts of mucin. Both MAAs and CAAs are subtypes of epithelial adenocarcinomas. Patients with advanced MAA often present with abdominal distention secondary to pseudomyxoma peritonei (PMP) caused by a ruptured primary tumor leaking mucinous fluid into the peritoneum. Interestingly, despite its rarity, MAA is actually by far the most common cause of PMP, despite PMP being classically associated with ovarian neoplasms.3,4

The second most common APMNs are CAAs, representing 25 percent of APMNs. CAAs appear on CT imaging as a soft tissue mass with possible regional adenopathy.4 CAAs are generally believed to arise by the same adenoma-carcinoma sequence as colon cancer, and, as mentioned, management of these neoplasms mirrors colorectal cancer guidelines. There is considerably less literature describing CAA than MAA, possibly due to CAA’s lack of unique characteristics or presentation.

ANETs can be either benign or malignant, and they represent 20 percent of all APMNs.1 ANETs are extremely difficult to diagnose radiographically, and, due to their small size, they are often missed. If visible, ANETs may be seen as a small mass on the distal appendix with regional adenopathy.4 ANETs commonly present in younger patients around the fourth decade of life, and occur more commonly in women than men.1,4 Neuroendocrine tumors are classically associated with carcinoid syndrome; however, this is an uncommon manifestation of ANETs, present only approximately 5 percent of the time and usually only after liver metastasis.4

Conclusion

The appendix is a rare but documented cause of mechanical bowel obstruction. In this article, the authors reported the case of a 70-year-old man presenting with one month of recurrent SBOs ultimately found to have a CAA.

Lesson Learned

APMNs are often insidious and detected incidentally. In patients with abdominal pain and evidence of SBO, APMN should be on the differential after more likely etiologies have been ruled out.

Authors

Sinensky A; Patel K; McKeown D; Marks JA

Corresponding Author

Joshua A. Marks, MD, FACS
Division of Acute Care Surgery
Department of Surgery
Thomas Jefferson University
1100 Walnut Street, Suite 702
Philadelphia, PA 19107
Phone: (215) 955-2165
E-mail: joshua.marks@jefferson.edu

Author Affiliation

Thomas Jefferson University
Department of Surgery
Division of Acute Care Surgery
Philadelphia, PA 19107

Disclosure Statement

The authors have no conflicts of interest to disclose.

References

  1. McCusker ME, Coté TR, Clegg LX, Sobin LH. Primary malignant neoplasms of the appendix: a population-based study from the surveillance, epidemiology and end-results program, 1973-1998. Cancer. 2002;94(12):3307-3312. doi:10.1002/cncr.10589
  2. Marmor S, Portschy PR, Tuttle TM, Virnig BA. The rise in appendiceal cancer incidence: 2000-2009. J Gastrointest Surg. 2015;19(4):743-750. doi:10.1007/s11605-014-2726-7
  3. Kelly KJ. Management of Appendix Cancer. Clin Colon Rectal Surg. 2015;28(4):247-255. doi:10.1055/s-0035-1564433
  4. Leonards LM, Pahwa A, Patel MK, Petersen J, Nguyen MJ, Jude CM. Neoplasms of the Appendix: Pictorial Review with Clinical and Pathologic Correlation. Radiographics. 2017;37(4):1059-1083. doi:10.1148/rg.2017160150
  5. Gündoğar Ö, Kımıloğlu E, Komut N, et al. Evaluation of appendiceal mucinous neoplasms with a new classification system and literature review. Turk J Gastroenterol. 2018;29(5):533-542. doi:10.5152/tjg.2018.17605
  6. Connor SJ, Hanna GB, Frizelle FA. Appendiceal tumors: retrospective clinicopathologic analysis of appendiceal tumors from 7,970 appendectomies. Dis Colon Rectum. 1998;41(1):75-80. doi:10.1007/BF02236899
  7. Komo T, Kohashi T, Hihara J, et al. Intestinal obstruction caused by low-grade appendiceal mucinous neoplasm: A case report and review of the literature. Int J Surg Case Rep. 2018;51:37-40. doi:10.1016/j.ijscr.2018.08.001
  8. Malý O, Páral J. Appendicitis as a rare cause of mechanical small-bowel obstruction: A literature review of case reports. Int J Surg Case Rep. 2016;29:180-184. doi:10.1016/j.ijscr.2016.10.065
  9. Trivedi AN, Levine EA, Mishra G. Adenocarcinoma of the appendix is rarely detected by colonoscopy. J Gastrointest Surg. 2009;13(4):668-675. doi:10.1007/s11605-008-0774-6
  10. Tirumani SH, Fraser-Hill M, Auer R, et al. Mucinous neoplasms of the appendix: a current comprehensive clinicopathologic and imaging review. Cancer Imaging. 2013;13(1):14-25. Published 2013 Feb 22. doi:10.1102/1470-7330.2013.0003