Unsupported Browser
The American College of Surgeons website is not compatible with Internet Explorer 11, IE 11. For the best experience please update your browser.
Menu
Become a member and receive career-enhancing benefits

Our top priority is providing value to members. Your Member Services team is here to ensure you maximize your ACS member benefits, participate in College activities, and engage with your ACS colleagues. It's all here.

Become a Member
Become a member and receive career-enhancing benefits

Our top priority is providing value to members. Your Member Services team is here to ensure you maximize your ACS member benefits, participate in College activities, and engage with your ACS colleagues. It's all here.

Become a Member
ACS
Case Reviews in Surgery

Severe Intra-Abdominal Hemorrhage Secondary to Spontaneous Gallbladder Rupture in Patients with Advanced Liver Disease: Presentation of Two Cases and Literature Review

Severe Intra-Abdominal Hemorrhage Secondary to Spontaneous Gallbladder Rupture in Patients with Advanced Liver Disease: Presentation of Two Cases and Literature Review

March 1, 2021

Abstract

Background

Despite only occurring in rare circumstances in patients with advanced liver disease, intra-abdominal hemorrhage resulting from spontaneous rupture of the gallbladder wall or disruption of cholecystic varices can be a life-threatening complication, with a reported mortality of 100% on prior case reports.

Summary

Two male patients with Child-Turcotte-Pugh (CTP) class C cirrhosis and Model for End-Stage Liver Disease (MELD) ≥40 were hospitalized for complications of their liver disease. During their hospitalization, they developed sudden hemodynamic instability from spontaneous rupture of the gallbladder, leading to massive intra-abdominal bleeding. In one case, sudden hemodynamic collapse led to the patient’s death, while the other patient underwent successful cholecystectomy with subsequent liver transplantation. A literature search of the PubMed (MEDLINE) database was performed to look at all articles involving patients with advanced cirrhosis, portal hypertension, spontaneous gallbladder rupture, presence of gallbladder varices, and hemoperitoneum. Four prior reports were found in the literature, all of which had patient death as the ultimate outcome.

Conclusion

We present, to our knowledge, the first report of a cirrhotic patient with spontaneous gallbladder rupture leading to massive intra-abdominal bleeding who underwent urgent cholecystectomy followed by liver transplantation, resulting in a successful outcome. In patients with similar presentations, careful consideration should be given to this diagnosis and surgical intervention performed prior to prohibitive hemodynamic instability.

Key Words

Gallbladder varices, gallbladder rupture, hemoperitoneum, cirrhosis, end-stage liver disease


Case Description

Introduction

Outcomes following nonhepatic surgery in patients with advanced liver disease can vary significantly depending upon the specific type of intervention and the degree of hepatic impairment. There have been four previously reported cases of spontaneous gallbladder perforation in cirrhotic patients with portal hypertension leading to massive intraabdominal hemorrhage, all of which resulted in patient death.1-4 We present two cases of patients who developed substantial hemoperitoneum secondary to spontaneous gallbladder wall rupture, including the first report of a patient who survived.

Case 1

A 40-year-old male with Child-Turcotte-Pugh (CTP) class C alcoholic cirrhosis and Model for End-Stage Liver Disease (MELD) score of 43 was admitted to the intensive care unit (ICU). His liver disease was complicated by hepatic encephalopathy, esophageal variceal hemorrhage, hepatorenal syndrome requiring continuous renal replacement therapy, mild hypotension supported by low-dose phenylephrine, and refractory ascites. A computerized tomography (CT) scan of the abdomen and pelvis revealed a cirrhotic liver with portal hypertension evidenced by splenomegaly and extensive splenic collateralization, patent portal veins, and mild gallbladder wall edema. The patient had anemia from the time of admission requiring intermittent blood transfusions. On the fourth day of hospitalization, the patient experienced a rapid decrease in hemoglobin level from 9.4 to 7.3 g/dL, with subsequent hemodynamic instability. Despite transfusion of 8 units of packed red blood cells, his rapid hemodynamic decline precluded any diagnostic or therapeutic procedures, and he expired in the ICU. His autopsy demonstrated 7.5 liters of sanguineous ascites, a ruptured gallbladder wall with intraluminal blood, and a pericholecystic hematoma, indicating the gallbladder was the source of intra-abdominal hemorrhage.

Case 2

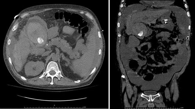
A 52-year-old male with CTP class C cirrhosis and MELD score of 40 secondary to hepatitis C virus and alcohol abuse was admitted to the hospital for hepatic encephalopathy. Additional complications of his liver disease included hydrothorax, refractory ascites, portal hypertension, and severe coagulopathy. He was admitted to the intensive care unit for management of fluid overload, pulmonary hypertension, and urgent evaluation for potential liver transplantation. Eight days following admission, the patient experienced rapid-onset abdominal pain, and the hemoglobin level abruptly decreased from 9.1 g/dL to 5.1 g/dL. A CT scan of the abdomen revealed distension of the gallbladder with intraluminal blood, as well as hemorrhage surrounding the gallbladder, sub-hepatic space, stomach, and right paracolic gutter (Figure 1). Profound hemodynamic instability ensued, leading to the decision to perform an operative exploration for presumed perforation of the gallbladder with bleeding from the wall or from adjacent varices.

Figure 1. CT of abdomen and pelvis demonstrating gallbladder distension, cholelithiasis, and intraluminal hemorrhage; blood present surrounding gallbladder, liver, stomach, and right paracolic gutter

Surgical findings included several liters of bloody ascites, intra-abdominal hematoma, and a ruptured gallbladder with free spillage of bile and a large gallstone into the abdominal cavity (Figure 2).

Figure 2. Gallbladder specimen containing a 3 x 1.5 cm perforation and gallstone recovered from the peritoneal cavity

Attempts at hemostasis during the operation were made difficult by persistent intraluminal bleeding. The patient was transfused with 9 units of packed red blood cells, 5 units of fresh frozen plasma, 2 units of platelets, and 4 units of cryoprecipitate intraoperatively. After achieving adequate hemostasis, a cholecystectomy was completed, and the patient was returned to the ICU. Pathology revealed a ruptured gallbladder wall with a 3 x 1.5 cm defect containing rough edges, average gallbladder wall of 0.3 cm in thickness, and evidence of chronic cholecystitis with focal areas of transmural hemorrhage (see Figure 2).

Four days following the cholecystectomy, a deceased-donor liver transplant was performed. During the operation, there were two episodes of hemodynamic instability requiring cardiac compressions; however, the patient was appropriately resuscitated allowing completion of the liver transplant. In the initial postoperative period, he experienced improvement of his pulmonary hypertension and eventual full recovery of renal function. The patient was discharged after one month of hospitalization, and he continues to do well one year following his liver transplant.

Discussion

The progressive development of portosystemic collaterals is a well-known deleterious event in the natural course of hepatic cirrhosis with resulting portal hypertension. Rarely, ectopic varices can arise in unusual places, such as the gallbladder and common bile duct, most often in the setting of extrahepatic portal vein thrombosis.1 Gallbladder varices may be located within or around the gallbladder wall, as well as in the pericholecystic bed, with a reported incidence of 12%–30% when portal hypertension is present.3 In rare circumstances, these varices can lead to hemodynamically significant blood loss when spontaneous rupture or avulsion of the gallbladder occurs, with bleeding from the liver bed or from the varices themselves.5

There have been four previously reported cases in the literature of spontaneous hemoperitoneum from gallbladder variceal bleeding in the setting of advanced cirrhosis,1-4 with a reported mortality of 100%. Of these, one did not have gallbladder wall varices, but pericholecystic bed varices were present, and none of them had portal vein thrombosis. Two of these patients expired without surgical intervention, while the other two who underwent laparotomy expired in the early postoperative period. In the patients where pathologic or postmortem examinations were performed, comparable findings of ruptured gallbladder with resulting variceal bleeding were present. The two patients from our institution had similar presentations as prior reports and neither had portal vein thrombosis. In the first case, the rapid deterioration and instability that ensued prevented further diagnostic studies that could have allowed for adequate localization of the bleeding source and for an accurate and timely diagnosis. A potential reason for the successful outcome on the second case includes the period of several hours between the initial presentation and the development of profound hemodynamic instability. In addition, the diagnosis was made preoperatively, allowing a focused surgical approach. Despite profound coagulopathy, the intraoperative hemorrhage was isolated to the pericholecystic bed, and cholecystectomy allowed for adequate surgical hemostasis. Finally, the patient underwent liver transplantation in a timely fashion, which was ultimately the reason for the successful outcome.

Conclusion

Gallbladder rupture resulting in significant intraabdominal bleeding in patients with cirrhosis is an extremely rare event. Currently, there are no data available on the morbidity and mortality of perforated gallbladder in patients with CTP class C cirrhosis or the long-term consequences in patients who are awaiting liver transplant.6 To our knowledge, we present the first report of gallbladder rupture with massive hemorrhage in a cirrhotic patient with a MELD score ≥ 40 who underwent urgent cholecystectomy followed by liver transplant with a favorable result. It is important to be aware of this life-threatening complication, as rapid resuscitation followed by timely surgical intervention can lead to a successful outcome.

Lessons Learned

Spontaneous disruption of cholecystic varices or gallbladder wall rupture can be a rare, yet life-threatening complication in the setting of advanced liver disease. Therefore, it should be considered as a potential source of intra-abdominal blood loss in rapidly decompensating patients with end-stage cirrhosis. Urgent surgical intervention should be immediately considered as it may offer the best chance of a successful outcome.

Authors

Pita Aa, Sher LSa, Kaur Na, Kandil SHb, Khemichian Sc, Genyk Ya, Dhanireddy KKa

Correspondence Author

Alejandro Pita, MD
1520 San Pablo Street, HCT 4300
Los Angeles, CA 90033
786-316-1638
alejandro.pita@med.usc.edu

Author Affiliations

  1. University of Southern California—Department of Surgery, Division of Hepatobiliary, Pancreas, and Abdominal Organ Transplantation
  2. USC Department of Anesthesiology
  3. USC Department of Medicine, Division of Gastrointestinal and Liver Diseases. Los Angeles, California, USA

Disclosures

The authors of this manuscript have no conflicts of interest to disclose as described by ACS Case Reviews in Surgery. No financial or material support was received in the preparation of this manuscript.

References

  1. Chu EC, Chick W, Hillebrand DJ, Hu KQ. Fatal Spontaneous Gallbladder Variceal Bleeding in a Patient with Alcoholic Cirrhosis. Dig Dis Sci. 2002 Dec;47(12):2682-5
  2. Kevans D, MacNicholas R, Norris S. Gallbladder Wall Variceal Haemorrhage with Associated Rupture: A Rare Cause of Mortality in the Cirrhotic Patient. Eur J Gastroenterol Hepatol. 2009 Aug;21(8):955-7
  3. Pravisani R, Bugiantella W, Lorenzin D, et al. Fatal hemoperitoneum due to bleeding from gallbladder varices in an end-stage cirrhotic patient: A case report and review of the literature. Ann Ital Chir. 2016 Mar 10;87 (ePub)
  4. Vilallonga R, Gonzalez O, Bergamini S, et al. Gallbladder variceal bleeding in a patient with alcoholic cirrhosis: a rare entity. Rev Esp Enferm Dig. 2012 Mar;104(3):153-4
  5. Mechera R, Graf L, Oertli D, Viehl CT. Gallbladder Perforation and Massive Intra-Abdominal Haemorrhage Complicating Acute Cholecystitis in a Patient with Haemophilia A. BMJ Case Rep. 2015 May 2;2015
  6. Aljiffry M, Walsh M, Peltekian K, Molinari M. Type II Gallbladder Perforation with Abdominal Wall Abscess in a Cirrhotic Patient: Case Report and Review of the Literature. J Surg Educ. 2008 Sep-Oct;65(5):367-71