Unsupported Browser
The American College of Surgeons website is not compatible with Internet Explorer 11, IE 11. For the best experience please update your browser.
Menu
Become a member and receive career-enhancing benefits

Our top priority is providing value to members. Your Member Services team is here to ensure you maximize your ACS member benefits, participate in College activities, and engage with your ACS colleagues. It's all here.

Become a Member
Become a member and receive career-enhancing benefits

Our top priority is providing value to members. Your Member Services team is here to ensure you maximize your ACS member benefits, participate in College activities, and engage with your ACS colleagues. It's all here.

Become a Member
ACS
Case Reviews in Surgery

Adhesive Small Bowel Obstruction Secondary to Anisakiasis Nematode Infection

A 37-year-old male with no prior surgical history presented with a small bowel obstruction secondary to adhesive disease from an Anisakis infection.

December 4, 2020

Abstract

Background

A 37-year-old male with no prior surgical history presented with a small bowel obstruction secondary to adhesive disease from an Anisakis infection.

Summary

The patient is a 37-year-old male with no significant past medical history and no past surgical history who presented to the emergency department with a one-day history of epigastric pain with associated nausea and emesis. A CT scan was obtained demonstrating a transition point in the mid-small bowel. The patient underwent laparoscopic exploration and was found to have two band-like adhesions at the suspected transition point of obstruction. With concern for possible omphalomesenteric duct remnant, pathologic analysis of these adhesive bands was performed and notable for a fibro-inflammatory reaction with necrotic anisakis nematodes (roundworms). Gastrointestinal infection by anisakis nematodes is well described in the literature and prevalent in regions where raw fish consumption is common. Bowel obstruction secondary to this parasite typically occurs as a result of intraluminal infection causing severe inflammation and swelling of the infected portion of bowel. This report describes a case of small bowel obstruction due to intraabdominal adhesions secondary to an extraluminal anisakis infection. Based on literature review, this is the second adhesive small bowel obstruction due to anisakiasis reported worldwide with the others occurring in Japan.1

Conclusion

This case report reinforces the importance of conducting a thorough history and forming a broad differential diagnosis. The authors recommend including enteric anisakiasis on the differential of bowel obstruction in a patient with history of raw seafood ingestion.

Key Words

Small bowel obstruction; anisakiasis; nematode; roundworm; parasite; adhesions


Case Description

Anisakiasis is an infection from the parasitic nematode (roundworm) of the Anisakis genus. It is transmitted by consumption of raw or undercooked saltwater fish or squid. Approximately 90 percent of reported cases occur in Japan as raw fish is a hallmark of the diet in this region.2 Anisakis roundworms typically infect the stomach; small bowel infection is much less common but has been described in the literature.35 Several case reports have been published describing small bowel obstruction secondary to anisakiasis. These reports commonly describe patients who present with a small bowel obstruction necessitating surgical intervention in the form of a small bowel resection. The operative findings typically include a portion of small intestine obstructed secondary to severe intestinal wall inflammation.615 While the majority of these reports come from Japan, there have been reports from Italy, France, Spain, Croatia, and Canada. There have been two reported cases of bowel obstruction secondary to anisakis affecting patients in the United States. One case involved a large bowel obstruction secondary to a mesenteric mass formed by infecting anisakids.16 The other is a case of small bowel obstruction secondary to intussusception caused by anisakiasis.17

The authors present a case of small bowel obstruction in a patient with a “virgin abdomen” whose small bowel obstruction was secondary to adhesive disease from an anisakis infection. Based on literature review this is the second adhesive small bowel obstruction due to anisakiasis reported worldwide, with the other occurring in Japan.1

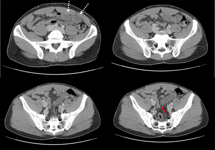
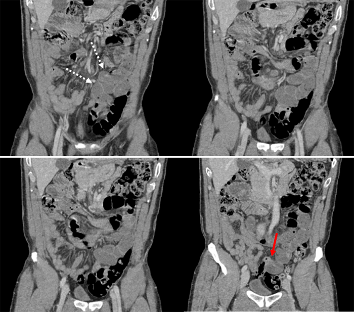
The patient is a 37-year-old male with no significant past medical history and no past surgical history who presented to the emergency department with a one-day history of severe, sharp, cramping epigastric pain with associated nausea and emesis. The patient did note similar episodes of abdominal pain one month prior that resolved spontaneously; he did not seek medical attention at that time. At presentation, he was afebrile and hemodynamically stable. Laboratory evaluations were unremarkable, including a normal white blood cell count without eosinophilia. A CT scan of the abdomen and pelvis was obtained with IV contrast, showing dilated loops of small bowel with suggestive transition point in the mid-small bowel. The radiologist also noted possible partial midgut malrotation and several prominent central mesenteric lymph nodes (Figure 1 and Figure 2). The patient was resuscitated with intravenous fluids, electrolyte repletion, and nasogastric decompression with plans for operation intervention. He improved clinically over the first night of hospitalization.

Figure 1. Axial images from computed tomography scan of the abdomen and pelvis with IV contrast showing dilated loops of small bowel (dashed white arrows) and suspected transition point (solid red arrow).

Figure 2. Coronal images from computed tomography scan of the abdomen and pelvis with IV contrast showing dilated loops of small bowel (dashed white arrows) and suspected transition point (solid red arrow).

Given the question of malrotation seen on CT scan, the patient was taken for exploratory laparoscopy as he had no prior surgical history and had experienced multiple previous episodes of abdominal pain. The small bowel was inspected from the ligament of Treitz distally to the cecum. The cecum was noted to be mobile with minimal retroperitoneal attachments and located appropriately in the right lower quadrant. Additionally, the ligament of Treitz was left of midline with normal anatomic relationships. The proximal small bowel was noted to be mildly dilated with two separate abnormal-appearing bands running from the mesentery to the posterior abdominal wall. These bands seemed to correspond with a transition point in the mid-jejunum. Due to the location of the bands and their abnormal appearance, consideration of an omphalomesenteric remnant prompted excision for pathological analysis rather than simple lysis. The remaining small bowel and its mesentery were found to be unremarkable, and no other abnormal findings were visualized within the abdomen.

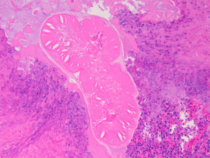
The patient recovered from the operation without complication and was discharged home on postoperative day two. Microscopic review of the adhesive bands removed during the procedure were notable for fibro-inflammatory reaction surrounding necrotic parasites nematodal in morphology and most consistent with anisakis (Figure 3). The patient was evaluated by an infectious disease specialist and treated with a one-time dose of oral 400 mg albendazole. He was seen for follow-up in the surgical clinic on postoperative 16 and was recovering well from his procedure without further gastrointestinal issues.

Figure 3. Microscopic slides from surgically excised intra-abdominal adhesions showing fibrosis, inflammation, and hemorrhage surrounding a necrotic, nematode parasite.

Review of the patient’s travel history over the past 10 years was extensive and consisted of stays in Afghanistan, India, Iraq, Peru, and most recently a vacation in Hawaii approximately one to two months prior to presentation. The patient felt that he may have contracted the parasites from consuming sushi during his vacation in Hawaii, as this correlates temporally with the onset of recurring gastrointestinal upset.

Discussion

Small bowel obstruction secondary to anisakiasis is a rare occurrence but has been described in the literature. The case described above is a unique presentation of this entity as most obstructions occur secondary to an inflamed and severely edematous small bowel wall. The patient suffered a small bowel obstruction secondary to intraabdominal adhesions. The majority of small bowel obstructions are due to intra-abdominal adhesions from prior abdominal or pelvic surgical procedures.1820 It is estimated that only three to nine percent of patients’ suffering from an adhesive small bowel obstruction will have no prior abdominal or pelvic surgical history.21,22 Anisakiasis represents an extremely rare cause of adhesive small bowel obstruction in any patient, with or without a prior surgical history. The patient had minimal subjective and objective features to suggest a parasitic infection except an extensive travel history. Ultimately, this patient was successfully managed with exploratory laparoscopy that was both diagnostic and therapeutic.

As evidenced by the case reports cited previously, obstruction due to enteric anisakiasis typically requires surgical intervention that is both diagnostic and therapeutic. There are a few case reports suggesting that intestinal anisakiasis may be treated with albendazole alone.17,23,24 This management approach seems logical based on descriptions of severe inflammation and edema causing obstruction, but in areas where anisakiasis is rarely seen, intestinal obstruction due to this parasite can be a difficult diagnosis to make or even suspect. There are serological tests available for anisakiasis, but a high index of suspicion is needed to utilize these tests.25 Since the patient suffered from an adhesive small bowel obstruction, the authors do not feel that the patient would have improved with medical treatment alone.

Conclusion

This case report reinforces the importance of conducting a thorough history and forming a broad differential diagnosis. The authors recommend including enteric anisakiasis on the differential of bowel obstruction in a patient with history of raw seafood ingestion.

Lessons Learned

Patients without a surgical history who present with a small bowel obstruction should be explored for possible pathologic causes. In patients with a history of raw food consumption, anisakiasis should be on the differential diagnosis.

Authors

Lucas GJ; Hayes DS; Wells SM

Corresponding Author

Gary Lucas, MD
Swedish Medical Center – First Hill
747 Broadway, Heath Tenth
Seattle, WA 98122
Phone: (206) 215-3857
E-mail: gary.lucas@swedish.org

Author Affiliation

Swedish Medical Center
Department of Surgery
Seattle, WA 98122

Disclosure Statement

The authors have no conflicts of interest to disclose

References

  1. Takamizawa Y, Kobayashi Y. Adhesive intestinal obstruction caused by extragastrointestinal anisakiasis. Am J Trop Med Hyg. 2015;92(4):675-676. doi:10.4269/ajtmh.14-0673
  2. Pravettoni V, Primavesi L, Piantanida M. Anisakis simplex: current knowledge. Eur Ann Allergy Clin Immunol. 2012;44(4):150-156.
  3. Guerrant RL, Walker DH, Weller PF. Other tissue nematode infections. In: Tropical Infectious Diseases: Principles, Pathogens and Practice. 3rd ed. Edinburgh: Saunders/Elsevier; 2011:778-787. doi:10.1345/aph.1Q302
  4. Nash TE. Visceral larva migrans and other unusual helminth infections. In: Bennett JE, Blaser MJ, Dolin R, eds. Mandell, Douglas, and Bennett's Principles and Practice of Infectious Diseases. 8th ed. Philadelphia, PA: Elsevier/Saunders; 2015:3237-3242.
  5. Uysal E, Dokur M. The Helminths Causing Surgical or Endoscopic Abdominal Intervention: A Review Article. Iran J Parasitol. 2017;12(2):156-168.
  6. Couture C, Measures L, Gagnon J, Desbiens C. Human intestinal anisakiosis due to consumption of raw salmon. Am J Surg Pathol. 2003;27(8):1167-1172. doi:10.1097/00000478-200308000-00017
  7. Ishida M, Harada A, Egawa S, Watabe S, Ebina N, Unno M. Three successive cases of enteric anisakiasis. Dig Surg. 2007;24(3):228-231. doi:10.1159/000103325
  8. Juric I, Pogorelic Z, Despot R, Mrklic I. Unusual cause of small intestine obstruction in a child: small intestine anisakiasis: report of a case. Scott Med J. 2013;58(1):e32-e36. doi:10.1177/0036933012474616
  9. Kojima G, Usuki S, Mizokami K, Tanabe M, Machi J. Intestinal anisakiasis as a rare cause of small bowel obstruction. Am J Emerg Med. 2013;31(9):1422.e1-1422.e14222. doi:10.1016/j.ajem.2013.05.015
  10. Marzocca G, Rocchi B, Lo Gatto M, et al. Addome acuto da anisakiasi e globalizzazione [Acute abdomen by anisakiasis and globalization]. Ann Ital Chir. 2009;80(1):65-68.
  11. Matsuo S, Azuma T, Susumu S, Yamaguchi S, Obata S, Hayashi T. Small bowel anisakiosis: a report of two cases. World J Gastroenterol. 2006;12(25):4106-4108. doi:10.3748/wjg.v12.i25.4106
  12. Ortega-Deballon P, Carabias-Hernández A, Martín-Blázquez A, et al. Anisakiase: une parasitose que le chirurgien doît connaître [Anisakiasis: an infestation to be known by surgeons]. Ann Chir. 2005;130(6-7):407-410. doi:10.1016/j.anchir.2005.03.009
  13. Repiso Ortega A, Alcántara Torres M, González de Frutos C, et al. Anisakiasis gastrointestinal. Estudio de una serie de 25 pacientes [Gastrointestinal anisakiasis. Study of a series of 25 patients]. Gastroenterol Hepatol. 2003;26(6):341-346. doi:10.1016/s0210-5705(03)70370-7
  14. Sasaki T, Fukumori D, Matsumoto H, Ohmori H, Yamamoto F. Small bowel obstruction caused by anisakiasis of the small intestine: report of a case. Surg Today. 2003;33(2):123-125. doi:10.1007/s005950300027
  15. Sugita S, Sasaki A, Shiraishi N, Kitano S. Laparoscopic treatment for a case of ileal anisakiasis. Surg Laparosc Endosc Percutan Tech. 2008;18(2):216-218. doi:10.1097/SLE.0b013e318166145c
  16. Schuster R, Petrini JL, Choi R. Anisakiasis of the colon presenting as bowel obstruction. Am Surg. 2003;69(4):350-352.
  17. Carlin AF, Abeles S, Chin NA, Lin GY, Young M, Vinetz JM. Case Report: A Common Source Outbreak of Anisakidosis in the United States and Postexposure Prophylaxis of Family Collaterals. Am J Trop Med Hyg. 2018;99(5):1219-1221. doi:10.4269/ajtmh.18-0586
  18. Catena F, Di Saverio S, Kelly MD, et al. Bologna Guidelines for Diagnosis and Management of Adhesive Small Bowel Obstruction (ASBO): 2010 Evidence-Based Guidelines of the World Society of Emergency Surgery. World J Emerg Surg. 2011;6:5. Published 2011 Jan 21. doi:10.1186/1749-7922-6-5
  19. Ellis H. The magnitude of adhesion related problems. Ann Chir Gynaecol. 1998;87(1):9-11.
  20. Parker MC, Ellis H, Moran BJ, et al. Postoperative adhesions: ten-year follow-up of 12,584 patients undergoing lower abdominal surgery. Dis Colon Rectum. 2001;44(6):822-830. doi:10.1007/BF02234701
  21. Beardsley C, Furtado R, Mosse C, et al. Small bowel obstruction in the virgin abdomen: the need for a mandatory laparotomy explored. Am J Surg. 2014;208(2):243-248. doi:10.1016/j.amjsurg.2013.09.034
  22. Butt MU, Velmahos GC, Zacharias N, Alam HB, de Moya M, King DR. Adhesional small bowel obstruction in the absence of previous operations: management and outcomes. World J Surg. 2009;33(11):2368-2371. doi:10.1007/s00268-009-0200-6
  23. Moore DA, Girdwood RW, Chiodini PL. Treatment of anisakiasis with albendazole. Lancet. 2002;360(9326):54. doi:10.1016/s0140-6736(02)09333-9
  24. Pacios E, Arias-Diaz J, Zuloaga J, Gonzalez-Armengol J, Villarroel P, Balibrea JL. Albendazole for the treatment of anisakiasis ileus. Clin Infect Dis. 2005;41(12):1825-1826. doi:10.1086/498309
  25. Nawa Y, Hatz C, Blum J. Sushi delights and parasites: the risk of fishborne and foodborne parasitic zoonoses in Asia. Clin Infect Dis. 2005;41(9):1297-1303. doi:10.1086/496920