Unsupported Browser
The American College of Surgeons website is not compatible with Internet Explorer 11, IE 11. For the best experience please update your browser.
Menu
Become a member and receive career-enhancing benefits

Our top priority is providing value to members. Your Member Services team is here to ensure you maximize your ACS member benefits, participate in College activities, and engage with your ACS colleagues. It's all here.

Become a Member
Become a member and receive career-enhancing benefits

Our top priority is providing value to members. Your Member Services team is here to ensure you maximize your ACS member benefits, participate in College activities, and engage with your ACS colleagues. It's all here.

Become a Member
ACS
Case Reviews in Surgery

Granulomatous appendicitis: An uncommon cause of Acute Abdomen

Granulomatous appendicitis: An uncommon cause of Acute Abdomen

February 24, 2021

Abstract

Background

A patient presented with acute abdomen and underwent surgery. Acute appendicitis was suspected and an enlarged appendix was removed. Though the patient had an uneventful recovery, pathology revealed acute granulomatous appendicitis.

Summary

A female patient arrived at the emergency department and presented with abdominal pain and acute abdomen was suspected. Laboratory exams were normal, but imaging studies revealed free liquid in the abdomen. At the time of the surgery, an enlarged appendix was found, so an appendectomy was performed. After surgery, the patient fully recovered and was discharged without any complications. Pathology revealed acute granulomatous appendicitis; this type of pathology is very rare, and due to this high variability of clinical presentation, a prompt and effective treatment was needed for successful patient recovery.

Conclusion

Acute appendicitis is the most common abdominal emergency; we present a case of a suspected acute appendicitis that required surgical resection. This case was thought to be one of simple acute appendicitis; however, acute granulomatous appendicitis was discovered during the pathology exam. This discovery highlights that appendicitis, while a common condition, is caused by many etiologies, from acute forms that require appendectomy to a severe acute abdomen that requires surgical resection.

Surgeons should always be prepared to face multiple kinds of surgical presentation of the same pathology, and the intraoperative decision should always be to benefit of the patients in the reduction of morbidity and mortality.

Key Words

Granulomatous appendicitis


Case Description

Granulomatous appendicitis is an uncommon cause of acute abdomen. Its etiology can be infectious, and noninfectious. The clinical picture can present as an acute abdomen.1 It is very rare, occurring in about 0.1–2.0 percent of all appendectomy specimens;2 granulomatous appendicitis occurrence has ranged from 0.14 to 0.30 percent in Western countries, and from 1.3 to 2.3 percent in resource-poor countries3—this higher incidence in poorer countries is possibly because of the high prevalence of tuberculosis.2

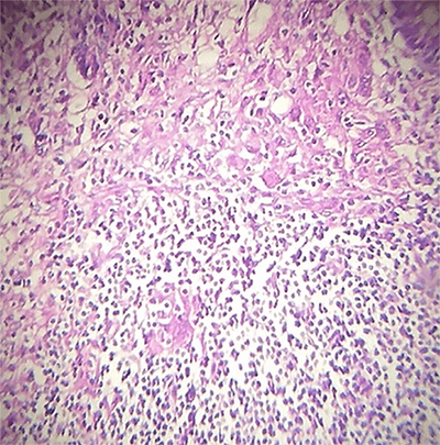
Our patient is a 33-year-old female with a past medical history of rheumatoid arthritis and hypothyroidism. She presented to the emergency department with fever and intense abdominal pain, having experienced one week of abdominal pain and asthenia. Upon presentation, she was found to be hypotensive but responded to crystalloid resuscitation. She had no leukocytosis or evidence of acute blood loss anemia. Ultrasound demonstrated free fluid in the abdomen, but the appendix couldn’t be seen. The patient was taken for diagnostic laparoscopy, where we found serous fluid in the abdominal cavity, multiple lymph nodes at the root of the mesentery, and an enlarged appendix. An appendectomy was performed, and culture of the fluid was taken. Microbiology reported a multi-sensitive E. coli. The patient was treated with six days of ampicillin and had an uneventful recovery. When seen in follow-up two weeks postoperatively, the patient was doing well and had no specific symptoms. The pathology report described a granulomatous appendicitis (Figure 1).

Figure 1. Granulomatous appendicitis, Submucosa granulomas surrounded by necrotic center around histiocytes.
Figure 1. Granulomatous appendicitis, Submucosa granulomas surrounded by necrotic center around histiocytes.

Figure 1. Granulomatous appendicitis, Submucosa granulomas surrounded by necrotic center around histiocytes.

Discussion

Acute appendicitis is the most common surgical emergency worldwide, with an incidence of 89 cases per 100,000. With an estimated lifetime risk of seven to eight percent,10 it is more frequently seen in young male patients.8 However, due to an increase in the life expectancy in recent years, more cases are seen in the elderly.9

Although a very common disease, its etiology can vary8 from, direct luminal obstruction from fecolith, lymphoid hyperplasia, or in rare cases an appendiceal or a cecal tumor.10 Appendiceal tumors are rare and commonly found incidentally on appendectomy specimens from patients who presented with acute appendicitis and ranges from 0.9 to 1.7 percent. Acute appendicitis may also be complicated by perforation and can develop an inflammatory mass in 2–10 percent of cases.12

Although acute appendicitis can present in diverse clinical presentations, the proposed treatment is usually the same, appendectomy.8 Even though there are numerous trials for antibiotic treatment for acute appendicitis, appendectomy remains the standard of care for the majority of patients with acute appendicitis. Antibiotic treatment might be used as an alternative treatment in specific patients or conditions when surgery is contraindicated.10

Diagnosis is still based on clinical judgment8, laboratory tests are used to supplement patient history and clinical examination. Currently, no inflammatory markers can identify appendicitis or granulomatous appendicitis with high specificity or sensitivity10. The surgical approach for appendicitis is variable, however, in clinical settings where surgical expertise and equipment are available, laparoscopic appendectomy appears to be advantageous.11

Granulomatous appendicitis is a rare condition that may be discovered incidentally in a patient with a clinical presentation of acute appendicitis. Occurring in about 0.1% to 2.0% of all appendectomy specimens.1

Various infectious agents (Yersinia spp., Mycobacterium tuberculosis, and Schistosoma spp.) and non-infectious factors (Crohn’s disease and sarcoidosis) have been implicated as causative factors of this condition.1 In the tropical and subtropical regions, infections are the major cause of granulomatous appendicitis, and intestinal Tuberculosis and intestinal parasitic infestations are the main causes.2

Since appendicitis is the most common surgical emergency and the diagnosis of acute appendicitis is predominantly a clinical one,5 acute appendicitis was suspected in our patient. Imaging methods do not provide specific data for granulomatous appendicitis and abdominal ultrasound can be interpreted as acute appendicitis.6 Surgical treatment is curative, however, it is advisable to follow and council patients because of the possibility of developing Crohn's disease, although this only occurs in a minority of cases (5-10%).7 Distinguishing idiopathic granulomatous appendicitis from early Crohn’s disease, which affects only the appendix, is difficult. A definitive diagnosis can only be made after long-term follow-up.4

Classic pathological analysis of granulomatous appendicitis usually reveals the presence of caseating granulomas and Langhans giant cells as it was found in our patient.3

Our patient underwent surgery and recovered well, however, pathology revealed acute granulomatosis appendicitis. There was no evidence of malignancy, parasites or foreign bodies. And since our patient was suspected of acute abdomen and didn’t have any respiratory systems chest X-rays weren’t performed, but it would have been a good initiative due to the great association between acute granulomatous appendicitis and tuberculosis.

Although Yersinia serology was not performed, it would seem an unlikely candidate as the patient had a diarrheal illness. The patient was felt to have idiopathic acute granulomatous appendicitis, which has a favorable prognosis with appendectomy being curative for the majority of cases. Long-term follow-up is required to identify Crohn’s disease.

Our case highlights the importance of close follow up after surgical procedures since the great variability of clinical presentation and surgical options for a single pathology as rare as acute granulomatous appendicitis can mimic a common one as acute appendicitis.

Conclusion

Acute appendicitis is the most common abdominal emergency, we present a case, of a suspected acute appendicitis that required surgical resection. It was thought to be a case of simple acute appendicitis however on the pathology exam acute granulomatous appendicitis was discovered, this highlights, that appendicitis even though common is caused by many etiologies, from acute forms that require appendectomy to a severe acute abdomen that requires surgical resection.

Surgeons should always be prepared to face multiple kinds of surgical presentation of the same pathology and the intraoperative decision should always be in the benefit of the patients to reduce the morbidity and mortality.

Lessons Learned

Intraoperative decision making and close follow up after surgical procedures are critical, surgeons always have to be aware of different forms of presentation of various pathologies even the ones that we are not used to seeing on daily basis.

Authors

Gabriel A. Molina, MD
Resident at a General Surgery Fellowship Program at PUCE Quito Ecuador; Member (Resident) of the American College of Surgeons; Resident Member of the IHPBA and the AHPBA

William G. Aguayo, MD, FACS
Attending Surgeon at Hospital: Un Canto a La Vida, Padre Carollo, Quito-Ecuador; Associate Professor at General Surgery Fellowship Program at PUCE Quito-Ecuador; International Fellow at the American College of Surgeons

Gustavo A. León MD
Attending Surgeon at Hospital: Un Canto A La Vida, Padre Carollo, Quito-Ecuador

Correspondence Author

Gabriel Molina, MD
Currently in Y3 General Surgery Fellowship Program at PUCE Quito Ecuador
Department of General Surgery
Hospital: Un Canto A La Vida, Padre Carollo, Quito-Ecuador
San Juan de Cumbaya S6-119
593-998352532
gabomolina32@gmail.com

Disclosure Statement

The authors have no conflicts to disclose.

References

  1. López-Ramos CS, et al. Granulomatous appendicitis as an uncommon cause of abdominal pain: description of a case. Rev Esp Eenferm Dig. 2015;107(11):704-705.
  2. Yilmaz M, Akbulut S, Kutluturk K, et al. Unusual histopathological findings in appendectomy specimens from patients with suspected acute appendicitis. World J Gastroenterol. 2013 Jul 7;19(25):4015-22.
  3. AbdullGaffar B. Granulomatous Diseases and Granulomas of the Appendix. Int J Surg Pathol. 2010 Feb;18(1):14-20.
  4. Limaiem F, Arfa N, et al, Unexpected Histopathological Findings in Appendectomy Specimens: a Retrospective Study of 1627 Cases, Indian J Surg. 2015 Dec;77(Suppl 3):1285-90.
  5. Humes DJ, Simpson J. Acute appendicitis. Br Med J. 2006;333(7567):530-534.
  6. Tsunekazu Mizushima. Idiopathic Granulomatous Appendicitis Treated Surgically with Long-Term Follow-Up: Report of a Case. Surg Today. 2007(37):690–693.
  7. Bianchi A, Hidalgo LA, Fantova MJ, et al. Enfermedad granulomatosa del apéndice cecal. Significación clínica. Med Clin (Barc) 2004;122:796-9.
  8. Ceresoli M, Zucchi A, Allievi N, et al. Acute appendicitis: Epidemiology, treatment and outcomes- analysis of 16544 consecutive cases. World J Gastrointest Surg. 2016;8(10):693-699. doi:10.4240/wjgs.v8.i10.693.
  9. Zbierska, K., Kenig, J., Lasek, A., et al. Differences in the Clinical Course of Acute Appendicitis in the Elderly in Comparison to Younger Population. Pol Przegl Chir. 2016;88(3):142-146.
  10. Wilms IM, de Hoog DE, de Visser DC, Janzing HM. Appendectomy versus antibiotic treatment for acute appendicitis. Cochrane Database Syst Rev 2011;(11)CD008359.
  11. Sauerland S, Jaschinski T, Neugebauer EAM. Laparoscopic versus open surgery for suspected appendicitis. Cochrane Database Syst Rev 2010;(10)CD001546.
  12. Martin M, Lubrano J, Azizi A, et al. Inflammatory appendix mass in patients with acute appendicitis: CT diagnosis and clinical relevance. Emerg Radiol. 2015 Feb;22(1):7-12.