Unsupported Browser
The American College of Surgeons website is not compatible with Internet Explorer 11, IE 11. For the best experience please update your browser.
Menu
Become a member and receive career-enhancing benefits

Our top priority is providing value to members. Your Member Services team is here to ensure you maximize your ACS member benefits, participate in College activities, and engage with your ACS colleagues. It's all here.

Become a Member
Become a member and receive career-enhancing benefits

Our top priority is providing value to members. Your Member Services team is here to ensure you maximize your ACS member benefits, participate in College activities, and engage with your ACS colleagues. It's all here.

Become a Member
ACS
Case Reviews in Surgery

Surgical Stabilization of Rib Fractures Alleviates Debilitating Axial Skeleton Injuries

Surgical Stabilization of Rib Fractures Alleviates Debilitating Axial Skeleton Injuries

February 24, 2021

Abstract

Background

An elderly male patient sustained multiple rib fractures from a car accident.

Summary

Rib fracture is a common traumatic injury that does not have a clear route for management. Surgical fixation of rib fractures has been performed in the past, but its utility is currently debated in the medical literature. Here, we present a case of a patient who suffered life-threatening injuries from a motor vehicle crash, and who greatly benefited from surgical fixation of rib fractures in order to improve his ultimate disposition. This case report supports the efficacy of surgical fixation of rib fractures, summarizes the current literature, and provides an illustrative case of how to properly surgically manage a patient with multiple rib fractures.

Conclusion

Surgical fixation of complex rib fractures can be an efficacious means by which normal physiologic function can be re-established in trauma patients and should be considered as a potential option in patients with compromised respiratory physiology.

Key Words

Rib fracture, traumatic rib fracture, flail chest


Introduction

Rib fracture is one of the most common blunt traumatic injuries and affects up to 10 percent of all trauma patients.1 Rib fractures can cause significant morbidity secondary to the traumatic insult, such as nosocomial pneumonia, exacerbation of respiratory failure, and prolonged hospitalization. Additionally, long-term consequences can result in chronic pain and loss of normal physiologic function.14 Rib fracture severity varies based on factors such as the number of ribs involved, the anatomical locale of the fractures, the proximity of the fractures to one another, and also the physiology of the patient. Nonoperative pain management and physical therapy have historically been and currently remain the mainstays of treatment.35 While operative management has been attempted at numerous points in history, recent technologic advancements in surgical stabilization of rib fractures (SSRF) has led to its increased use and popularity as a viable option for traumatic rib fracture intervention. The scientific evidence to support this practice is growing, particularly in trauma patient populations with complex rib fractures and complicated by flail chest.3,5-7 This case report is further evidence of the efficacy and usefulness of SSRF in the trauma population.

Case Description

An elderly male was airlifted to our rural Level I trauma center following a motor vehicle crash involving multiple rollovers, resulting in excessive flexion-compression injuries of the spine and thorax. The patient was not wearing a seatbelt and was ejected from his vehicle. The patient arrived at the trauma center, was unresponsive, and was intubated immediately based on his low Glasgow Coma Score (GCS). Pertinent to this report, the patient presented with internal thorax and retroperitoneal injuries consistent with bilateral pneumothoraces, a traumatic disruption of the aorta, and a grade 3 open injury to his right kidney. There was also manubriosternal disunion accompanied by right-sided fractures of ribs 1–9 in multiple segments and left sided fractures of ribs 5–11, also in multiple segments, amassing a total of 18 fractures of the rib cage (Figure 1 and Figure 2).

Figure 1: The images above depict three-dimensional renderings of the patient’s axial skeleton adapted from CT scan. The white arrow in A shows lateral fractures to left sided ribs 6,7,8, which were reduced and fixated during surgery with titanium plating. The white arrow in B shows right sided anterolateral rib fractures to ribs 2 and 3, which were also reduced and fixated during surgery using titanium plating. The red arrow in B depicts the large disunion of the manubrium and sternal body from one another, which was reduced and fixated using titanium plating through sternotomy.
Figure 1: The images above depict three-dimensional renderings of the patient’s axial skeleton adapted from CT scan. The white arrow in A shows lateral fractures to left sided ribs 6,7,8, which were reduced and fixated during surgery with titanium plating. The white arrow in B shows right sided anterolateral rib fractures to ribs 2 and 3, which were also reduced and fixated during surgery using titanium plating. The red arrow in B depicts the large disunion of the manubrium and sternal body from one another, which was reduced and fixated using titanium plating through sternotomy.

Figure 1: The images above depict three-dimensional renderings of the patient’s axial skeleton adapted from CT scan. The white arrow in A shows lateral fractures to left sided ribs 6,7,8, which were reduced and fixated during surgery with titanium plating. The white arrow in B shows right sided anterolateral rib fractures to ribs 2 and 3, which were also reduced and fixated during surgery using titanium plating. The red arrow in B depicts the large disunion of the manubrium and sternal body from one another, which was reduced and fixated using titanium plating through sternotomy.

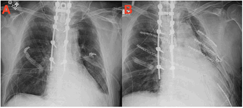
Figure 2: Figure 2A depicts an anterior-posterior preoperative chest x-ray and Figure 2B depicts an anterior-posterior postoperative chest x-ray following rib fixation.
Figure 2: Figure 2A depicts an anterior-posterior preoperative chest x-ray and Figure 2B depicts an anterior-posterior postoperative chest x-ray following rib fixation.

Figure 2: Figure 2A depicts an anterior-posterior preoperative chest x-ray and Figure 2B depicts an anterior-posterior postoperative chest x-ray following rib fixation.

Once the patient’s vital signs were stabilized, he was admitted to the surgical intensive care unit. Upon analysis of the patient’s thorax injuries, consideration of his respiratory physiology deficits leading to his flail chest, and taking into account the patient’s intubated status, it was determined that a surgical approach was necessary to repair critical fractures based on the guidance of our institution’s rib fracture protocol (Figure 3).

Download figure 3

Figure 3: Our institution’s flowchart for managing trauma patients with rib fractures.

It was determined that fracture patterns associated with the manubriosternal junction (Figure 4), anterior right ribs 2–3 (Figure 1), and lateral left ribs 4,5,6 and 8 (Figure 5) would be surgically fixated in order to minimize the patient’s flail chest. The manubriosternal disunion and anterior right rib fractures of ribs 2–3 were openly reduced and internally fixated via sternotomy with the patient in in the supine position (Figure 6).

Figure 4: Open sternotomy with right pectoralis major muscle dissected displaying anterior titanium plating. The black arrows depict plates anchored to the sternum, gray depicts the plated manubrium, and white arrows show titanium plate on right ribs 2 and 3. These resulted in successful ORIF of the manubriosternal angle and right ribs 2 and 3 to the sternum.
Figure 4: Open sternotomy with right pectoralis major muscle dissected displaying anterior titanium plating. The black arrows depict plates anchored to the sternum, gray depicts the plated manubrium, and white arrows show titanium plate on right ribs 2 and 3. These resulted in successful ORIF of the manubriosternal angle and right ribs 2 and 3 to the sternum.

Figure 4: Open sternotomy with right pectoralis major muscle dissected displaying anterior titanium plating. The black arrows depict plates anchored to the sternum, gray depicts the plated manubrium, and white arrows show titanium plate on right ribs 2 and 3. These resulted in successful ORIF of the manubriosternal angle and right ribs 2 and 3 to the sternum.

Figure 5: The image depicts the fully spared latissimus dorsi muscle from the thoracotomy procedure. The two sets of plates were placed in order to reduce and fixate left lateral rib fractures of 4 and 5, which manifested in a clinical flail chest. Not pictured are similar plates, inferior to the latissimus dorsi muscle, which reduced and fixated lateral fractures of left ribs 6 and 8 as well.
Figure 5: The image depicts the fully spared latissimus dorsi muscle from the thoracotomy procedure. The two sets of plates were placed in order to reduce and fixate left lateral rib fractures of 4 and 5, which manifested in a clinical flail chest. Not pictured are similar plates, inferior to the latissimus dorsi muscle, which reduced and fixated lateral fractures of left ribs 6 and 8 as well.

Figure 5: The image depicts the fully spared latissimus dorsi muscle from the thoracotomy procedure. The two sets of plates were placed in order to reduce and fixate left lateral rib fractures of 4 and 5, which manifested in a clinical flail chest. Not pictured are similar plates, inferior to the latissimus dorsi muscle, which reduced and fixated lateral fractures of left ribs 6 and 8 as well.

Figure 6: The image depicts the patient’s left-sided, muscle-sparing thoracotomy, with the boundaries of the latissimus dorsi muscle completely intact along with plated ribs 5 and 7 in view, superior and inferior to the muscle, respectively.
Figure 6: The image depicts the patient’s left-sided, muscle-sparing thoracotomy, with the boundaries of the latissimus dorsi muscle completely intact along with plated ribs 5 and 7 in view, superior and inferior to the muscle, respectively.

Figure 6: The image depicts the patient’s left-sided, muscle-sparing thoracotomy, with the boundaries of the latissimus dorsi muscle completely intact along with plated ribs 5 and 7 in view, superior and inferior to the muscle, respectively.

The patient was then rotated into the lateral oblique position, re-draped, and several displaced fractures of the lateral left ribs 4, 5, 6, and 8 were openly reduced and internally fixated via a muscle-sparing thoracotomy through a lazy S incision (Figure 5 and Figure 6). Titanium plates were successfully used to fixate the fractures, as evidenced by the patient’s preoperative and postoperative X rays in Figure 2A and Figure 2B, respectively. Depth-controlled drilling technology was applied to avoid retro-mediastinal injury. The patient required placement of a tracheostomy and was on a ventilator for 12 days following the procedure. As a result of the intervention, the patient’s respiratory conditions improved, which contributed to his successful rehabilitation and the minimization of other morbidities from the trauma.

Discussion

Evidence supporting operative fixation for rib fractures is growing. In the setting of flail chest, SSRF results in better lung function and a lower pneumonia risk as well as a higher percentage of patients returning to full time work when compared to pneumatic splinting.7 When compared to conventional treatment of severe rib fractures, SSRF has shown improved respiratory outcomes.8 In older patient populations, a marked decrease in both mortality and respiratory complications were seen after SSRF.9 Practice management guidelines published by the Eastern Association for the Surgery of Trauma reviewed 22 studies that included nearly 1,000 trauma patients, a third of whom underwent SSRF.10 It was concluded that operative fixation of ribs can be conditionally recommended in order to reduce mortality, pneumonia, and the need for tracheostomy as well as other outcomes measures such as ICU length of stay and overall hospital stay in patients with flail chest after blunt trauma.10

Attempts to decrease the morbidity of large surgical incisions are being examined. Schulz-Drost et al demonstrated the ability to operatively repair up to four ribs using limited incisions.11 A recent consensus statement asserted that all patients with flail chest, multiple severe displaced ribs, and those who fail nonoperative management (regardless of fracture pattern) should be evaluated for surgical stabilization of rib fractures.8 Specifically, operative management should be done within 72 hours of the injury, and when possible, a muscle-sparing technique through an incision placed based on the fracture pattern should be used (Figure 6).8 This recommendation, however, was based on expert opinion, as no quality scientific evidence is currently available.

Preoperative planning for surgical fixation of rib fractures at our institution consists of a review of the patient’s three-dimensional CT imaging studies, and the surgeon compiles a schematic of all fractured segments with their relative locations on the chest, with close attention to distracted fractures as well as fractures involved in the flail segment(s). Because accessing the lung parenchyma is not necessary, a traditional thoracotomy incision can be avoided, and a muscle-sparing incision with wide skin flaps can provide access to the ribs without the morbidity of transecting the latissimus dorsi or serratus anterior muscles; however, if a retained hemothorax is present, a video-assisted thoracoscopic surgery procedure is used to evacuate the hematoma.

Our institution has developed and implemented a rib fracture protocol which involves evaluating patients at presentation for their physiologic alterations resulting from the patient’s rib fractures. A functional vital capacity is obtained at admission (if the patient is not intubated) and is used as triage criteria for patient admission and level of care. Further considerations for management of rib fractures are outlined in Figure 3.

As surgical fixation of rib fractures has become more prevalent, numerous different types of plating systems have been developed and more are continuing to emerge on the market. Each system differs slightly from others in terms of its utility and application; thus, considerations in choosing a plating system for rib fracture fixation should be based on the specific injury pattern.

The growing body of medical literature (including this report) that exists demonstrates the benefits and efficacy of surgical fixation for complex rib fractures. Muscle-splitting and muscle-sparing techniques, when individualized to the patient, can decrease the postoperative morbidity of operative rib fixation.

Conclusion

Surgical fixation of complex rib fractures can be an efficacious means by which normal physiologic function can be re-established in trauma patients and should be considered as a potential option for patients’ compromised respiratory physiology.

Lesson Learned

Approaches for management of complex rib fractures in trauma patients remains unclear. Surgical fixation of rib fractures is an effective approach for restoring normal physiologic function in polytrauma patients and should especially be considered in patients with flail chest.

Authors

C. Lendon Mullens, BS
West Virginia University School of Medicine
West Virginia University School of Medicine, Department of Surgery, Division of Trauma and Surgical Critical Care

Rahul K. Mannan, BS
West Virginia University School of Medicine

Jennifer C. Knight, MD, FACS
West Virginia University School of Medicine, Department of Surgery, Division of Trauma and Surgical Critical Care

Correspondence Author

Cody Lendon Mullens, BS
3rd year medical student at West Virginia University
1 Medical Center Drive
Morgantown, WV 26505
304-723-8039
cmullen3@mix.wvu.edu

Disclosure Statement

None of the authors have any conflicts of interest, financial or otherwise, to disclose which may have influenced the completion of this project.

References

  1. Ziegler DW, Agarwal NN. The morbidity and mortality of rib fractures. J Trauma Acute Care Surg. 1994;37(6):975-979.
  2. Richardson JD, Franklin GA, Heffley S, Seligson D. Operative fixation of chest wall fractures: an underused procedure? Am Surg. 2007;73(6):591-597.
  3. Nirula R, Diaz Jr JJ, Trunkey DD, Mayberry JC. Rib fracture repair: indications, technical issues, and future directions. World J Surg. 2009;33(1):14-22.
  4. Galvagno Jr SM, Smith CE, Varon AJ, et al. Pain management for blunt thoracic trauma: A joint practice management guideline from the Eastern Association for the Surgery of Trauma and Trauma Anesthesiology Society. J Trauma Acute Care Surg. 2016;81(5):936-951.
  5. Nirula R, Mayberry JC. Rib fracture fixation: controversies and technical challenges. Am Surg. 2010;76(8):793-802.
  6. Schulz-Drost S, Mauerer A, Grupp S, Hennig FF, Blanke M. Surgical fixation of sternal fractures: locked plate fixation by low-profile titanium plates—surgical safety through depth limited drilling. Int Orthop. 2014;38(1):133-139.
  7. Tanaka H, Yukioka T, Yamaguti Y, et al. Surgical stabilization of internal pneumatic stabilization? A prospective randomized study of management of severe flail chest patients. J Trauma Acute Care Surg. 2002;52(4):727-732.
  8. Pieracci FM, Majercik S, Ali-Osman F, et al. Consensus statement: Surgical stabilization of rib fractures rib fracture colloquium clinical practice guidelines. Injury. 2017 Feb;48(2):307-321.
  9. Fitzgerald MT, Ashley D, Abukhdeir H, Christie DBI. Rib fracture fixation in the 65-year and older population: A paradigm shift in management strategy at a Level I trauma center. J Trauma Acute Care Surg. 2017 Mar;82(3):524-527.
  10. Kasotakis G, Hasenboehler EA, Streib EW, et al. Operative fixation of rib fractures after blunt trauma: A practice management guideline from the Eastern Association for the Surgery of Trauma. J Trauma Acute Care Surg. 2017 Mar;82(3):618-626.
  11. Schulz-Drost S, Grupp S, Pachowsky M, et al. Stabilization of flail chest injuries: minimized approach techniques to treat the core of instability. Eur J Trauma Emerg Surg. 2016:1-10.