Unsupported Browser
The American College of Surgeons website is not compatible with Internet Explorer 11, IE 11. For the best experience please update your browser.
Menu
Become a member and receive career-enhancing benefits

Our top priority is providing value to members. Your Member Services team is here to ensure you maximize your ACS member benefits, participate in College activities, and engage with your ACS colleagues. It's all here.

Become a Member
Become a member and receive career-enhancing benefits

Our top priority is providing value to members. Your Member Services team is here to ensure you maximize your ACS member benefits, participate in College activities, and engage with your ACS colleagues. It's all here.

Become a Member
ACS
Case Reviews in Surgery

Paraduodenal Hernia in a 33-Year-Old Male with Abdominal Pain

Paraduodenal Hernia in a 33-Year-Old Male with Abdominal Pain

March 5, 2020

Abstract

Background

A 33-year-old male presented with a small bowel obstruction secondary to a previously undiagnosed congenital left paraduodenal hernia.

Summary

Our patient presented at age 33 to our emergency department with three days of abdominal pain, nausea, and vomiting. He was brought to the OR for a diagnostic laparoscopy converted to an open left paraduodenal hernia repair. The patient tolerated the procedure well and was discharged on post-operative day six.

Conclusion

Paraduodenal hernias are a rare congenital condition that can lead to severe gastrointestinal consequences if undiagnosed and untreated. Although rare, clinicians must keep a high index of suspicion when evaluating nonspecific abdominal complaints suggestive of small bowel obstruction without obvious predisposal to adhesions or malignancy to ensure the best outcomes for patients.

Key Words

Paraduodenal hernia, internal hernia, congenital, small bowel obstruction


Case Description

Congenital paraduodenal hernias are a rare anomaly that occurs due to a rotational error of the midgut, through a normal or abnormal opening in the mesentery of the colon1. Internal hernias (protrusions of viscus through an opening in the peritoneal or mesenteric fold) account for 0.2 to 0.9% of all cases of intestinal obstruction. Of these, 30-53% are congenital paraduodenal hernias2 (this excludes bariatric patients that have previously undergone a roux-en-y gastric bypass where internal hernia is a recognized late complication). We report here the diagnosis and surgical correction of a paraduodenal hernia after the presentation of a patient with acute on chronic abdominal complaints.

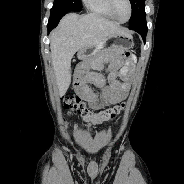
Our patient is a 33-year-old male with a past medical history of well-controlled HIV on HAART who presented to our emergency room with 3 days of worsening abdominal pain, nausea, and vomiting. He reported no bowel movement for two days. He was afebrile with stable vital signs and physical exam was notable for a distended abdomen and some mild tenderness upon deep palpation. His labs were significant only for a Hgb of 18.7g/dL which was thought to be attributed to hemoconcentration. A CT abdomen showed "mildly distended loops of small bowel within the midabdomen with mural thickening and reactive free fluid in the pelvis, likely representing enteritis. However, low grade/partial small bowel obstruction is not excluded." At this point, surgery was consulted for evaluation and management of partial small bowel obstruction. When reviewing the patient's history he had had multiple episodes throughout his life of severe abdominal cramping and had become a vegetarian in an effort to cure himself.

Our patient was admitted and conservative management with nasogastric tube was attempted, but he continued to develop increasing abdominal pain and vomiting over the course of 24 hours which prompted us to take him to the operating room.

In the operating room, the case was attempted laparoscopically at first, but due to bowel dilation and torsion of the small bowel underneath the transverse mesocolon, the decision was made to convert to a laparotomy. Upon opening the abdomen, the majority of the small bowel was found to be herniated up into the lesser sac. After lysing adhesions and opening a large hernia sac, a congenital left paraduodenal hernia was identified. Bowel was reduced through the defect to its natural position inferior to the colon and the hernia sac was excised. The abdomen was then further explored with normal appearing anatomy otherwise. The paraduodenal hernia was closed using four interrupted silk sutures. The abdomen was copiously irrigated and the fascia and skin were closed primarily. Some representative images from the case can be seen below.

Discussion

Paraduodenal hernias (PDH) are rare congenital anomalies secondary to rotational midgut errors and failure of mesenteric fusion with the parietal peritoneum. Internal hernias account for 0.2 to 0.9% of all cases of intestinal obstruction; of these, 30-53% are congenital paraduodenal hernias.1,3 In right paraduodenal hernias, the viscus herniates into the fossa of Waldeyer, and in left, through Landzert's fossa.4 The inferior mesenteric vein and ascending left colic artery run along the anteromedial border of the fossa of Landzert. The superior mesenteric artery and superior mesenteric vein run along the anteromedial border of the fossa of Waldeyer. The fossa of Waldeyer (right PDH) is present in 1% of autopsy cases and is formed within the first part of the mesentery of the jejunum, immediately behind the superior mesenteric artery and inferior to the transverse duodenum. The fossa of Landzert (left PDH) is present in 2% of autopsy cases and is located to the left of the ascending/fourth part of the duodenum and is caused by the rising of a peritoneal fold by the inferior mesenteric vein as it runs along the side and above the lateral side of the fossa.5

PDH most often present as nonspecific abdominal symptoms, but if missed can lead to acute small bowel obstruction, ischemia, or even bowel perforation. Conventional radiographic examination of paraduodenal hernias yield a relatively low sensitivity of 69% and specificity of 57%.5 Newer studies have demonstrated the value of CT in confirming diagnoses and revealing causes of small bowel obstruction, listing sensitivities as high as 94 to 100% and accuracy of 90 to 95%.6,7 CT findings of internal hernias include evidence of small bowel obstruction (SBO) with the most common manifestation of an internal hernia presenting as a strangulating SBO, occurring after closed-loop obstruction.

Unfortunately, CT evaluation of any type of internal hernia is rare in radiology literature.8 However, other case reports claim that a characteristic appearance of left PDH on CT consists of an abnormal cluster or saclike mass of dilated small bowel loops lying between the pancreas and stomach to the left of the ligament of Treitz. This usually creates a mass effect that displaces the posterior wall of the stomach, the duodenal flexure inferiorly and the transverse colon inferiorly.6,9 At the entrance of the hernia sac, the mesenteric vessels supplying the herniated small bowel segments become stretched, crowded, and engorged.10,11 CT demonstrates the inferior mesenteric vein and left colic artery as landmarks above the encapsulated bowel loops, as the anterior wall of the sac contains these vessels. Radiographic landmarks for right PDH include the superior mesenteric artery and right colic vein at the anterior-medial border of encapsulated small bowel loops.6

With the low prevalence of internal hernias overall, it is still a daunting task to identify this pathology from radiologic findings alone unless clinicians approach these scans with initial suspicion or an obvious "swirl sign" is identified. In our patient's case, when reviewing the CT in retrospect we can see that the dilated small bowel appears to be located superior to the transverse colon. However, even when viewing the sagittal imaging views, it is difficult to appreciate any passing through a mesenteric defect.

Conclusion

Paraduodenal hernias are a rare congenital condition that can lead to severe gastrointestinal consequences if undiagnosed and untreated. Although they present as nonspecific abdominal symptoms, if missed they can lead to acute small bowel obstruction, ischemia, or even bowel perforation.

Lessons Learned

Although paraduodenal hernias are a rare cause of intestinal obstruction, clinicians must keep a high index of suspicion when evaluating nonspecific abdominal complaints to ensure the best outcomes for patients.

Authors

Gregory S. Troutman, BS
Sidney Kimmel Medical College at Thomas Jefferson University
Philadelphia, PA

Ryan Lamm, MD
Thomas Jefferson University
Department of Surgery
Philadelphia, PA

Renee M. Tholey, MD, FACS
Thomas Jefferson University
Department of Surgery
Philadelphia, PA

Correspondence Author

Gregory S. Troutman
1015 Walnut St. Suite 100
Philadelphia, PA 19104
Phone: 717-419-7084
Email: Gregory.Troutman@Jefferson.edu

Disclosure Statement

The authors have no relevant conflicts of interest to disclose.

References

  1. Moran JM, Salas J, Sanjuan S et al. Paramesocolic hernias: consequences of delayed diagnosis. Report of three new cases. J Pediatr Surg. 2004;39:112–6.
  2. Brigham RA. Paraduodenal hernia. In: LM Nyhus, RE Condon (ed.) Hernia. 4th ed. Philadelphia: Lippincott Williams and Wilkins, 1995.
  3. Frager D, Madwid SW, Baer JW, et al. CT of small-bowel obstruction: value in establishing the diagnosis and determining the degree and cause. AJR Am J Roentgenol 1994; 162:37-41.
  4. Moon CH, Chung MH, Lin KM. Diagnostic laparoscopy and laparoscopic repair of a left paraduodenal hernia can shorten hospital stay. JSLS. 2006;10(1):90-3.
  5. Mayers MA. Internal abdominal hernias. In: Mayers MA, ed. Dynamic radiology of the abdomen. 5th ed. New York, NY: Springer-Verlag, 2000; 711-748
  6. Okino Y, Kiyosue H, Mori H, et al. Root of the small-bowel mesentery: correlative anatomy and CT features of pathologic conditions. RadioGraphics 2001; 21:1475-1490.
  7. Bartlett MK, Wang C, Williams WH. The surgical management of paraduodenal hernia. Ann Surg. 1968 Aug; 168(2):249-54.
  8. Takeyama N, Gokan T, Ohgiya Y, et al. CT of internal hernias. RadioGraphics. 2005;25(4).
  9. Olazabal A, Guasch I, Casas D. CT diagnosis of nonobstructive left paraduodenal hernia. Clin Radiol. 1992; 46:288–289.
  10. Blachar A, Federle MP, Dodson SF. Internal hernia: clinical and imaging findings in 17 patients with emphasis on CT criteria. Radiology. 2001; 218:68–74.
  11. Blachar A, Federle MP, Brancatelli G, Peterson MS, Oliver JH 3rd, Li W. Radiologist performance in the diagnosis of internal hernia by using specific CT findings with emphasis on transmesenteric hernia. Radiology. 2001; 221:422–428.