Unsupported Browser
The American College of Surgeons website is not compatible with Internet Explorer 11, IE 11. For the best experience please update your browser.
Menu
Become a member and receive career-enhancing benefits

Our top priority is providing value to members. Your Member Services team is here to ensure you maximize your ACS member benefits, participate in College activities, and engage with your ACS colleagues. It's all here.

Become a Member
Become a member and receive career-enhancing benefits

Our top priority is providing value to members. Your Member Services team is here to ensure you maximize your ACS member benefits, participate in College activities, and engage with your ACS colleagues. It's all here.

Become a Member
ACS
Case Reviews in Surgery

Extensive Abdominal Heterotopic Ossification in a Patient with Distant Penetrating Trauma

Extensive Abdominal Heterotopic Ossification in a Patient with Distant Penetrating Trauma

December 3, 2020

Abstract

Background

Heterotopic ossification is well described following musculoskeletal trauma, especially to the head and spine. Patients who survive their trauma can experience unexpected and bizarre bone growth patterns.

Summary

A 69-year-old man presented to the emergency department with a three-day history of progressive abdominal pain, nausea, and emesis. His work-up included a CT scan demonstrating a small bowel obstruction (SBO), ventral hernia, and a bizarre outgrowth of bone arising from his spine and extending ventrally into his abdomen. Further discussion with the patient revealed a past history of penetrating stab wound to his back at the level of the ossification 29 years prior for which he underwent left nephrectomy. The patient was unaware of this ossification. The heterotopic ossification provided a potential cause of his SBO. Nonoperative management resulted in resolution of symptoms, and the patient was discharged without surgical intervention.

Conclusions

Penetrating trauma to the abdomen involving the spine can result in complex heterotopic ossification. If the ossification is asymptomatic, it may be appropriate to observe. If symptomatic, operative management may be indicated.

Key Words

Heterotopic ossification; penetrating trauma; small bowel obstruction


Case Description

A 69-year-old man presented to the hospital emergency department with a three-day history of diffuse abdominal pain, nausea, and vomiting. His past medical history was significant for stab wound to the left flank 29 years prior that required exploratory laparotomy and left nephrectomy. Since this operative intervention, he reported being healthy with one interval small bowel obstruction (SBO) that was managed nonoperatively.

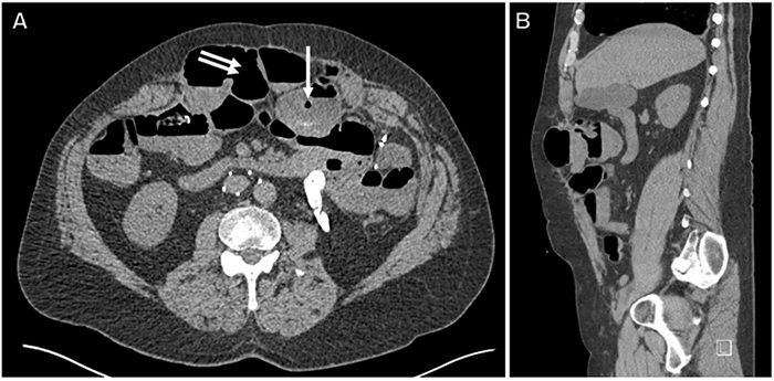
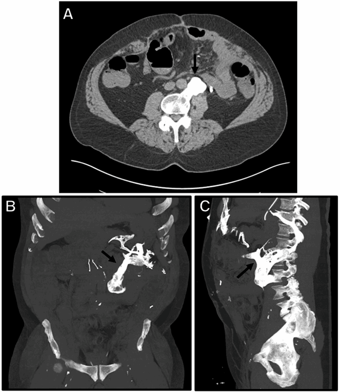
Several years later, the patient reported a three-day period characterized by diffuse abdominal pain, anorexia, nausea, vomiting, and no bowel movements. Upon arrival to the tertiary care center, the patient endorsed persistent abdominal pain. On physical exam, his abdomen was diffusely tender in all quadrants and high-pitched bowel sounds were present. A CT scan of the abdomen and pelvis with IV contrast demonstrated a focal segment of small bowel dilated to 4.4 cm, with a discrete transition point consistent with SBO (Figure 1). The CT also revealed an osseous projection arising anteriorly from the L3 vertebral body that joined with an osseous projection from the inferior left T12 rib and formed a pseudoarthrosis in the abdomen from a third projection—this third projection arose from the sternum/xiphoid process (Figure 2 and Figure 3) This finding was suggestive of trauma-related heterotopic ossification (HO)—indeed, this ossification wrapped around the small bowel (Figure 1A) and provided a clear potential for obstruction. A ventral hernia was also noted on imaging but did not appear to be the cause of the patient’s SBO. The patient was unaware of the ossification and denied chronic abdominal pain that might be related to the ossification.

Figure 1. Representative axial (A) and sagittal (B) CT images of abdomen, demonstrating dilation of small bowel to 4.4 cm within a ventral hernia sac (double white arrow) with a distinct transition point (single white arrow), consistent with low-grade small bowel obstruction.

Figure 2. Representative axial (A), multilayer coronal (B), and multilayer sagittal (C) CT images of the abdomen, demonstrating abdominal heterotopic ossification arising from the L3 vertebral body and extending into the anterosuperior abdomen (black arrows).

Figure 3. Three-dimensional reconstruction of the CT in Figures 1 and 2 demonstrating abdominal heterotopic ossification arising from the anterior L3 vertebral body and joining an osseous projection from the inferior left T12 rib and another projection from the sternum in a patient with a distant history of a stab wound to the posterior left back. The reconstruction is observed from the right anterolateral (A), anterior (C), and left inferolateral (E) views. Simplified reconstructions with the surrounding normal osseous structures removed are presented from the right anterolateral (B), anterior (D), and left inferolateral (F) views.

The patient was admitted to the general surgery service for monitoring and nonoperative management for his SBO. The patient had gradual resolution of his abdominal pain within 24 hours of admission. Orthopedic spine surgery was consulted—they did not recommend intervention to remove the HO. The small bowel obstruction resolved with nonoperative management, and the patient was discharged in good condition after a three-day hospital stay.

Discussion

Heterotopic ossification (HO) is the formation of bone in nonskeletal tissues after musculoskeletal trauma, spinal cord injury, burns, abdominal wall incisions, and some extensive surgeries.15 HO has been identified within the abdominal cavity months to years after blunt and penetrating abdominal trauma.610 Trauma-related HO is known to be related to the local and systemic posttraumatic milieu and is characterized by inflammation, myofibroblast proliferation, and the conversion of myofibroblasts to chondroblasts and osteoblasts.1113 A number of proinflammatory mediators, including platelet-derived growth factor,14 transforming growth factor beta,15 and fibroblast-derived growth factor16 are known to be present in heterotopic bone matrix and are implicated in HO. These factors are upregulated in the peri-traumatic period, likely contributing to the inflammatory state and subsequent downstream osteoblastic changes. Alkaline phosphatase and prostaglandin E2 have both been shown to be increased early in trauma patients who later develop trauma-related HO, and therefore may play a pathophysiologic, yet predictive, role.13,17 In addition, there is evidence that osteoprogenitor cells in HO originate in the endoneurium of peripheral nerves, and thus HO may be considered a neurologic disorder.18

In the present case report, the patient had a distant history of penetrating trauma to the back with subsequent laparotomy and left nephrectomy. He presented with symptoms suggestive of an SBO, and a CT demonstrated his extensive abdominal ossification with anchors in the L3 vertebrae, left inferior T12 rib, and sternum. HO extending inferiorly from the sternum has been previously reported after a midline abdominal incision.19 HO of a ventral midline incision has been previously reported after nephrectomy,5 but this patient did not show evidence of incisional HO. Abdominal HO has been reported as a cause of small bowel obstructions and intestinal perforation.2022 While the patient's HO may have caused his SBO, he did not demonstrate symptoms of strangulation or perforation, and his symptoms began to resolve within 24 hours of admission.

The authors of this paper suggest that an asymptomatic abdominal heterotopic ossification can be followed without surgery. A patient with known abdominal heterotopic ossification who develops symptoms of an SBO should be evaluated fastidiously for bowel strangulation and perforation. If these findings are not present, the patient may be initially followed nonoperatively; however, surgical management of abdominal heterotopic ossification may be required for recurrent obstructions or obstructions refractory to nonoperative management, and surgeons must be aware that ossifications can recur after resection.23 The patient has had two SBOs over the 29 years since his initial trauma. He will be followed as an outpatient to discuss further management, including the possibility of surgical removal of his HO.

Conclusion

Penetrating trauma to the abdomen involving the spine can result in HO. Abdominal HO may extend beyond the direct site of trauma to form a complex three-dimensional ossified structure. Asymptomatic HO may be observed, while symptomatic HO may require intervention.

Lessons Learned

Complex heterotrophic ossification may occur after penetrating abdominal trauma. Asymptomatic abdominal heterotopic ossification may be observed, while ossifications causing nonresolving small bowel obstruction or perforation may require operative management.

Authors

Hadad MJa; Stonko DPa,b; DiBrito Sa,b; Riddle RCc; Stevens Ka,b

Corresponding Author

Matthew J. Hadad, BS
1800 Orleans St
Baltimore, MD 21287
E-mail: matthewhadad2@gmail.com

a The Johns Hopkins School of Medicine, Baltimore, Maryland
b The Johns Hopkins Hospital, Department of Surgery, Baltimore, Maryland
c The Johns Hopkins Medical Institution, Department of Orthopaedic Surgery, Baltimore, Maryland

Disclosure Statement

The authors have no conflicts of interest to disclose.

References

  1. Dey D, Wheatley BM, Cholok D, et al. The traumatic bone: trauma-induced heterotopic ossification. Transl Res. 2017. doi:10.1016/j.trsl.2017.06.004
  2. Aljurayyan A, Tanzer D, Tanzer M. Acute revision hip arthroplasty: a previously unrecognized risk factor for heterotopic ossification. Eur J Orthop Surg Traumatol. 2016. doi:10.1007/s00590-015-1733-z
  3. Dwyer AJ, John B, Singh SA, Mam MK. Complications after posterior dislocation of the hip. Int Orthop. 2006. doi:10.1007/s00264-005-0056-9
  4. Zou D, Han Y, Han W, Sulan You J, Wang L, Huang Y. Heterotrophic ossification on a skin graft in a postburn scar of the chin. J Craniofac Surg. 2011. doi:10.1097/SCS.0b013e318231e4d2
  5. Ghuman MS, Saggar K. Images in Clinical Medicine: Heterotopic Ossification of a Midline Abdominal Incision. NEJM. 2014;371(5):464.
  6. Hicks CW, Velopulos CG, Sacks JM. Mesenteric calcification following abdominal stab wound. Int J Surg Case Rep. 2014. doi:10.1016/j.ijscr.2014.05.017
  7. Binesh F, Akhavan A, Navabii H, Ostadi M. Heterotopic mesenteric ossification: Report of a case and review of the literature. BMJ Case Rep. 2012. doi:10.1136/bcr-02-2012-5793
  8. Morasch M, Shoup M, Marshall W, Maull K. Heterotopic Bone Formation within a Missile Track. J Accid Emerg Med. 1996;13:227-229.
  9. Como JJ, Yowler CJ, Malangoni MA. Extensive heterotopic mesenteric ossification after penetrating abdominal trauma. J Trauma. 2008. doi:10.1097/TA.0b013e318068d746
  10. Merrell JJ, Sadro CT, Chew FS. Heterotopic Mesenteric Ossification after Blunt Abdominal Trauma and Multiple Surgical Operations. Radiol Case Reports. 2008. doi:10.2484/rcr.v3i4.243
  11. GARLAND DE. A Clinical Perspective on Common Forms of Acquired Heterotopic Ossification. Clin Orthop Relat Res. 1991. doi:10.1097/00003086-199102000-00003
  12. Urist MR, Nakagawa M, Nakata N, Nogami H. Experimental myositis ossificans. Cartilage and bone formation in muscle in response to a diffusible bone matrix-derived morphogen. Arch Pathol Lab Med. 1978.
  13. Edwards DS, Kuhn KM, Potter BK, Forsberg JA. Heterotopic ossification: A review of current understanding, treatment, and future. J Orthop Trauma. 2016. doi:10.1097/BOT.0000000000000666
  14. Davies OG, Grover LM, Lewis MP, Liu Y. PDGF is a potent initiator of bone formation in a tissue engineered model of pathological ossification. J Tissue Eng Regen Med. 2018. doi:10.1002/term.2320
  15. Jackson WM, Aragon AB, Onodera J, et al. Cytokine expression in muscle following traumatic injury. J Orthop Res. 2011. doi:10.1002/jor.21354
  16. Freeman TA, Parvizi J, Dela Valle CJ, Steinbeck MJ. Mast cells and hypoxia drive tissue metaplasia and heterotopic ossification in idiopathic arthrofibrosis after total knee arthroplasty. Fibrogenesis Tissue Repair. 2010. doi:10.1186/1755-1536-3-17
  17. Schurch B, Capaul M, Vallotton MB, Rossier AB. Prostaglandin E2measurements: Their value in the early diagnosis of heterotopic ossification in spinal cord injury patients. Arch Phys Med Rehabil. 1997. doi:10.1016/S0003-9993(97)90074-5
  18. Lazard ZWW, Olmsted-Davis EA, Salisbury EA, et al. Osteoblasts Have a Neural Origin in Heterotopic Ossification. Clin Orthop Relat Res. 2015. doi:10.1007/s11999-015-4323-9
  19. Hong SP, Lee JB, Bae CH. Heterotopic ossification of the xiphoid process after abdominal surgery for traumatic hemoperitoneum. J Korean Med Sci. 2018. doi:10.3346/jkms.2018.33.e62
  20. Namias N, Sleeman D. Penetrating Trauma Secondary to Heterotropic Ossification in a Laparotomy Scar: A Case Report. JCC. 1996;39:504-506.
  21. Bovo G, Romano F, Perego E, Franciosi C, Buffa R, Uggeri F. Heterotopic mesenteric ossification (“intraabdominal myositis ossificans”): A case report. Int J Surg Pathol. 2004. doi:10.1177/106689690401200416
  22. Wilson JD, Montague CJ, Salcuni P, Bordi C, Rosai J. Heterotopic mesenteric ossification ('intraabdominal myositis ossificans’): Report of five cases. Am J Surg Pathol. 1999. doi:10.1097/00000478-199912000-00003
  23. Shehab D, Elgazzar AH, Collier BD. Heterotopic Ossification*. J Nucl Med. 2002.