Unsupported Browser
The American College of Surgeons website is not compatible with Internet Explorer 11, IE 11. For the best experience please update your browser.
Menu
Become a member and receive career-enhancing benefits

Our top priority is providing value to members. Your Member Services team is here to ensure you maximize your ACS member benefits, participate in College activities, and engage with your ACS colleagues. It's all here.

Become a Member
Become a member and receive career-enhancing benefits

Our top priority is providing value to members. Your Member Services team is here to ensure you maximize your ACS member benefits, participate in College activities, and engage with your ACS colleagues. It's all here.

Become a Member
ACS
Case Reviews in Surgery

Gastric Volvulus after Laparoscopic Distal Pancreatectomy and Splenectomy: A Case Report of a Rare Post-Operative Complication

Gastric Volvulus after Laparoscopic Distal Pancreatectomy and Splenectomy: A Case Report of a Rare Post-Operative Complication

March 1, 2021

Abstract

Background

In this report, we share the previously unreported complication of gastric volvulus after laparoscopic distal pancreatectomy and splenectomy unprovoked by an operative drain or a diaphragmatic abnormality.

Summary

This patient presented with a rare postoperative complication. Thirteen days after a laparoscopic distal pancreatectomy and splenectomy, the patient presented with obstructive symptoms and was found to have an organoaxial gastric volvulus. The patient was taken to the operating room for a laparoscopic lysis of adhesions and gastropexy. In this patient’s case, there was no precipitating diaphragmatic defect or potential rotation axis around an operative drain.

Conclusion

This report serves to raise awareness of this rare but potentially fatal complication. We also discuss the current state of knowledge about gastric volvulus, its diagnosis, and its management.

Key Words

Stomach volvulus, pancreatectomy, splenectomy, laparoscopy


Case Description

Postoperative gastric volvulus is a rare but potentially fatal complication that requires early recognition and intervention. It has been reported after select surgeries, including splenectomy, cholecystectomy, gastrectomy, exploratory laparotomy, perforated ulcer repair, enterectomy, congenital diaphragmatic hernia repair, diaphragmatic evisceration, and hiatal hernia repair1 as well as after laparoscopic distal pancreatectomy and splenectomy (DPS), specifically secondary to an operative drain2 or diaphragmatic defect.3 Therefore, we present this case of acute gastric volvulus after laparoscopic DPS, in the absence of an operative drain or diaphragmatic defect, to raise the index of suspicion for this rare and potentially fatal complication.

A 57-year old female was evaluated for an incidental, asymptomatic pancreatic tail mass (2.1 x 2.0 cm). Initial tissue pathology was consistent with neuroendocrine tumor (NET). Her past medical history included diabetes mellitus type II, but no gastroparesis, and her only prior surgery was a tubal ligation.

The patient underwent a laparoscopic DPS. In particular, all of the short gastric vessels were ligated to completely mobilize the fundus, the pancreas was transected with an Endo GIA 60 mm Tri-Staple (4 mm, 4.5 mm, 5 mm; Medtronic) at the mid-body, 2 cm proximal to the palpable tumor, and a 19 French Jackson-Pratt drain (Bard Medical) was placed near the remnant of the pancreas. The patient’s recovery was uncomplicated and the surgical drain was removed uneventfully six days after surgery. The patient was discharged home the next day, after passing flatus and tolerating a diet. Pathology showed a well differentiated NET (Grade 1) confined to the tail of the pancreas, with negative surgical margins and no extra-pancreatic extension.

The patient presented to the surgical oncology clinic 13 days after surgery for a routine appointment with the following symptoms: epigastric/left abdominal pain relieved by bowel movements, early satiety, nausea, and a few episodes of nonbilious emesis. The patient was afebrile, hemodynamically stable, looked fatigued, and had left upper quadrant tenderness on palpation. Her abdomen was soft, nondistended, and her exam was not peritoneal.

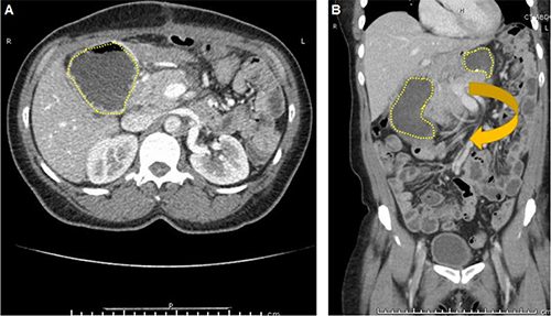
A contrast-enhanced computed tomography (CT) scan showed that the stomach was coursing along the right side of the abdomen (Figure 1A) and was obstructed (Figure 1B) up to the junction with the duodenum. This was concerning for an organoaxial gastric volvulus.

Figure 1. A CT scan of the patient on the day of her presentation to a routine clinic appointment, 13 days after her laparoscopic DPS. A: On transverse sections of the CT scan, the stomach is seen to be abnormally present on the right side of the abdomen (yellow-dashed line). B: On coronal sections of the CT scan, the stomach is imaged with both the cranial portion visible to the left of midline and the caudal portion visible to the right of the midline (both outlined in yellow dashes) with an arrow denoting the direction of volvulus.
Figure 1. A CT scan of the patient on the day of her presentation to a routine clinic appointment, 13 days after her laparoscopic DPS. A: On transverse sections of the CT scan, the stomach is seen to be abnormally present on the right side of the abdomen (yellow-dashed line). B: On coronal sections of the CT scan, the stomach is imaged with both the cranial portion visible to the left of midline and the caudal portion visible to the right of the midline (both outlined in yellow dashes) with an arrow denoting the direction of volvulus.


Figure 1. A CT scan of the patient on the day of her presentation to a routine clinic appointment, 13 days after her laparoscopic DPS. A: On transverse sections of the CT scan, the stomach is seen to be abnormally present on the right side of the abdomen (yellow-dashed line). B: On coronal sections of the CT scan, the stomach is imaged with both the cranial portion visible to the left of midline and the caudal portion visible to the right of the midline (both outlined in yellow dashes) with an arrow denoting the direction of volvulus.

The patient underwent an emergent diagnostic laparoscopy. A nasogastric tube (NGT) was inserted, with 400 milliliters of immediate nonbilious output. A 12 mm port was placed supra-umbilically and two 5 mm ports were placed in the left and right upper quadrants, in the mid-clavicular lines. There were multiple adhesions between the small bowel and the abdominal wall to the left of a rotated stomach (Figure 2A). After adhesiolysis, an organoaxial volvulus was identified, with a floppy fundus and the greater curvature of the stomach rotated towards the right of the abdomen, tucked inferior to a large left lateral liver, resulting in gastric outlet obstruction at the antrum. Additional adhesiolysis allowed the stomach to revert to its eutopic position (Figure 2B). All abdominal viscera were viable. A gastropexy was secured to the left upper quadrant abdominal wall using interrupted 2-0 silk sutures.

Figure 2. Intraoperative images of the second surgery after diagnosis of gastric volvulus
Figure 2. Intraoperative images of the second surgery after diagnosis of gastric volvulus

Intraoperative images of the second surgery after diagnosis of gastric volvulus; both images are acquired laparoscopically from a left mid clavicular port. A: Initial view on entering the abdomen with adhesions to the anterior abdominal wall (denoted by blue arrow) and the back wall of the stomach (yellow dashed line) visible in its abnormal position due to volvulus. There are also adhesions of the small bowel mesentery noted to the left abdominal wall (outlined in red). The liver is visible (labeled in green). B: View from the left mid clavicular port, after lysis of adhesions, with the stomach now displayed in its normal anatomic position (yellow arrow at the greater curvature of the stomach). For reference, the liver is visible (labeled in green).

Figure 2. Intraoperative images of the second surgery after diagnosis of gastric volvulus; both images are acquired laparoscopically from a left mid clavicular port. A: Initial view on entering the abdomen with adhesions to the anterior abdominal wall (denoted by blue arrow) and the back wall of the stomach (yellow dashed line) visible in its abnormal position due to volvulus. There are also adhesions of the small bowel mesentery noted to the left abdominal wall (outlined in red). The liver is visible (labeled in green). B: View from the left mid clavicular port, after lysis of adhesions, with the stomach now displayed in its normal anatomic position (yellow arrow at the greater curvature of the stomach). For reference, the liver is visible (labeled in green).

The patient recovered well: the NGT was removed on the second postoperative day, diet resumed, and the patient was discharged home two days thereafter. Six months later, the patient has occasional left upper quadrant pain provoked by coughing, perhaps related to the gastropexy, but is otherwise well.

Discussion

Gastric volvulus is a rare diagnosis, initially described in 1579 by Ambrose Paré.4 It is characterized by the rotation of the stomach more than 180°, most commonly in a mesenteroaxial or organoaxial fashion.4 It is a life-threatening condition requiring prompt intervention, as mortality can be as high as 30-50 percent5 and is associated with a risk of developing ischemic injury and organ perforation.

The classic symptoms of gastric volvulus were initially described by Borchardt in 1904: severe epigastric pain, retching without vomiting, and difficulty in passing an NGT.4 Symptoms may range from vague abdominal pain, hiccups, dysphagia, chest discomfort, and bloating in chronic volvulus to a sudden onset of severe epigastric pain, severe retching, chest pain, and vomiting in acute cases.4-6 Hematemesis may occur secondary to mucosal tears due to persistent retching or mucosal ischemic injury.5,7 Rarely, volvulus can present with cardio-respiratory compromise.8-10 There is no pathognomonic finding on physical examination, although abdominal distention and epigastric tenderness have been reported in multiple cases.7

Gastric volvulus can be difficult to diagnose. Upright chest radiography can demonstrate the presence of intrathoracic viscus with air fluid levels in cases associated with a diaphragmatic defect; however, a CT scan may provide more anatomical details and expedite a definitive diagnosis.11

The first steps in managing gastric volvulus is to resuscitate with intravenous fluid, correct electrolyte imbalances, and consider placing an NGT for gastric decompression.1 Once identified, especially if acute volvulus, early surgical intervention is recommended, due to the risk of high mortality.5 The goals of surgery are to restore normal anatomy, address any complications, such as gastric perforation, and prevent recurrence of the volvulus.8,12

In 1968, Tanner highlighted the importance of gastropexy in management of gastric volvulus, whether it is achieved by simple gastropexy, Tanner operation (gastropexy with division of the gastrocolic ligament), gastrectomy (if needed), or Opolzer’s operation (fundo-antral gastrogastrostomy).12 There is no rigorous evidence on the role of gastrostomy in gastric volvulus, if not otherwise indicated for feeding access or a drainage route; and some anecdotal reports implicate the gastrostomy tube itself as the cause of volvulus.10,13 In addition, surgery may entail a lysis of adhesions, a repair of any diaphragmatic defect, and an anti-reflux procedure.14-15

There have been only two previously reported cases of gastric volvulus after DPS.2-3The first patient developed gastric volvulus around a surgical drain a few days after a DPS.2The second patient presented with an intrathoracic, acutely incarcerated organoaxial gastric volvulus related to a diaphragmatic hernia.3

Conclusion

This is the first case of organoaxial gastric volvulus resulting from a DPS, without involvement of an operative drain or a diaphragmatic defect. While disruption of the gastrosplenic ligament secondary to the splenectomy may have been related to the volvulus, this patient also had a unique and unfortunate coincidence of a redundant fundus, a large left lateral liver, and postoperative adhesions, all contributing to the volvulus. The patient presented with nausea, vomiting, vague abdominal pain, and tenderness after her DPS. Her presentation prompted a differential diagnosis of a gastric outlet obstruction, hematoma, fistula formation, or a leak. A diagnostic CT scan was concerning for gastric volvulus, and the patient was taken in a rapid fashion to the operating room. We laparoscopically restored the stomach to its eutopic position and secured it with a gastropexy.

Lessons Learned

We report this case to highlight the importance of considering gastric volvulus in patients who underwent DPS presenting postoperatively with obstructive symptoms, and we urge early diagnostic imaging studies, followed by surgery, if indicated, to preserve the organ.

Authors

Alkukhun Aa*, Grisotti Ga*, Cha CHb, Salem RRb, Khan SAb

* These individuals contributed equally to this manuscript and have shared co-first authorship.

Correspondence Author

Sajid A. Khan, MD, FACS
Yale University School of Medicine
Department of Surgery, Section of Surgical Oncology
310 Cedar Street, FMB 130
New Haven, CT 06520
203-337-8507
Sajid.Khan@Yale.edu

Author Affiliations

  1. Yale University School of Medicine, Department of Surgery, New Haven, CT
  2. Yale University School of Medicine, Department of Surgery, Section of Surgical Oncology, New Haven, CT

References

  1. Jacob CE, Lopasso FP, Zilberstein B, et al. Gastric volvulus: A review of 38 cases. ABCD. 2009; 22(2): 96-100.
  2. Ndzengue A, Bann S. An unusual cause of postoperative gastric volvulus. Surg Laparosc Endosc Percutan Tech. 2008; 18(1): 77-9.
  3. Testini M, Vacca A, Lissidini G, Di Venere B, Gurrado A, Loizzi M. Acute intrathoracic gastric volvulus from a diaphragmatic hernia after left splenopancreatectomy: Report of a case. Surg Today. 2006; 36(11): 981-4.
  4. Carter R, Brewer LA, Hinshaw DB. Acute gastric volvulus: A study of 25 cases. Am J Surg. 1980;140(1): 99-106.
  5. Rashid F, Thangarajah T, Mulvey D, Larvin M, Iftikhar SY. A review article on gastric volvulus: A challenge to diagnosis and management. Int J Surg. 2010;8(1): 18-24.
  6. Godshall D, Mossallam U, Rosenbaum R. Gastric volvulus: case report and review of the literature. J Emerg Med. 1999; 17(5): 837-840.
  7. Altonbary AY, Bahgat MH. Acute mesenteroaxial gastric volvulus: A rare cause of haematemesis. Arab J Gastroenterol. 2016; 17(1): 53-55.
  8. Sleiwah A, Thomas G, Crawford I, Stanek A. Gastric volvulus: a potentially fatal cause of acute abdominal pain. BMJ Case Rep. 2017. DOI: 10.1136/bcr-2016-217708
  9. Chau B, Dufel S. Gastric volvulus. Emerg Med J. 2007; 24(6): 446-7.
  10. Katkhouda N, Mavor E, Achanta K, et al. Laparoscopic repair of chronic intrathoracic gastric volvulus. Surgery. 2000; 128(5): 784-790
  11. Shivanand G, Seema S, Srivastava DN, et al. Gastric volvulus: Acute and chronic presentation. Clin Imaging. 2003; 27(4): 265-268.
  12. Tanner NC. Chronic and recurrent volvulus of the stomach with late results of "colonic displacement". Am J Surg. 1968; 115(4): 505-15.
  13. Yates RB, Hinojosa MW, Wright AS, Pellegrini CA, Oelschlager BK. Laparoscopic gastropexy relieves symptoms of obstructed gastric volvulus in high operative risk patients. Am J Surg. 2015; 209(5): 875-880.
  14. Teague WJ, Ackroyd R, Watson DI, Devitt PG. Changing patterns in the management of gastric volvulus over 14 years. Br J Surg. 2000; 87(3): 358-61.
  15. Machado NO, Rao BA. Gastric volvulus with identifiable cause in adults. Presentation and management. Saudi Med J. 2004; 25(12): 2032-4.