Unsupported Browser
The American College of Surgeons website is not compatible with Internet Explorer 11, IE 11. For the best experience please update your browser.
Menu
Become a member and receive career-enhancing benefits

Our top priority is providing value to members. Your Member Services team is here to ensure you maximize your ACS member benefits, participate in College activities, and engage with your ACS colleagues. It's all here.

Become a Member
Become a member and receive career-enhancing benefits

Our top priority is providing value to members. Your Member Services team is here to ensure you maximize your ACS member benefits, participate in College activities, and engage with your ACS colleagues. It's all here.

Become a Member
ACS
Case Reviews in Surgery

High-Grade Neuroendocrine Carcinoma of the Gallbladder Presenting as Biliary Colic: A Rare Twist to a Common Problem

High-Grade Neuroendocrine Carcinoma of the Gallbladder Presenting as Biliary Colic: A Rare Twist to a Common Problem

February 24, 2021

Abstract

Background

We present a rare case of a 55-year-old male with biliary colic found to have a high grade (Ki-67 >50 percent) poorly differentiated neuroendocrine carcinoma (NEC) with large-cell features.

Summary

This patient with previous history of cholelithiasis and type 1B choledochal cyst initially presented to hospital with biliary colic. Evaluation with CT scan was concerning for a gallbladder malignancy, common bile duct (CBD) obstruction and portal lymphadenopathy. The portal lymph nodes were sampled suggesting high grade, poorly differentiated NEC with large cell features. The patient underwent a laparoscopic cholecystectomy and trans-cystic CBD exploration confirming the diagnosis. The case was reviewed in a multidisciplinary setting and a recommendation was made to proceed with adjuvant chemotherapy and chemoradiation. The patient then underwent a laparoscopic portal lymphadenectomy, excision of extrahepatic bile ducts, partial hepatectomy of segments 4B and 5, and Roux-en-Y hepaticojejunostomy. There was no residual cancer detected on final pathology. The patient remains disease free 11 months posttreatment.

Conclusion

Gallbladder NEC is a rare disease with no consensus on its optimal management. We present a case of high grade gallbladder NEC with large-cell features successfully treated in a multidisciplinary fashion. This report highlights the potential role of chemotherapy and chemoradiation in the management of this tumor type and the central role of surgery for achieving a cure.

Key Words

Gallbladder, biliary colic, chemotherapy, radiation therapy, neuroendocrine carcinoma

Abbreviations

ALP: alkaline phosphatase
CBD: common bile duct
CRTx: chemoradiation
CTx: chemotherapy
EUS: esophageal ultrasound
GB-NET: gallbladder neuroendocrine tumor
GEP-NET: Gastro-entero-pancreatic neuroendocrine tumors
NEC: neuroendocrine carcinoma
NET: neuroendocrine tumor


Case Description

Gastroenteropancreatic neuroendocrine tumors (GEP-NETs) represent a spectrum of disease differing in histologic differentiation and organ of origin. Though the most common lesions are detected in the small intestine and pancreas, NETs are not exclusively confined to these organs. Gallbladder NETs (GB-NETs) represent a rare malignancy with only a few cases in the surgical literature, and thus the optimal management of these tumors are unknown. Furthermore, due to the rarity of this disease, they seldom are considered in the differential diagnosis for patients who present with gallbladder pathology. We report a rare case of a 55-year-old male with biliary colic found to have a poorly differentiated neuroendocrine carcinoma (NEC) of the gallbladder with large cell features.

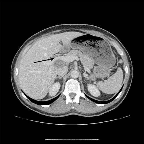
The patient had a past medical history of type 1B choledochal cyst and cholelithiasis causing biliary colic and multiple common bile duct (CBD) stone extractions. He presented to a community hospital with abdominal pain typical for biliary colic and five pound weight loss. The patient’s total bilirubin was 1.2, with an elevated alkaline phosphatase (ALP) at 200. A CT scan was performed demonstrating portal lymphadenopathy and a possible gallbladder mass (Figure 1).

Figure 1: CT Figure showing large portal nodes (arrow to enlarged node)
Figure 1: CT Figure showing large portal nodes (arrow to enlarged node)

Figure 1: CT Figure showing large portal nodes (arrow to enlarged node)

ET scan demonstrated avid uptake in the gallbladder and portal lymph nodes, which prompted an endoscopic ultrasound (EUS) and fine needle biopsy (Figure 2).

Figure 2: PET scan demonstrating a hypermetabolic mass in the gallbladder fundus and activity in the porta hepatis.
Figure 2: PET scan demonstrating a hypermetabolic mass in the gallbladder fundus and activity in the porta hepatis.

Figure 2: PET scan demonstrating a hypermetabolic mass in the gallbladder fundus and activity in the porta hepatis.

Pathology suggested a poorly differentiated NEC with a Ki-67 >80 percent. The patient self-referred to our institute, where he underwent a repeat ERCP and EUS guided biopsy of the portal lymph nodes. Interestingly, ERCP demonstrated fibrinous exudative material in the CBD causing obstruction, which resembled the same material aspirated from the portal lymph node. A plastic stent was deployed for biliary decompression. Pathology results were suggestive of, but indeterminate, for NEC. The patient’s chromogranin A was normal at 72. Serotonin and 5-HIAA levels were negative. Given the diagnostic uncertainty and the patient’s ongoing abdominal pain, the decision was made to proceed with a laparoscopic cholecystectomy and CBD exploration. The gallbladder was found to be severely inflamed, with an obvious intra-luminal mass, and was removed with a portion of segment 5 to avoid bile spillage (see Figure 3 and Figure 4). Final pathology results confirmed a poorly differentiated NEC with a Ki-67 >50 percent.

Figure 3: Patient’s distended gallbladder after removal measuring 12.5 x 5.5 x 5.0 cm
Figure 3: Patient’s distended gallbladder after removal measuring 12.5 x 5.5 x 5.0 cm

Figure 3: Patient’s distended gallbladder after removal measuring 12.5 x 5.5 x 5.0 cm

Figure 4: Patient’s gallbladder opened to reveal 10 x 5.5 x 4 cm mass
Figure 4: Patient’s gallbladder opened to reveal 10 x 5.5 x 4 cm mass

Figure 4: Patient’s gallbladder opened to reveal 10 x 5.5 x 4 cm mass

The case was reviewed at our multidisciplinary GI oncology tumor board, and the recommendation was to proceed with cisplatin and etoposide chemotherapy (CTx) followed by chemoradiation (CRTx). The patient tolerated his adjuvant treatment and following completion, the tumor board recommendation was to proceed with full surgical clearance of disease. A laparoscopic resection of extrahepatic bile ducts, resection of his type 1B choledochal cyst, partial hepatectomy of segments 4B and 5, portal lymphadenectomy, and reconstruction via a Roux-en-Y hepaticojejunostomy was performed. Intraoperatively, the patient was noted to have an extensive amount of scarring due to his prior surgery and chemoradiation; however, there was no evidence of metastatic disease. His bowel was also run intraoperatively to rule out primary small bowel NET. His station 8A lymph node was sent for frozen section, which was negative. His postoperative pathology demonstrated evidence of complete tumor death/fibrosis (no residual cancer); thus, the patient had a complete response to adjuvant CTx and CRTx. The patient tolerated the procedure well and was discharged home on postoperative day seven following an uneventful hospital course. Postoperative surveillance via MRI every three months has shown the patient to be disease-free; now 12 months postsurgery, future surveillance will be via MRI every via months.

Discussion

Primary gallbladder neuroendocrine tumors are a rare diagnosis,1 with only 278 cases described between 1975 and 2005 in the Surveillance, Epidemiology and End Results (SEER) program of the National Cancer Institute. GB-NETs represent less than one percent of all GEP-NETs and 0.5 percent of all gallbladder carcinomas and are an exceedingly unusual cause of gallbladder presentations.2,3,4 As a consequence, the natural history of such tumors are poorly understood, and recommendations for management and surveillance are variable across institutions. Primary adenocarcinomas of the gallbladder, conversely, are relatively far more frequent then GB-NETs and demonstrate an exceptionally aggressive phenotype. Though surgical resection provides the only possibility for cure, only 10 percent of patients present with resectable disease.5 All-stage, five-year survival remains dismal at less than five percent. Furthermore, the role of CTx and CRTx remains undefined, though combination platinum-based therapy has been most commonly utilized with some success.

GB-NETs pose a unique challenge to the clinician, as it is unknown whether they behave in a fashion similar to other GEP-NETs or if they more strongly resemble their epithelial counterpart. NETs are neoplasms originating from neuroendocrine cells (enterochromaffin cells) located throughout the body, typically within the lung and gastrointestinal tract.3 The origin of GB-NETs, however, is poorly understood, since the normal gallbladder mucosa is typically devoid of neuroendocrine cells. It is currently postulated that neuroendocrine cells may arise in the gallbladder secondary to chronic inflammation caused by gallstones, helicobacter pylori, or congenital anomalies, such as anomalous union of the pancreaticobiliary duct or choledochal cysts as seen in our patient.6,7

The 2010 World Health Organization (WHO) classification of NETs describes four general categories based primarily on mitotic count and Ki-67 proliferative index: well differentiated NET or Grade 1 tumor (Ki-67 <three percent); intermediate differentiated NET or Grade 2 tumor (Ki-67 <3–20 percent); poorly differentiated neuroendocrine carcinoma (NEC) or Grade 3 tumor (Ki-67 >20 percent); and mixed adenoneuroendocrine carcinoma (MANEC).8 Poorly differentiated NECs have a high propensity for invasive growth, early lymph node metastases, as well as distant metastases and generally have a poor prognosis.7,9-13

NECs are further classified into the more common small-cell type and the less common large-cell type, which behave similar to lung NECs. Though initially considered to behave like small-cell NECs, more recent reports have demonstrated improved prognosis in large-cell variants.14 The role of surgery in NEC remains undefined, though may provide an avenue for cure in patients with locoregional disease.15 Similarly, the role and benefit of CTx and CRTx in the neoadjuvant/adjuvant setting is unclear, though both have been employed in patients with locoregional disease. Shimono et al discussed a case of gallbladder NEC successfully treated via multimodal therapies inclusive of CT-based three-dimensional radiation therapy administered preoperatively.16 Further, Chen et al discussed three cases of GB-NEC treated with postoperative CRTx versus surgery alone with nonsignificant increases in median survival times for those receiving multimodal treatment.17 CTx is generally platinum-based combined with etoposide, and tumors typically demonstrate responsiveness in patients with Ki-67 >55 percent.18 Our case report adds to the existing literature of GB-NETs and highlights the possibility of such tumors presenting as biliary colic. Though this is an exceedingly rare cause of biliary colic, awareness of its existence is important for the clinician when considering atypical etiologies of gallbladder pathologies that may prompt earlier involvement of a hepatobiliary surgeon. The current case report also emphasizes the absolute need for a multidisciplinary approach and the involvement of both a medical and radiation oncologist. We have demonstrated that combination treatment with surgery, CTx, and CRTx is effective, and though the tumor demonstrated a Ki-67 >55 percent, complete disease remission is possible.

Conclusion

While the patient has remained disease-free for 12 months following surgical resection, continued surveillance is required to determine if these interventions will yield a disease-free/overall survival comparable to the broader category of GEP-NETs.

Lessons Learned

GB-NETs are a rare subtype of gallbladder cancers which may have a possibility of cure when managed in a multidisciplinary setting. The pathophysiology of the disease is unknown; thus longer follow-up may help clarify its natural history in patients treated with combined modalities.

Authors

Christina N. Weed, MD, MPH
Virginia Mason Medical Center
Division of General, Thoracic and Vascular Surgery
Seattle, WA

Zaheer S. Kanji MD, MSc, FRCSC
Virginia Mason Medical Center
Division of General, Thoracic and Vascular Surgery
Seattle, WA

Adnan A. Alseidi MD, EdM, FACS
Virginia Mason Medical Center
Division of General, Thoracic and Vascular Surgery
Seattle, WA

Correspondence Author

Adnan A. Alseidi MD, EdM, FACS
Virginia Mason Medical Center
Division of General, Thoracic and Vascular Surgery
6th Floor Buck Pavilion, C6-GS
1100 9th Avenue
Seattle, WA 98101
Adnan.Alseidi@virginiamason.org

Disclosure Statement

Drs. Weed, Kanji, and Alseidi have no conflicts of interest or financial disclosures to report.

References

  1. Joel W. Karzinoid der Gallenblasse. Zentral-bl Allg Pathol. 1929;46:1–4.
  2. The US National Cancer Institute. Surveillance Epidemiology and End Results (SEER) data base, 1973-2005. http://seer.cancer.gov/. 2008.
  3. Yao JC, Hassan M, Phan A, et al. One hundred years after "carcinoid": epidemiology of and prognostic factors for neuroendocrine tumors in 35,825 cases in the United States. J Clin Oncol. 2008; 26(18):3063-72.
  4. Gupta A, Ahmed P, Durgapal P et al. Neuroendocrine Carcinoma of the Gallbladder: A rare presentation with review of the literature. Gulf J Oncolog. 2017 May; 1(24): 51-54
  5. Zhu AX, Hong TS, Hezel AF, Kooby DA. Current Management of Gallbladder Carcinoma. Oncologist. 2010;15(2):168-181. doi:10.1634/theoncologist.2009-0302.
  6. Liu W, Wang L, He X, Feng C, Chang X, Lu Z. Mixed large cell neuroendocrine carcinoma and adenocarcinoma of the gallbladder: a case report and brief review of the literature. World J Surg Oncol. 2015;13:114. doi:10.1186/s12957-015-0533-6.
  7. Jun SR, Lee JM, Han JK, et al. High-grade neuroendocrine carcinomas of the gallbladder and bile duct: report of four cases with pathological correlation. J Comput Assist Tomogr. 2006;30:604–609
  8. Rindi G. Nomenclature and classification of neuroendocrine neoplasms of the digestive system. In: Bosman FT, Carneiro F, Hruban RH, Theise ND, editors. WHO Classification of Tumours of the Digestive System. 4th ed. Lyon, France: The International Agency for Research on Cancer; 2010. pp. 13–4.
  9. Buscemi S, Orlando E, Damiano G, et al. "Pure" large cell neuroendocrine carcinoma of the gallbladder. Report of a case and review of the literature. Int J Surg. 2016;28:S128-32. doi:10.1016/j.ijsu.2015.12.045.
  10. Furrukh M, Qureshi A, Saparamadu A, Kumar S. Malignant neuroendocrine tumour of the gallbladder with elevated carcinoembryonic antigen: case report and literature review. BMJ Case Rep. 2013;2013:bcr2013008778. doi:10.1136/bcr-2013-008778.
  11. 11Kamboj M, Gandhi JS, Gupta G. Neuroendocrine Carcinoma of the Gallbladder: A Series of 19 Cases and Review of the Literature. J Gastrointest Cancer. 2015;46(4):356-364. doi: 10.1007/s12029-015-9745-9.
  12. Chen H, Shen YY, Ni XZ. Two cases of neuroendocrine carcinoma of the gallbladder. World J Gastroenterol. 2014;20(33):11916-11920. doi:10.3748/wjg.v20.i33.11916.
  13. Carrera C, Kunk P, Rahma O. Small Cell Carcinoma of the Gallbladder: Case Report and Comprehensive Analysis of Published Cases. J Oncol. 2015;2015:304909. doi:10.1155/2015/304909.
  14. Korse CM, Taal BG et al. Incidence and survival of neuroendocrine tumours in the Netherlands according to histological grade: experience of two decades of cancer registry. Eur J Cancer. 2013 May; 49 (8): 1975-83.
  15. 15Haugvik, SP, Janson ET, Osterlund P et al. Surgical Treatment as a Principle for Patients with High Grade Pancreatic Neuroendocrine Carcinoma: A Nordic Multicenter Comparative Study. Ann Surg Oncol. 2016 May; 23 (5): 1721-8.
  16. Shimono C, Suwa K, Sato M, et al. Large cell neuroendocrine carcinoma of the gallbladder: Long survival achieved by multimodal treatment. Int J Clin Oncol. 2009;14(4):351-5. doi: http://dx.doi.org/10.1007/s10147-008-0843-6.
  17. Chen C, Wang L, Liu X, Zhang G, Zhao Y, Geng Z. Gallbladder neuroendocrine carcinoma: report of 10 cases and comparison of clinicopathologic features with gallbladder adenocarcinoma. Int J Clin Exp Pathol. 2015;8(7):8218-8226.
  18. Sorbye H, Welin S, Langer SW et al. Predictive and Prognostic factors for treatment and survival in 305 patients with advanced gastrointestinal neuroendocrine carcinoma (WHO G3): the NORDIC NEC Study. Ann Oncol. 2013 Jan; 24(1): 152-60.