Unsupported Browser
The American College of Surgeons website is not compatible with Internet Explorer 11, IE 11. For the best experience please update your browser.
Menu
Become a member and receive career-enhancing benefits

Our top priority is providing value to members. Your Member Services team is here to ensure you maximize your ACS member benefits, participate in College activities, and engage with your ACS colleagues. It's all here.

Become a Member
Become a member and receive career-enhancing benefits

Our top priority is providing value to members. Your Member Services team is here to ensure you maximize your ACS member benefits, participate in College activities, and engage with your ACS colleagues. It's all here.

Become a Member
ACS
Case Reviews in Surgery

Sepsis from Radial Artery Mycotic Aneurysm as a Complication of Cardiac Catheterization

Sepsis from Radial Artery Mycotic Aneurysm as a Complication of Cardiac Catheterization

March 1, 2021

Abstract

Background

True mycotic aneurysms are rare and difficult to treat.

Summary

A 67-year-old male underwent left heart catheterization for non-ST elevated myocardial infarction (NSTEMI) utilizing left radial artery access. The patient presented on post-procedure day seven with sepsis due to methicillin-sensitive Staphylococcus aureus bacteremia. The source was a severe soft tissue infection of the left forearm, with associated true mycotic aneurysm of the left radial artery. Surgical intervention included forearm debridement with aneurysm resection. The patient was treated with wet-to-dry dressing changes and delayed primary closure two weeks later. He received cephalexin for six weeks. At six-month follow-up, he had completely recovered without sequelae.

Conclusion

As percutaneous coronary intervention via the radial artery becomes more common, so will related complications. Mycotic aneurysm should be part of the differential diagnosis when confronted with worsening access site inflammation that does not respond to empiric treatment of sterile inflammation. Timely surgical intervention and antibiotic treatment contributed to quick resolution in this case.


Case Description

Cardiac catheterization is trending toward radial artery access due to the decreased risk of major vascular complications.1 While femoral artery access still remains the most common site, it’s plagued with bleeding complications such as pseudoaneurysm and retroperitoneal hemorrhage, which radial access avoids. Radial access is also preferred because it allows immediate patient ambulation, decreased overall complications, and reduced cost.2,3

Although surgical intervention for aneurysmal disease is commonplace, mycotic aneurysms remain rare and difficult to treat. They are most commonly found in the abdominal aorta and cerebral arteries.4 With the increased prevalence of radial artery access, health care providers will be treating radial artery complications more frequently in the future. We present our first case of true radial artery mycotic aneurysm resulting in sepsis after percutaneous coronary intervention.

Written informed consent was obtained from the patient for publication of this case report and accompanying images. A copy of the written consent is available for review by the editor in chief of this journal.

A 67-year-old male presented to the emergency department with a non-ST elevated myocardial infarction (NSTEMI) and was taken to the cardiac catheterization lab. After preparing the wrist with chlorhexidine, percutaneous left radial artery access was achieved utilizing a 6 French Terumo Glidesheath (Terumo Medical Corporation, Somerset, NJ). Left heart catheterization with intervention to the circumflex was performed uneventfully. Upon conclusion, perfused hemostasis was obtained with a transradial (TR) wristband. There were no immediate complications and the patient was discharged on aspirin and clopidogrel.

The patient re-presented on postprocedure day seventeen with unstable angina and underwent a second cardiac catheterization. The same wrist was again scrubbed with chlorhexidine and the left radial artery was accessed 3 cm proximal to the original access site with a 6 French Terumo Glidesheath. The left anterior descending artery was stented. Perfused hemostasis was again obtained with a TR wristband. There were no postprocedural complications and the patient was discharged home.

Seven days following the second procedure, the patient’s forearm appeared edematous and erythematous (Figure 1).

Figure 1. Patient’s forearm upon initial presentation. Note the tense edema and erythema of the patient’s left forearm compared to the right forearm.

The patient was treated for sterile inflammation with ice and nonsteroidal anti-inflammatory analgesia. Two days later, his pain worsened and he presented to his primary care doctor. He was admitted to an outlying hospital where blood cultures revealed Staphylococcus aureus bacteremia. An arterial duplex showed a fusiform true aneurysm of the radial artery measuring a maximal diameter of 1.4 cm and a length of 1.5 cm (Figure 2 and 3). There was thickening of the aneurysm wall with no evidence of pseudoaneurysm or soft tissue abscess.

Figure 2. Sagittal plane ultrasound depicting radial artery fusiform aneurysm.

Figure 3. Axial plane ultrasound depicting radial artery fusiform aneurysm.

The patient was transferred to our regional hospital with severe sepsis and bacteremia. The source was identified as a severe soft tissue infection of the left forearm and associated mycotic aneurysm of the radial artery. On physical exam he was neurologically intact with palpable ulnar and radial pulses and excellent perfusion of the hand with modified Allen test. The forearm was red, warm, tensely swollen and exquisitely tender to palpation. The patient was taken to surgery urgently for forearm exploration and debridement. The operation commenced with 4 French left brachial artery access for intraoperative angiography. Imaging revealed a radial artery aneurysm, dominant ulnar artery, and complete superficial and deep palmar arches with normal digital arteries (Figure 4).


Figure 4. Intraoperative angiogram showing radial artery mycotic aneurysm. This is a true aneurysm as opposed to a more commonly seen pseudoaneurysm.

Sharp excisional debridement was performed on the forearm. The infection tracked along the adventitia of the radial artery. The radial artery was resected (Figure 5), and the proximal and distal stumps were oversewn with Prolene.

Figure 5. Resected radial artery mycotic aneurysm. The specimen has been bisected to show the lumen of the aneurysm.

Completion angiography confirmed adequate resection and excellent flow through the ulnar artery, with filling of palmar arches and digital vessels. The forearm wound was packed open with saline moistened gauze. Bacterial cultures revealed methicillin-sensitive Staphylococcus aureus (MSSA), thus treatment with a continuous nafcillin infusion was initiated. Postoperatively, the patient was continued on nafcillin and underwent twice a day wet-to-dry dressing changes.

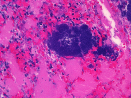
Pathology of the excised aneurysm showed a markedly dilated vessel evident of a true aneurysm, with fibrinoid necrosis and acute inflammation of the vessel wall (Figure 6). Clusters of coccus-shaped bacteria were present in the arterial wall (Figure 7).

Figure 6. Histopathology of the radial artery aneurysm. Notice the full-thickness inflammation of the arterial wall.

Figure 7. Histopathology of the radial artery aneurysm, indicating a cluster of coccus shaped bacteria.

Four days postoperatively, the patient’s vitals had normalized and white blood count had normalized to 6,300 cells/μL. The nafcillin infusion was replaced with oral cephalexin for six weeks following discharge. Final debridement and delayed primary closure occurred on postoperative day twelve. At one month postclosure, the patient’s wound had completely healed. At six-month follow-up, he had completely recovered without long-term sequelae.

Discussion

This case is particularly unique in that it is represents the first report of a true mycotic aneurysm as a complication of percutaneous cardiac catheterization utilizing radial artery access. The diagnosis of true aneurysm is evident in this case, as there was marked dilation of the arterial wall including all three layers (adventitia, media, and intima) without evidence of homogenous dissection of the arterial wall. Additionally, evidence of bacteria in the aneurysmal arterial wall and surrounding tissue define it as a mycotic aneurysm. Although the etymology of mycotic aneurysms refer to that of fungi, and more specifically fungating vegetations associated with bacterial endocarditis as noted by Dr. William Osler in 1885, it has become common place to use the term mycotic to describe aneurysms stemming from other bacterial sources as well.5

Mycotic aneurysms of the upper extremities are rare (only 10% of all cases). Arterial trauma from intravenous (IV) drug abuse and interventional procedures are the most common causes of mycotic aneurysm in the upper extremities, with the brachial artery being by far the most common site.4 Our patient’s radial artery injury was obviously caused by the catheterization process as he was not an IV drug abuser. Our patient responded appropriately to therapy and his source of sepsis was clear; therefore, further work-up, such as a transesophageal echocardiogram, was not indicated.

The key to diagnosis in this case was the patient’s systemic toxicity and high fever which distinguish it from commonly seen sterile inflammation. Sterile inflammation is a consequence of damage associated molecular pattern molecules (DAMPs) responding to chemical, physical, or metabolic stimuli in the absence of responsible microorganisms.6 It is a common finding in percutaneous coronary intervention and occurs in 1–2 percent of cases where hydrophilic-coated sheaths are used. Akin to a foreign body reaction, it is usually treated with anti-inflammatory measures.7 Cultures from these patients are negative and antibiotics are not indicated. Patients suffering from sterile inflammation generally present two to three weeks post procedure and without intervention the inflammation will resolve over several months.7

Timely surgical debridement with wound management and IV antibiotics was imperative in this case; however, it was important to define the arterial anatomy prior to debridement and aneurysm resection. Had the palmar arch been incomplete, consideration would have been given for autogenous vein bypass grafting for hand revascularization. Given the results of the modified Allen’s test and subsequent arteriography, we were confident that resection of the radial artery would not lead to hand necrosis.

Conclusion

Although this is the first true mycotic aneurysm of the radial artery we have seen, it will likely become more common due to the steadily increasing number of cardiac catheterizations utilizing radial artery access. Despite meticulous sterile techniques and chlorhexidine skin preparation, these complications still occur. Mycotic aneurysm should be part of the differential diagnosis when confronted with progressively worsening access site inflammation and pain that does not respond to empiric treatment of sterile inflammation.

Lessons Learned

True mycotic aneurysm may appear similar to common sterile inflammation following radial artery access procedures. Although this is the first reported case, we expect radial artery mycotic aneurysm to become more frequent as radial access becomes commonplace. Timely surgical intervention and antibiotic treatment contributed to quick resolution in this case.

Authors

Adams Va, Vernon Sb, Battin Db, Hughes TGa

Correspondence Author

Seth A. Vernon, MD
Mowery Clinic
737 East Crawford Street
Salina, KS 67401
785-827-7261
svernon@moweryclinic.com

Author Affiliations

  1. University of Kansas School of Medicine—Salina
    400 South Santa Fe Avenue
    Salina, KS 67401
  2. Mowery Clinic
    737 East Crawford Street
    Salina, KS 67401

References

  1. Jolly SS, Yusuf S, Cairns J, et al. Radial versus femoral access for coronary angiography and intervention in patients with acute coronary syndromes (RIVAL): a randomised, parallel group, multicentre trial. The Lancet. 2011;377(9775):1409-20. DOI: 10.1016/S0140-6736(11)60404-2
  2. Amin AP, House JA, Safley DM, et al. Costs of transradial percutaneous coronary intervention. JACC Cardiovasc Interv. 2013;6:827-834. DOI: 10.1016/j.jcin.2013.04.014
  3. Cooper CJ, El-Shiekh RA, Cohen DJ, et al. Effect of transradial access on quality of life and cost of cardiac catheterization: A randomized comparison. Am Heart J. 1999 Sep;138(3 Pt 1):430-6. PMID: 10467191
  4. Leon LR, Psalms SB, Labropoulos N, Mills JL. Infected upper extremity aneurysms: a review. Eur J Vasc Endovasc Surg. 2008 Mar;35(3):320-31. DOI: 10.1016/j.ejvs.2007.10.014
  5. Osler W. The Gulstonian Lectures, on Malignant Endocarditis. Br Med J. 1885;1(1262):467-470. PMID: 20751186
  6. Chen GY, Nuñez G. Sterile inflammation: sensing and reacting to damage. Nat Rev Immunol. 2010;10(12):826-837. DOI: 10.1038/nri2873
  7. Kozak M, Adams DR, Ioffreda MD, et al. Sterile inflammation associated with transradial catheterization and hydrophilic sheaths. Catheter Cardiovasc Interv. 2003;59(2):207-13. DOI: 10.1002/ccd.10522